Adrenal gland – Moderate to strong GR positivity of medullary cells while adrenocortical cells are largely GR negative
Aorta, media – Moderate to strong GR positivity of spindle shaped cells in the media
Appendix, mucosa – Moderate GR positivity of epithelial cells. Staining is stronger in lymphocytes
Appendix, mucosa – Moderate GR positivity of superficial epithelial cells. Epithelial cell staining decreases markedly towards the base of crypts. GR staining is markedly stronger in lymphocytes
Appendix, muscular wall – Moderate to strong GR positivity of smooth muscle cells
Bone marrow – Strong GR positivity of almost all hematopoetic cells
Breast – Moderate to strong GR positivity of myoepithelial and luminal cells
Bronchus, mucosa – Moderate to strong GR positivity of respiratory epithelial cells
Cerebellum (white matter)
Cerebellum, cortex (molecular layer, Purkinje cell layer, granule cell layer)
Cerebrum, grey matter – Moderate GR positivity of neuronal cells
Cerebrum, white matter (2)
Cerebrum, white matter
Colon descendens, mucosa – Moderate GR positivity of epithelial cells
Colon descendens, muscular wall – Moderate to strong GR positivity of smooth muscle cells
Duodenum, Brunner gland – Moderate GR positivity of Brunner gland cells
Duodenum, mucosa – Strong GR positivity of superficial epithelial cells. Staining is somewhat weaker in the crypts
Epididymis – Moderate to strong GR positivity of all epithelial cells of the caput epididymis
Esophagus, squamous epithelium – Intense GR staining of squamous epithelial cells. Staining intensity decreases sligthly towards the surface
Fallopian tube, mucosa – Strong GR positivity of all epithelial cells
Fat – Strong GR positivity of fat cells
Gallbladder, epithelium – Strong GR positivity of epithelial cells
Heart muscle – Strong GR positivity of heart muscle cells
Ileum, mucosa – Moderate GR positivity of epithelial cells. Staining is stronger in lymphocytes
Kidney, cortex – Moderate to strong GR positivity of all epithelial cells
Kidney, medulla – Moderate to strong GR positivity of all epithelial cells
Kidney, pelvis, urothelium – Weak to moderate GR positivity of the basal and suprabasal cell layers of the urohelium. Superficial cell layers are largely GR negative
Liver – Moderate GR positivity of hepatocytes, ductal cells and of lymphocytes
Lung – Strong GR positivity of pneumocytes
Lymph node – Strong GR positivity of lymphocytic cells
Ovary, corpus luteum – Moderate to strong GR positivity of corpus luteum cells
Ovary, follicular cyst – Granulosa cells are largely GR negative
Ovary, stroma – Strong GR positivity of stromal cells
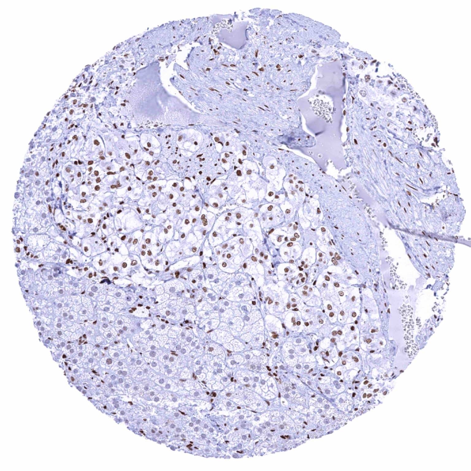
Pancreas – Moderate to strong GR positivity of acinar cells while islet cells show a strong staining
Parathyroid – Moderate to strong GR positivity of epithelial cells
Pituitary gland, anterior lobe – Moderate to strong GR positivity of epithelial cells
Pituitary gland, posterior lobe – Weak GR positivity of pituicytes
Placenta, early – Strong GR staining of trophoblast and stroma cells
Placenta, mature – Strong GR staining of stroma cells while trophoblast cells are negative
Placenta, mature, amnion and chorion – Strong GR positivity of amnion and chorion cells
Prostate – Moderate to strong GR positivity of epithelial cells
Rectum, mucosa – Weak to moderate GR positivity of epithelial cells. GR staining is markedly stronger in lymphocytes
Seminal vesicle – Moderate to strong GR positivity of all epithelial cells
Sinus paranasales – Moderate to strong GR positivity of respiratory epithelial cells
Skeletal muscle – Strong GR positivity of skeletal muscle cells
Skin – Intense GR positivity of squamous epithelial cells. Staining intensity decreases slightly towards the surface
Spleen – Strong GR positivity of lymphocytic cells
Stomach, antrum – Moderate GR positivity of superficial epithelial cells. Staining is weakest in gastric glands
Stomach, corpus – Moderate GR positivity of superficial epithelial cells. Staining is weakest in gastric glands
Submandibular gland – Moderate to strong GR positivity of all epithelial cells
Testis – Intense GR positivity of Sertoli and Leydig cells. Cells of the spermatogenesis do not show significant GR staining
Thymus – Strong GR positivity of lymphocytic cells. GR staining is only weak in squamous epithelial cells of corpuscles of Hassall‘s
Thyroid gland – Moderate to strong GR positivity of follicular epithelial cells
Tonsil – Strong GR positivity of lymphocytic cells
Tonsil, surface epithelium – Intense GR positivity of squamous epithelial cells. Staining intensity decreases slightly towards the surface
Urinary bladder, muscular wall – Moderate GR positivity of smooth muscle cells
Urinary bladder, urothelium – Weak to moderate GR positivity of the basal and suprabasal cell layers of the urohelium. Superficial cell layers are largely GR negative
Uterus, ectocervix – Significant GR staining of squamous epithelial cells. Staining intensity decreases sligthly towards the surface
Uterus, endocervix – Moderate GR positivity of epithelial cells
Uterus, endometrium (pregnancy) – Moderate GR positivity of decidua and of epithelial cells
Uterus, endometrium (secretion) – Moderate GR positivity of stroma cells while endometrium cells are largely GR negative
Uterus, myometrium – Strong GR positivity of myometrial cells
