Adrenal gland – SOX2 negative adrenocortical adenoma.
Adrenal gland – SOX2 negative pheochromocytoma.
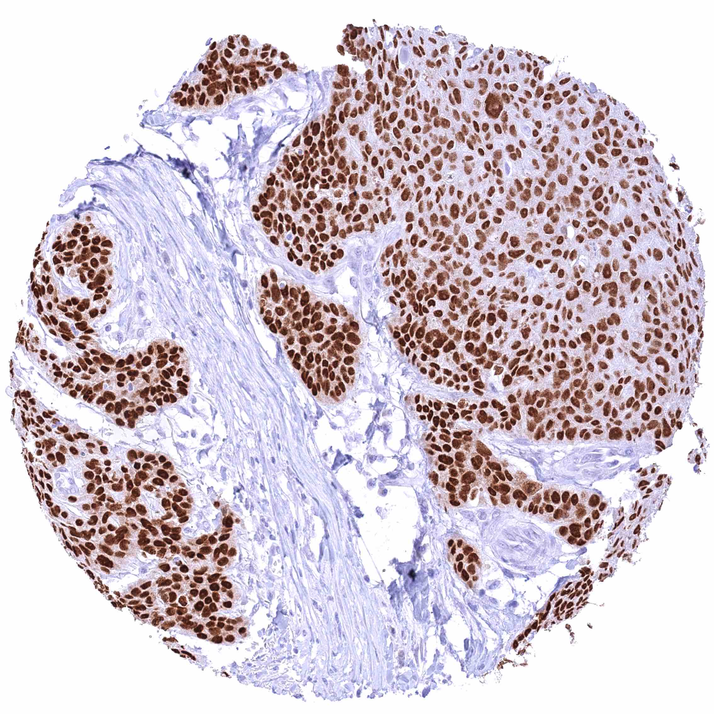
Anal canal – Squamous cell carcinoma with strong SOX2 staining of tumor cells. .jpeg
Breast – SOX2 negative invasive breast cancer of no special type (NST).
Breast – SOX2 negative invasive lobular breast cancer. .jpeg
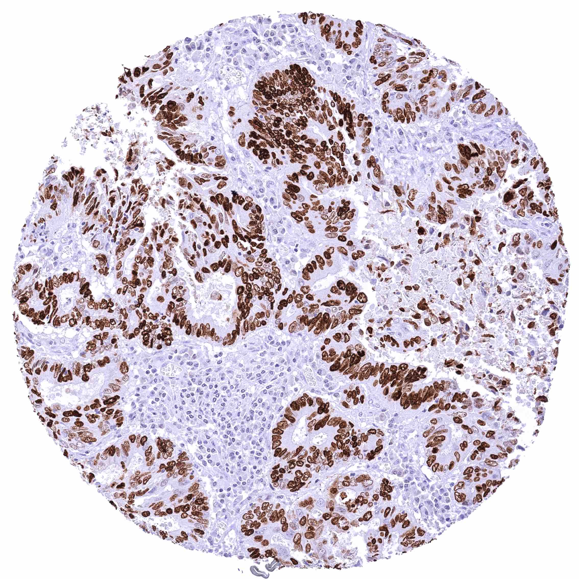
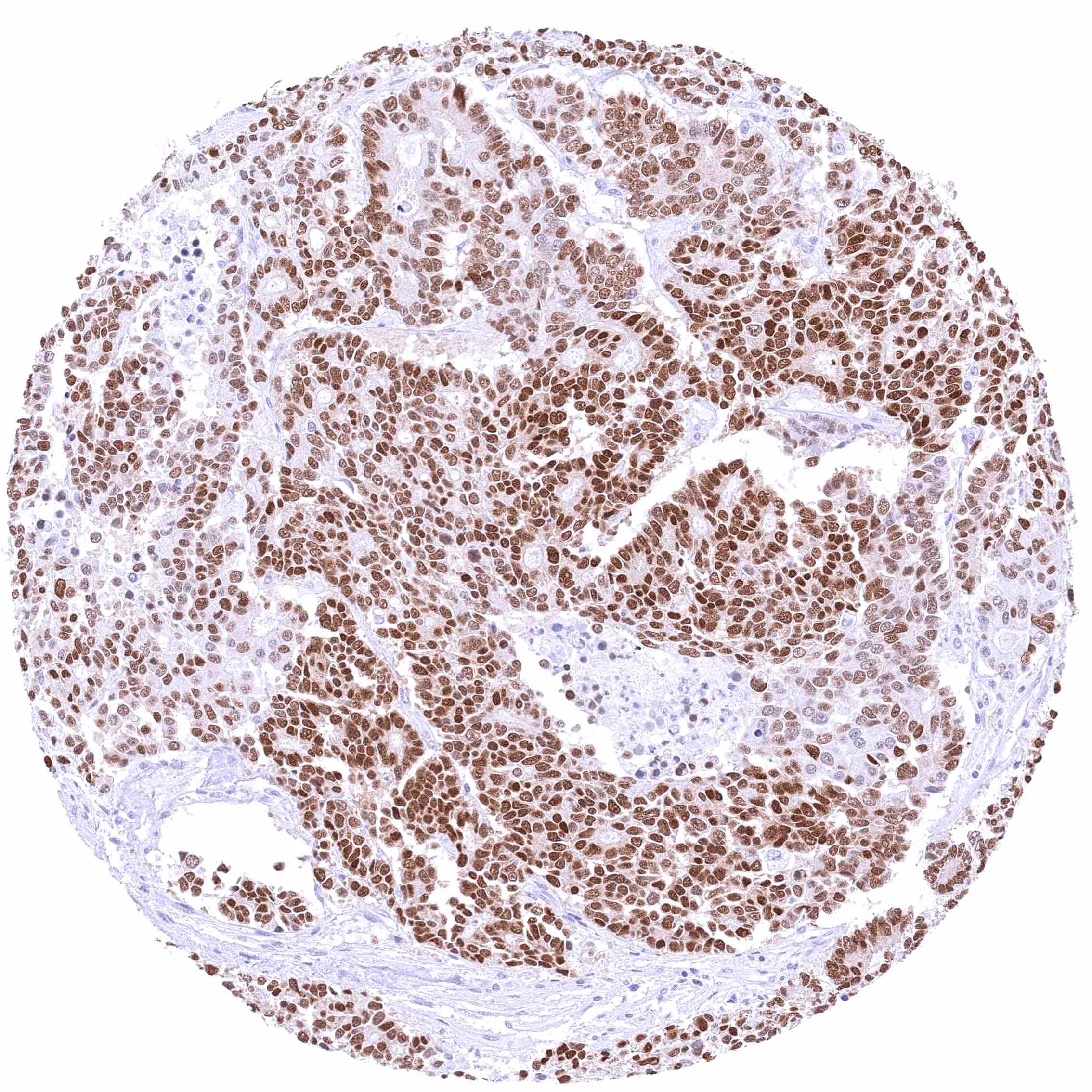
Colon – Colorectal adenocarcinoma with strong SOX2 positivity of all tumor cells. .jpeg
Colon – SOX2 negative colorectal adenocarcinoma.
Esophagus – Neuroendocrine carcinoma with strong SOX2 immunostaining of tumor cells.
Esophagus – SOX2 negative adenocarcinoma.
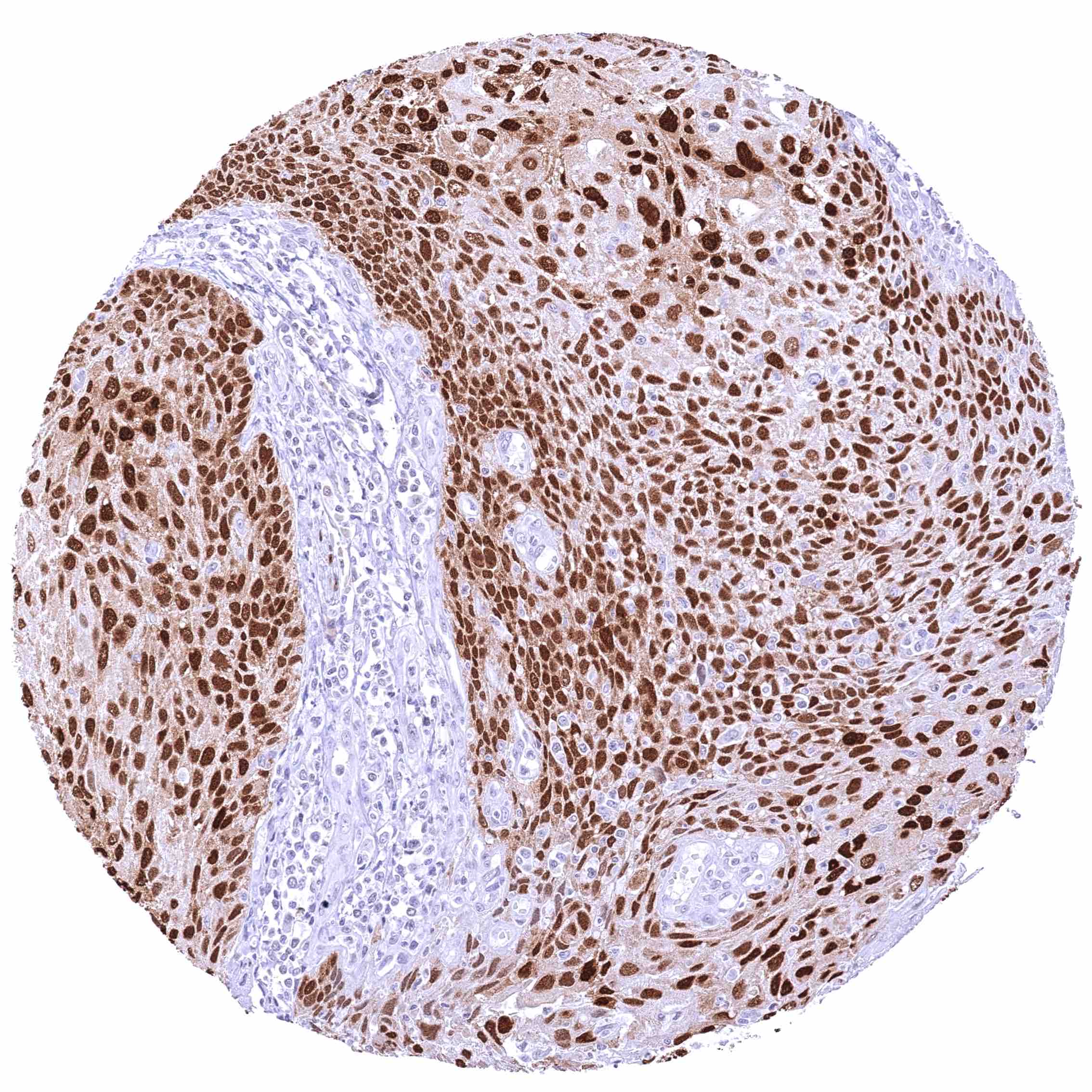
Esophagus – Squamous cell carcinoma with strong SOX2 positivity of tumor cells.
Kidney – SOX2 negative papillary renal cell carcinoma.
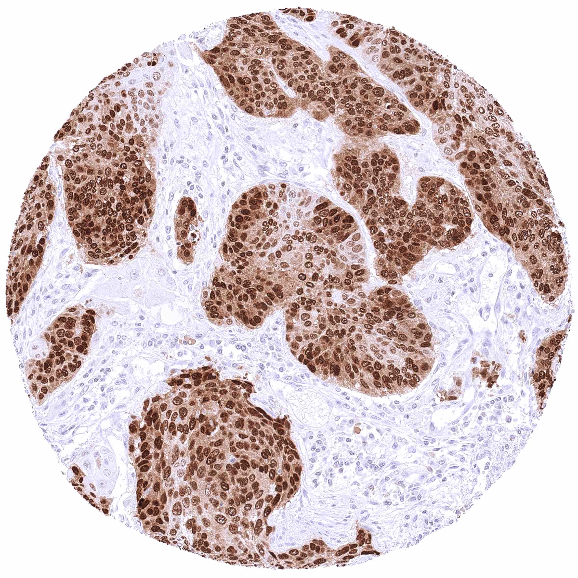
Larynx – Squamous cell carcinoma with strong SOX2 immunostaining of tumor cells.
Liver – SOX2 negative cholangiocellular carcinoma.
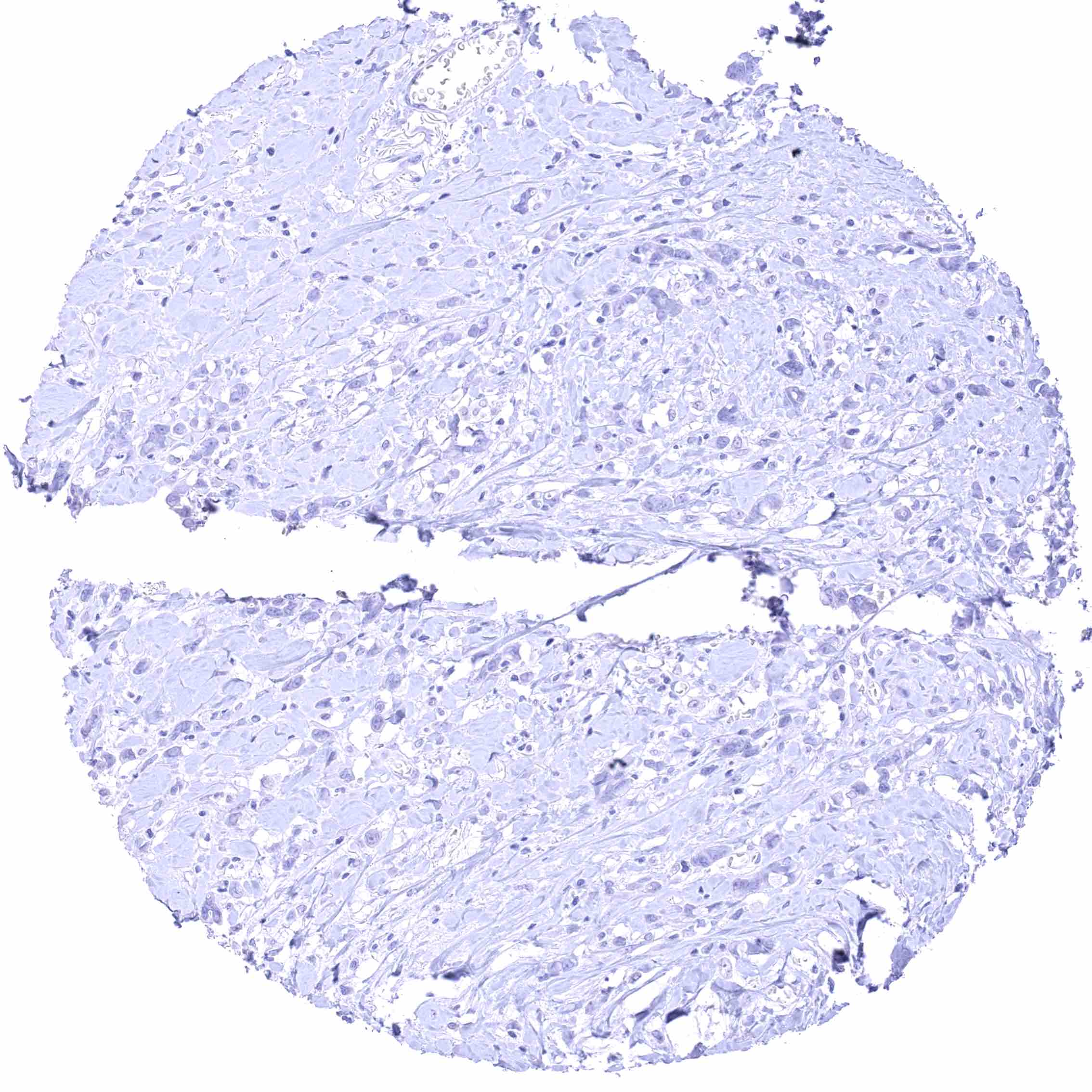
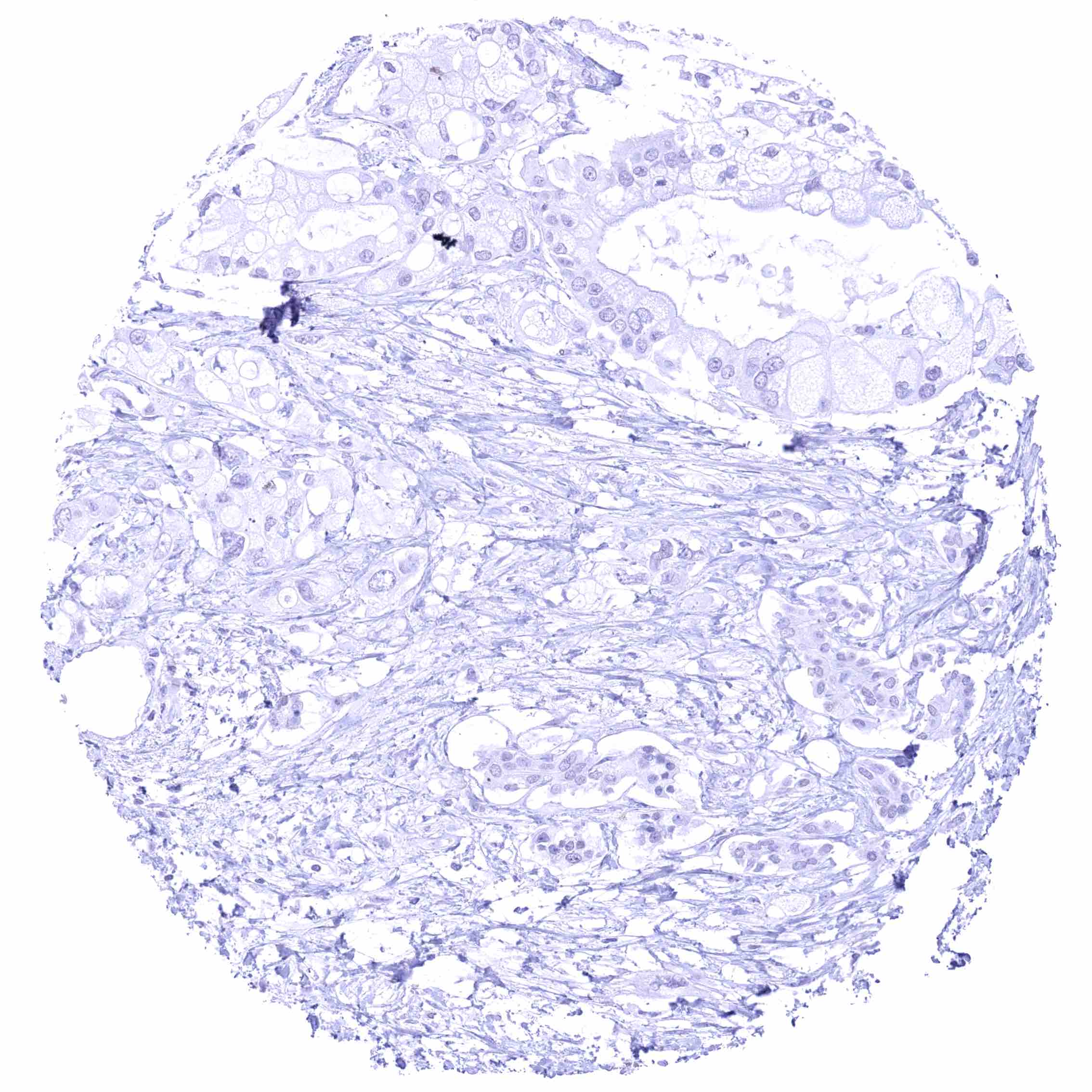
Liver – SOX2 negative hepatocellular carcinoma. .jpeg
Lung – Adenocarcinoma with moderate to strong SOX2 staining of most tumor cells.
Lung – Squamous cell carcinoma with strong SOX2 staining of tumor cells.
Lymph node – SOX2 negative B-CLL.
Lymph node – SOX2 negative diffuse large B-cell lymphoma. .jpeg
Ovary – Serous high-grade carcinoma with weak to moderate SOX2 positivity of a large subset of tumor cells.
Ovary – SOX2 negative clear cell carcinoma.
Ovary – SOX2 negative clear cell carcinoma.
Ovary – SOX2 negative clear cell carcinoma.
Pancreas – Neuroendocrine tumor with strong SOX2 staining of all tumor cells.
Pancreas – SOX2 negative ductal adenocarcinoma.
Pancreas – SOX2 negative neuroendocrine tumor.
Penis – Squamous cell carcinoma with faint SOX2 staining of few tumor cells.
Prostate – Small cell carcinoma with strong SOX2 immunostaining of tumor cells.
Prostate – SOX2 negative adenocarcinoma (Gleason 4+4=8).
Prostate – SOX2 negative adenocarcinoma (Gleason 5+5=10).
Salivary gland - Warthin tumor with weak to moderate SOX2 staining of a large fraction of tumor cells.
Soft tissue – Primitive neuroektodermal tumor (PNET) with strong SOX2 positivity of tumor cells.
Soft tissue – Rhabdoid tumor with strong SOX2 positivity of tumor cells.
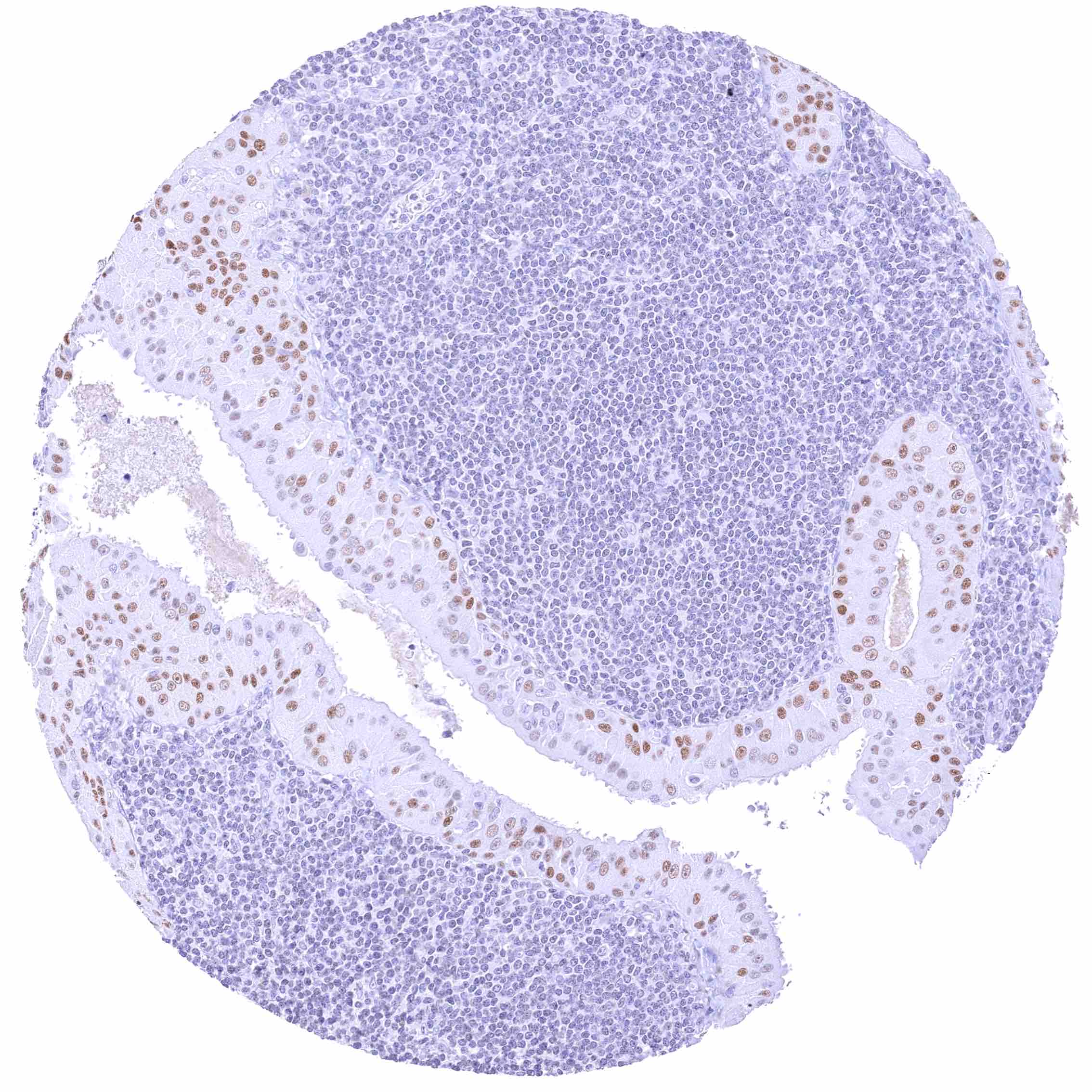
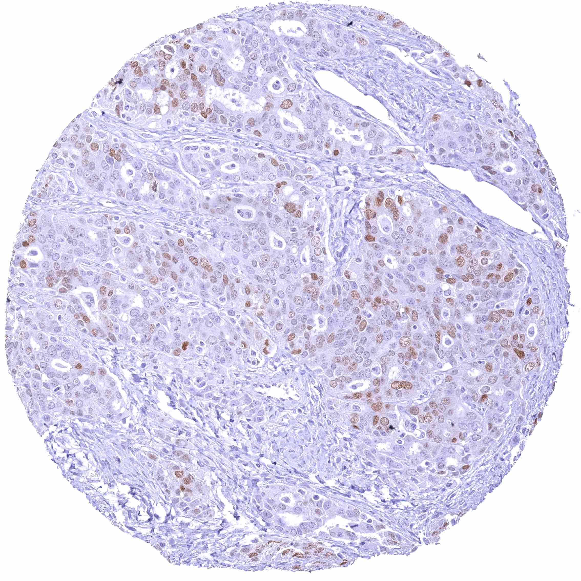
Stomach – Gastric adenocarcinoma (intestinal type) with SOX2 positivity of few tumor cells.
Stomach – SOX2 negative gastric adenocarcinoma (diffuse type).
Stomach – SOX2 negative gastrointestinal stromal tumor (GIST).
Testis – Embryonal carcinoma with strong SOX2 immunostaining of all tumor cells.
Testis – SOX2 negative seminoma.
Urinary bladder – Muscle-invasive urothelial carcinoma with distinc SOX2 staining of tumor cells.
Urinary bladder – SOX2 negative non-invasive papillary urothelial carcinoma (pTa).
