Adrenal gland – Adrenocortical adenoma showing only a faint GR staining of tumor cells while stroma cell staining is more intense
Adrenal gland – Pheochromocytoma with strong GR staining of tumor cells
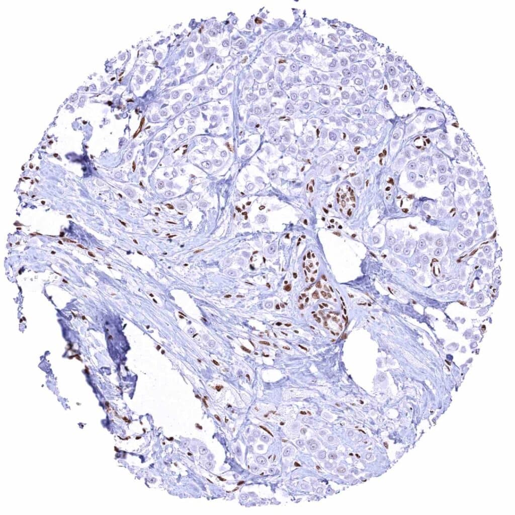
Breast – GR negative invasive breast cancer of no special type (NST). GR staining is strong in stromal cells
Breast – GR negative invasive lobular breast cancer exhibiting a distinct GR staining in stromal cells
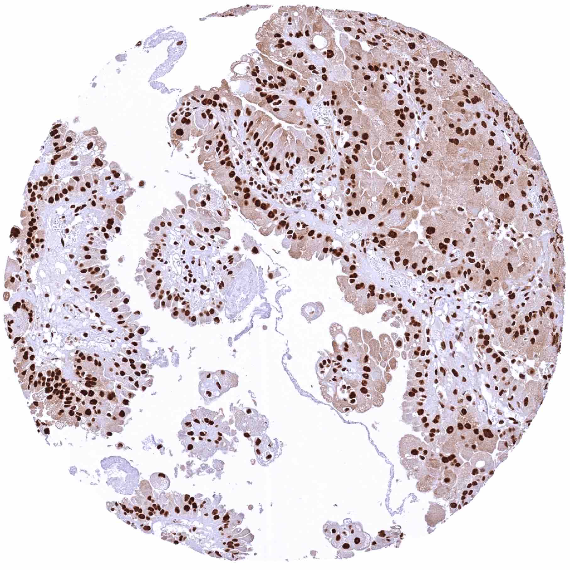
Colon – Colorectal adenocarcinoma with moderate to strong GR positivity of tumor cells while staining is even stronger in stroma cells
Colon – GR negative colorectal adenocarcinoma. GR staining is retained in stromal cells
Esophagus – Adenocarcinoma with only faint GR staining of a small group of tumor cells while inflammatory cells show strong GR positivity
Esophagus – Squamous cell carcinoma with strong GR staining of all tumor cells
Kidney – Clear cell renal cell carcinoma with strong GR positivity of tumor cells
Kidney – GR negative clear cell carcinoma. GR staining is only seen in stromal cells
Kidney – Papillary renal cell carcinoma with strong GR staining of tumor cells
Kidney – Papillary renal cell carcinoma with strong nuclear but also significant GR staining of tumor cells
Liver – Cholangiocellular carcinoma with strong GR positivity of tumor cells
Liver – Hepatocellular carcinoma with strong GR immunostaining of tumor cells
Lung – Adenocarcinoma with strong GR positivity of all tumor cells
Lymph node – Diffuse large B-cell lymphoma with strong nuclear and weak cytoplasmic GR staining of tumor cells
Lymph node – Follicular B-cell lymphoma with strong GR staining of all tumor cells
Lymph node – Hodgkin’s lymphoma with strong GR staining of tumor cells and of reactive inflammatory cells
Ovary – GR negative clear cell carcinoma. GR staining is retained in stromal cells
Ovary – GR negative serous high-grade carcinoma showing a strong GR staining of stromal cells
Ovary – Serous high-grade carcinoma showing a strong GR immunostaining of all tumor cells
Pancreas – Ductal adenocarcinoma with moderate to strong GR staining of tumor cells
Pancreas – GR negative neuroendocrine tumor. GR staining is only seen in stromal cells
Pancreas – Neuroendocrine tumor with strong GR positivity of tumor cells
Pharynx – Squamous cell carcinoma with strong GR positivity of tumor and stromal cells
Prostate – Adenocarcinoma (Gleason 3+3=6) with strongly reduced GR staining in tumor cells as compared to adjacent normal epithelial cells
Prostate – Adenocarcinoma (Gleason 5+4=9) with strong GR staining of tumor cells
Prostate – GR negative adenocarcinoma (Gleason 4+4=8) with strong GR positivity of stromal cells
Prostate – GR negative adenocarcinoma (Gleason 4+4=8). GR staining only occurs in stromal cells
Salivary gland – Warthin tumor with moderate to strong GR staining of epithelial cells while staining is strong in inflammatory cells
Skin – Melanoma with strong GR immunostaining of tumor cells
Soft tissue – GR negative rhabdoid tumor. GR staining is only seen in non-neoplastic cells
Stomach – Gastric adenocarcinoma showing a strong GR staining of tumor and stroma cells
Stomach – Gastrointestinal stromal tumor (GIST) with strong GR staining of all tumor cells
Stomach – GR negative diffuse type gastric adenocarcinoma with intermingled stroma cells showing strong GR positivity
Stomach – GR negative gastric adenocarcinoma (diffuse type) with intermingled stroma cells showing strong GR expression
Stomach – GR negative gastric adenocarcinoma
Testis – GR negative embryonal carcinoma. GR staining is retained in stromal cells
Testis – GR negative seminoma. GR staining only occurs in stromal cells
Testis – Leydig cell tumor with strong GR immunostaining of tumor cells
Thyroid – Anaplastic carcinoma with strong GR positivity of all tumor cells
Thyroid – Medullary cancer with moderate to strong GR staining of tumor cells
Urinary bladder – GR negative muscle-invasive urothelial carcinoma with mucinous features. GR staining is strong in stromal cells
Urinary bladder – Muscle-invasive urothelial carcinoma with strong GR staining of all tumor cells
Uterus – Cervical adenocarcinoma with moderate GR staining of tumor cells
