Adrenal gland
Aorta, endothelium
Appendix, mucosa – Epithelial cells are CD70 negative. Distinct CD70 positivity of a fraction of lymphocytic cells.
Appendix, muscular wall
Bone marrow
Breast
Bronchus, mucosa
Cerebellum (white matter)
Cerebellum, cortex (molecular layer, Purkinje cell layer, granule cell layer)
Cerebrum, grey matter
Cerebrum, white matter
Colon descendens, mucosa
Duodenum, Brunner gland
Duodenum, mucosa
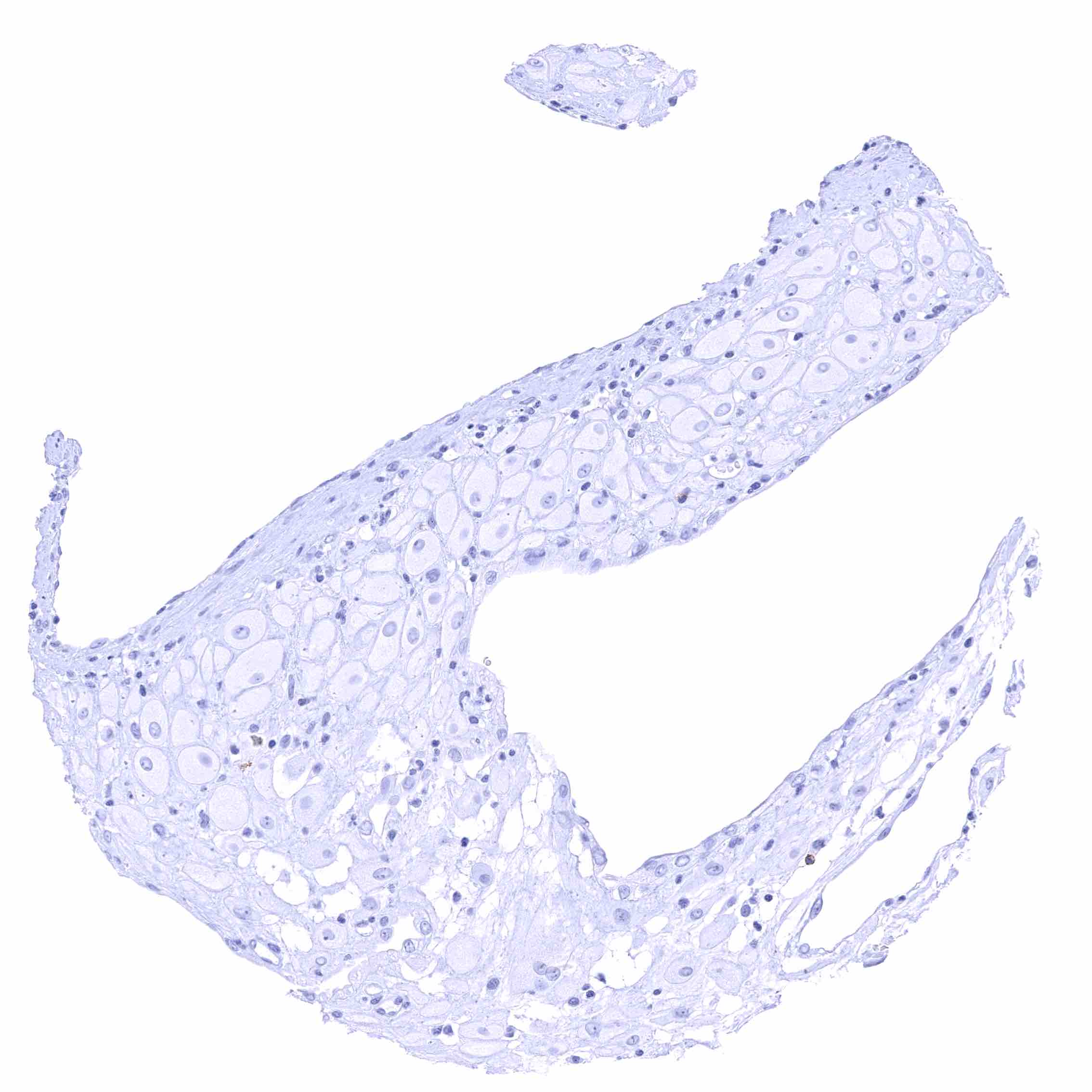
Epididymis (Caput)
Esophagus, muscular wall
Esophagus, muscular wall
Esophagus, squamous epithelium
Fallopian tube, mucosa
Fat
Gallbladder, epithelium
Heart muscle
Ileum, mucosa
Ileum, mucosa
Ileum, muscularis
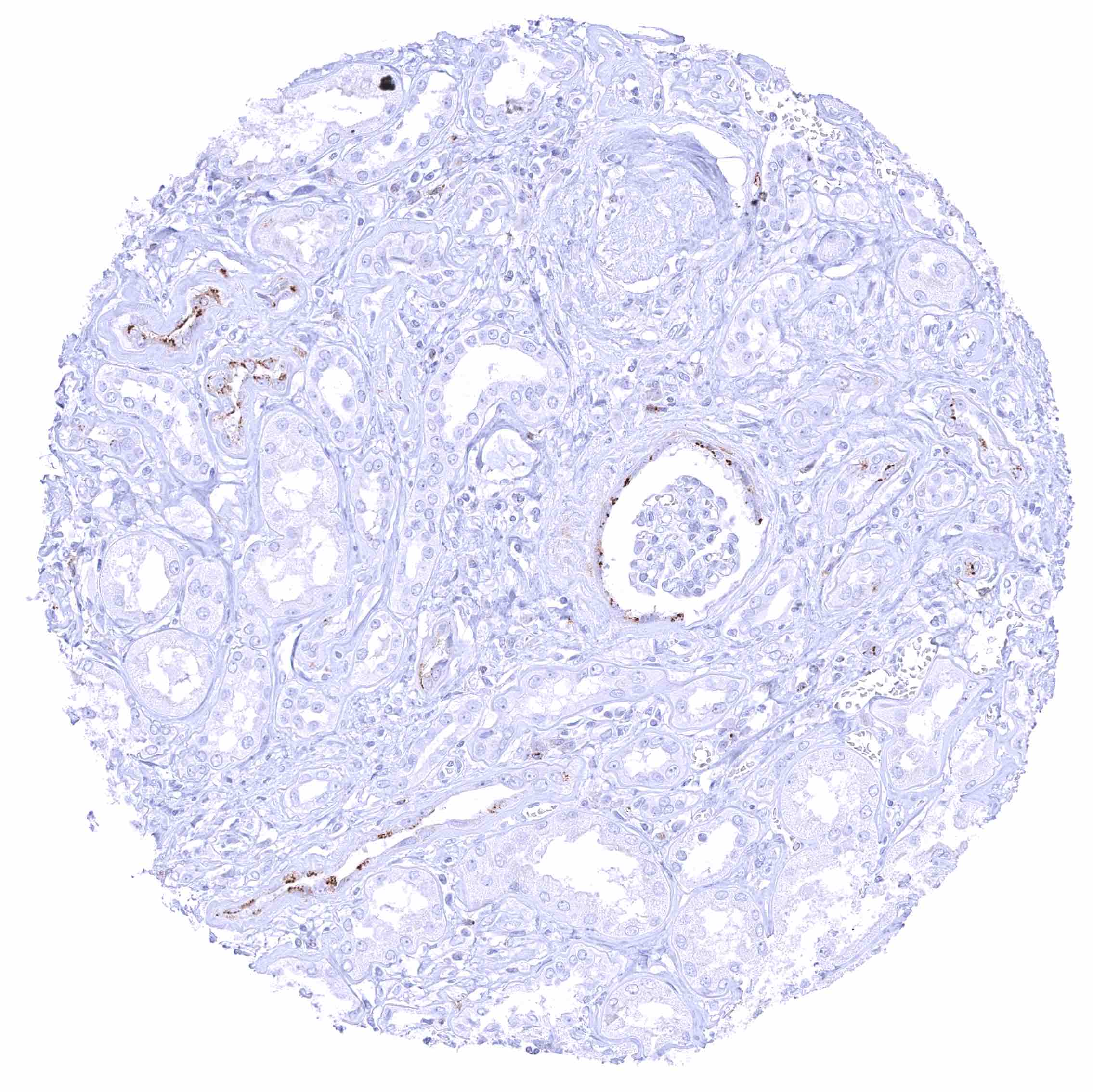
Kidney, cortex – Distinct CD70 membranous staining of the parietal layer of the Bowman capsule and of the luminal surface membrane of few tubuli which appear atrophic.
Kidney, cortex
Kidney, medulla
Kidney, pelvis, urothelium.jpeg
Liver
Lung
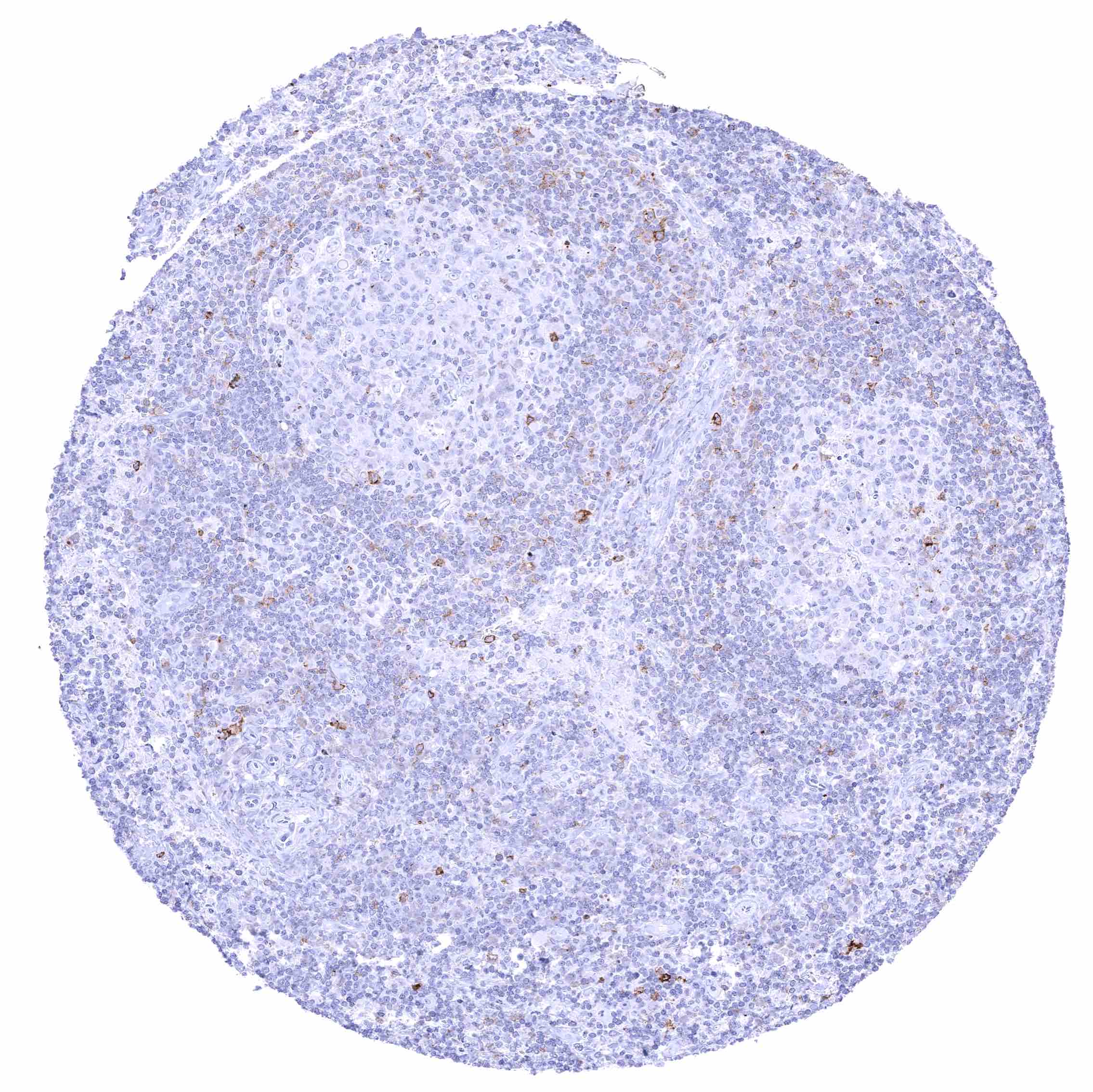
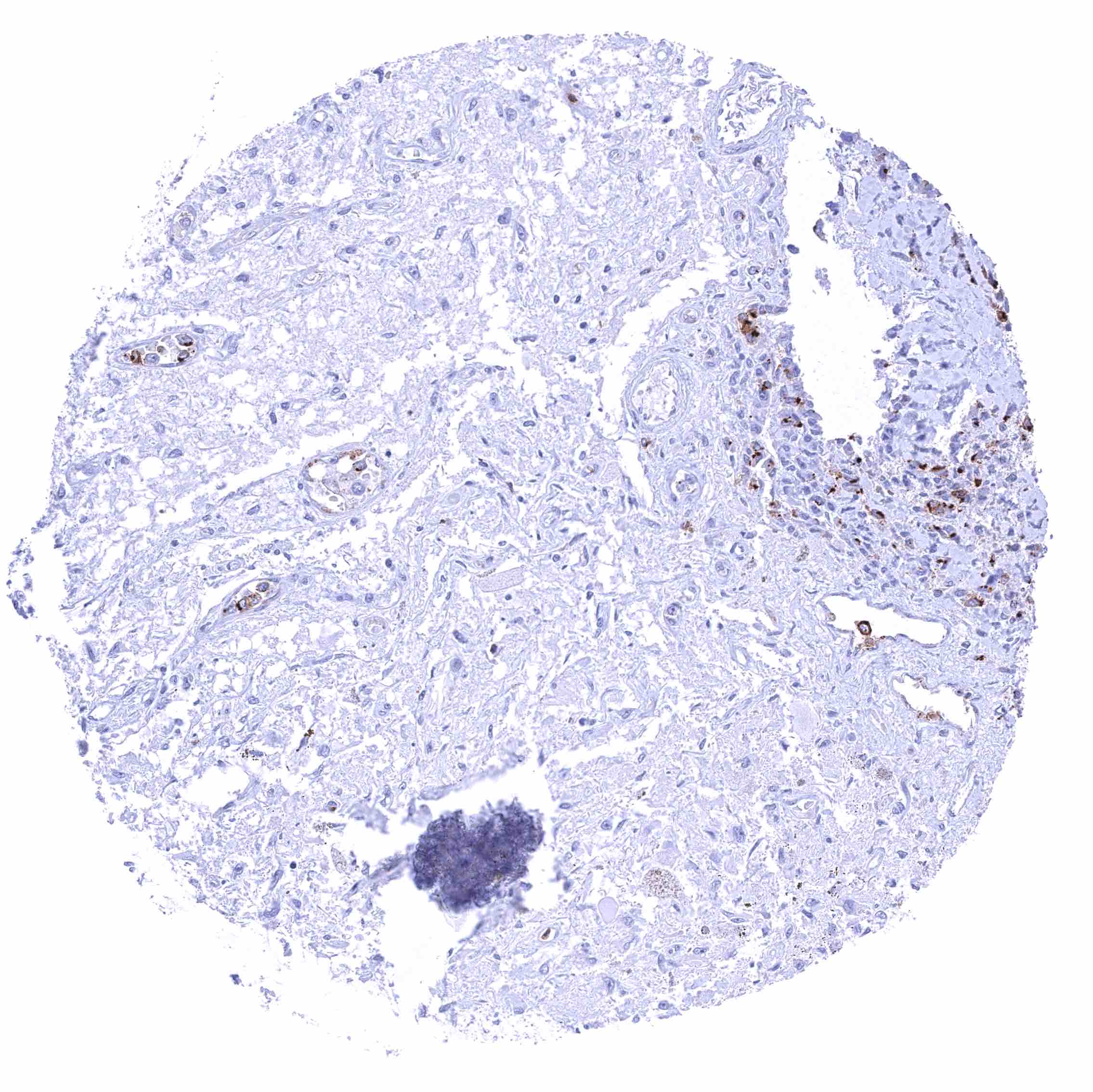
Lymph node – Membranous CD70 staining of variable intensity in subsets of cells (mostly lymphocytes). Most CD70 positive cells are interfollicular.
Ovary, corpus luteum
Ovary, follicular cyst
Ovary, stroma
Pancreas
Parathyroid gland
Parotid gland
Pituitary gland, anterior lobe
Pituitary gland, posterior lobe
Placenta (amnion and chorion)
Placenta (amnion and chorion)
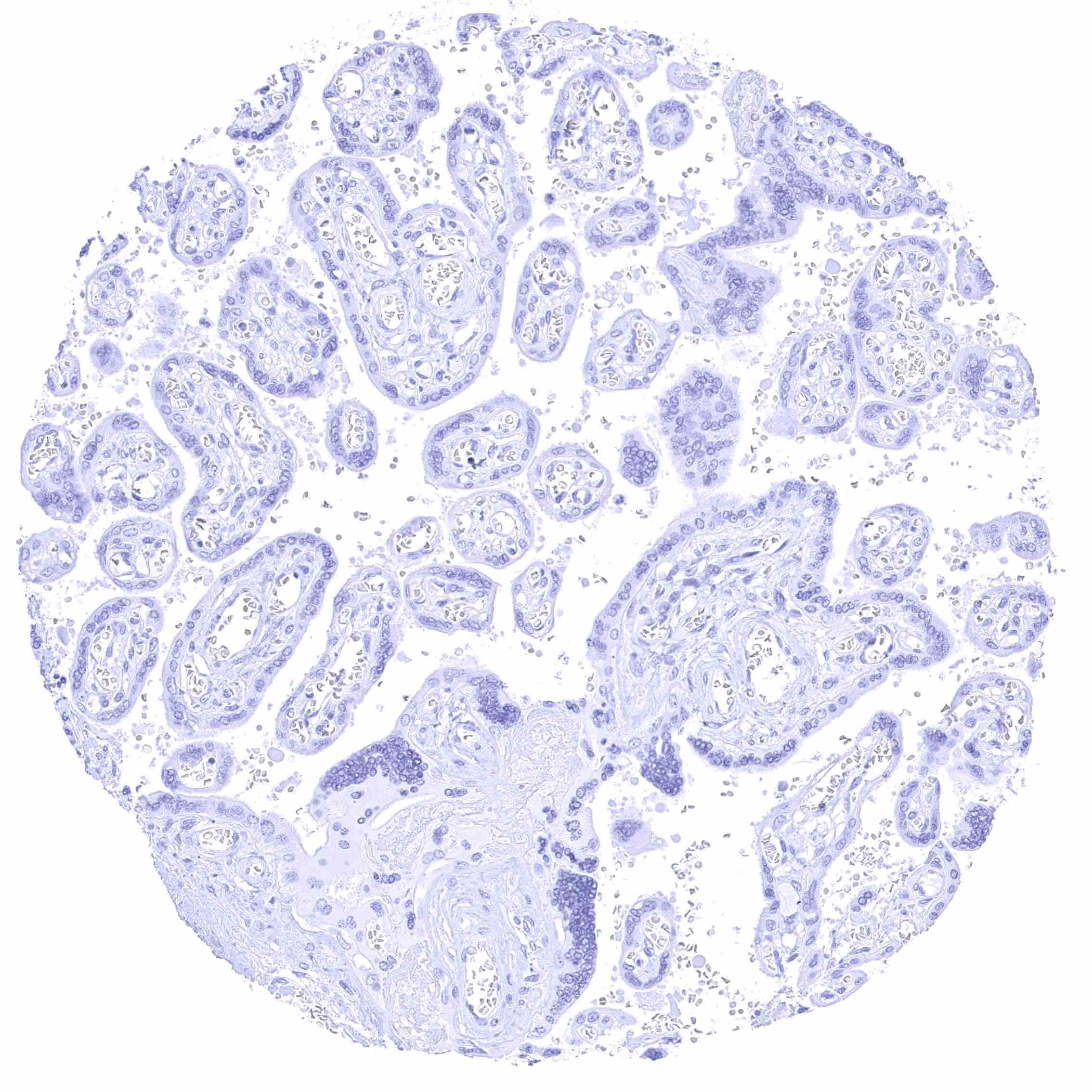
Placenta, early
Placenta, mature
Prostate
Rectum, mucosa
Seminal vesicle
Skeletal muscle
Skin – Membranous CD70 staining of few intraepithelial cells (probably lymphocytes).
Skin, hairfollicel and sebaceous glands
Spleen – Membranous CD70 staining of variable intensity in a fraction of cells.
Stomach, antrum
Stomach, corpus
Submandibular gland
Testis
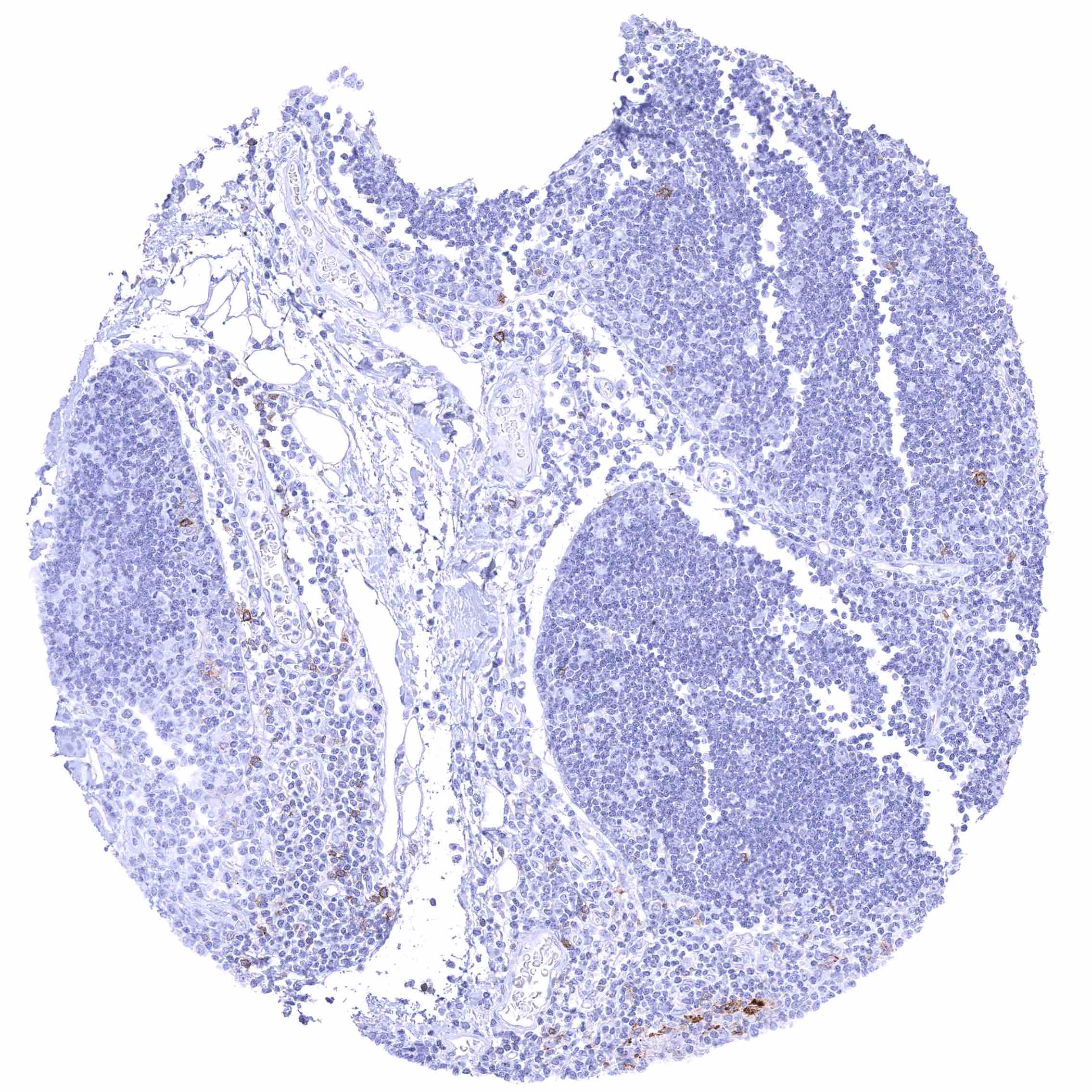
Thymus – Membranous CD70 staining of variable intensity in a small subset of cells.
Thyroid gland
Tonsil – Membranous CD70 staining of variable intensity in subsets of cells (mostly lymphocytes). Most CD70 positive cells are interfollicular.
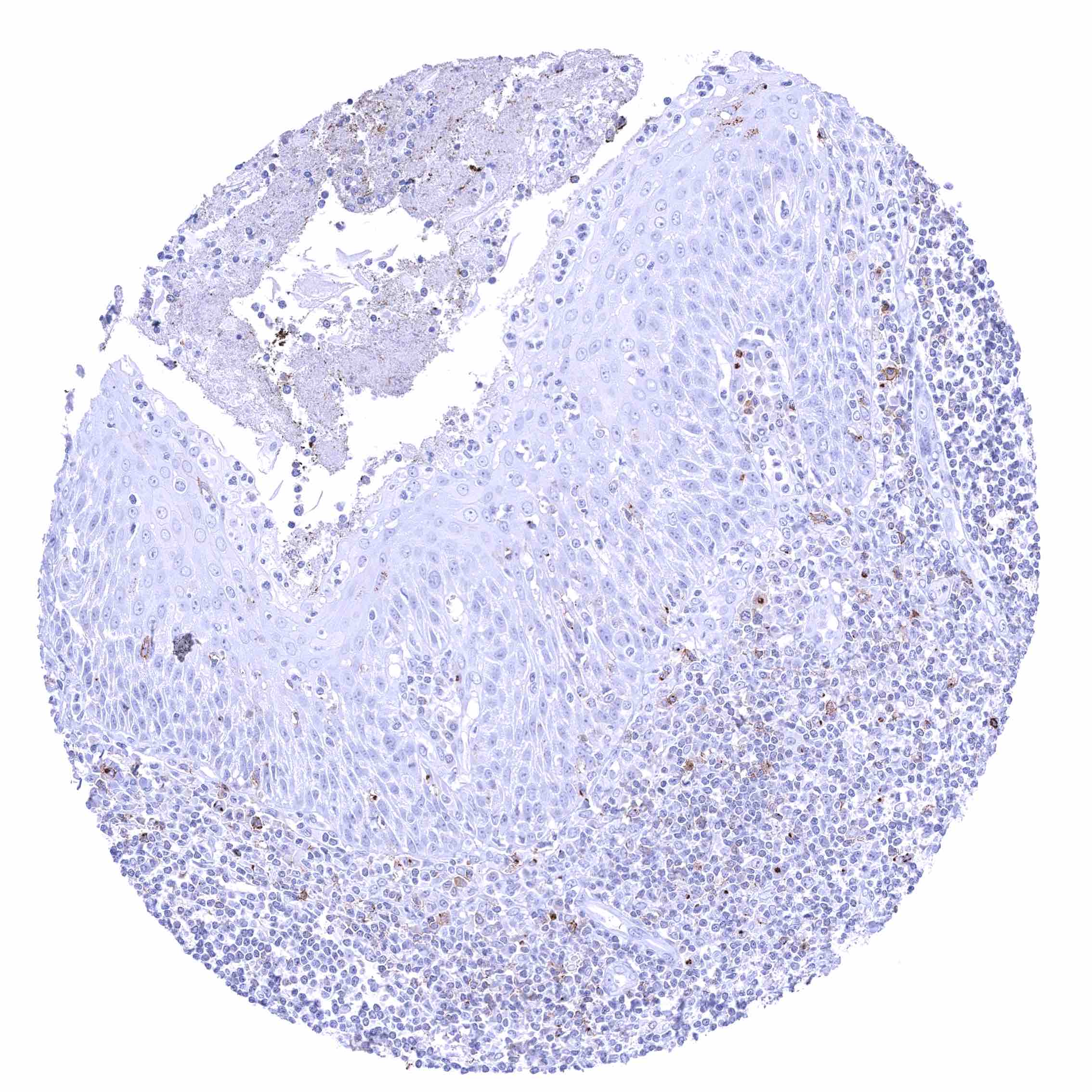
Tonsil, surface epithelium – Membranous CD70 staining of a subset of lymphocytes while squamous epithelium remains negative.
Urinary bladder, muscular wall
Urinary bladder, urothelium – Membranous CD70 staining of intraepithelial lymphocytes.
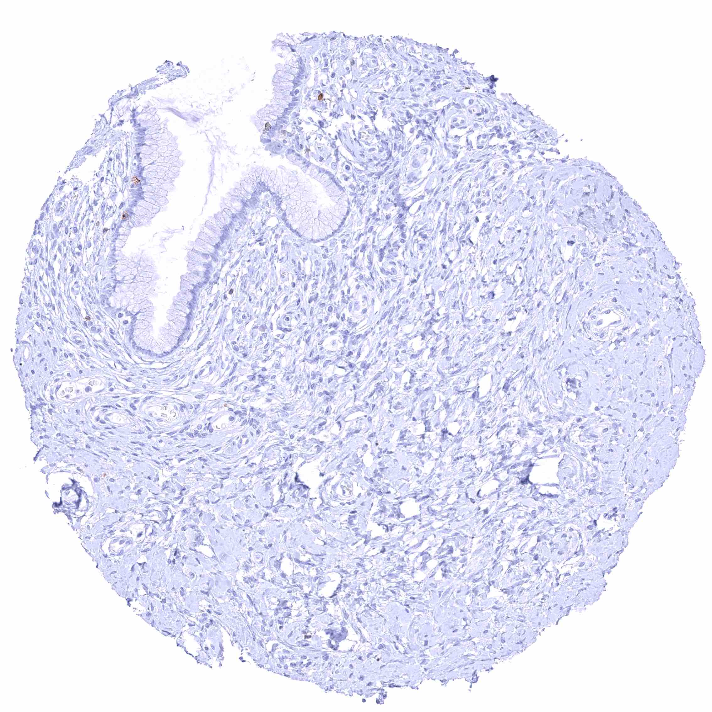
Uterus, ectocervix
Uterus, endocervix.jpeg
Uterus, endometrium (pregnancy)
Uterus, endometrium (proliferation)
Uterus, endometrium (secretion)
Uterus, endometrium (secretion)
Uterus, myometrium
