Adrenal gland
Aorta, media
Appendix, mucosa
Appendix, muscular wall
Bone marrow
Breast – Absence of CLDN6 staining of epithelial cells in this sample.
Breast – Faint CLDN6 staining of apical membranes of luminal epithelial cells of breast glands (cross-reactive).
Bronchus, mucosa
Cerebellum (molecular layer, Purkinje cell layer, granule cell layer)
Cerebellum (white matter)
Cerebrum (grey matter)
Cerebrum (white matter)
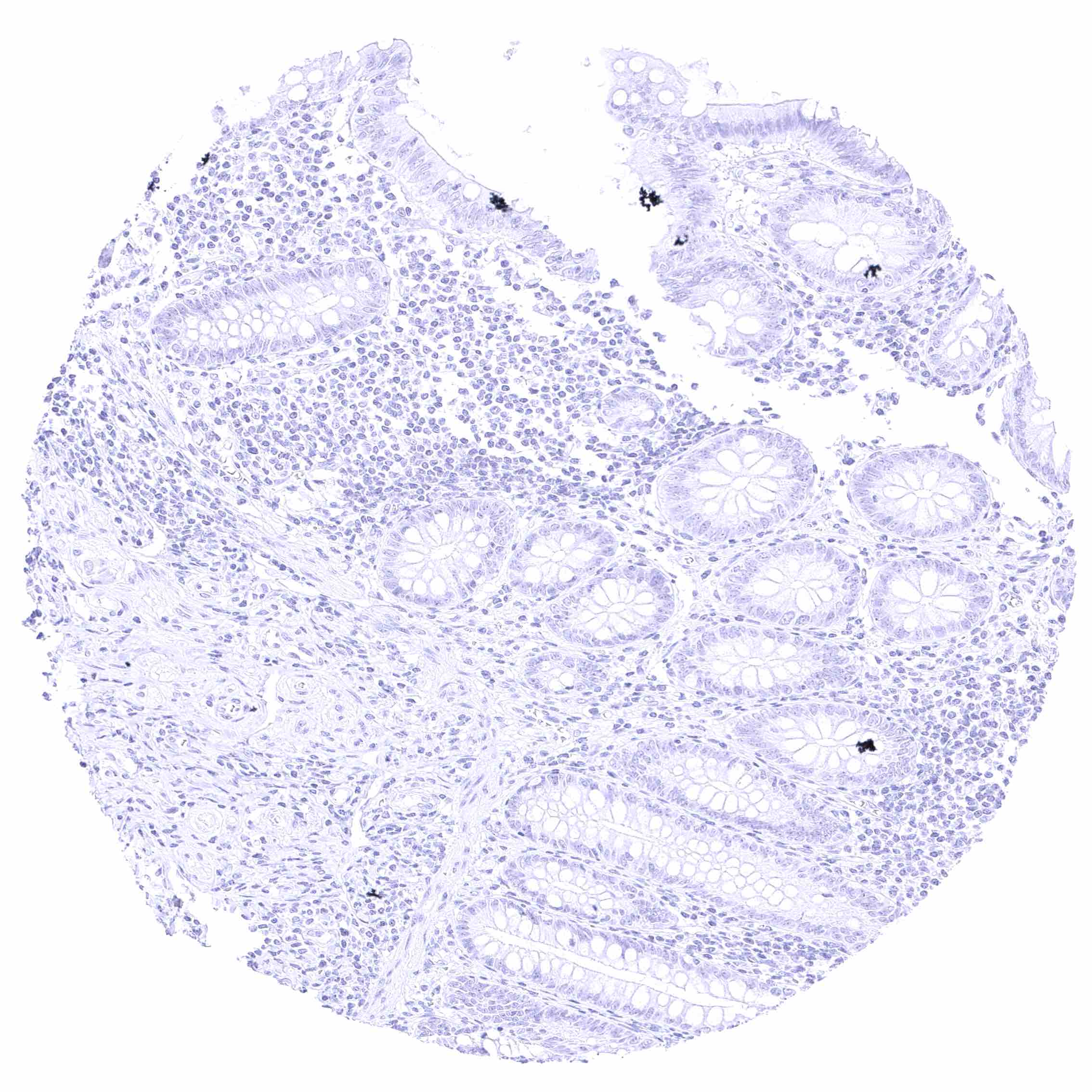
Colon descendens, mucosa
Colon descendens, muscular wall
Duodenum, Brunner gland
Duodenum, mucosa
Epididymis, Caput
Esophagus, muscular wall.jpeg
Esophagus, squamous epithelium
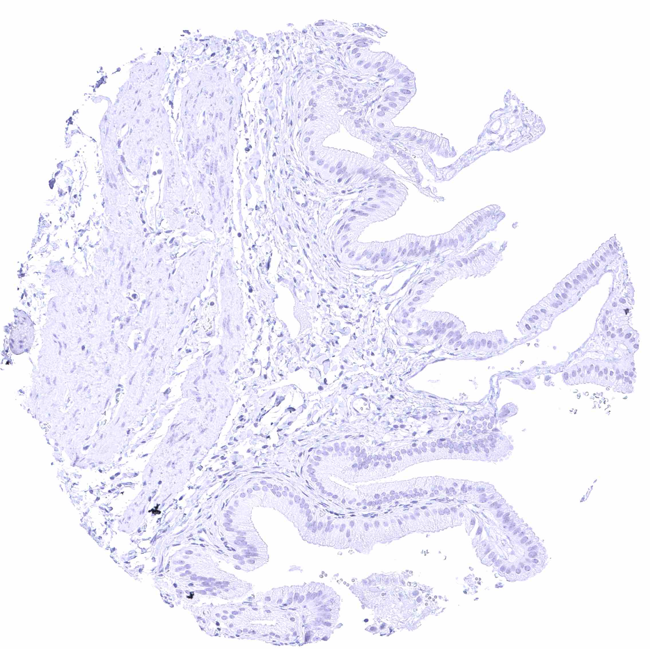
Fallopian tube, mucosa
Fat
Gallbladder, epithelium
Heart muscle – Absence of CLDN6 staining of heart muscle fibers in this sample.
Heart muscle – Weak to moderate cytoplasmic CLDN6 staining of most heart muscle fibers (cross-reactive).
Ileum, mucosa
Ileum, muscular wall
Kidney, cortex – Absence of CLDN6 staining in this sample.
Kidney, cortex – Weak to moderate membranous CLDN6 staining of few cells in a dilated tubular structure (distal tubulus or collection duct).
Kidney, medulla
Kidney, pelvis, muscular wall
Kidney, pelvis, urothelium
Liver
Lung
Lymph node
Ovary, corpus luteum
Ovary, follicular cyst
Ovary, stroma
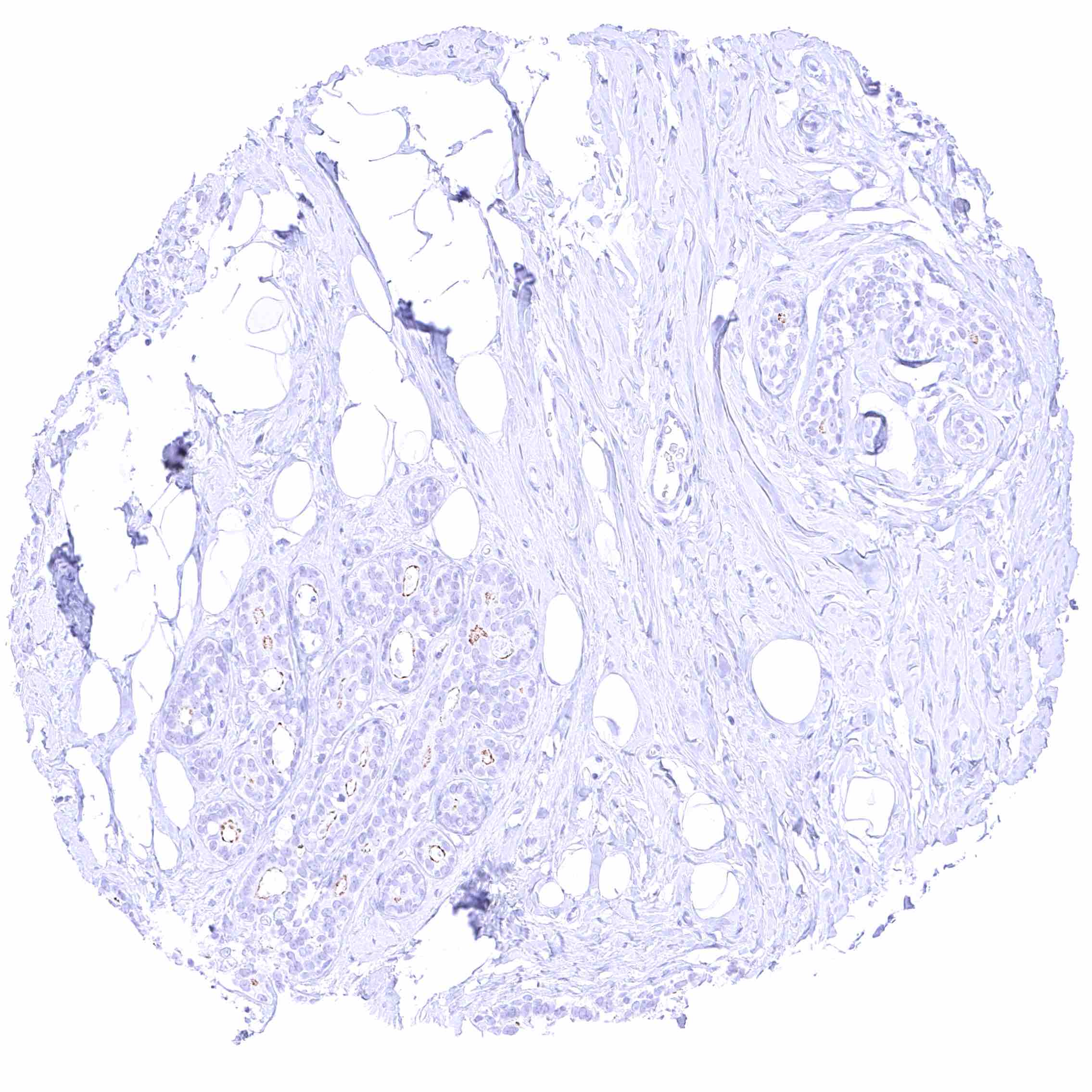
Pancreas – Moderate CLDN6 staining of (mainly apical-luminal) membranes in a fraction of cells (intercalated ducts and-or acinar cells).
Pancreas – Weak CLDN6 staining of (mainly apical-luminal) membranes in a fraction of cells (intercalated ducts and-or acinar cells).
Parathyroid gland
Parotid gland
Pituitary gland, anterior lobe – Faint CLDN6 staining some membranes of few epithelial cells.
Pituitary gland, posterior lobe
Placenta (amnion and chorion) – Weak to moderate membranous CLDN6 staining of few chorion cells (in this sample).
Placenta, early – Moderate membranous CLDN6 staining of cytotrophoblast cells.
Placenta, mature – Absence of unequivocal CLDN6 staining in the mature placenta.
Prostate
Rectum, mucosa
Seminal vesicle
Sinus paranasales
Skeletal muscle – Faint cytoplasmic CLDN6 staining of some muscle fibers.
Skeletal muscle – Weak to moderate cytoplasmic CLDN6 staining of some muscle fibers (cross-reactive).
Skin, hairfollicel and sebaceous glands
Skin
Spleen
Stomach, antrum
Stomach, antrum
Stomach, corpus
Stomach, corpus
Stomach, muscular wall
Submandibular gland
Testis
Thymus
Thyroid gland
Tonsil, surface epithelium
Tonsil
Urinary bladder, muscular wall
Urinary bladder, urothelium
Uterus, ectocervix
Uterus, endocervix
Uterus, endometrium (pregnancy)
Uterus, endometrium (proliferation)
Uterus, endometrium (secretion)
Uterus, myometrium
