Breast – CD35 negative invasive breast cancer of no special type (NST).
Breast – CD35 negative invasive lobular breast cancer.
Kidney – CD35 negative clear cell carcinoma.
Kidney – CD35 negative papillary renal cell carcinoma.
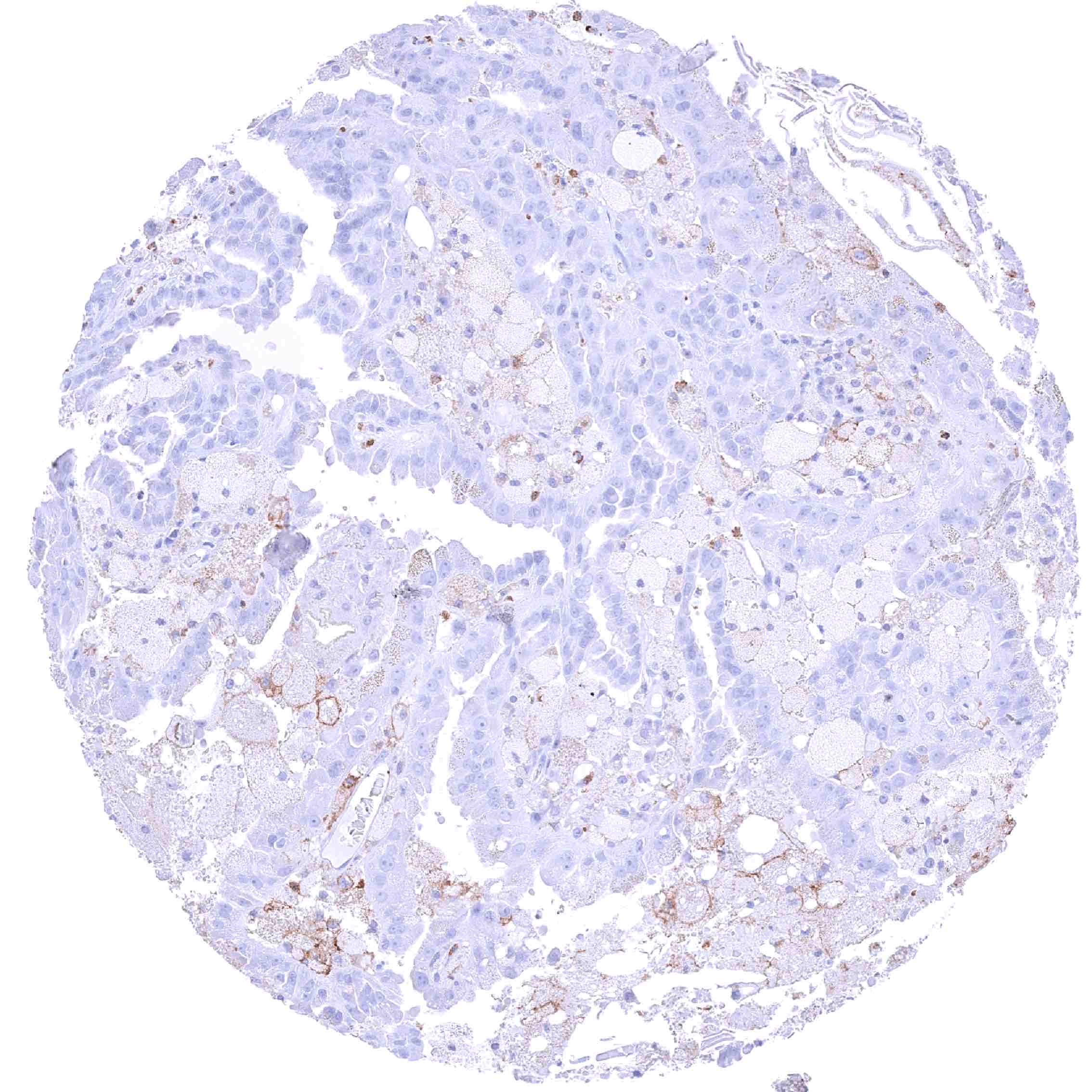
Kidney – CD35 negative papillary renal cell carcinoma. Weak membranous CD35 staining of tumor associated macrophages and CD35 stronger staining of few lymphocytes.
Kidney – CD35 negative papillary renal cell carcinoma. Weak membranous CD35 staining of tumor associated macrophages.
Lung – CD35 negative adenocarcinoma.
Lung – CD35 negative malignant mesothelioma (epitheloid) containing few CD35 positive inflammatory cells.
Lymph node – CD35 negative B-CLL. CD35 staining of follicular dendritic cells in a retained normal germinal centre.
Lymph node – Diffuse large B-cell lymphoma with variable membranous CD35 immunostaining of tumor cells.
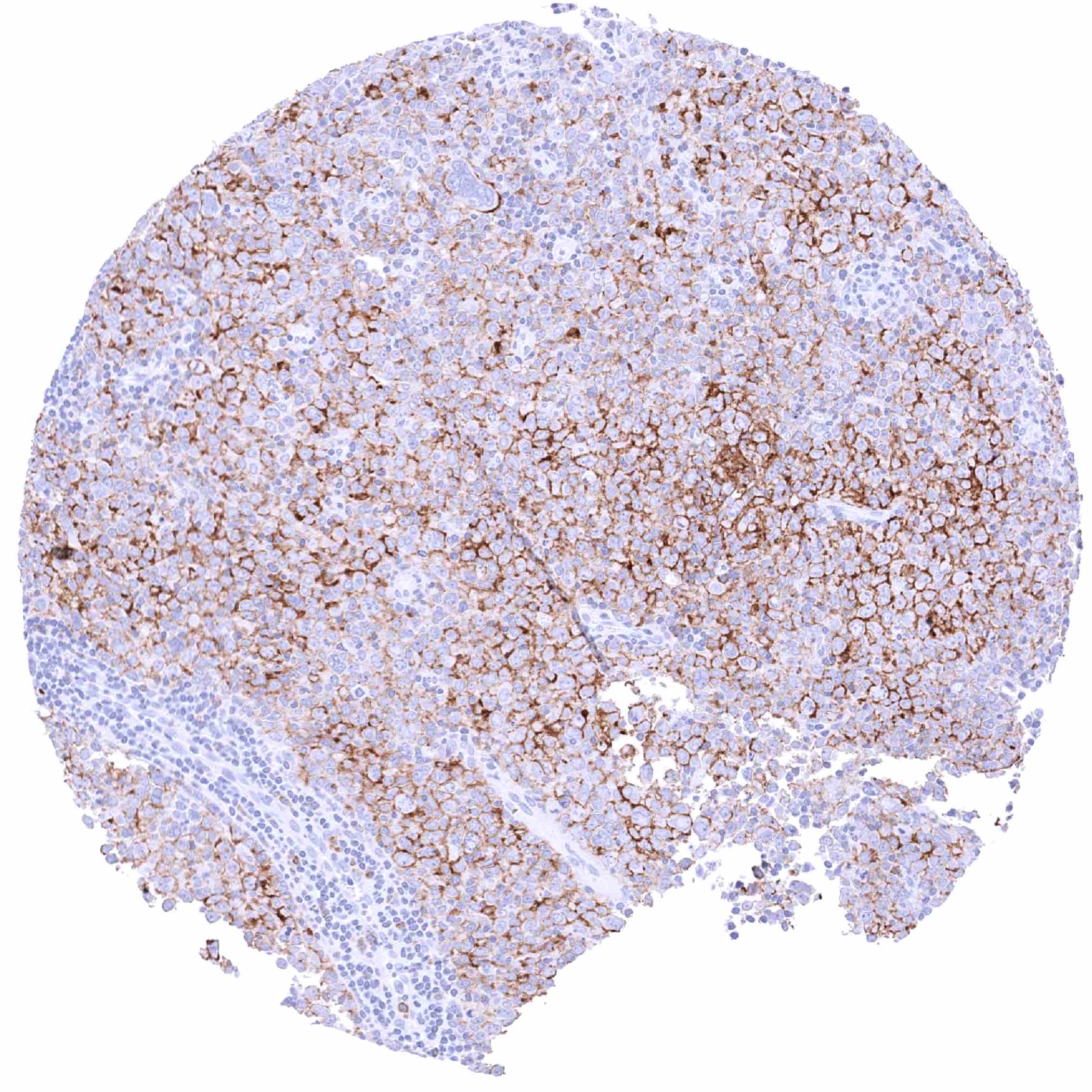
Lymph node – Marginal zone lymphoma with distinct CD35 staining of tumor cells.
Oral cavity – CD35 negative squamous cell carcinoma. Tumor infiltrating lymphocytes lack CD35 staining.
Ovary – CD35 negative clear cell carcinoma containing numerous CD35 positive tumor infiltrating lymphocytes.
Ovary –CD35 negative serous high-grade carcinoma.
Pharynx – CD35 negative squamous cell carcinoma.
Prostate – CD35 negative adenocarcinoma (Gleason 3+3=6).
Prostate – CD35 negative adenocarcinoma (Gleason 5+5=10). Tumor infiltrating lymphocytes are abundant but lack CD35 staining.
Testis – CD35 negative seminoma. Tumor infiltrating lymphocytes lack CD35 staining.
Thyroid – CD35 negative papillary carcinoma.
Thyroid – CD35 negative papillary carcinoma.
Urinary bladder – CD35 negative muscle-invasive urothelial carcinoma.
