Breast – Invasive breast cancer of no special type (NST) with faint PODXL staining of luminal membranes of many tumor cells.
Breast – PODXL negative invasive breast cancer of no special type (NST). .jpeg
Breast – PODXL negative invasive lobular breast cancer. Distinct PODXL positivity of endothelial cells of tumor associated vasculature.
Colon – Colorectal adenocarcinoma with moderate to strong, partly “dot-like”, partly membranous PODXL immunostaining of tumor cells. Distinct PODXL positivity of endothelial cells of tumor associated vasculature
Colon – PODXL negative colorectal adenocarcinoma. .jpeg
Colon – PODXL negative colorectal adenocarcinoma. Distinct PODXL positivity of endothelial cells of tumor associated vasculature.
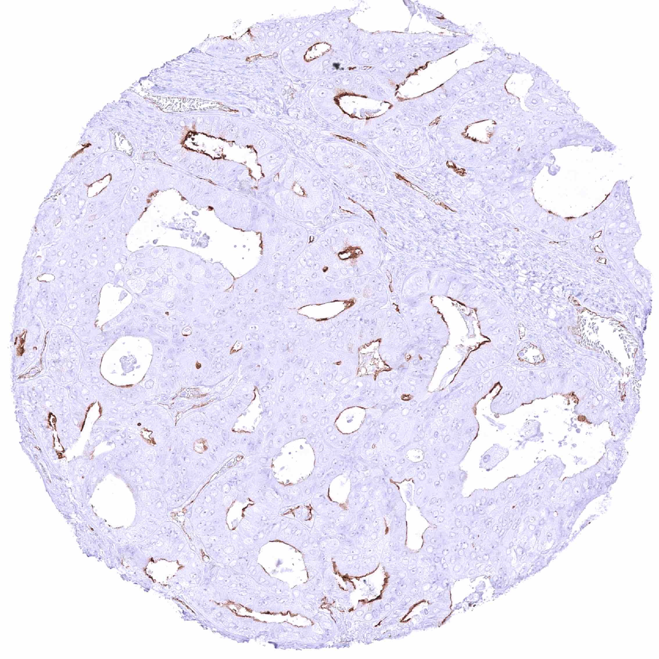
Colon – PODXL negative colorectal adenocarcinoma. Distinct PODXL positivity of endothelial cells of tumor associated vasculature. (2)
Kidney – PODXL negative clear cell carcinoma.
Kidney – PODXL negative clear cell carcinoma. Distinct PODXL positivity of endothelial cells of tumor associated vasculature.
Kidney – PODXL negative oncocytoma.
Kidney – PODXL negative papillary renal cell carcinoma.
Kidney – PODXL negative papillary renal cell carcinoma. Distinct PODXL positivity of endothelial cells of tumor associated vasculature.
Lung – Malignant mesothelioma with moderate to strong, membranous PODXL staining ofabout 40_ of the tumor cells.
Lung – Malignant mesothelioma with strong PODXL staining of a subset (_35_) of tumor cells.
Lung – PODXL negative adenocarcinoma with strong PODXL staining of endothelial cells of tumor associated vasculature
Lung – PODXL negative adenocarcinoma. .jpeg
Lung – PODXL negative squamous cell carcinoma. .jpeg
Oral cavity – PODXL negative squamous cell carcinoma.
Ovary – Endometroid carcinoma with strong PODXL staining of luminal membranes of most tumor cells.
Ovary – PODXL negative clear cell carcinoma.
Ovary – PODXL negative serous high-grade carcinoma. Moderate PODXL positivity of endothelial cells of tumor associated vasculature.
Pharynx – PODXL negative squamous cell carcinoma.
Prostate – PODXL negative adenocarcinoma (Gleason 3+3=6).
Prostate – PODXL negative adenocarcinoma (Gleason 4+3=7).
Prostate – PODXL negative adenocarcinoma (Gleason 4+3=7). Distinct PODXL positivity of endothelial cells of tumor associated vasculature.
Testis – Seminoma with moderate “dot-like” perinuclear PODXL staining of most tumor cells.
Thyroid – PODXL negative papillary carcinoma. Distinct PODXL positivity of endothelial cells of tumor associated vasculature.
Urinary bladder – PODXL negative muscle-invasive urothelial carcinoma. Distinct PODXL positivity of endothelial cells of few vessels.
Urinary bladder – PODXL negative non-invasive papillary urothelial carcinoma (pTa).
