Adrenal gland – CLDN6 negative adrenocortical adenoma.
Adrenal gland – CLDN6 negative pheochromocytoma.
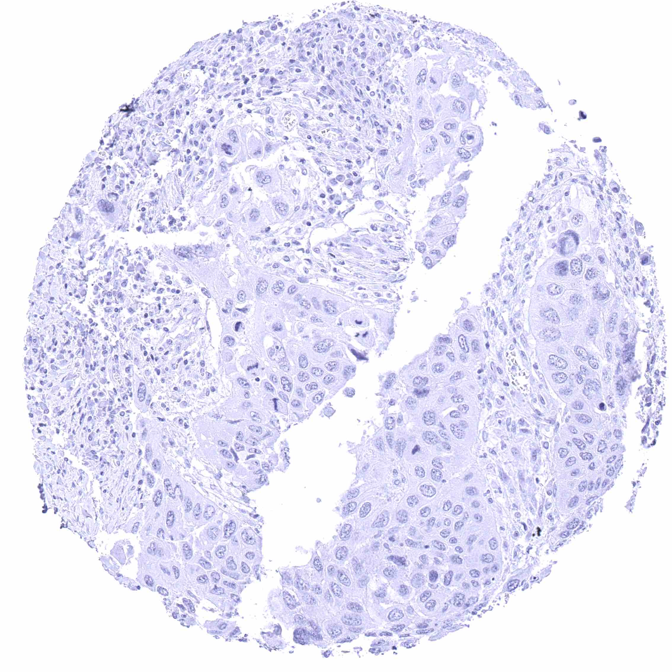
Breast – CLDN6 negative invasive breast cancer of no special type (NST).
Colon – CLDN6 negative colorectal adenocarcinoma.
Esophagus – CLDN6 negative adenocarcinoma.
Esophagus – CLDN6 negative squamous cell carcinoma.
Kidney – CLDN6 negative clear cell carcinoma. .jpeg
Kidney – CLDN6 negative papillary renal cell carcinoma.
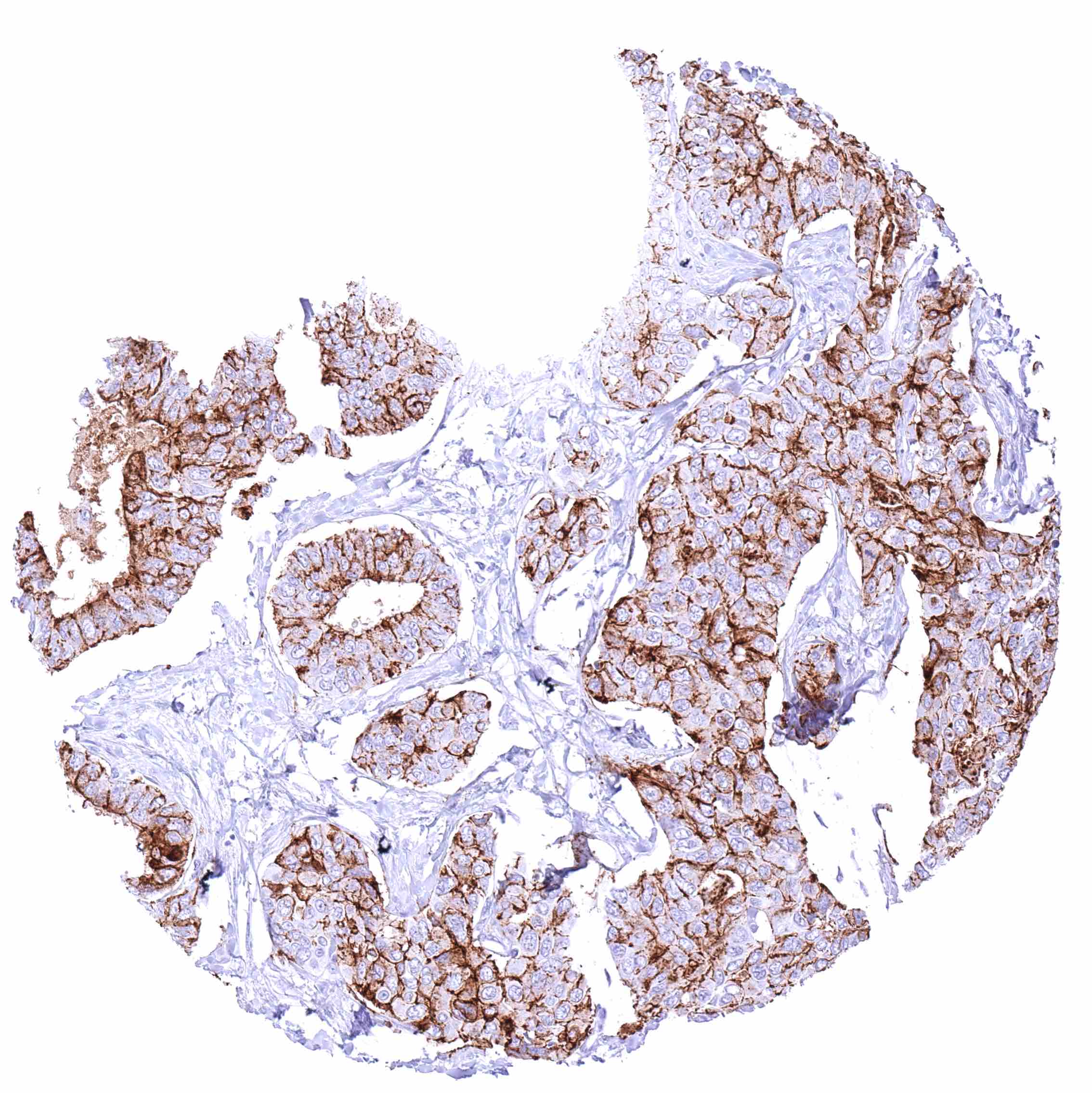
Liver – Cholangiocellular carcinoma with strong CLDN6 staining of all tumor cells. .jpeg
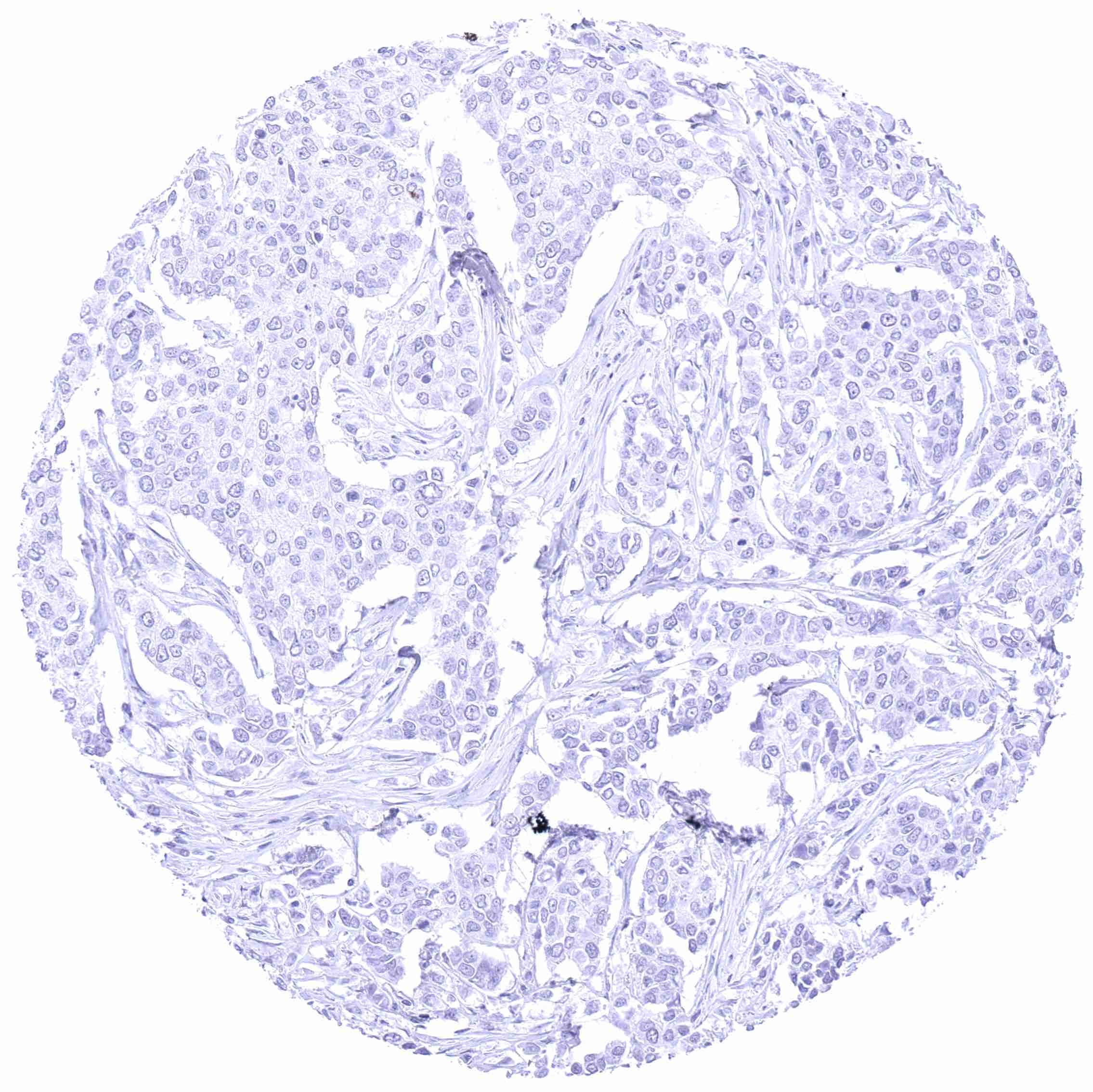
Liver – CLDN6 negative hepatocellular carcinoma.
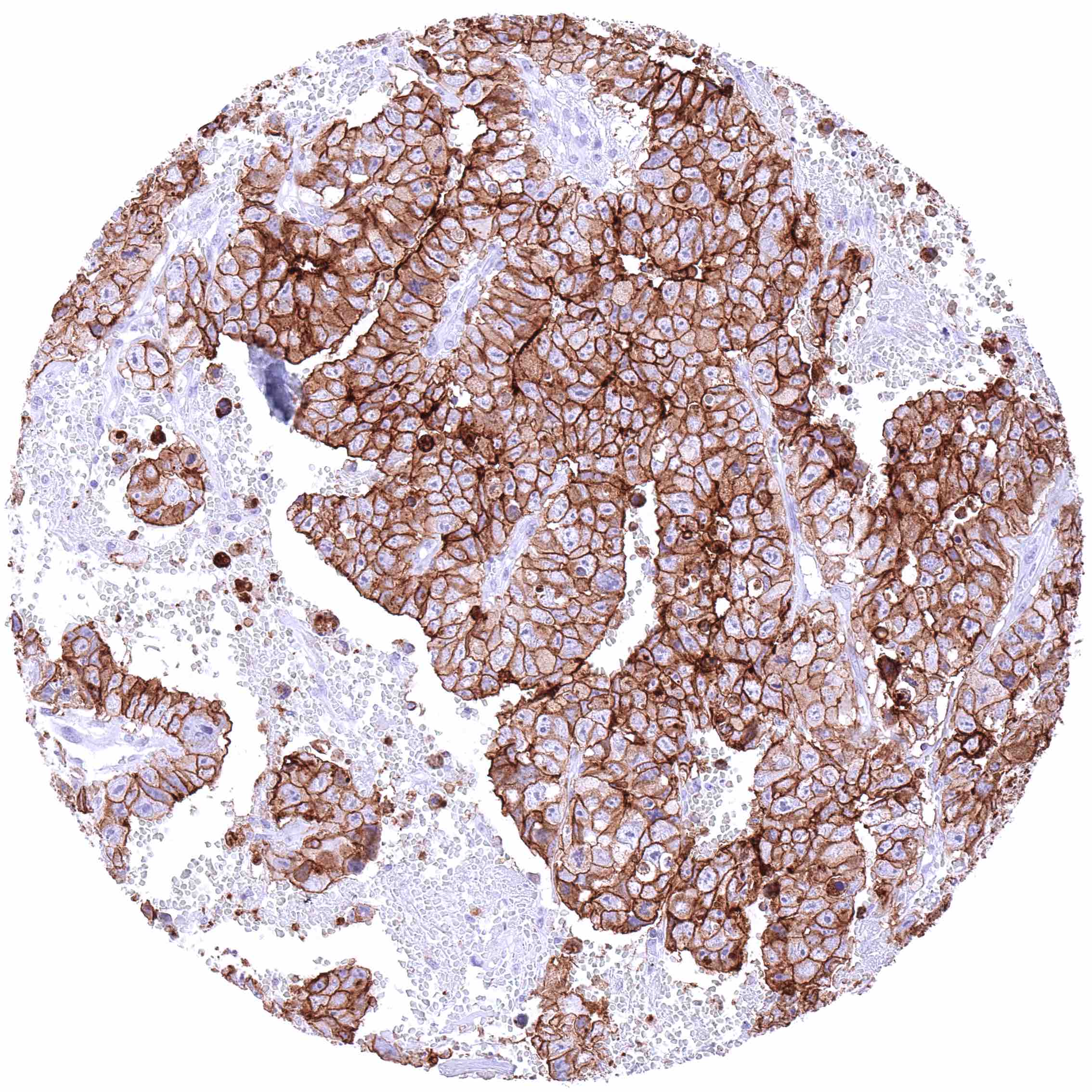
Lung – Adenocarcinoma with strong CLDN6 positivity of _ 90_ of tumor cells.
Lung – CLDN6 negative squamous cell carcinoma. .jpeg
Lymph node – CLDN6 negative diffuse large B-cell lymphoma.
Lymph node – CLDN6 negative Hodgkin’s lymphoma.
Ovary – CLDN6 negative clear cell carcinoma.
Ovary – CLDN6 negative mucinous carcinoma.
Ovary – CLDN6 negative serous high-grade carcinoma.
Ovary – Endometroid carcinoma with strong CLDN6 staining of about 50_ of tumor cells.
Ovary – Malignant mixed Mullerian tumor with strong CLDN6 staining of epithelial but not mesenchymal tumor cells.
Ovary – Serous high-grade carcinoma with intense CLDN6 positivity of all tumor cells.
Ovary – Serous high-grade carcinoma with strong CLDN6 staining of about 20_ of tumor cells.
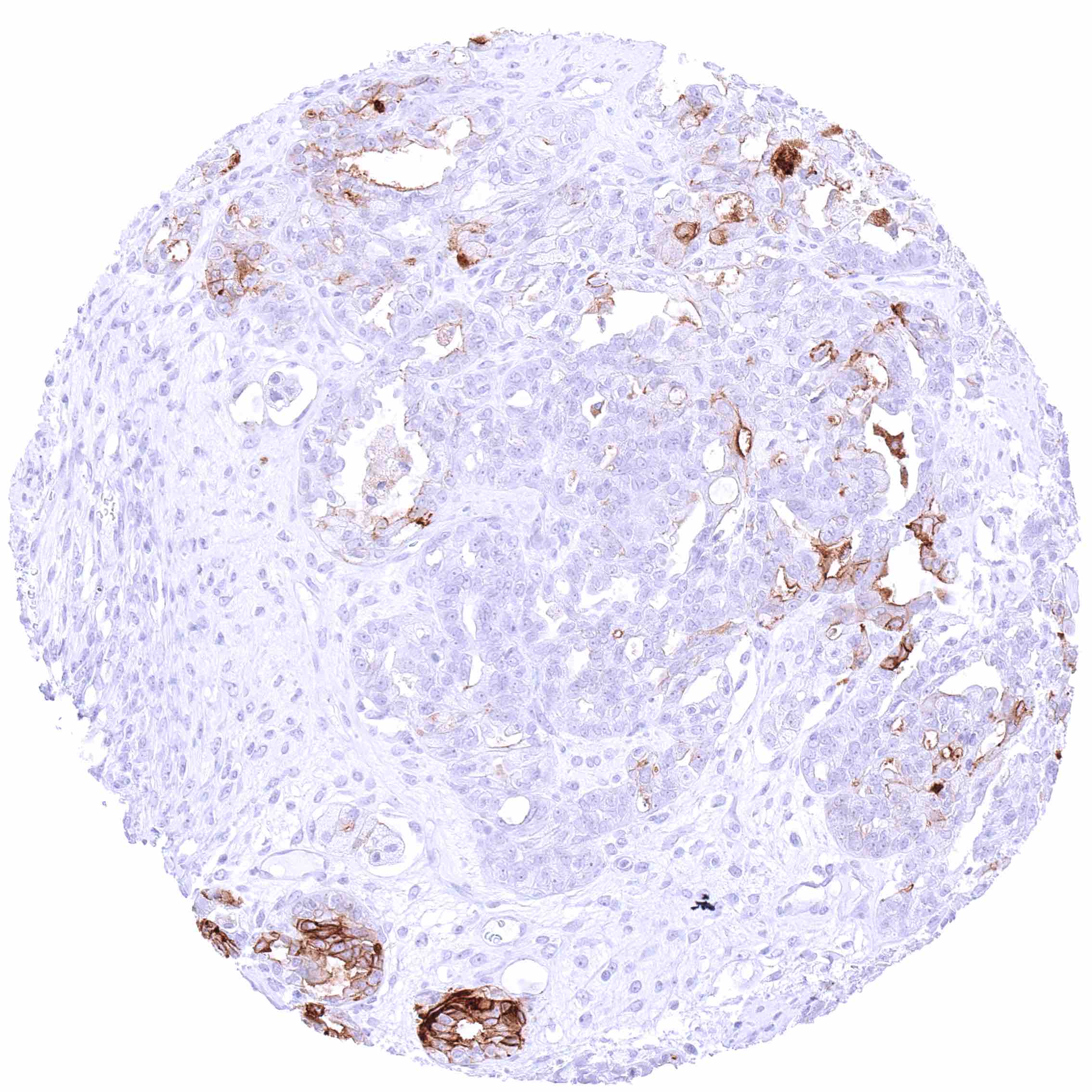
Pancreas – CLDN6 negative ductal adenocarcinoma. .jpeg
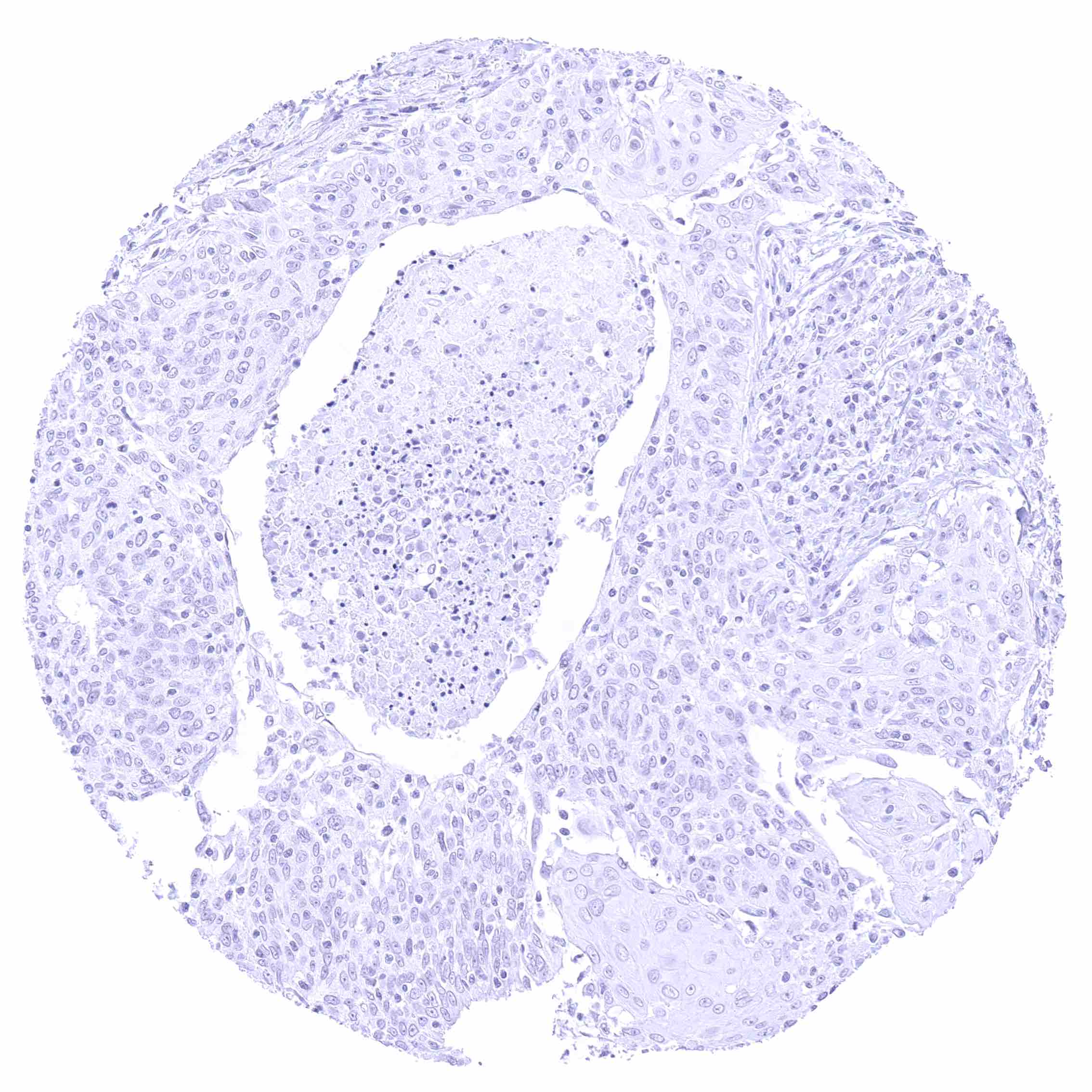
Pancreas – CLDN6 negative neuroendocrine tumor.
Penis – CLDN6 negative squamous cell carcinoma.
Prostate – CLDN6 negative adenocarcinoma (Gleason 3+3=6).
Salivary gland – CLDN6 negative Warthin tumor.
Soft tissue – CLDN6 negative leiomyosarcoma.
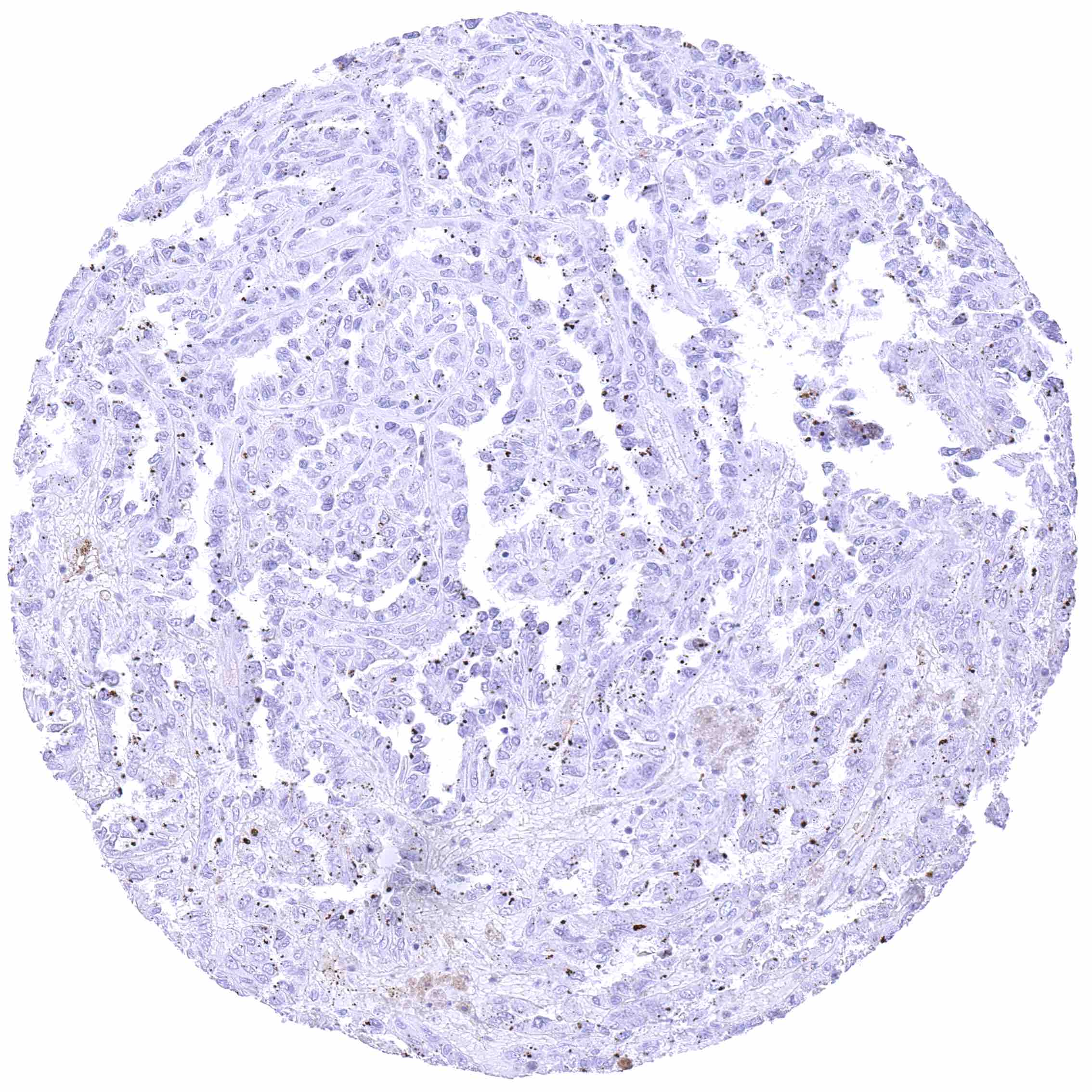
Stomach – CLDN6 negative gastric adenocarcinoma (diffuse type).
Stomach – CLDN6 negative gastric adenocarcinoma.
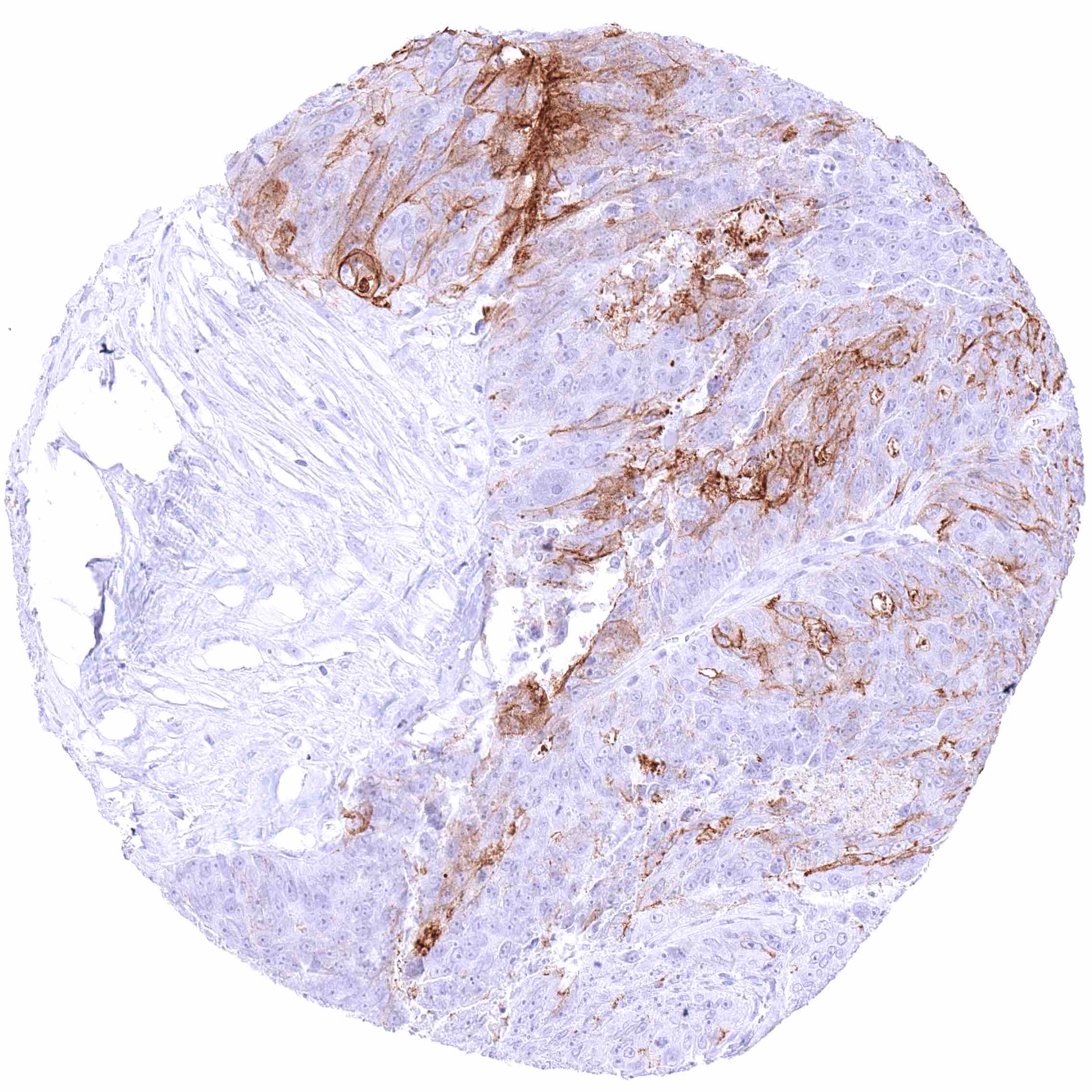
Stomach – CLDN6 negative gastrointestinal stromal tumor (GIST). .jpeg
Stomach – Gastric adenocarcinoma (intestinal type) with strong CLDN6 immunostaining of most tumor cells.
Testis – Embryonal carcinoma with strong CLDN6 staining of all tumor cells.
Testis – Seminoma with strong CLDN6 immunostaining of all tumor cells.
Testis – Yolk sac tumor with distinct membranous CLDN6 positivity of all tumor cells.
Urinary bladder – Muscle-invasive urothelial carcinoma with strong CLDN6 staining of _60_ of tumor cells.
Uterus, cervix – CLDN6 negative adenocarcinoma.
Vulva – Squamous cell carcinoma with weak to moderate CLDN6 staining of tumor cells.
