Adrenal gland
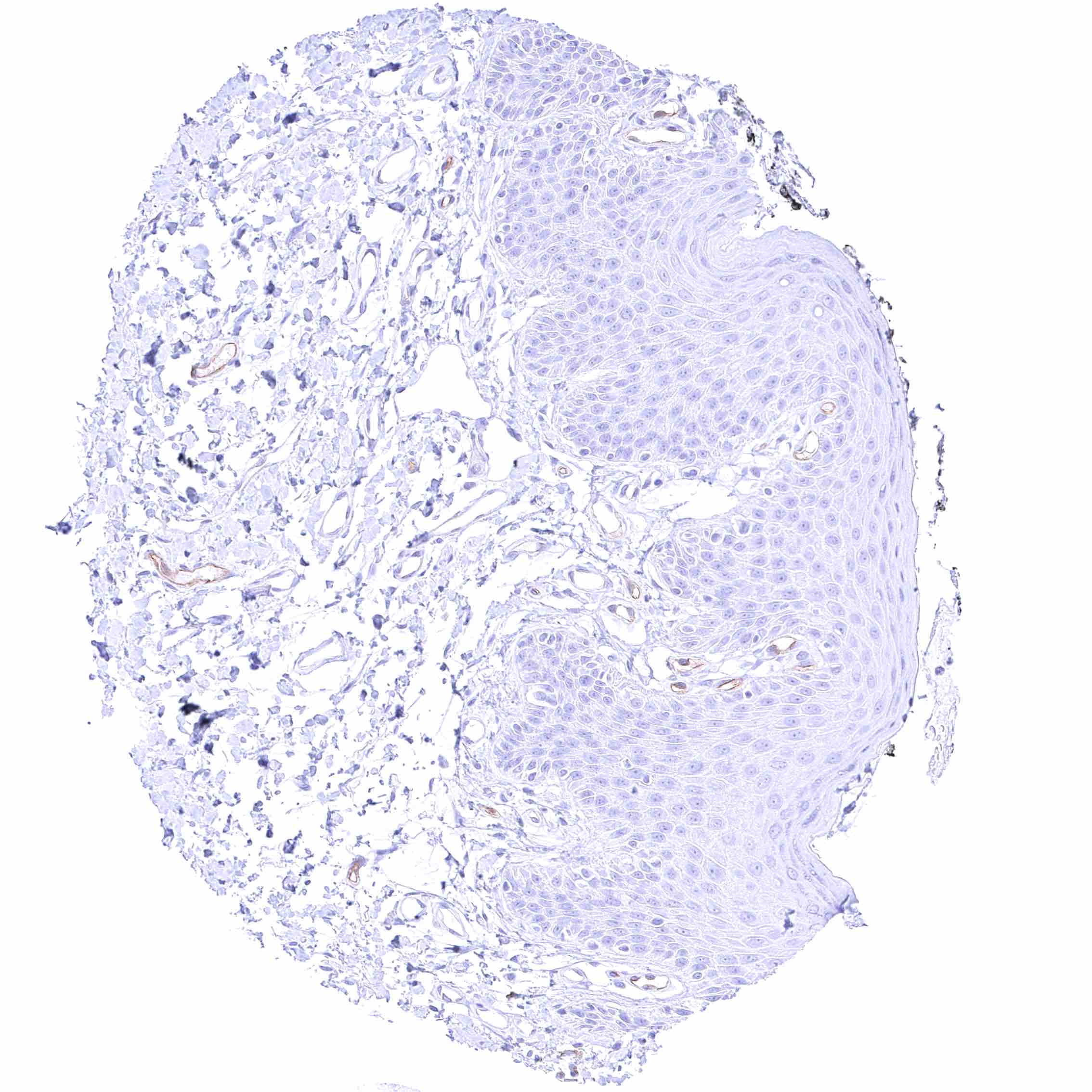
Anal canal, skin
Aorta, media
Appendix, mucosa
Appendix, muscular wall
Bone marrow – Absence of unequivocal PODXL staining of hematpoietic cells. .jpeg
Breast – Moderate PODXL staining of apical membranes of a subset of luminal epithelial cells.
Bronchus, glands – Moderate PODXL staining of luminal-apical membranes of a subset of bronchial glandular cells. .jpeg
Bronchus, mucosa – Respiratory epithelium is PODXL negative.
Cerebellum (molecular layer, Purkinje cell layer, granule cell layer)
Cerebellum (white matter)
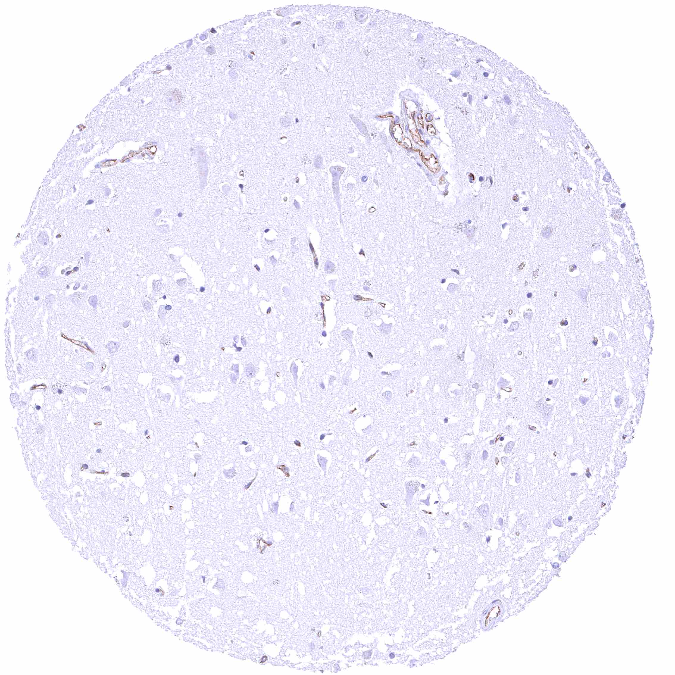
Cerebrum (grey matter)
Cerebrum (white matter)
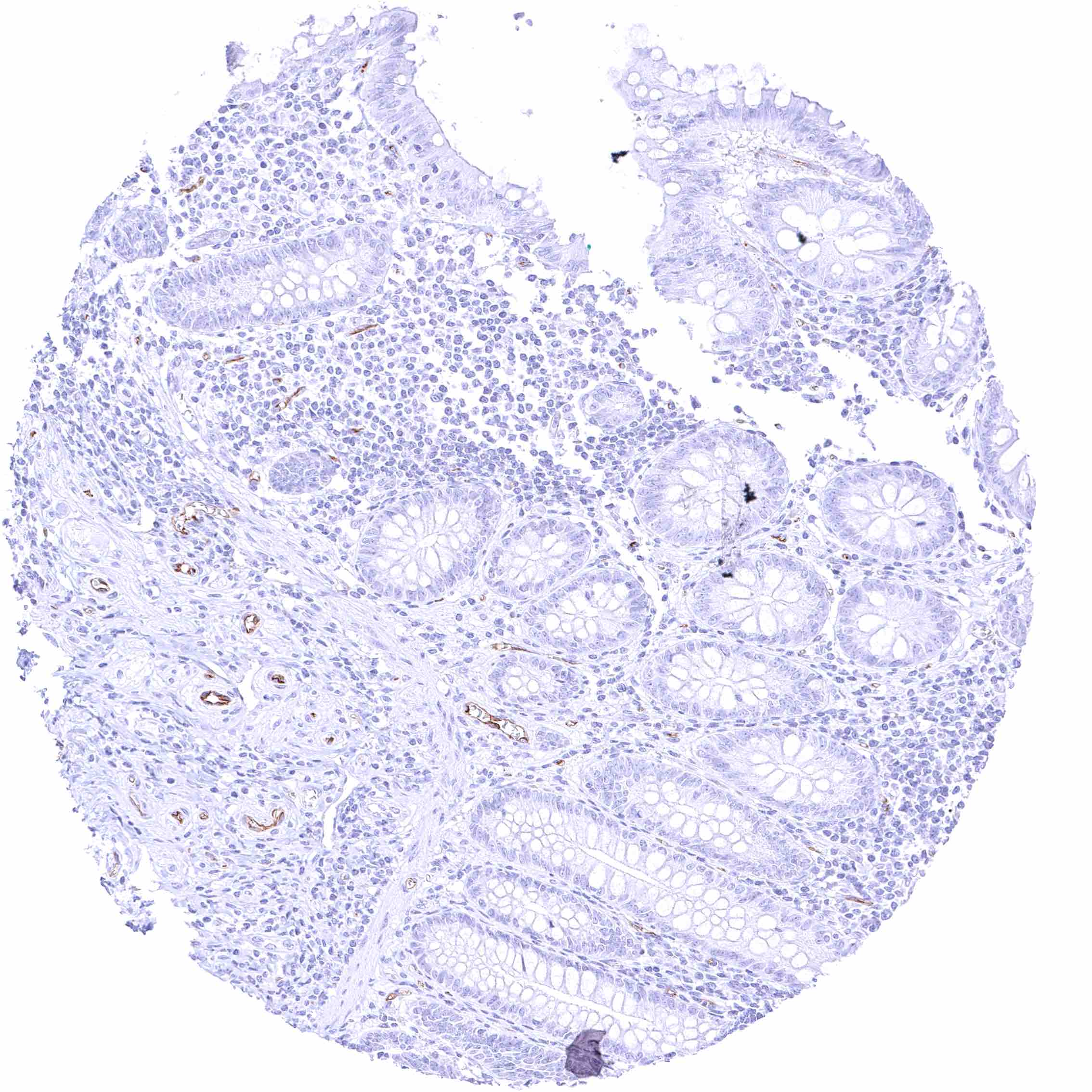
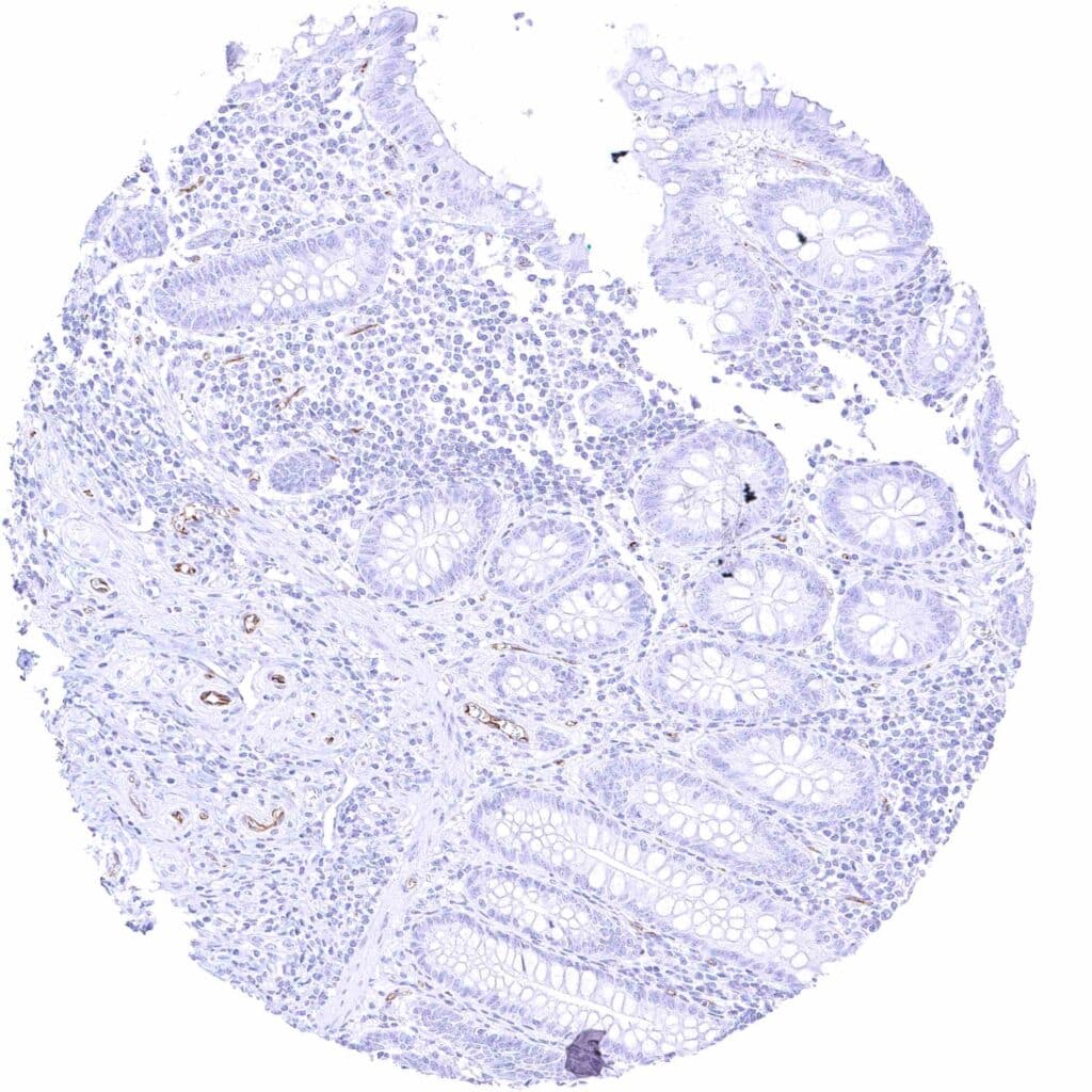
Colon descendens, mucosa
Colon descendens, muscular wall
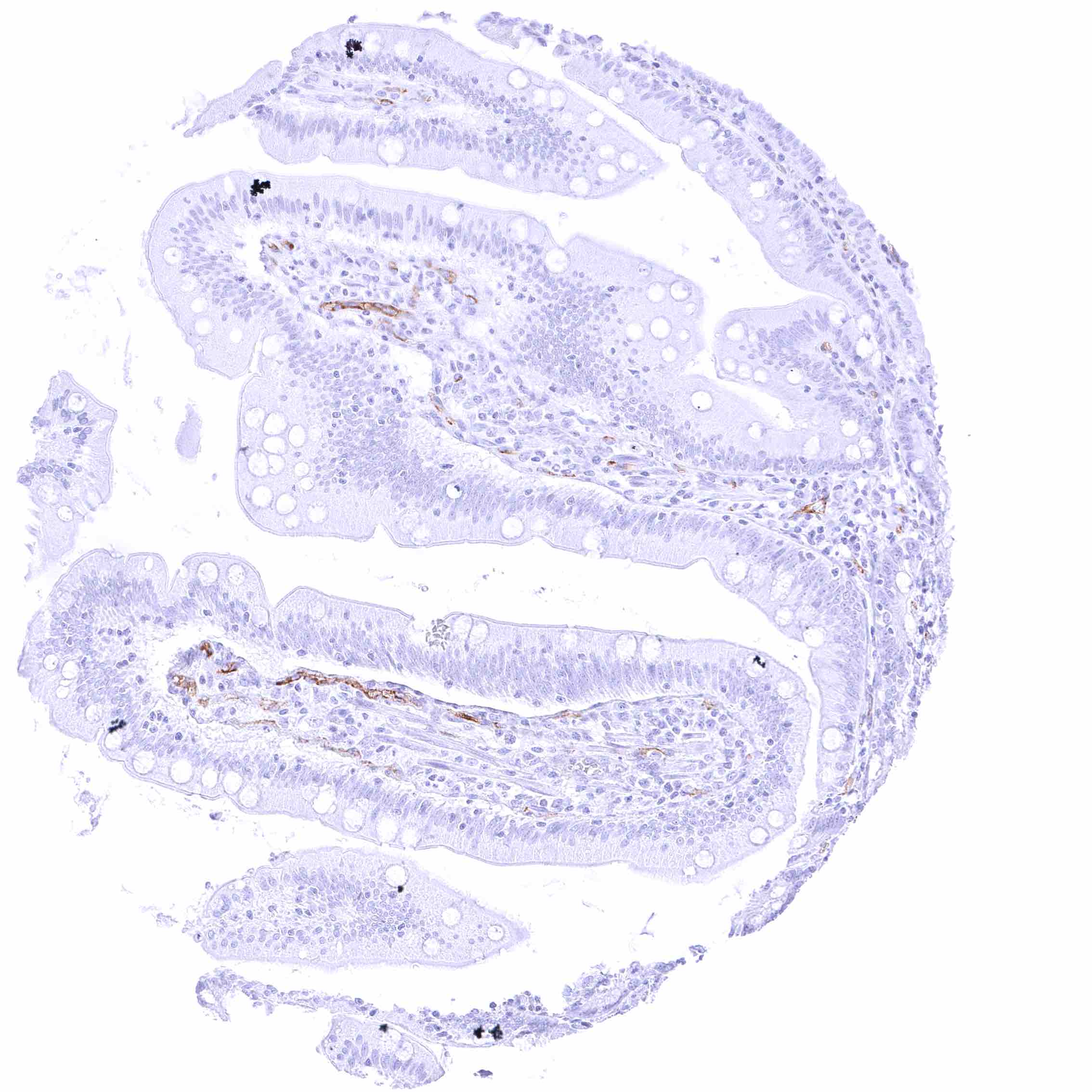
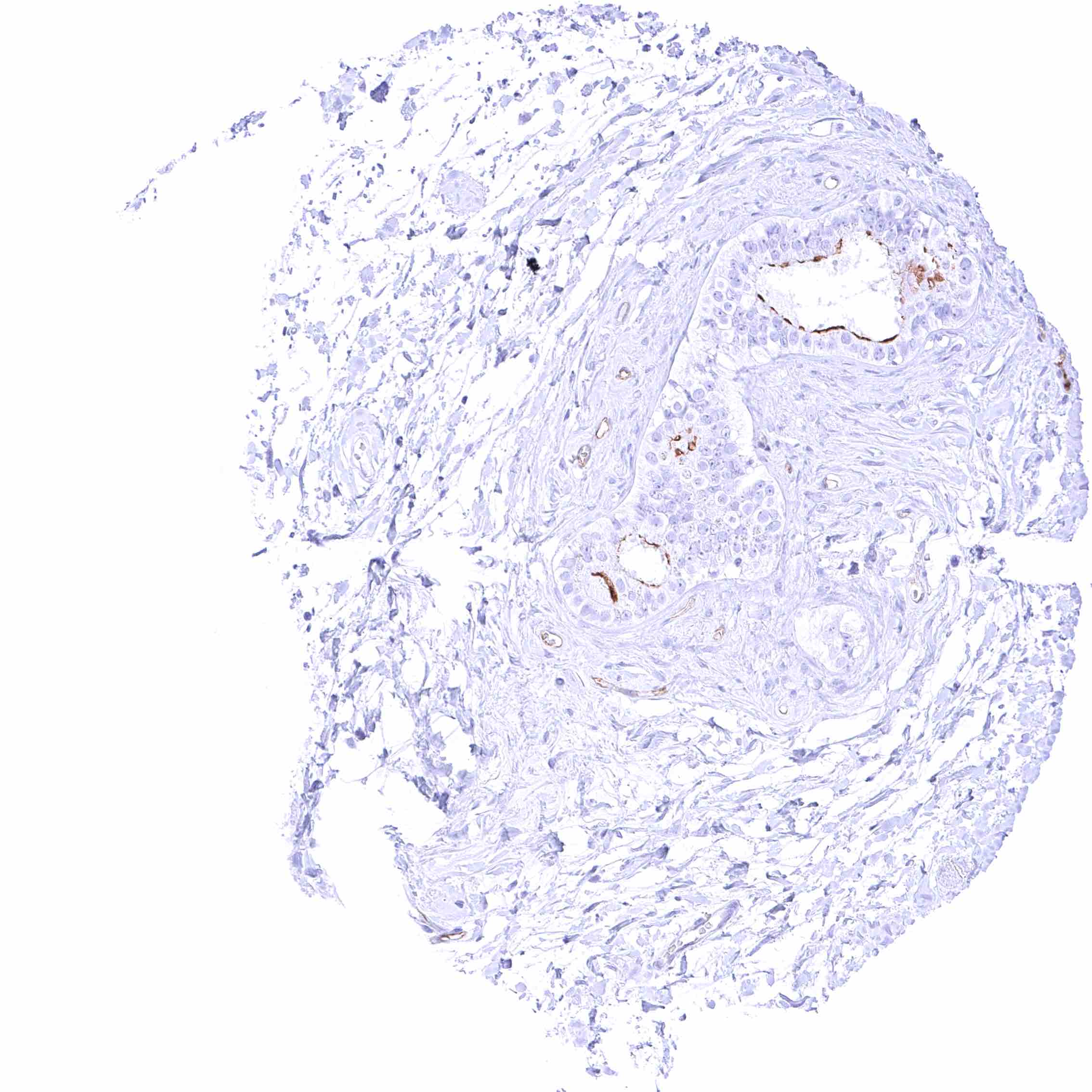
Duodenum, Brunner gland
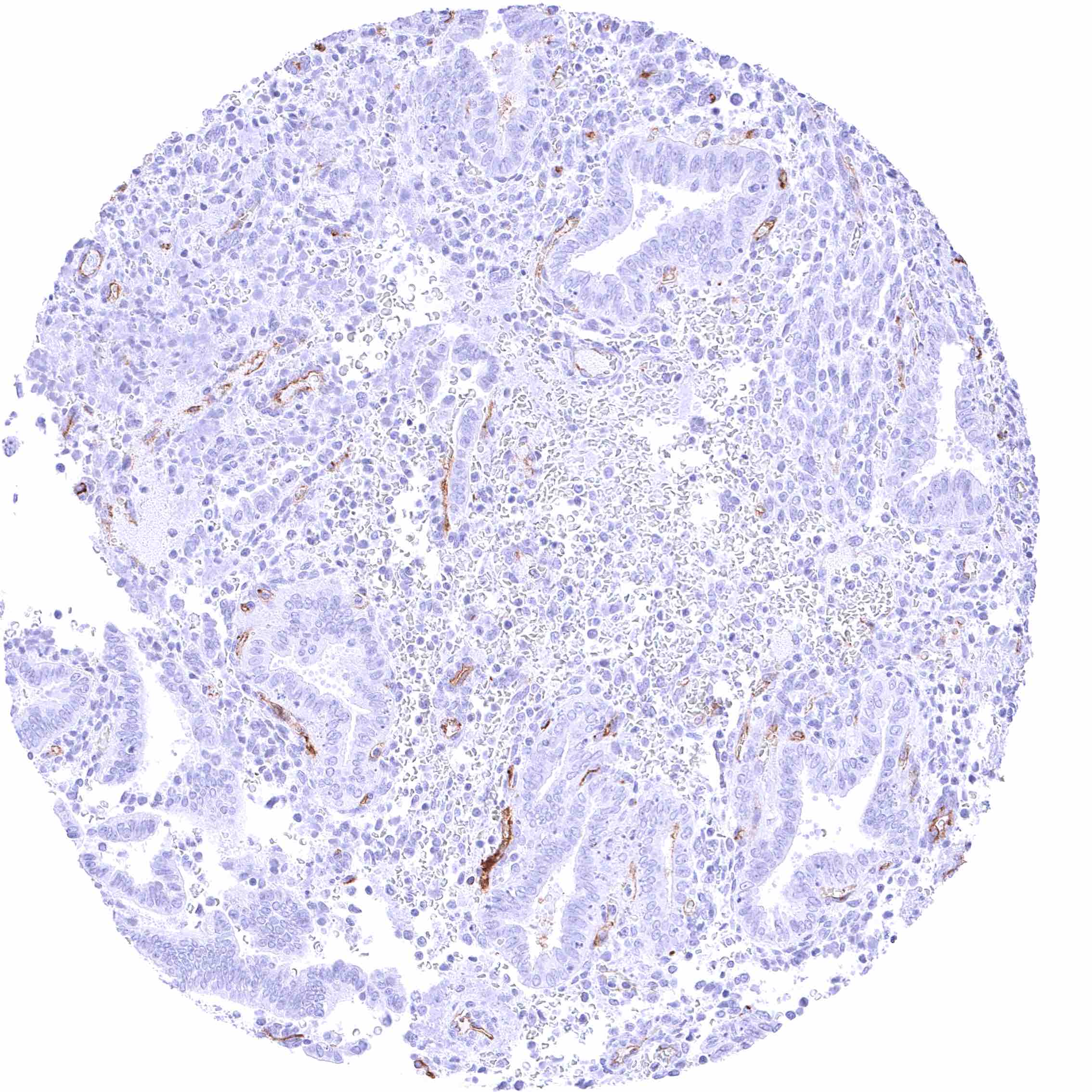
Duodenum, mucosa
Epididymis (Cauda) – Moderate PODXL staining of luminal-apical membranes of a subset columnar cells.
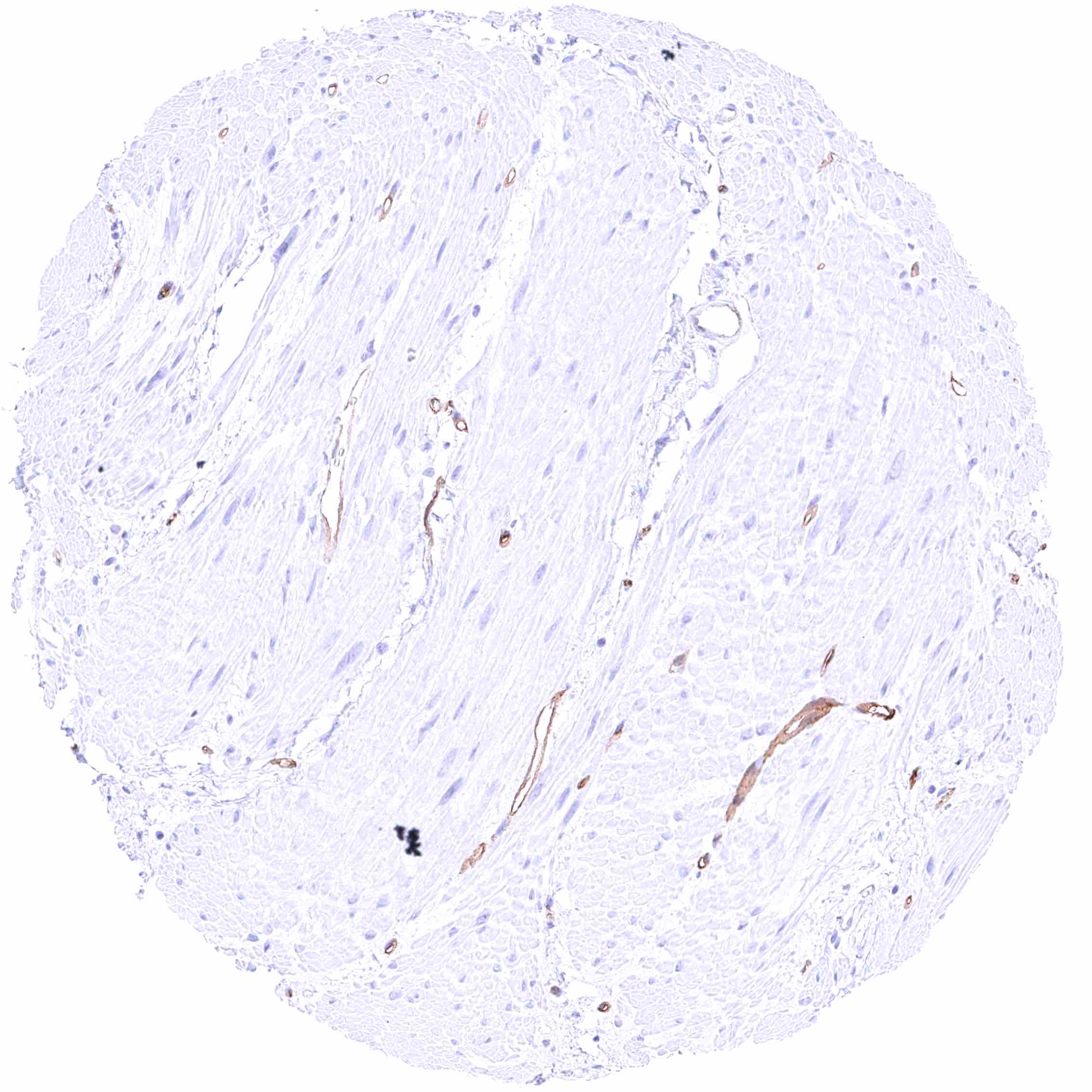
Esophagus, muscular wall
Esophagus, squamous epithelium – PODXL of endothelial cells of small vessels.
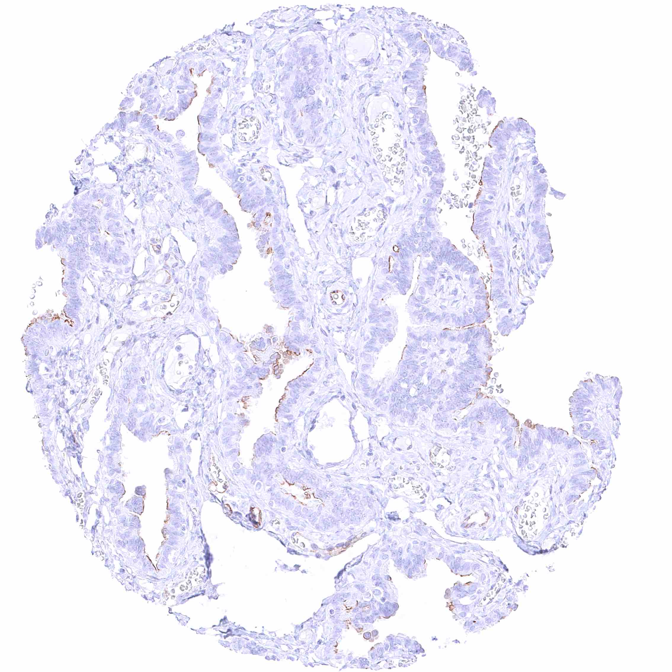
Fallopian tube, mucosa – Moderate PODXL staining of apical membranes of a subset of epithelial cells.
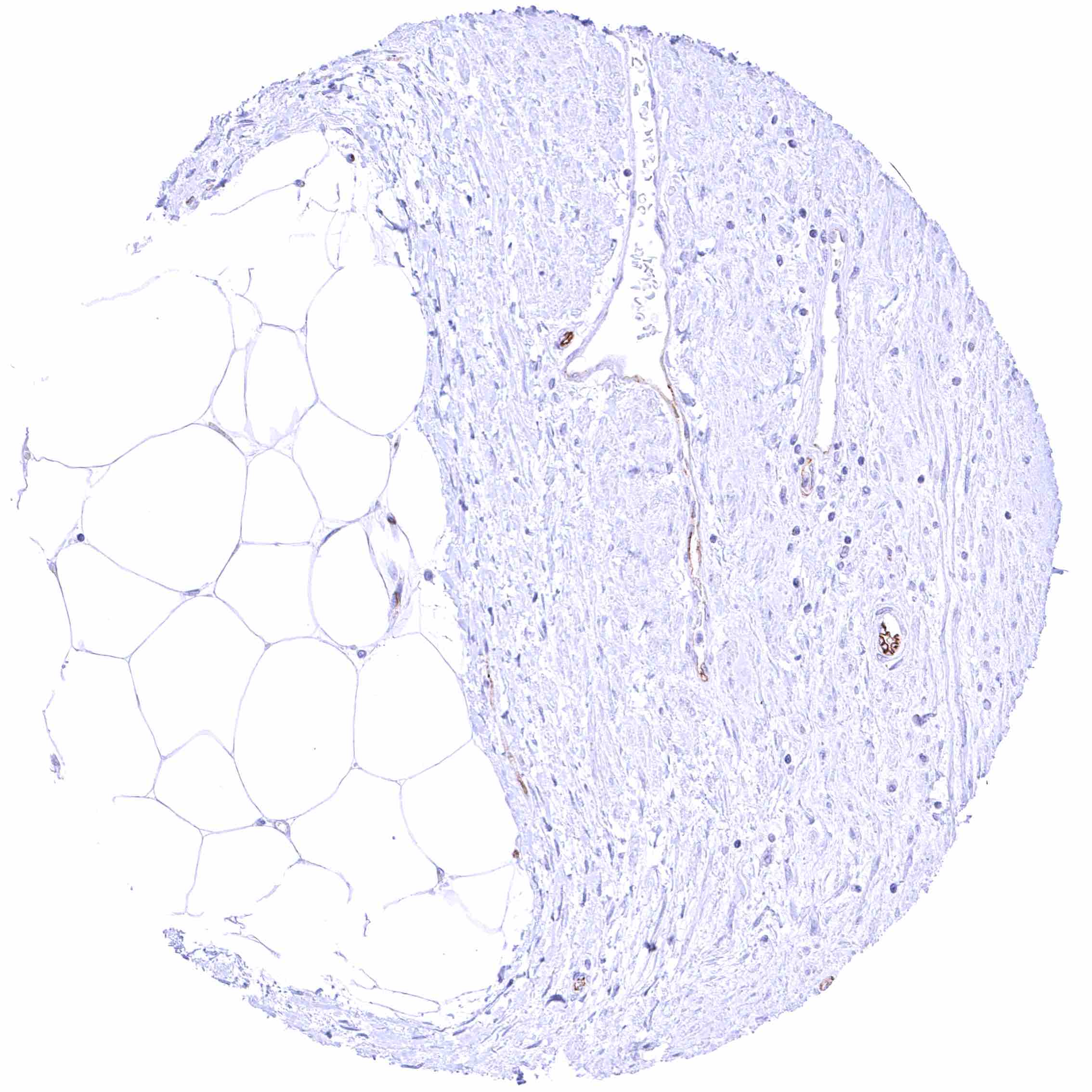
Fat
Gallbladder, epithelium
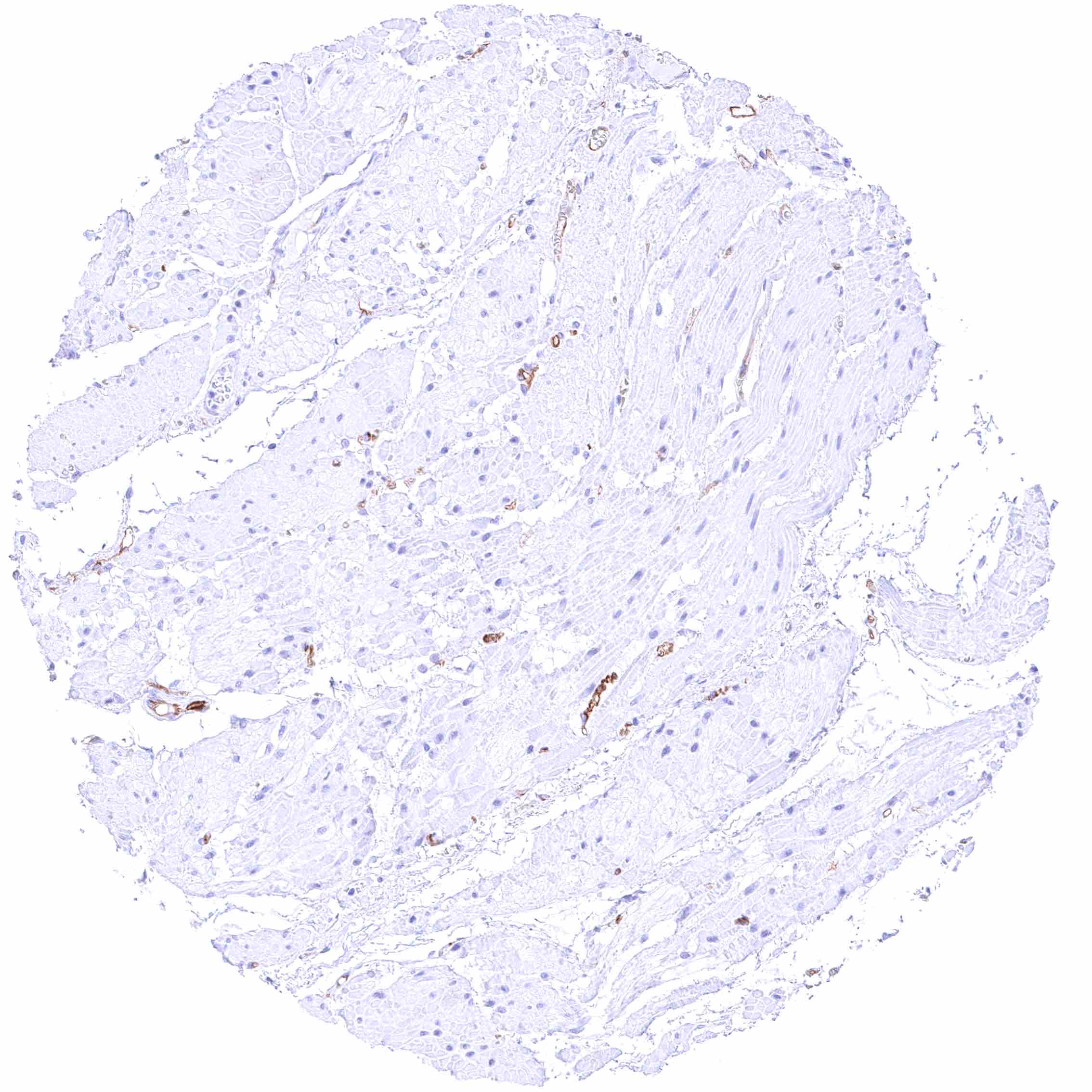
Heart muscle – PODXL of endothelial cells of small vessels.
Ileum, mucosa
Ileum, muscular wall
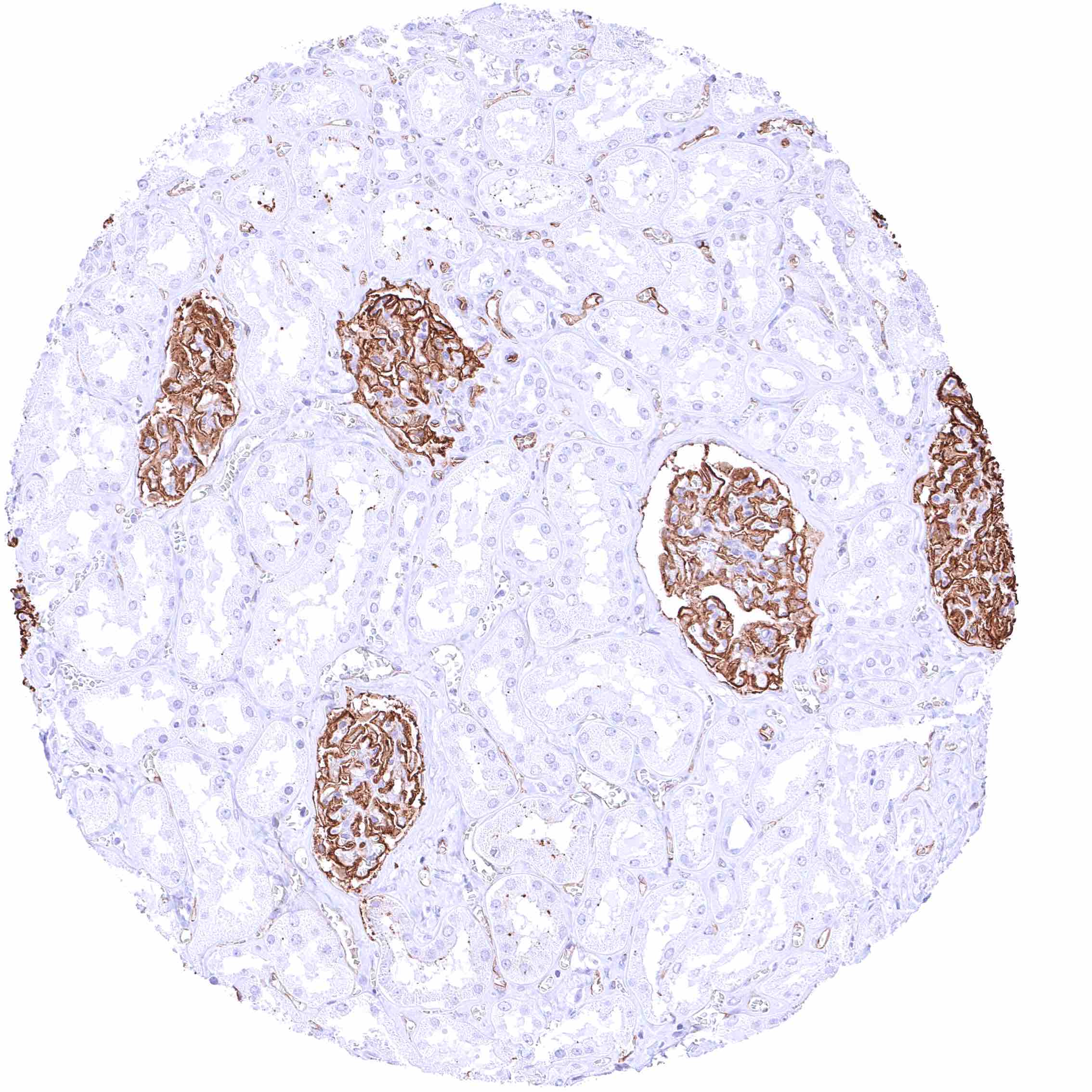
Kidney, cortex – Intense PODXL staining of glomerular endothelial cells while endothelial staining is less prominent on small intertubular vessels.
Kidney, medulla – PODXL of endothelial cells of small vessels.
Kidney, pelvis, muscular wall
Kidney, pelvis, urothelium
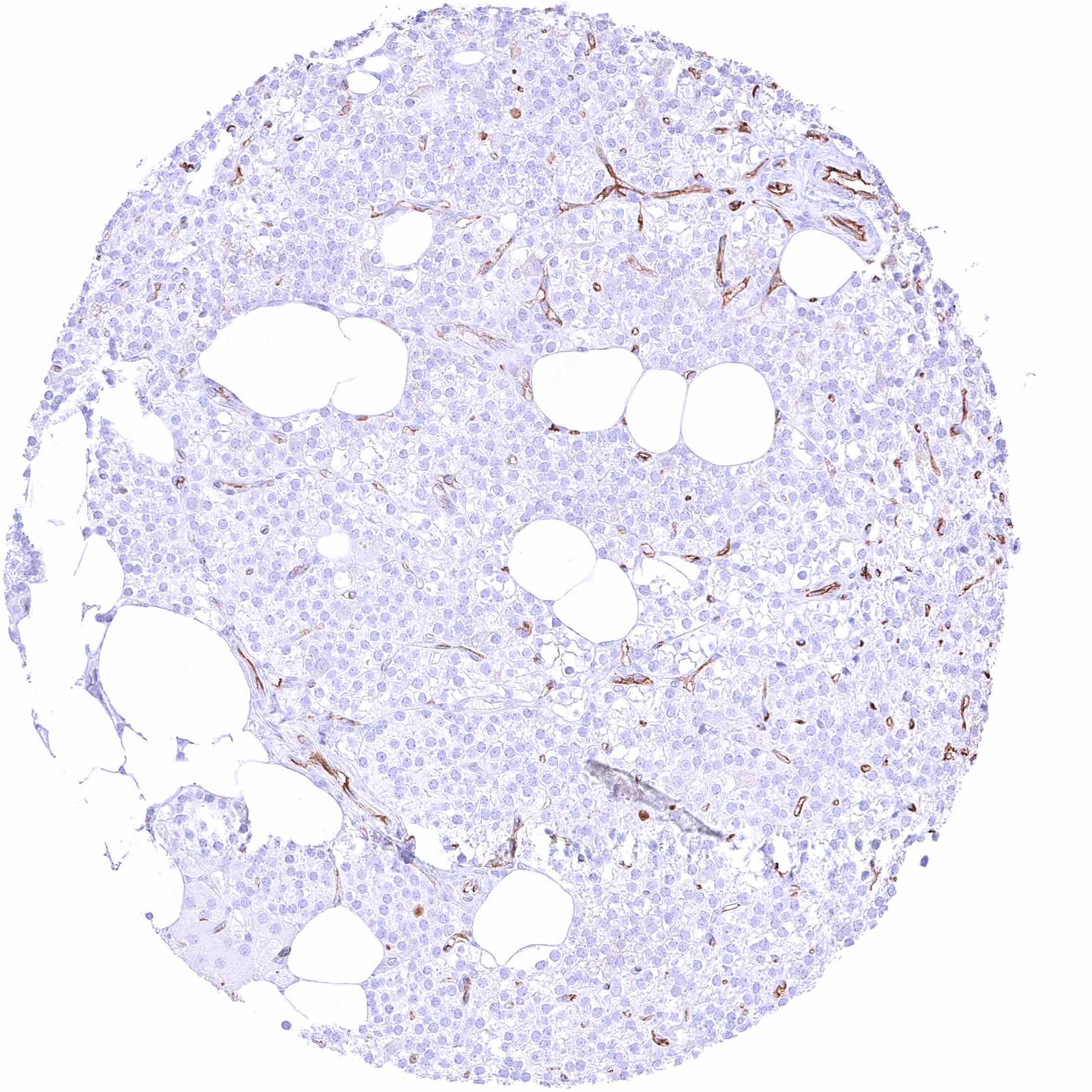
Liver
Lung – Distinct PODXL staining of alveolar capillaries.
Lymph node – PODXL of endothelial cells of small vessels.
Ovary, corpus luteum
Ovary, stroma
Pancreas – PODXL of endothelial cells of small vessels.
Parathyroid gland
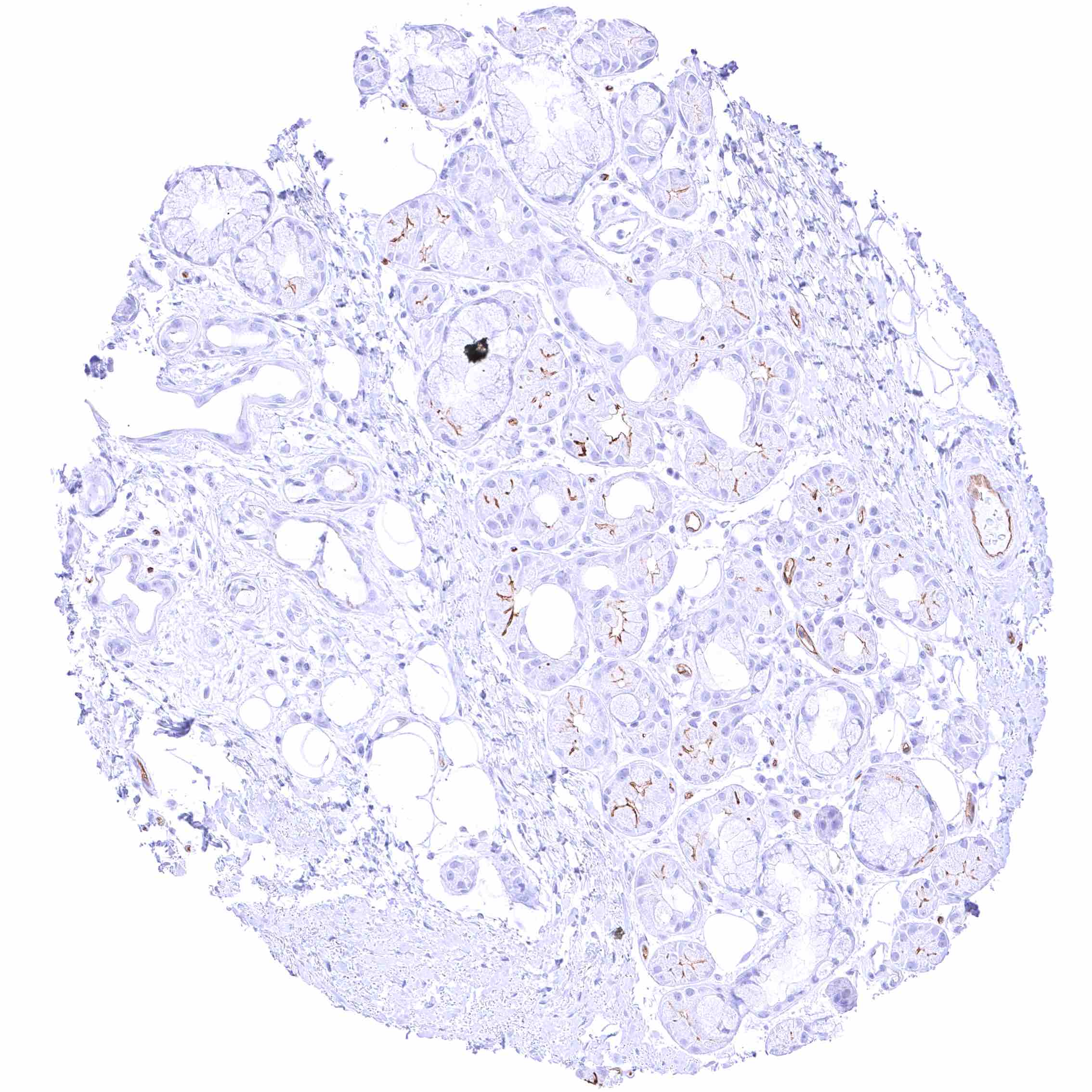
Parotid gland
Pituitary gland, anterior lobe
Pituitary gland, posterior lobe.jpeg
Placenta (amnion and chorion) – PODXL of endothelial cells of small vessels.
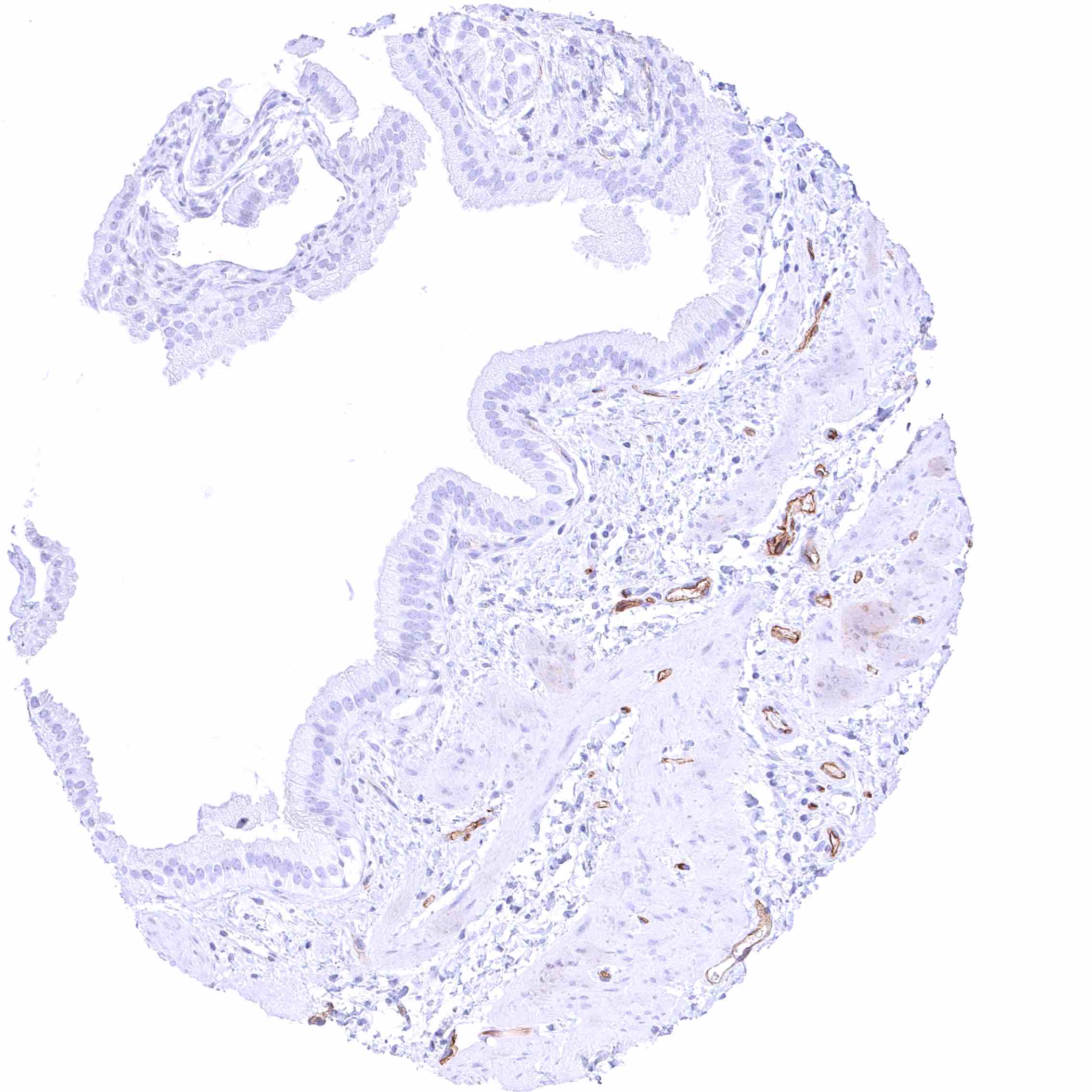
Placenta, early
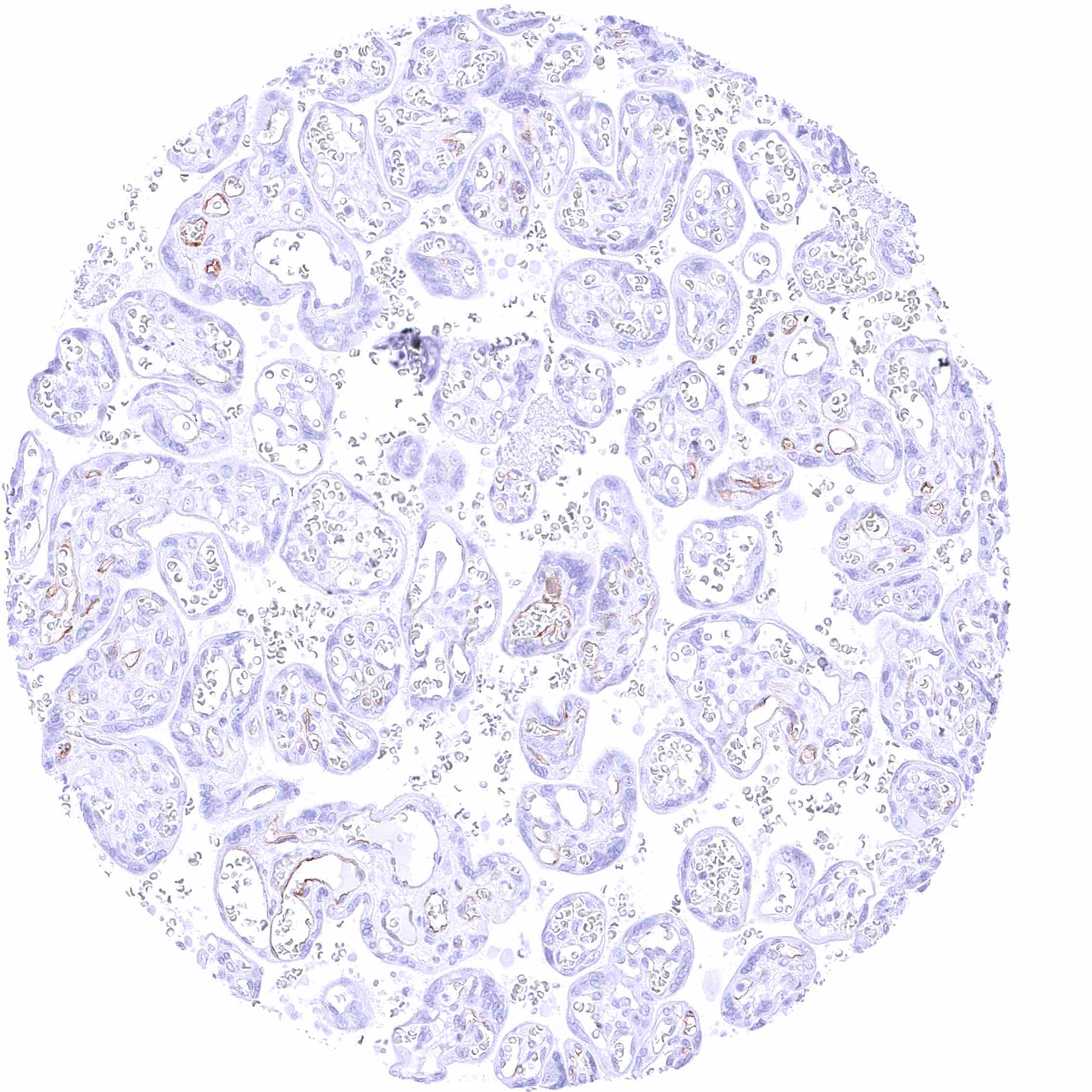
Placenta, mature
Prostate
Rectum, mucosa
Seminal vesicle – Moderate to strong PODXL staining of luminal-apical membranes of a subset of epithelial cells.
Sinus paranasales – Respiratory epithelium is PODXL negative. .jpeg
Skeletal muscle – PODXL of endothelial cells of small vessels.
Skin, hairfollicel and sebaceous glands
Spleen – PODXL of endothelial cells of small vessels.
Stomach, antrum – PODXL of endothelial cells of small vessels.
Stomach, muscular wall
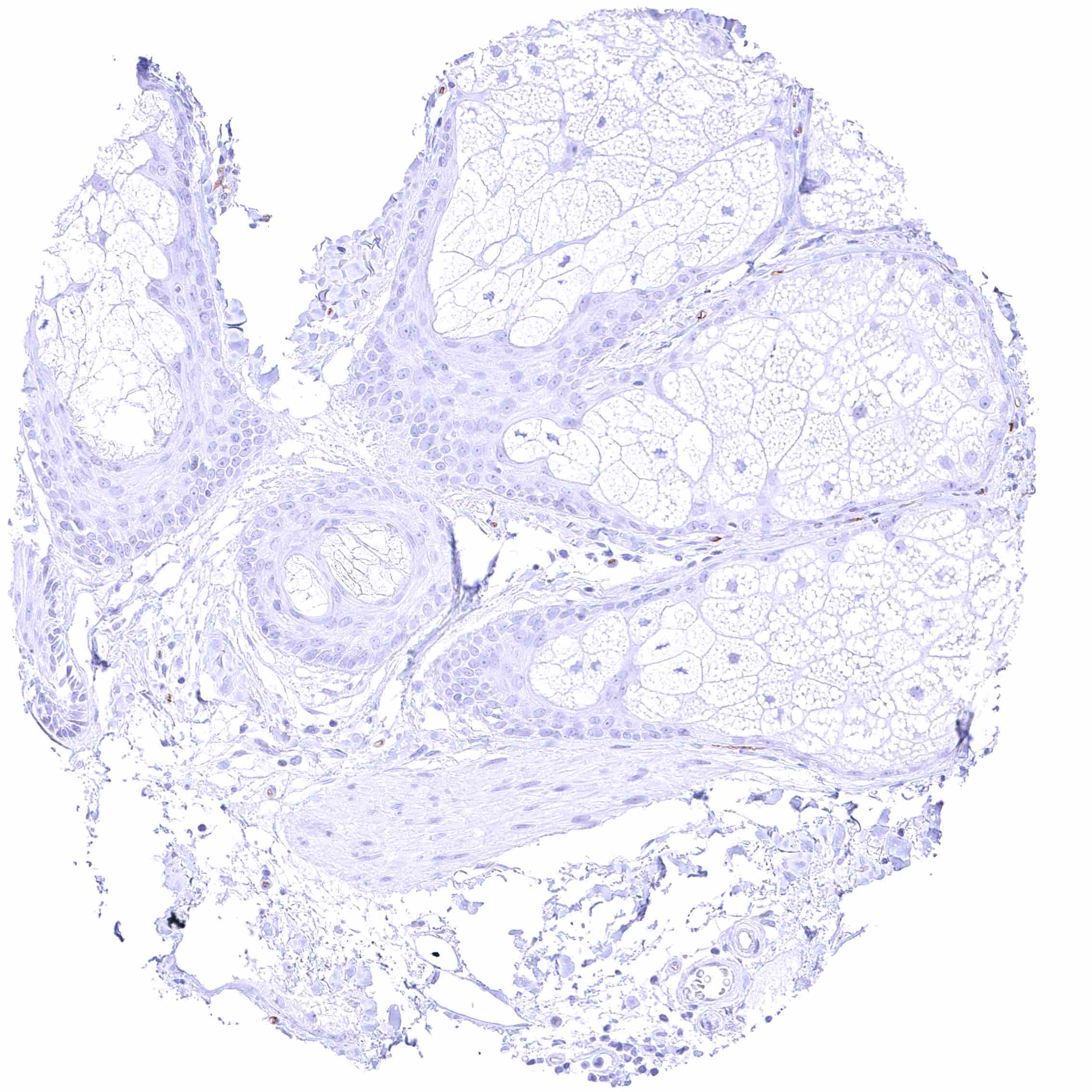
Submandibular gland
Testis
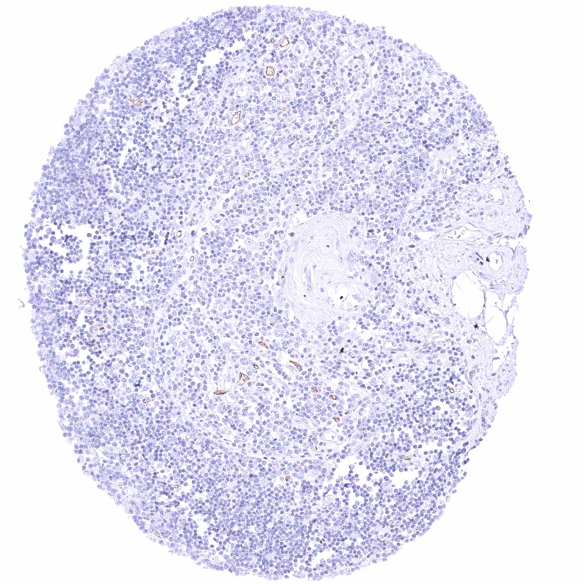
Thymus
Thyroid gland
Tonsil, surface epithelium
Tonsil
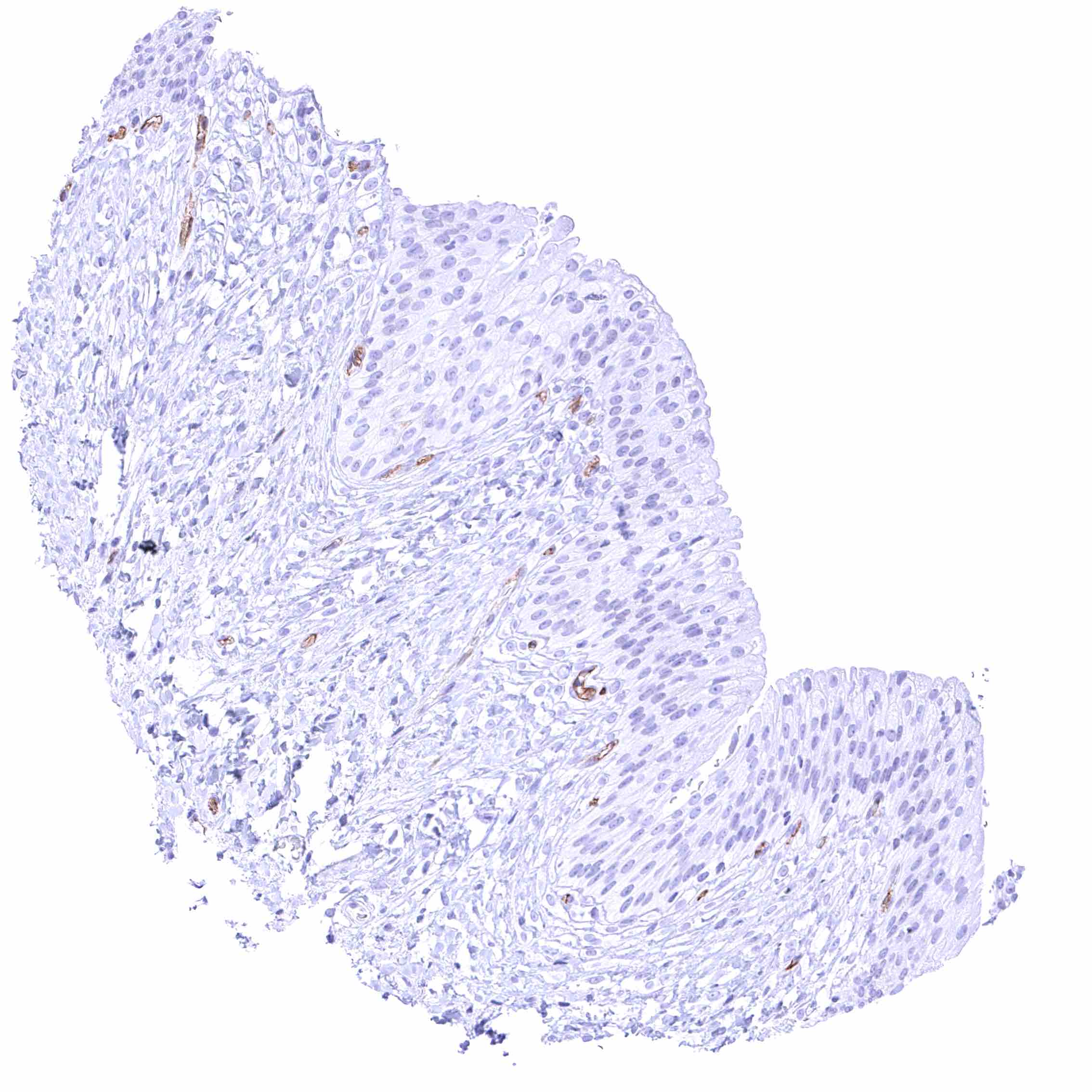
Uterus, ectocervix
Urinary bladder, muscular wall
Urinary bladder, urothelium
Uterus, endocervix
Uterus, endometrium (pregnancy) – Weak to moderate, membranous PODXL staining of few decidua cells.
Uterus, endometrium (proliferation) – Moderate PODXL staining of apical membranes of endometrium glands. .jpeg
Uterus, endometrium (secretion) – Absence of PODXL staining in this sample.
Uterus, myometrium – PODXL of endothelial cells of small vessels.
