Adrenal gland
Anal canal, skin
Aorta, endothelium
Appendix, mucosa – Strong membranous CD35 staining of follicular dendritic cells and of a large subset of lymphocytes. The epithelium is CD35 negative.
Appendix, muscular wall
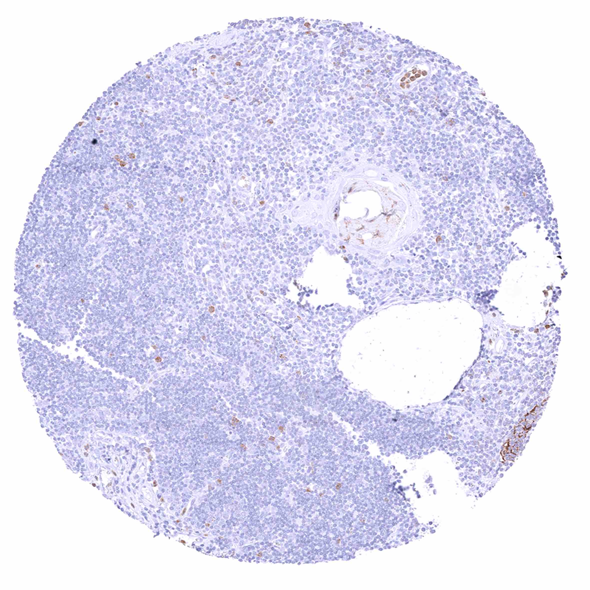
Bone marrow – Strong membranous CD35 staining of a subset of cells.
Breast
Bronchus, mucosa
Cerebellum (white matter)
Cerebellum, cortex (molecular layer, Purkinje cell layer, granule cell layer)
Cerebrum (grey matter)
Cerebrum (white matter)
Colon descendens, mucosa
Colon descendens, muscular wall
Duodenum, Brunner gland
Duodenum, mucosa
Epididymis (Caput).jpeg
Esophagus, muscular wall
Esophagus, squamous epithelium
Fallopian tube, mucosa.jpeg
Fat
Gallbladder, epithelium
Heart muscle
Ileum, mucosa
Ileum, muscularis
Kidney, cortex – Strong membranous CD35 positivity of visceral (podocytes) and peripheral cells of the Bowman capsule.
Kidney, medulla
Kidney, pelvis, muscular wall
Kidney, pelvis, urothelium – Distinct membranous CD35 staining of a large subset of inflammatory cells. The squamous epithelium is CD35 negative.
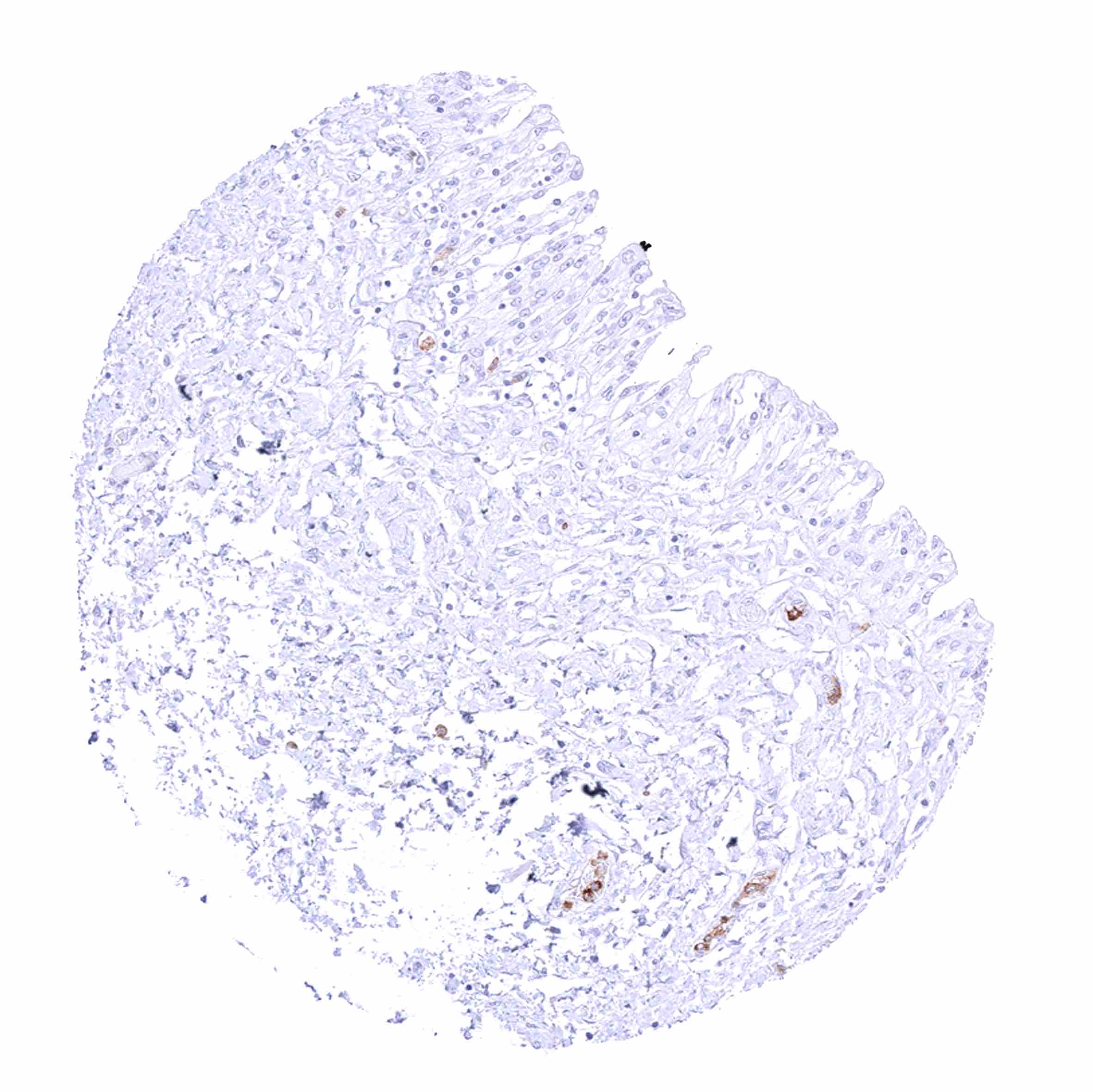
Liver – Distinct membranous CD35 positivity of Kupffer cells.
Lung
Lymph node – Strong membranous CD35 staining of follicular dendritic cells and of a subset of lymphocytes.
Ovary, corpus luteum
Ovary, stroma
Pancreas
Pancreas
Parathyroid gland
Parotid gland – Weak membranous CD35 staining of erythrocytes in this sample.
Pituitary gland, anterior lobe
Pituitary gland, posterior lobe
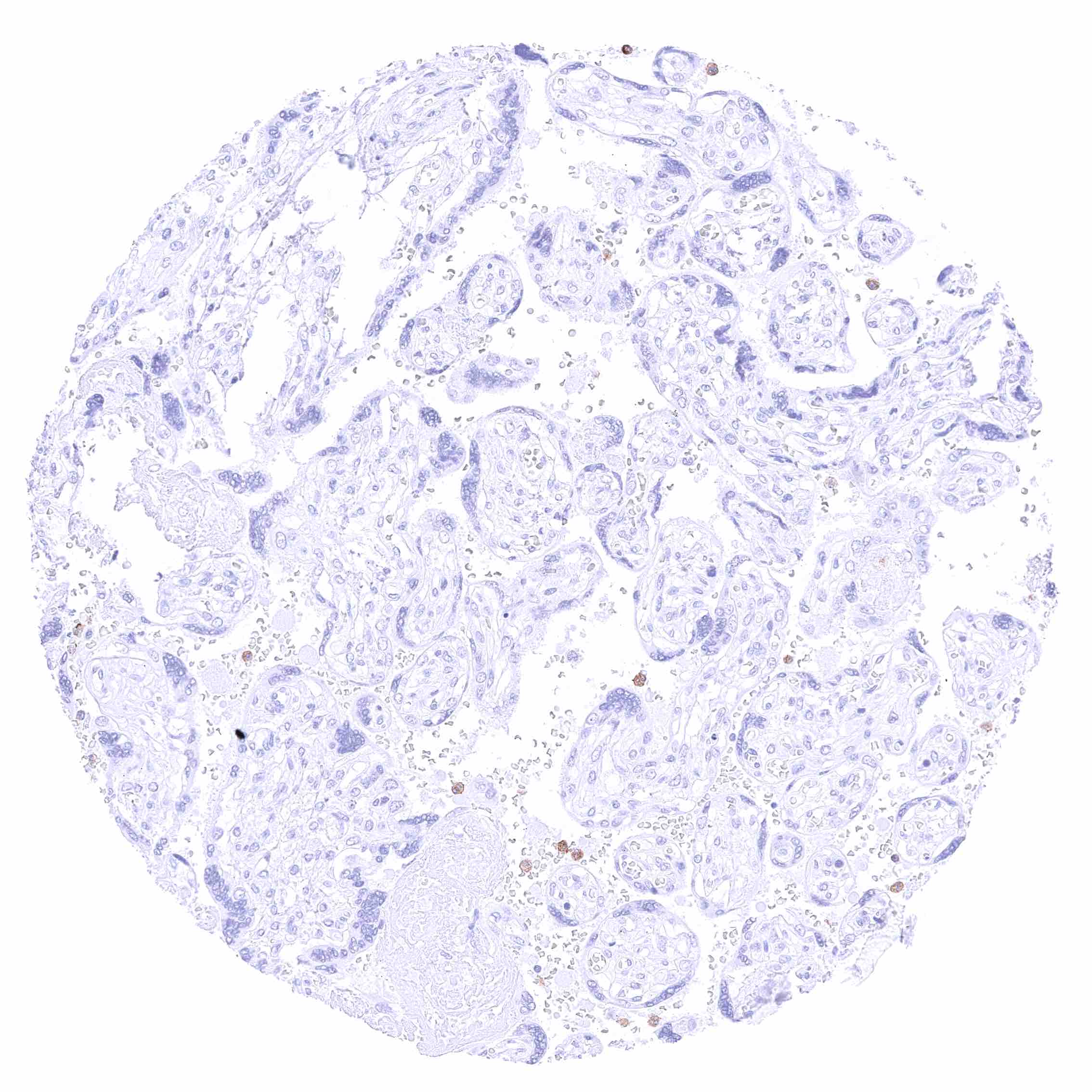
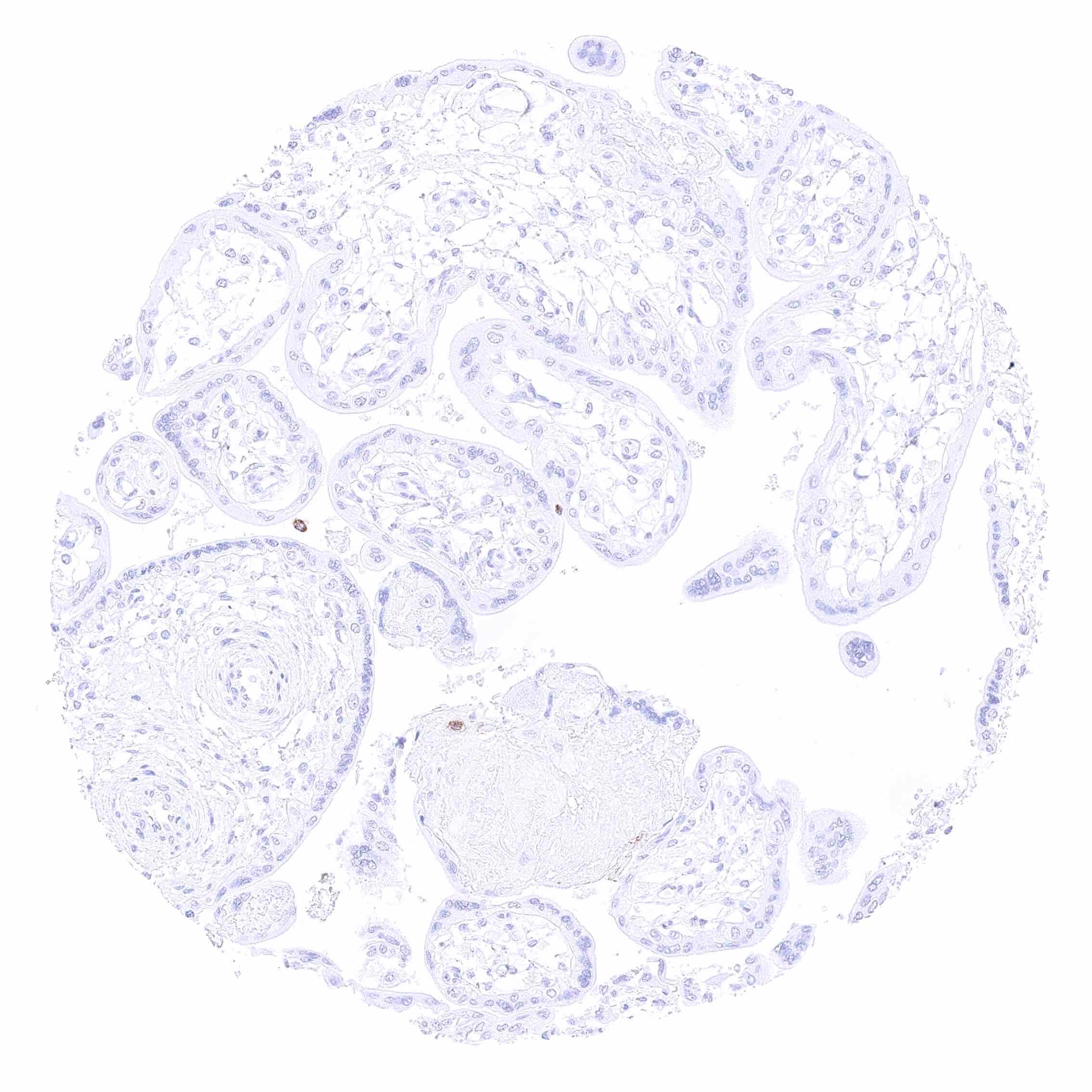
Placenta (amnion and chorion)
Placenta, early
Placenta, mature
Prostate
Rectum, mucosa
Seminal vesicle
Sinus paranasales
Skeletal muscle
Skin, hairfollicel and sebaceous glands
Spleen – Strong membranous CD35 staining of most cells in the white pulpa.
Stomach, antrum
Stomach, corpus
Stomach, muscular wall
Testis
Thymus – Distinct membranous CD35 staining of only few lymphocytes.
Thyroid gland
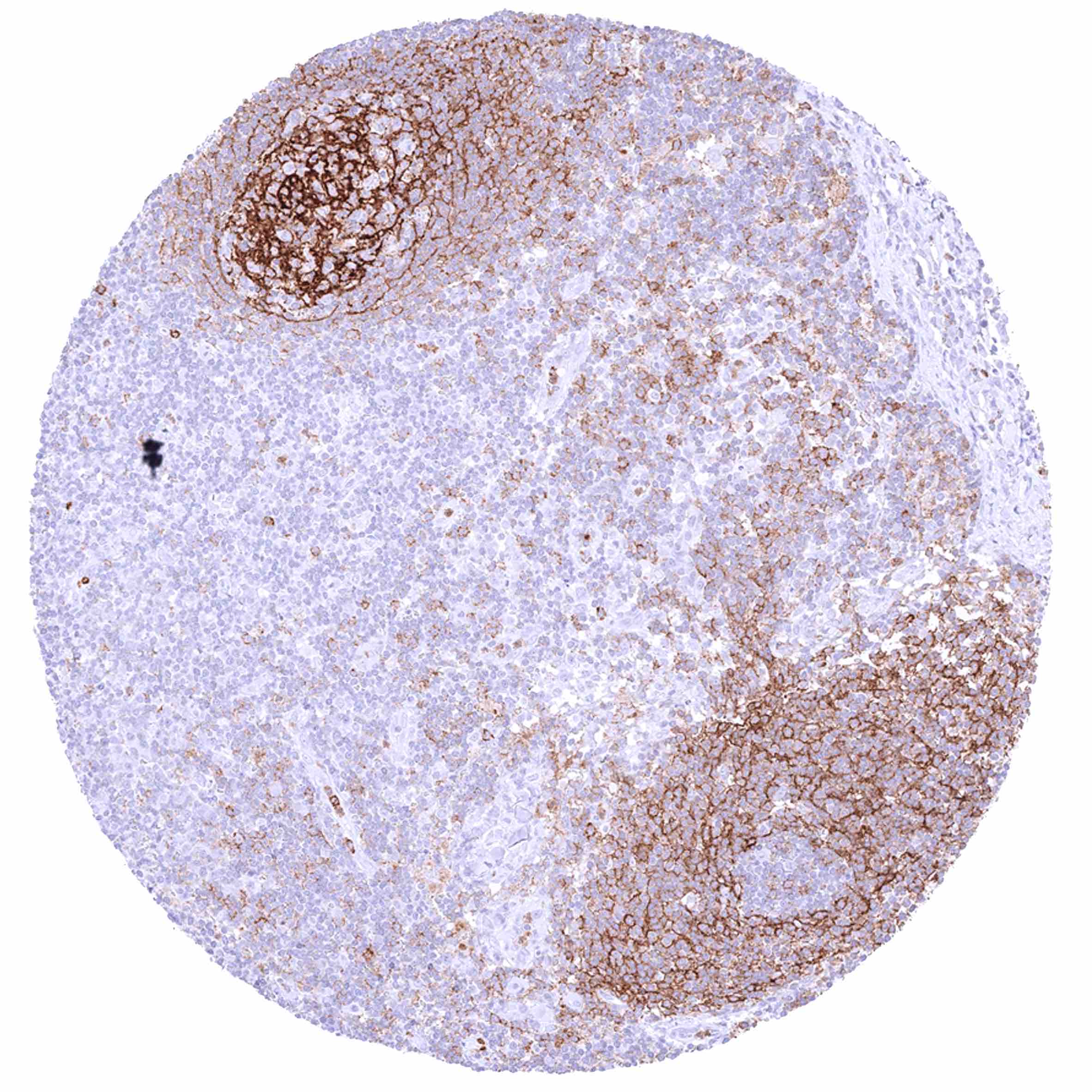
Tonsil – Strong membranous CD35 staining of follicular dendritic cells. Only few lymphocytic cells show CD35 positivity.
Tonsil, surface epithelium – Strong membranous CD35 staining of follicular dendritic cells and of many lymphocytes. The squamous epithelium is CD35 negative.
Urinary bladder, muscular wall
Urinary bladder, urothelium
Uterus, ectocervix
Uterus, endocervix
Uterus, endometrium (pregnancy)
Uterus, endometrium (proliferation)
Uterus, endometrium (secretion)
Uterus, myometrium.jpeg
