Adrenal gland
Aorta, media
Appendix, mucosa
Appendix, muscular wall – Strong SOX2 positivity of a large fraction of intramural ganglion cells as well as of few spindle shaped (neural_) cells in the muscular wall
Bone marrow
Breast
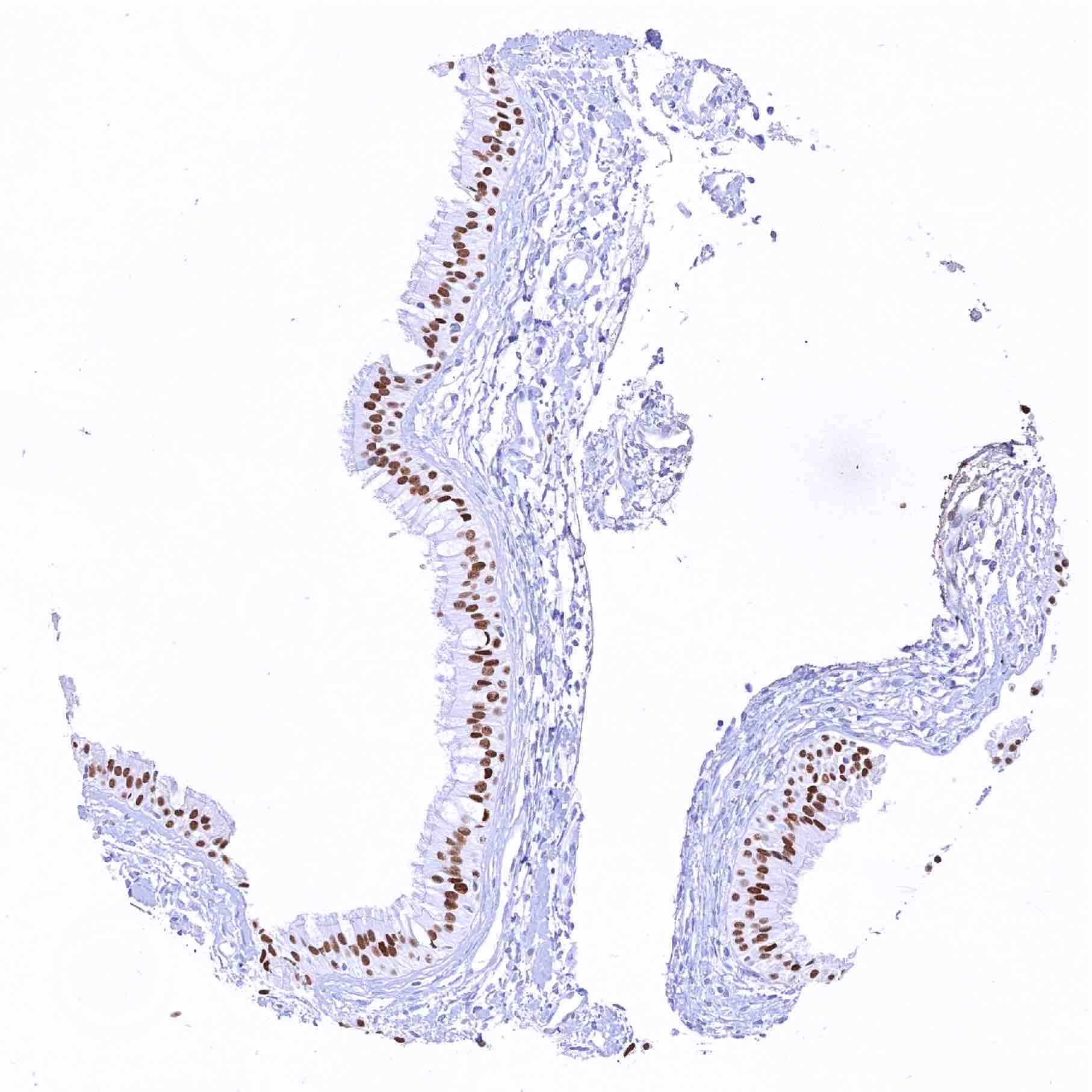
Bronchus, mucosa – Strong SOX2 positivity of respiratory epithelial cells
Cerebellum (molecular layer, Purkinje cell layer, granule cell layer)
Cerebellum (white matter)
Cerebrum, grey matter – Moderate to strong SOX2 positivity of a fraction of glial cells
Cerebrum, white matter
Colon descendens, mucosa
Colon descendens, muscular wall – Strong SOX2 positivity of a large fraction of intramural ganglion cells as well as of few spindle shaped (neural_) cells in the muscular wall
Colon descendens, muscular wall – Strong SOX2 positivity of few spindle shaped (neural_) cells in the muscular wall.jpeg
Duodenum, Brunner gland
Duodenum, mucosa
Epididymis (cauda)
Esophagus, muscular wall – Strong SOX2 positivity of a large fraction of intramural ganglion cells
Esophagus, squamous epithelium – Weak to strong SOX2 positivity of squamous epithelial cells, especially in the bottom 2-3
Fallopian tube, mucosa – Moderate to strong SOX2 positivity of a large subset of epithelial cells.jpeg
Fat
Gallbladder, epithelium
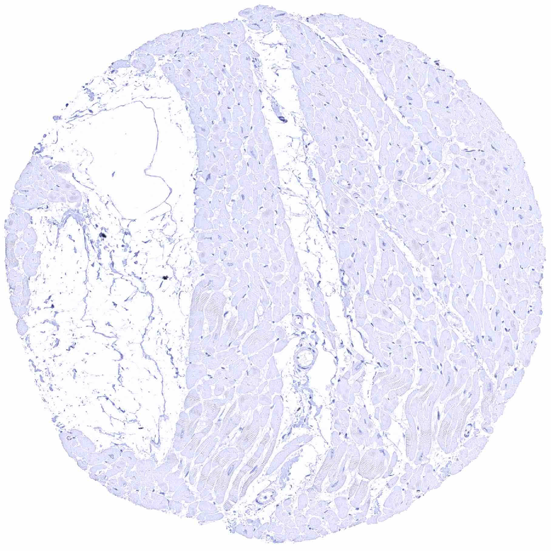
Heart muscle.jpeg
Ileum, mucosa
Kidney, cortex
Kidney, medulla.jpeg
Kidney, pelvis, urothelium
Kidney, pelvis, urothelium
Liver
Lung
Ovary, corpus luteum
Ovary, stroma
Pancreas
Parathyroid gland
Parotid gland
Pituitary gland, posterior lobe
Pituitary gland, posterior lobe
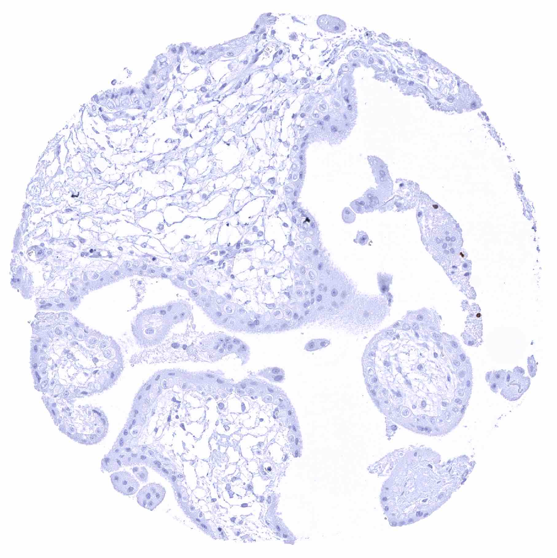
Placenta, early
Placenta, mature
Prostate – Strong SOX2 positivity of a fraction of basal cells
Seminal vesicle
Sinus paranasales – Strong SOX2 positivity of respiratory epithelial cells
Skeletal muscle
Skin – Strong SOX2 positivity few epidermis-adjacent spindle shaped (neural_) cells in the dermis.jpeg
Skin, hairfollicel and sebaceous glands – Strong SOX2 positivity few hair follicle-adjacent spindle shaped (neural_) cells in the dermis
Spleen.jpeg
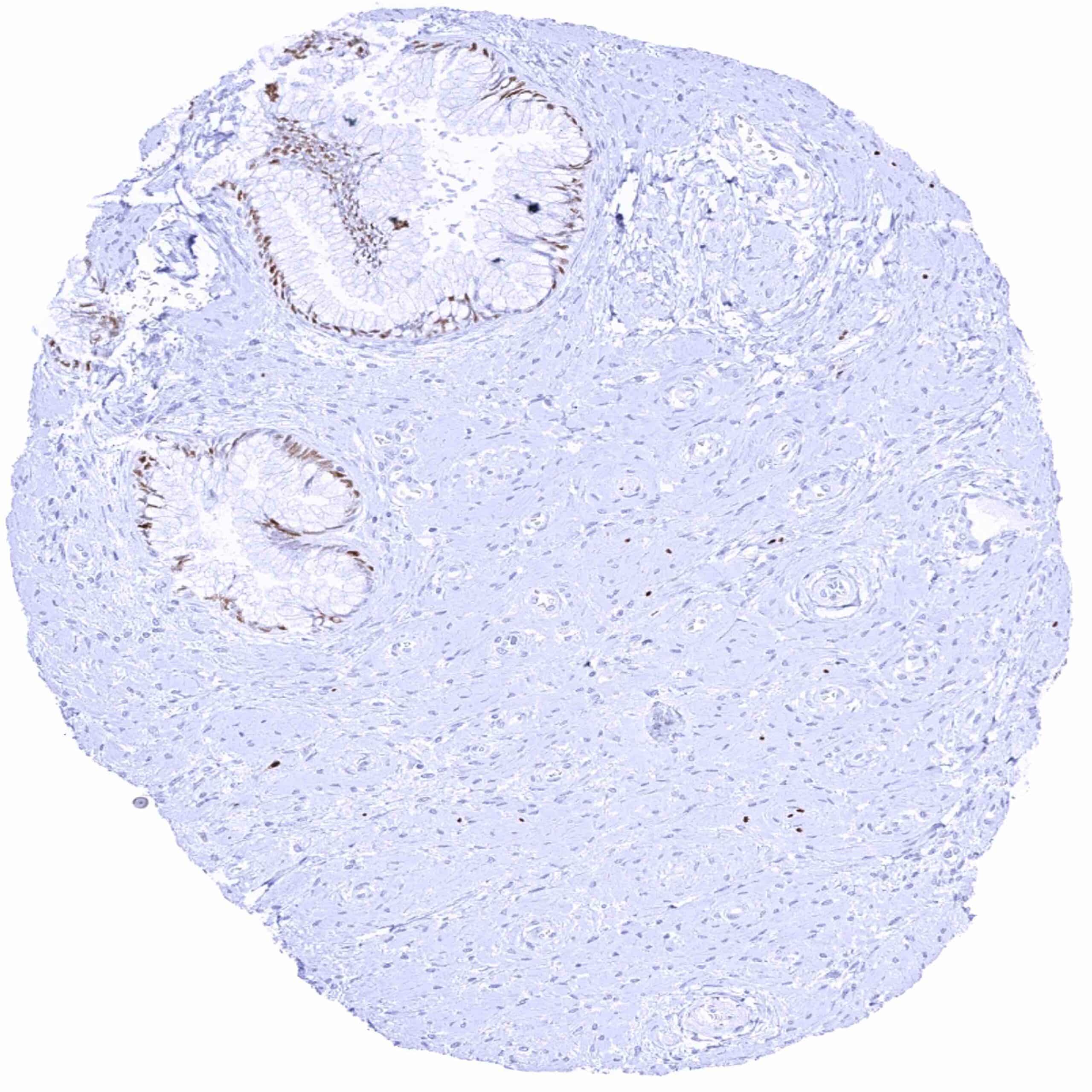
Stomach, antrum – Significant SOX2 staining of a fraction of glandular cells
Stomach, antrum
Stomach, antrum
Stomach, muscular wall – Strong SOX2 positivity of few spindle shaped (neural_) cells in the muscular wall
Sublingual gland.jpeg
Testis – Weak to moderate SOX2 positivity of spermatocytes
Thymus
Thyroid gland
Tonsil – Weak to strong SOX2 positivity of a fraction of squamous epithelial cells in crypts
Tonsil, surface epithelium
Urinary bladder, muscular wall
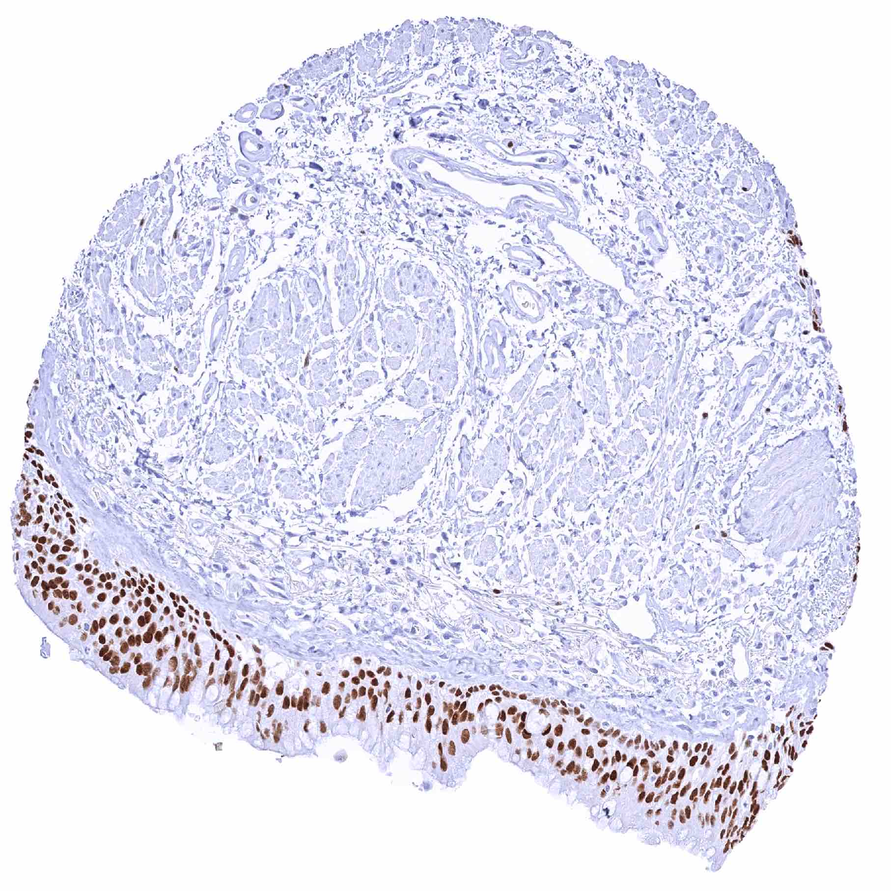
Uterus, ectocervix
Uterus, ectocervix (2)
Uterus, endocervix – Endocervical cells are SOX2 negative in this sample
Uterus, endocervix – Weak to moderate SOX2 positivity of endocervical cells
Uterus, endometrium (pregnancy)
Uterus, endometrium (proliferation)
Uterus, endometrium (secretion)
Uterus, myometrium
