Adrenal gland – Adrenocortical adenoma with weak CD70 staining of a large fraction of tumor cells.
Adrenal gland – CD70 negative adrenocortical adenoma.
Adrenal gland – CD70 negative pheochromocytoma.
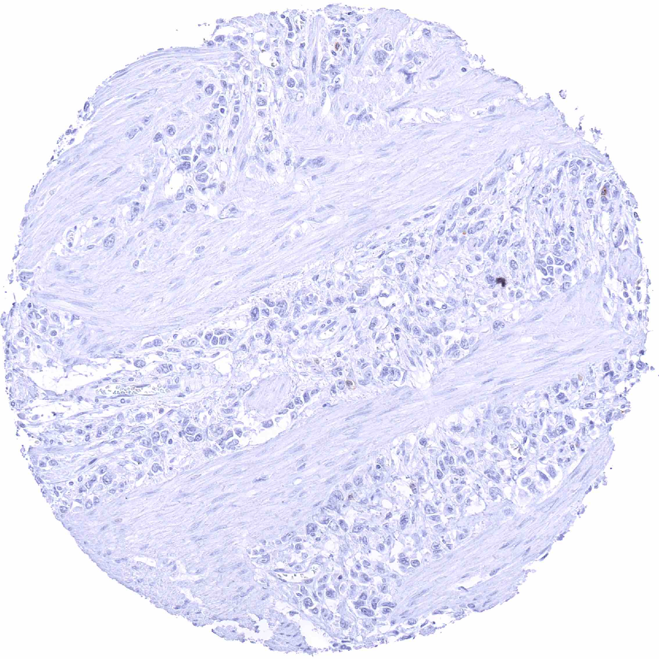
Anal canal – Squamous cell carcinoma with a weak to moderate CD70 staining of a fraction of tumor cells.
Anal canal – Squamous cell carcinoma with strong membranous CD70 staining of tumor cells.
Breast – CD70 negative invasive lobular breast cancer.
Breast – Invasive breast cancer of no special type (NST) with moderate to strong membranous CD70 positivity of most tumor cells.
Colon – CD70 negative colorectal adenocarcinoma.
Esophagus – CD70 negative adenocarcinoma.
Esophagus – CD70 negative squamous cell carcinoma.
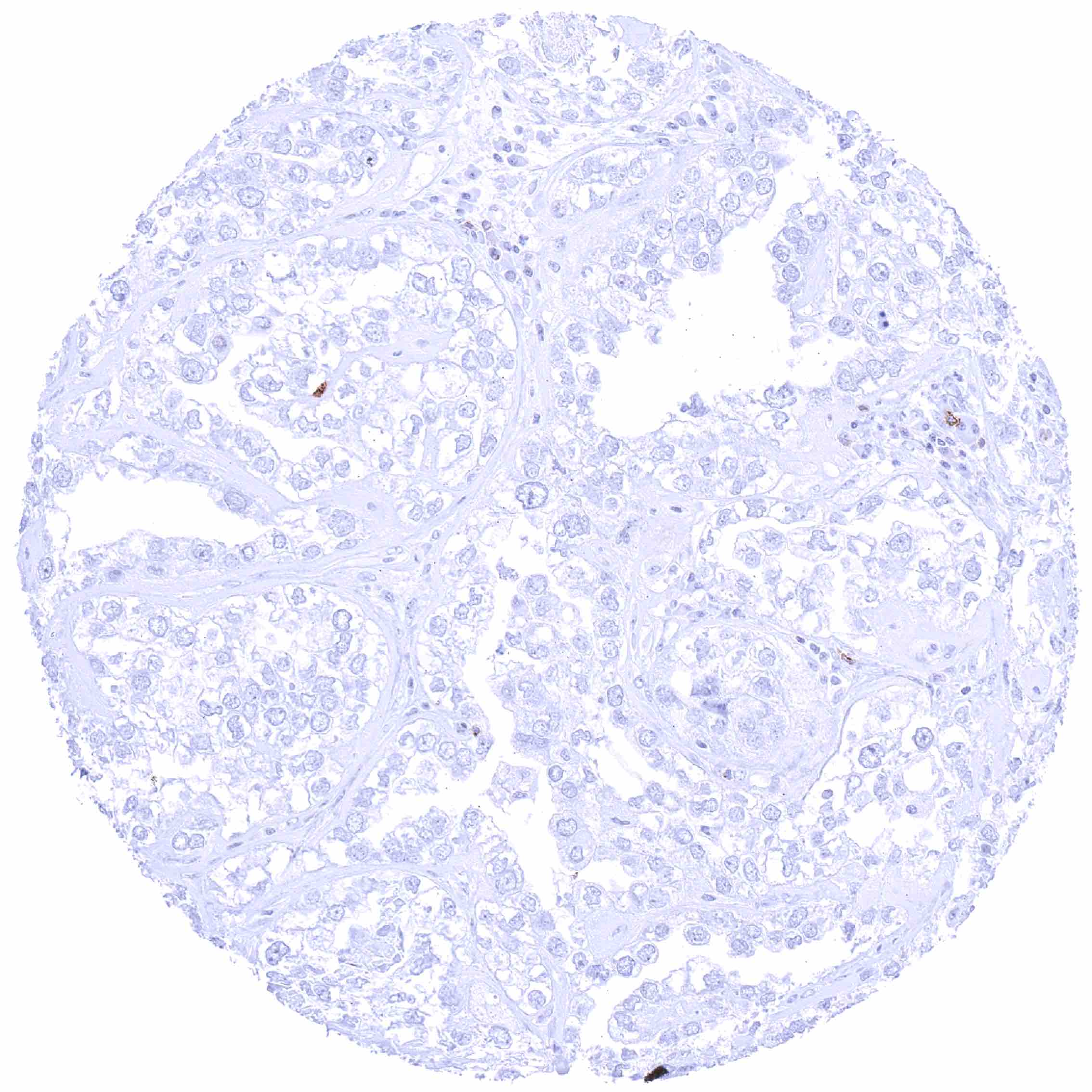
Kidney – CD70 negative chromophobe renal cell
Kidney – CD70 negative oncocytoma. .jpeg
Kidney – CD70 negative papillary renal cell carcinoma.
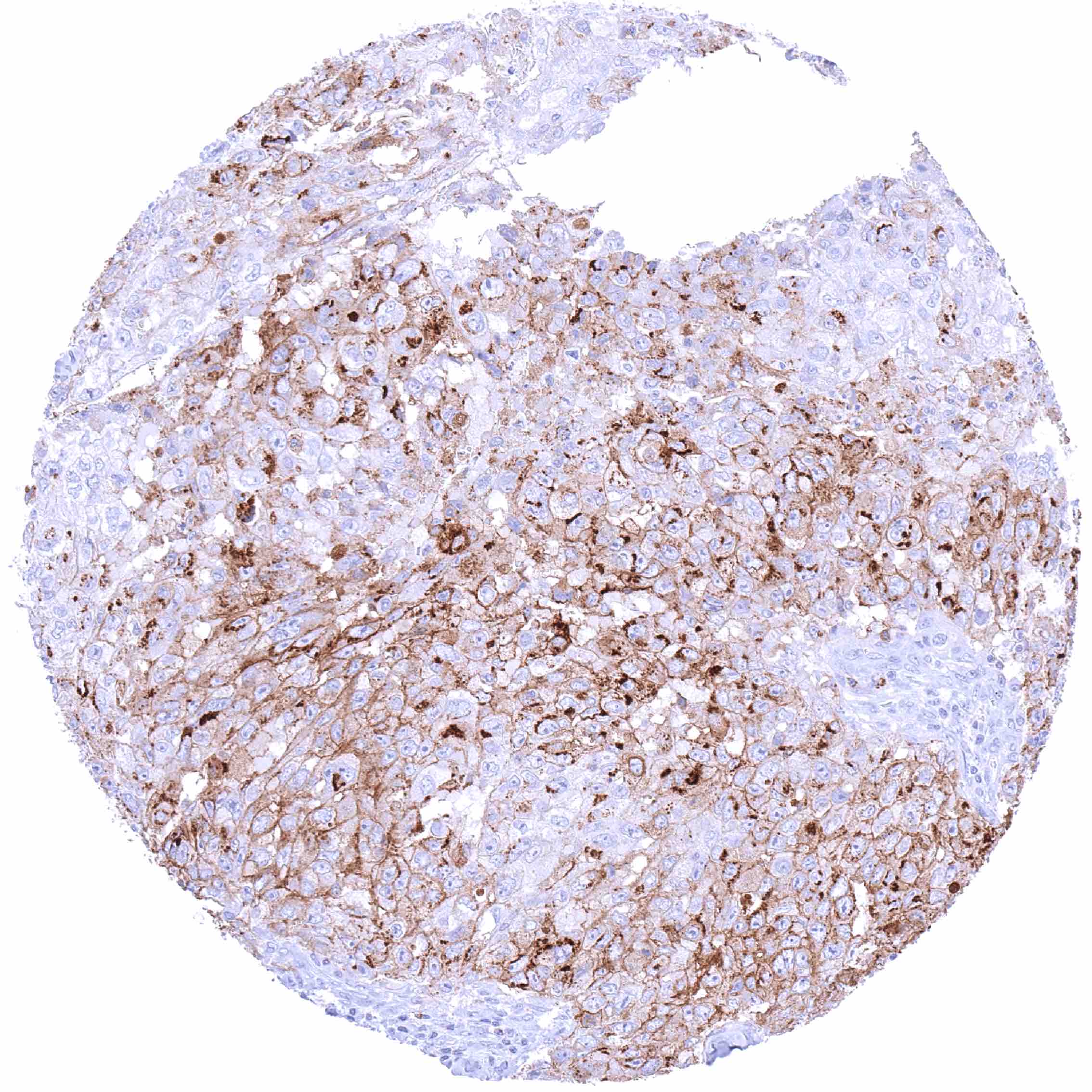
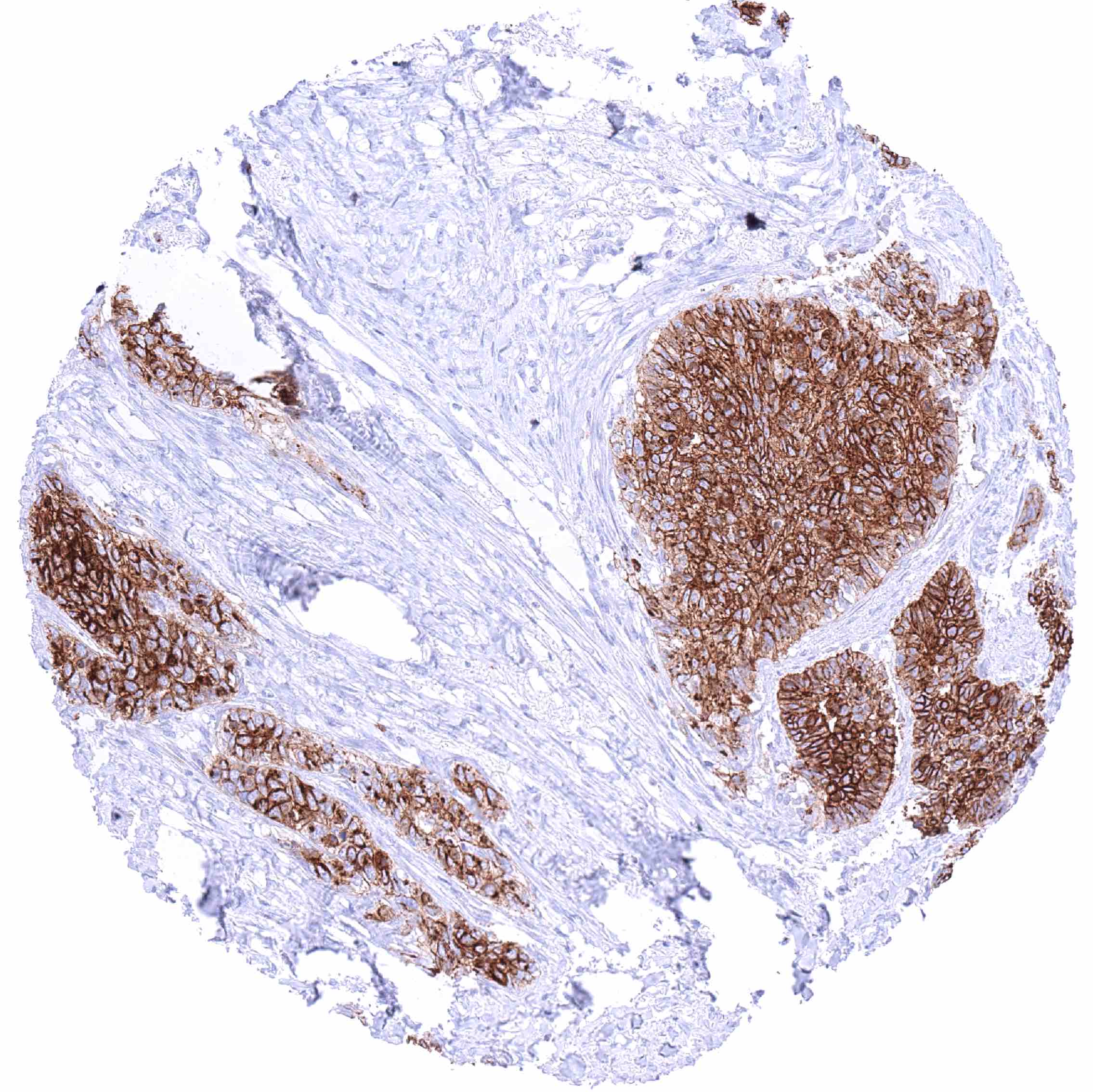
Kidney – Clear cell renal cell carcinoma with strong CD70 staining of all tumor cells.
Kidney – Clear cell renal cell carcinoma with weak to moderate CD70 positivity of a subset of tumor cells.
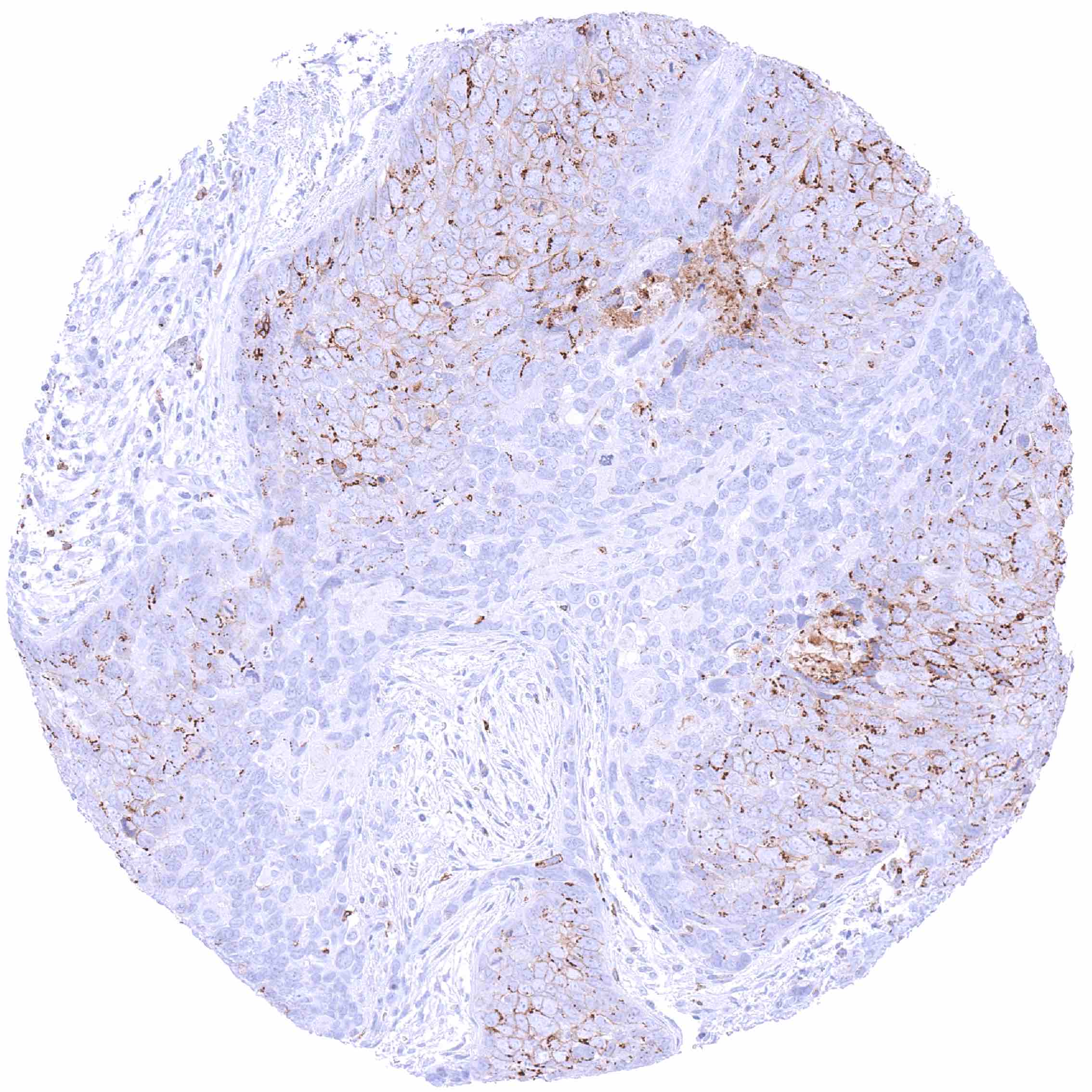
Kidney – Papillary renal cell carcinoma with weak to moderate CD70 staining of a fraction of tumor cells.
Liver – CD70 negative cholangiocellular carcinoma. .jpeg
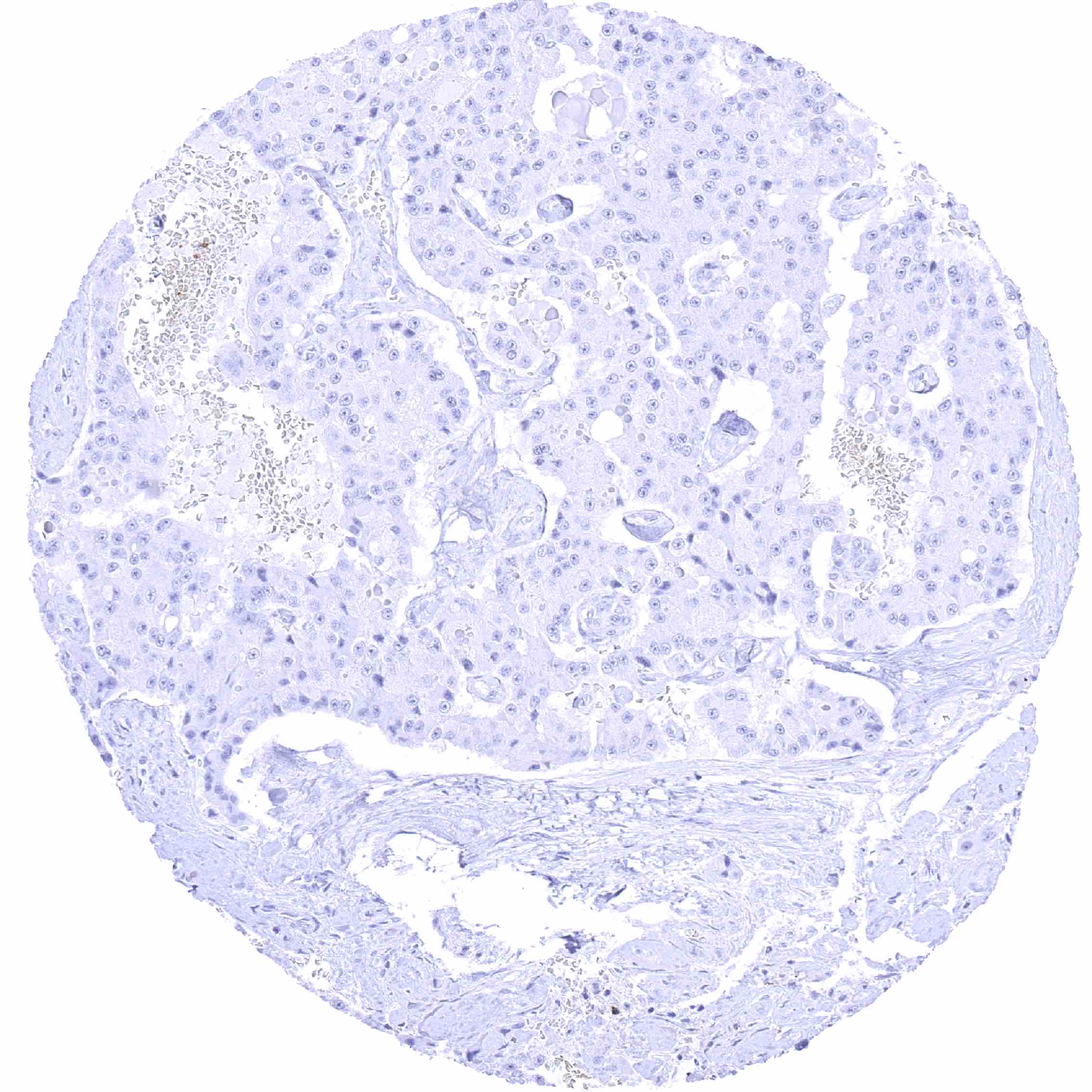
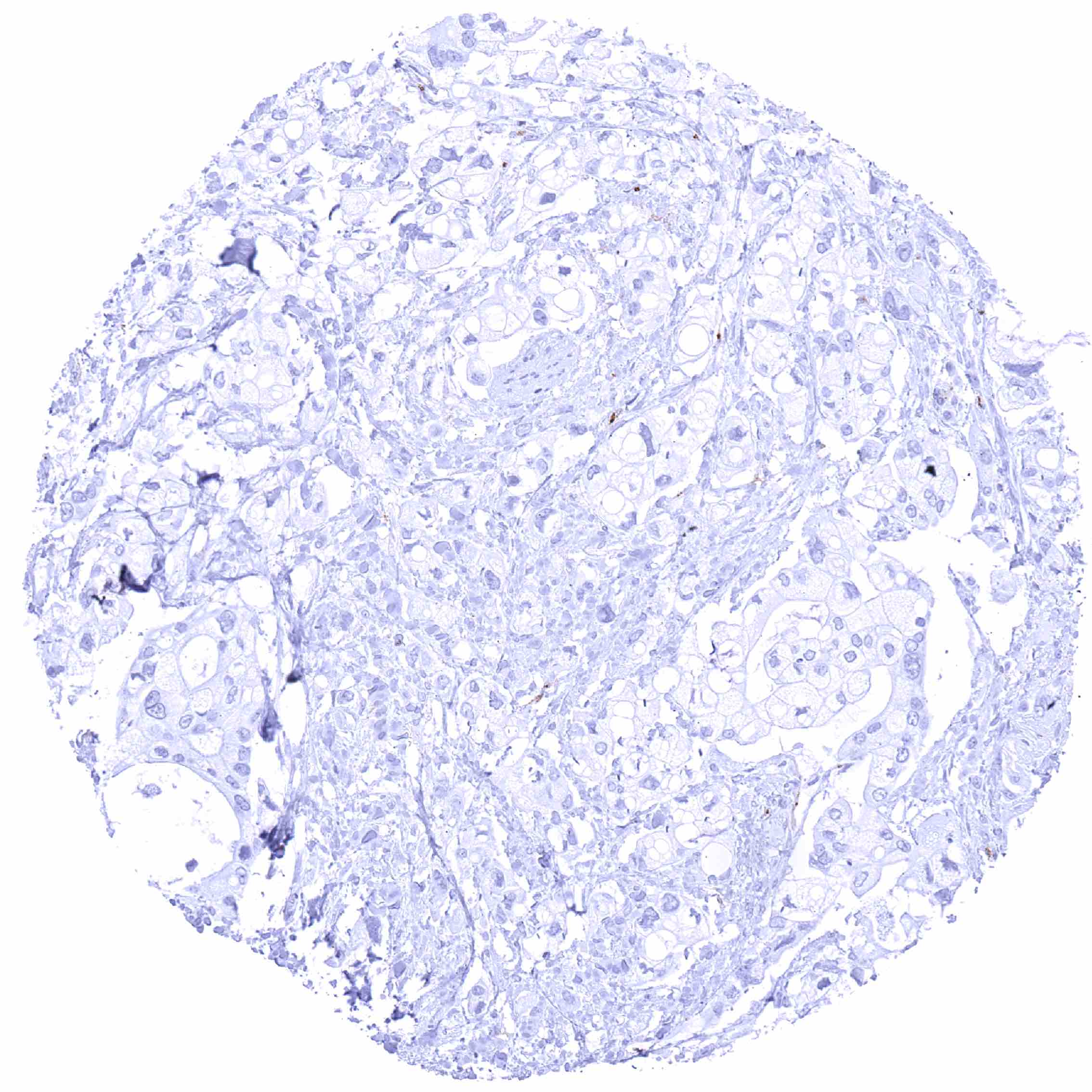
Liver – CD70 negative hepatocellular carcinoma.
Lymph node – CD70 negative B-CLL. Distinct CD70 positivity of a fraction of tumor-infiltrating lymphocytes.
Lymph node – Diffuse large B-cell lymphoma with strong CD70 staining of all tumor cells.
Lymph node – Hodgkin’s lymphoma with strong CD70 staining of tumor cells.
Lymph node – Mantle cell lymphoma with strong CD70 staining of tumor cells.
Lymph node – T-cell lymphoma with strong CD70 staining of all tumor cells.
Oral cavity – CD70 negative squamous cell carcinoma. Distinct CD70 positivity of a fraction of tumor-infiltrating lymphocytes.
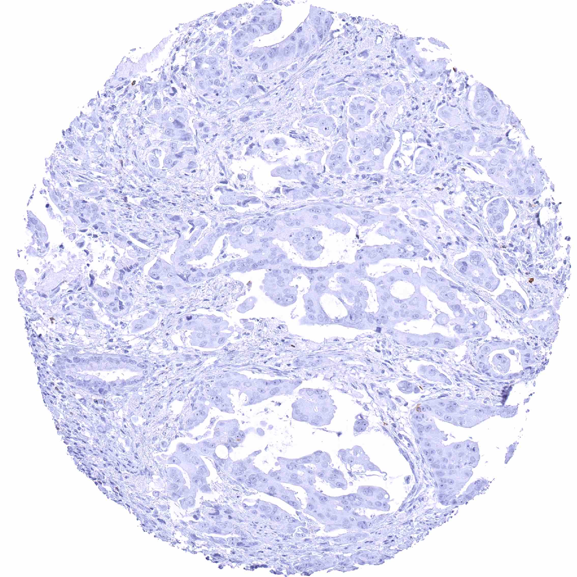
Ovary – CD70 negative clear cell carcinoma.
Ovary – CD70 negative endometroid carcinoma.
Ovary – CD70 negative serous high-grade carcinoma. Distinct CD70 positivity of a fraction of tumor-infiltrating lymphocytes. .jpeg
Pancreas – CD70 negative ductal adenocarcinoma.
Pancreas – CD70 negative neuroendocrine tumor.
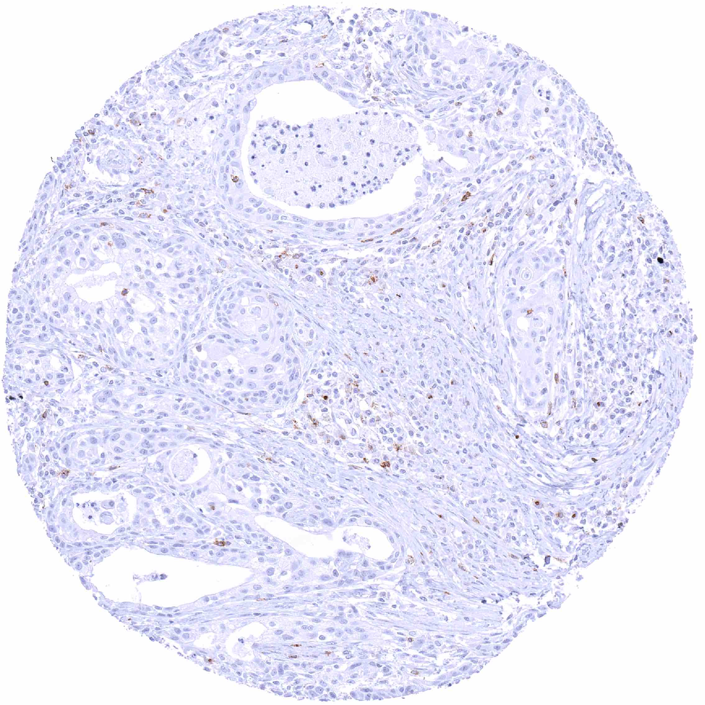
Prostate – CD70 negative adenocarcinoma (Gleason 3+3=6).
Stomach – CD70 negative gastric adenocarcinoma (diffuse type).
Stomach – CD70 negative gastrointestinal stromal tumor (GIST).
Stomach – Gastric adenocarcinoma with strong CD70 staining of most tumor cells.
Stomach – Gastrointestinal stromal tumor (GIST) with strong CD70 staining of tumor cells.
Testis – CD70 negative seminoma.
Urinary bladder – CD70 negative muscle-invasive urothelial carcinoma. Distinct CD70 positivity of a fraction of tumor-infiltrating lymphocytes.
Urinary bladder – Muscle-invasive urothelial carcinoma with moderate to strong CD70 staining of tumor cells.
Uterus, cervix – Squamous cell carcinoma with strong CD70 staining of tumor cells.
