Adrenal gland – Distinct nuclear BRD4 staining of epithelial cells.
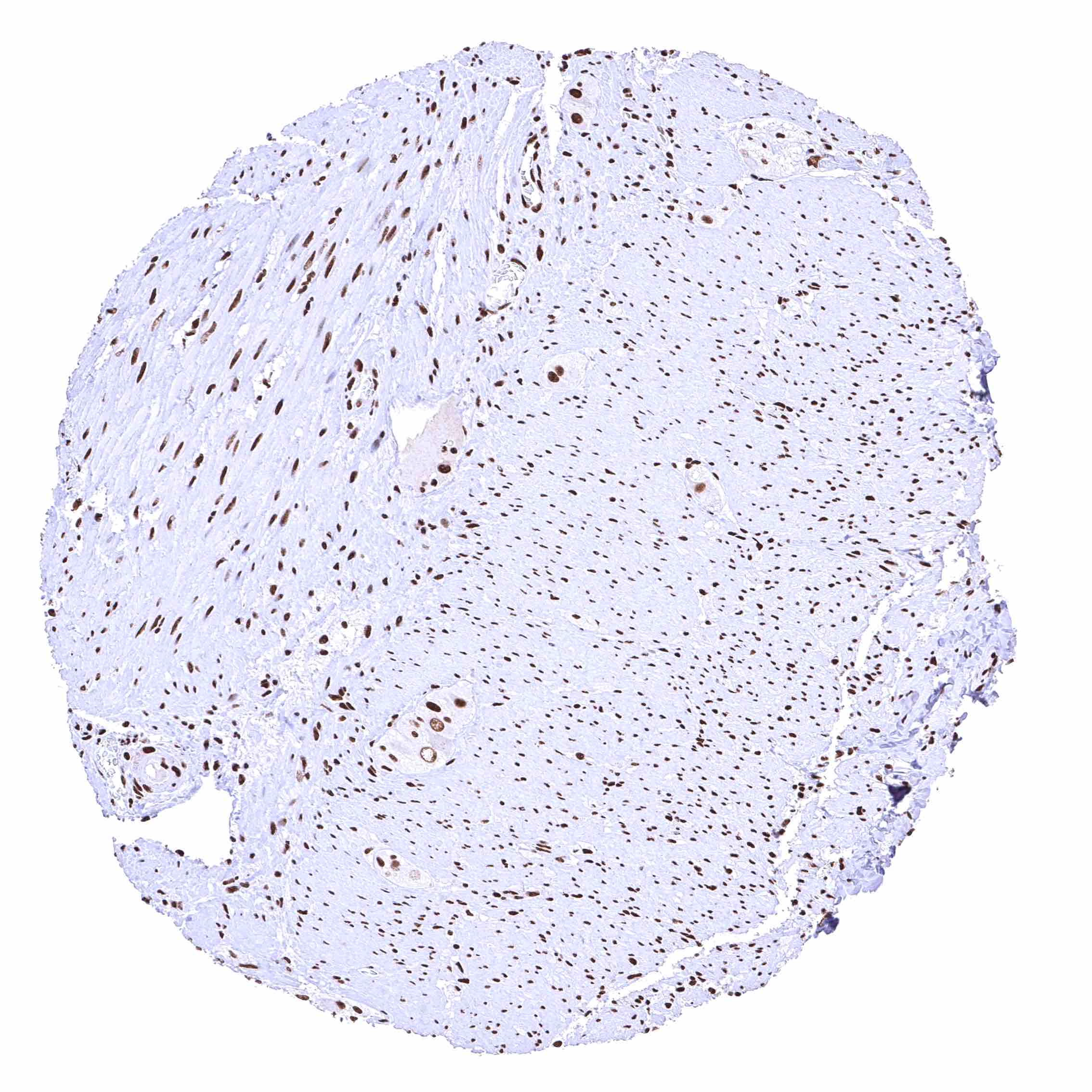
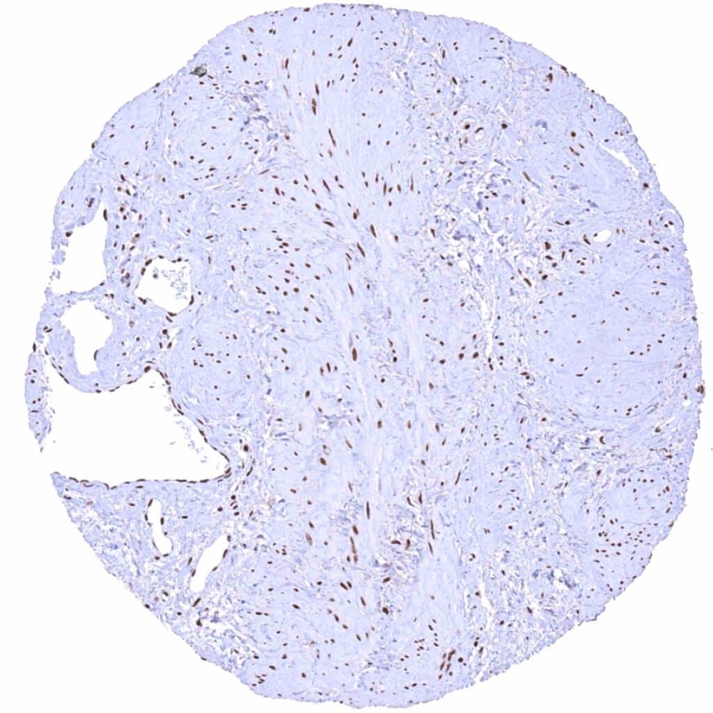
Aorta, media
Appendix, muscular wall – Distinct nuclear BRD4 staining of smooth muscle and ganglion cells.
Bone marrow
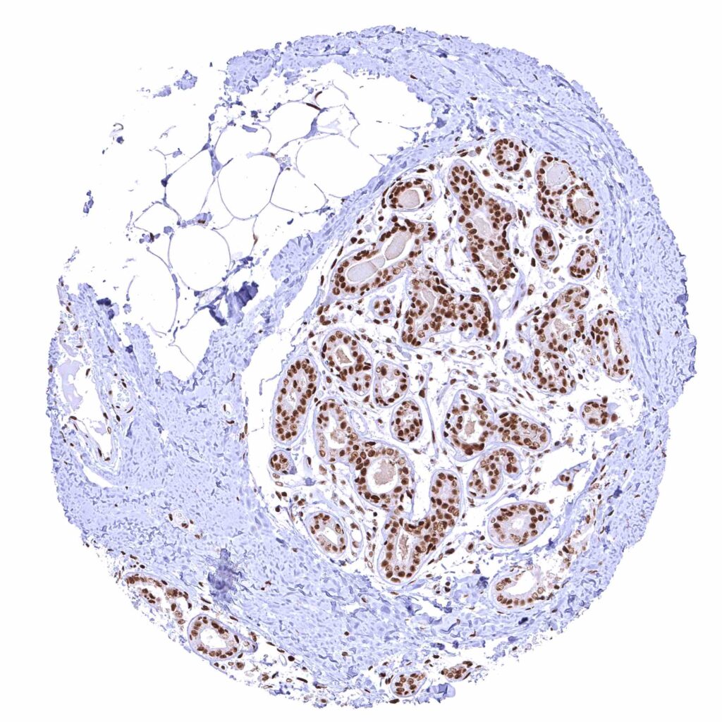
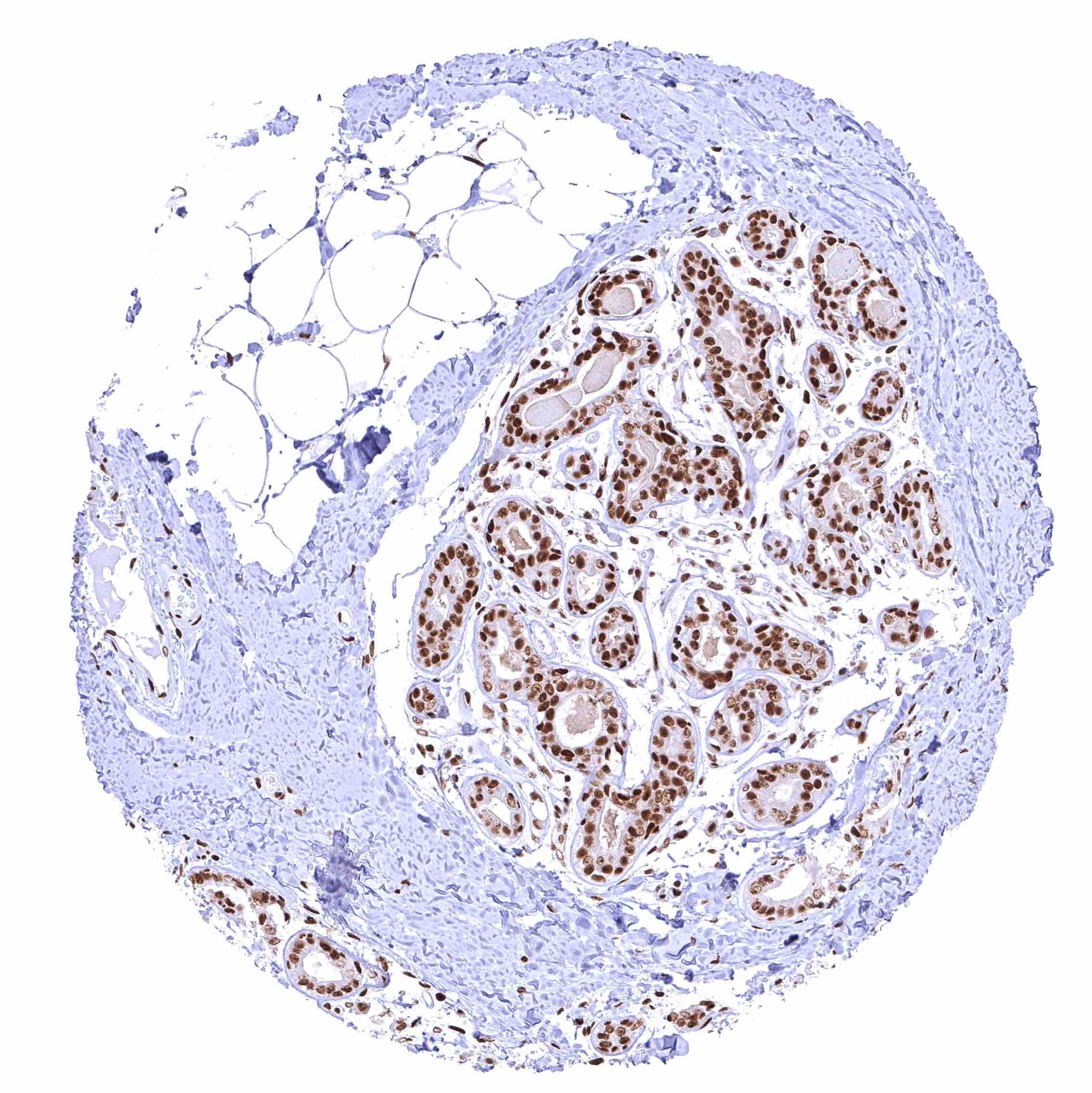
Breast – Distinct nuclear BRD4 staining of epithelial cells.
Bronchus, mucosa
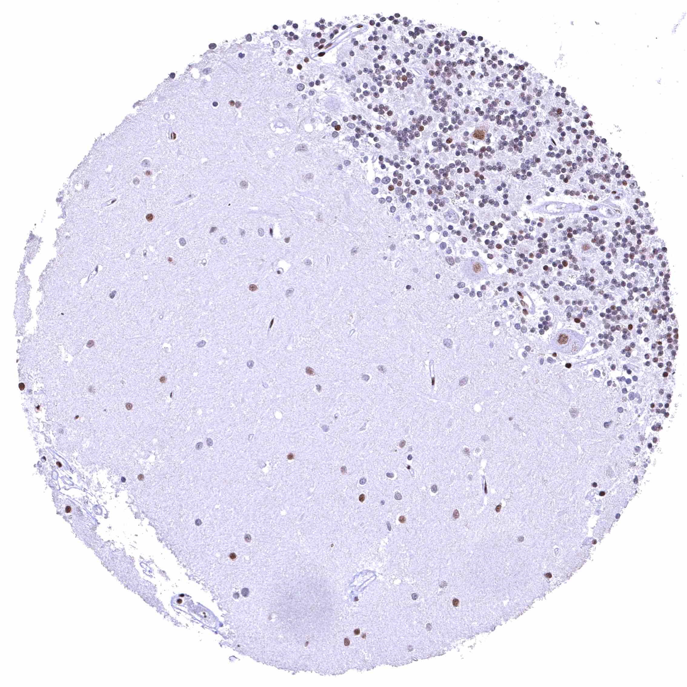
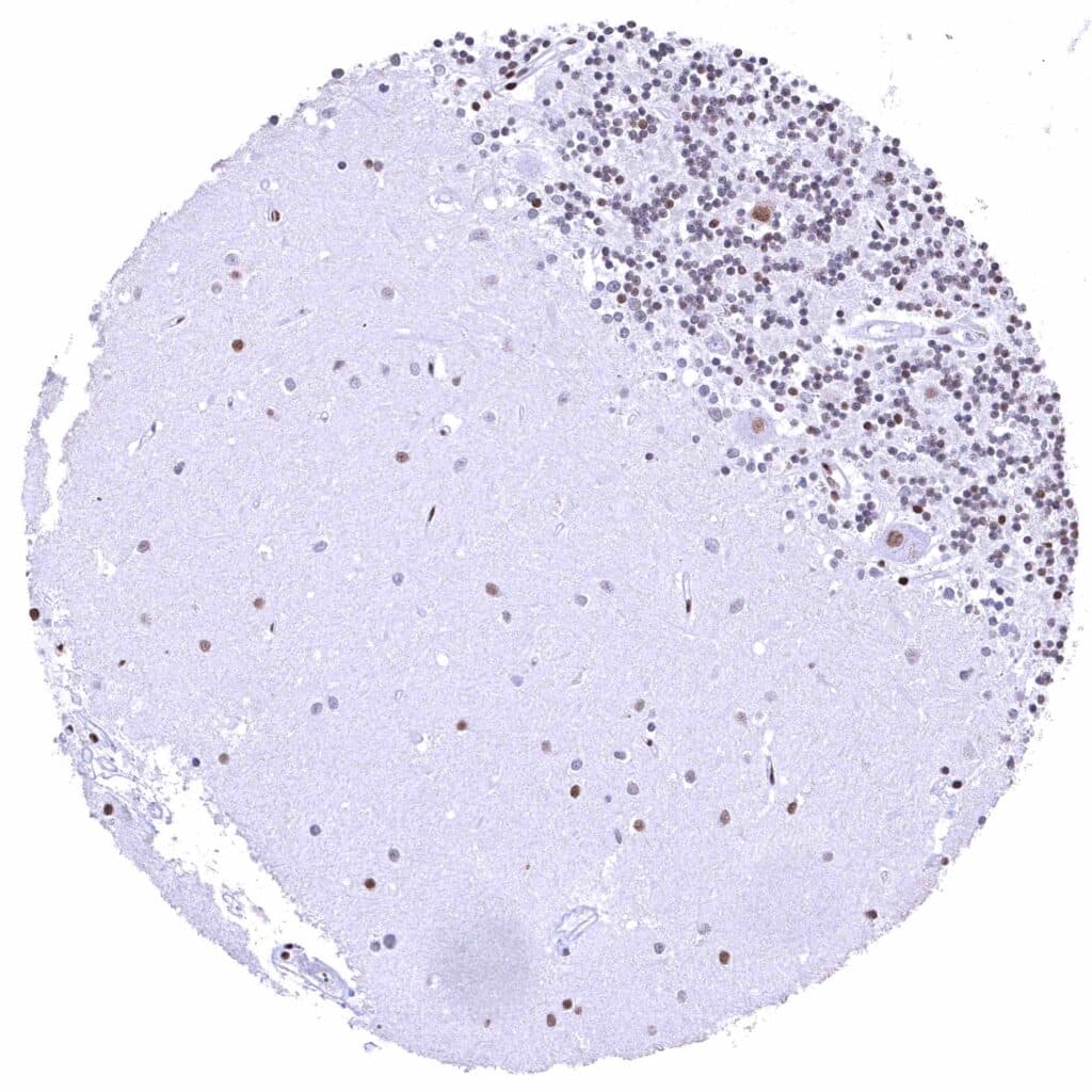
Cerebellum (white matter) – Nuclear BRD4 staining of glia cells.
Cerebellum, cortex (molecular layer, Purkinje cell layer, granule cell layer) – Nuclear BRD4 staining of Purkinje cells, cells of the granule layer (variable intensity), and glia cells.
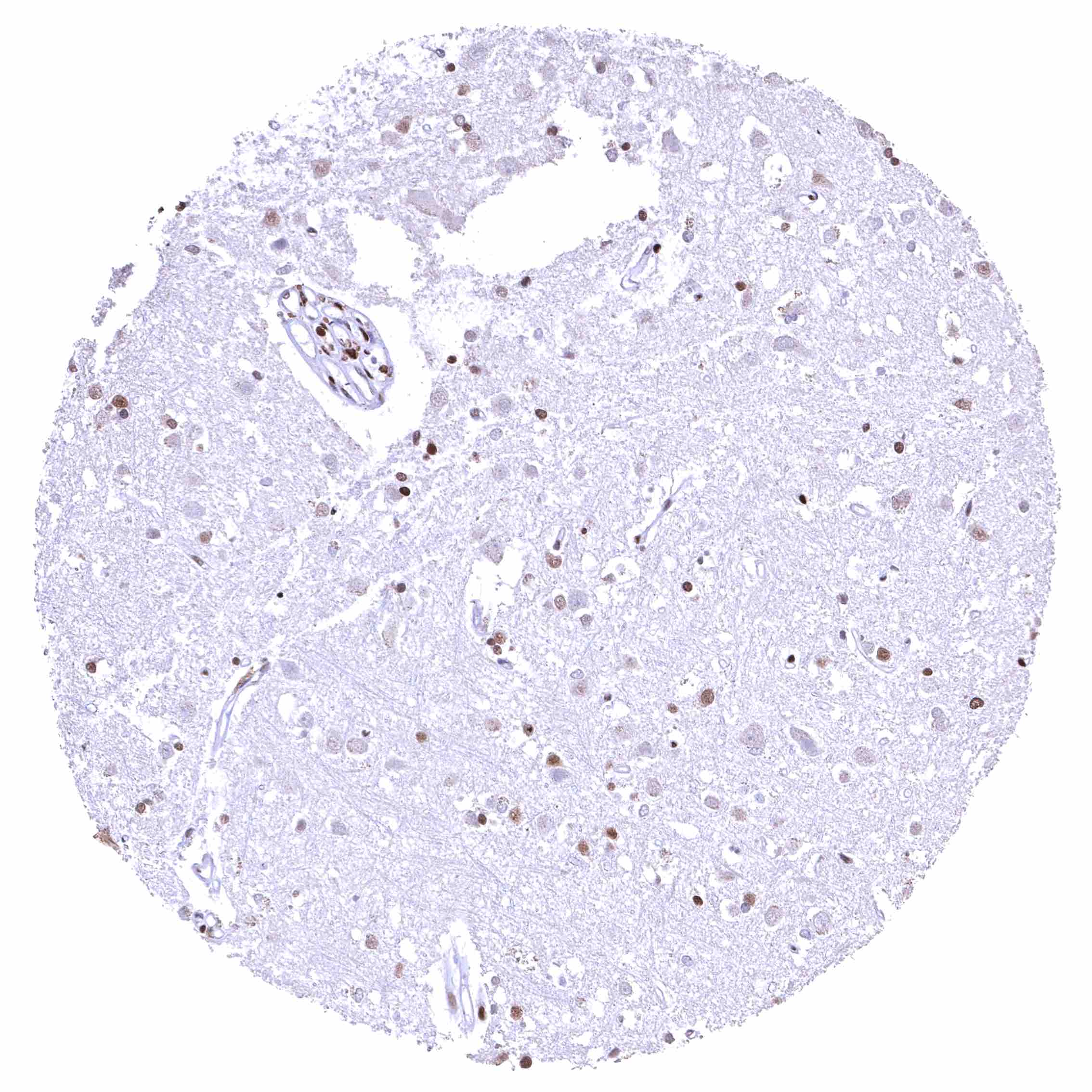
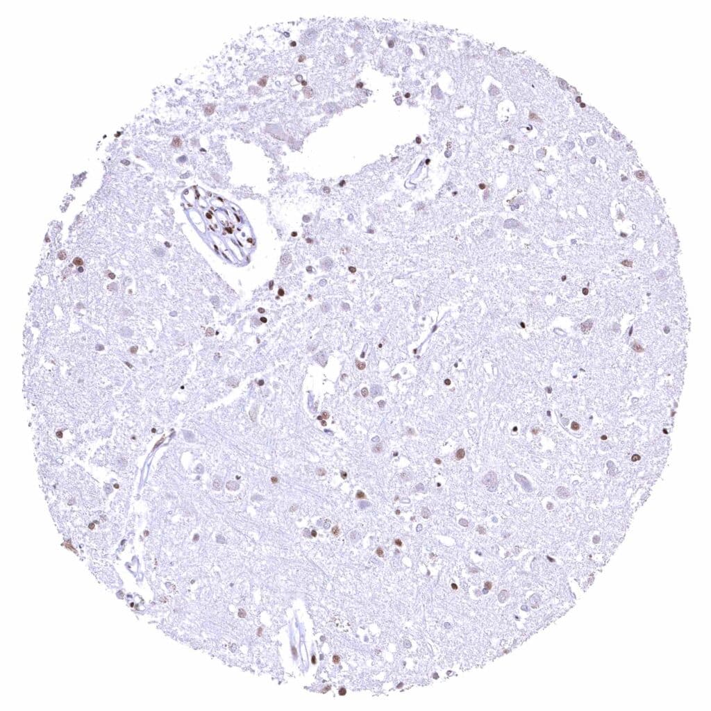
Cerebrum, grey matter – BRD4 staining is strong in glia cells but low or absent in neuronal cells.
Cerebrum, white matter – Distinct nuclear BRD4 staining of glia cells.
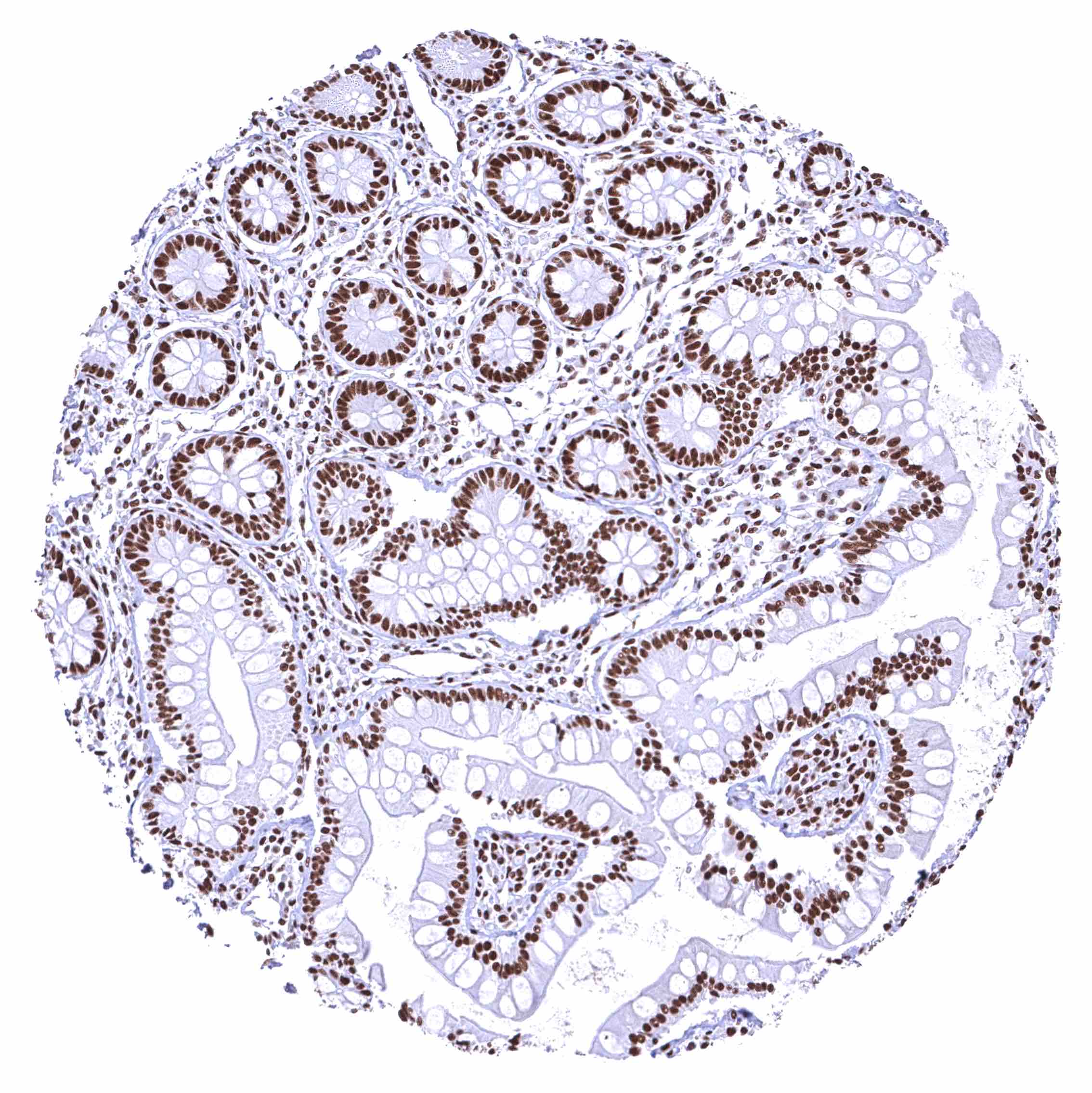
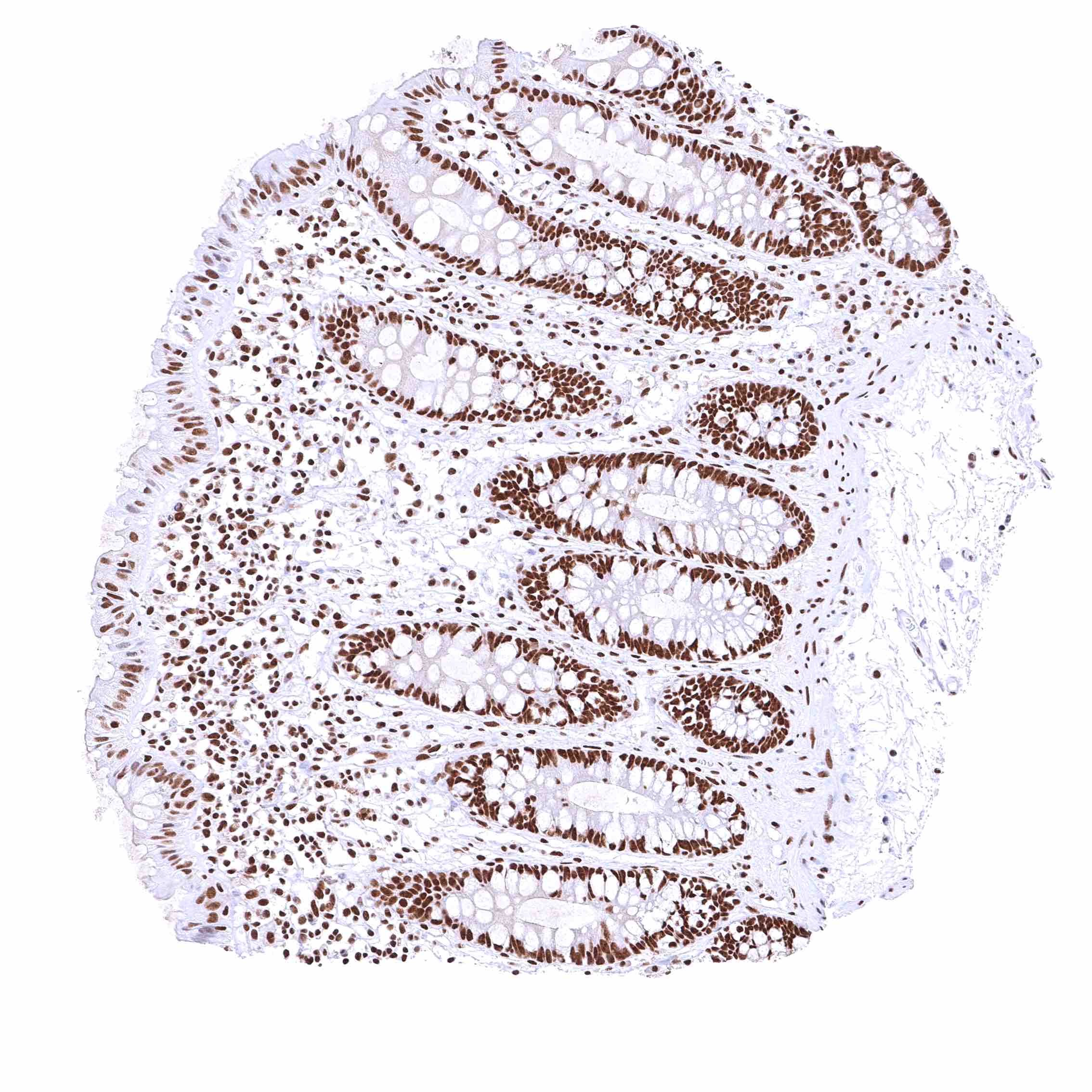
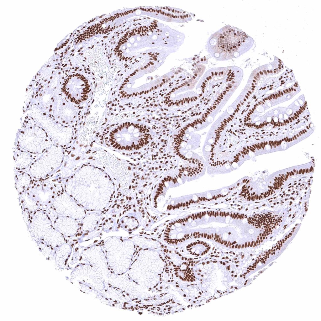
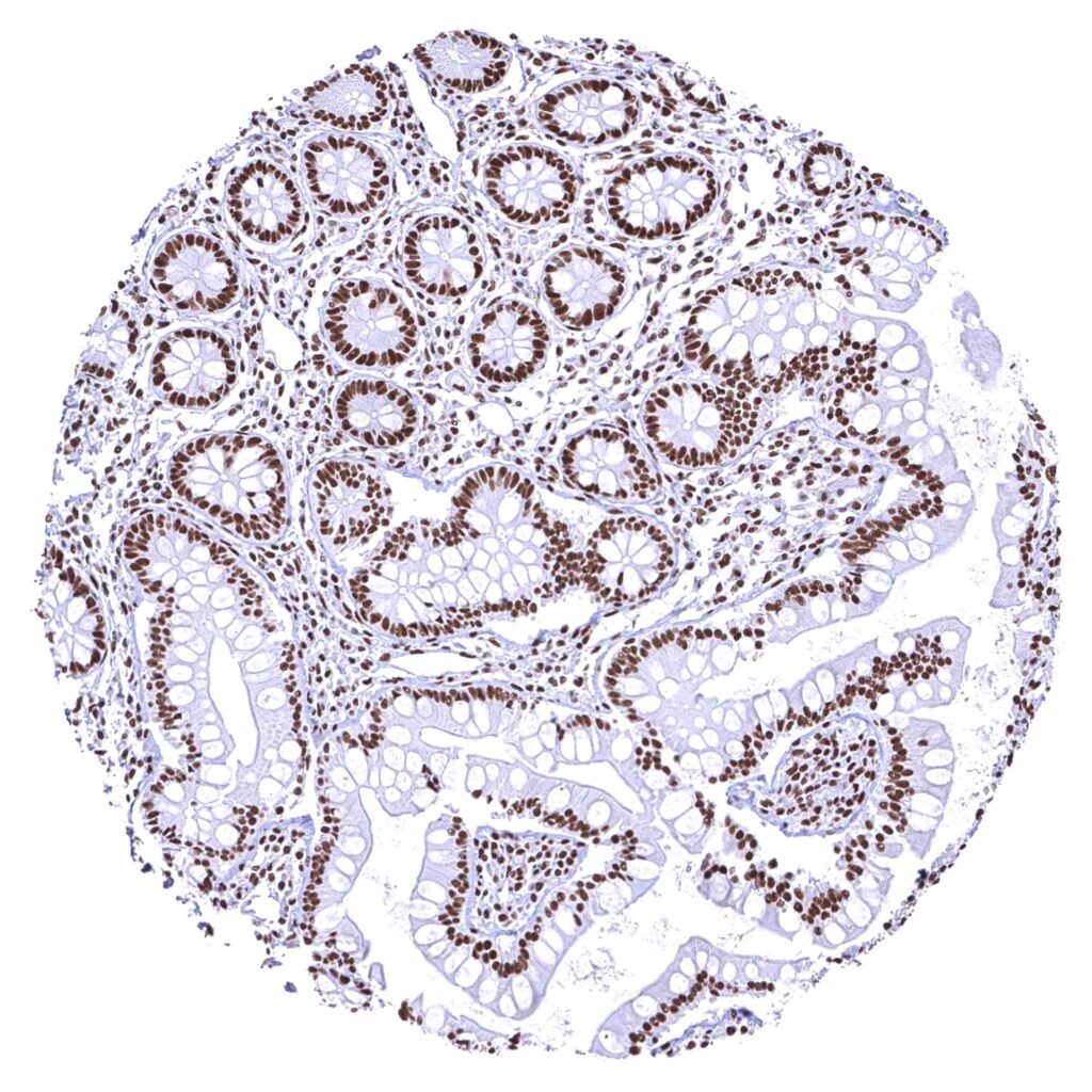
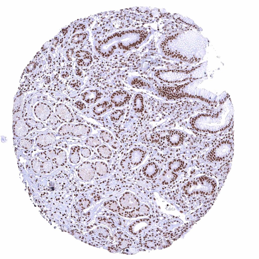
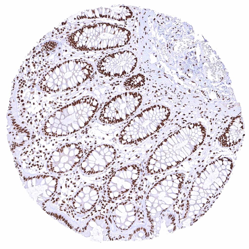
Colon descendens, mucosa – Nuclear BRD4 staining of surface epithelial cells is weaker than in crypts.
Colon descendens, muscular wall – Distinct nuclear BRD4 staining of smooth muscle and ganglion cells.
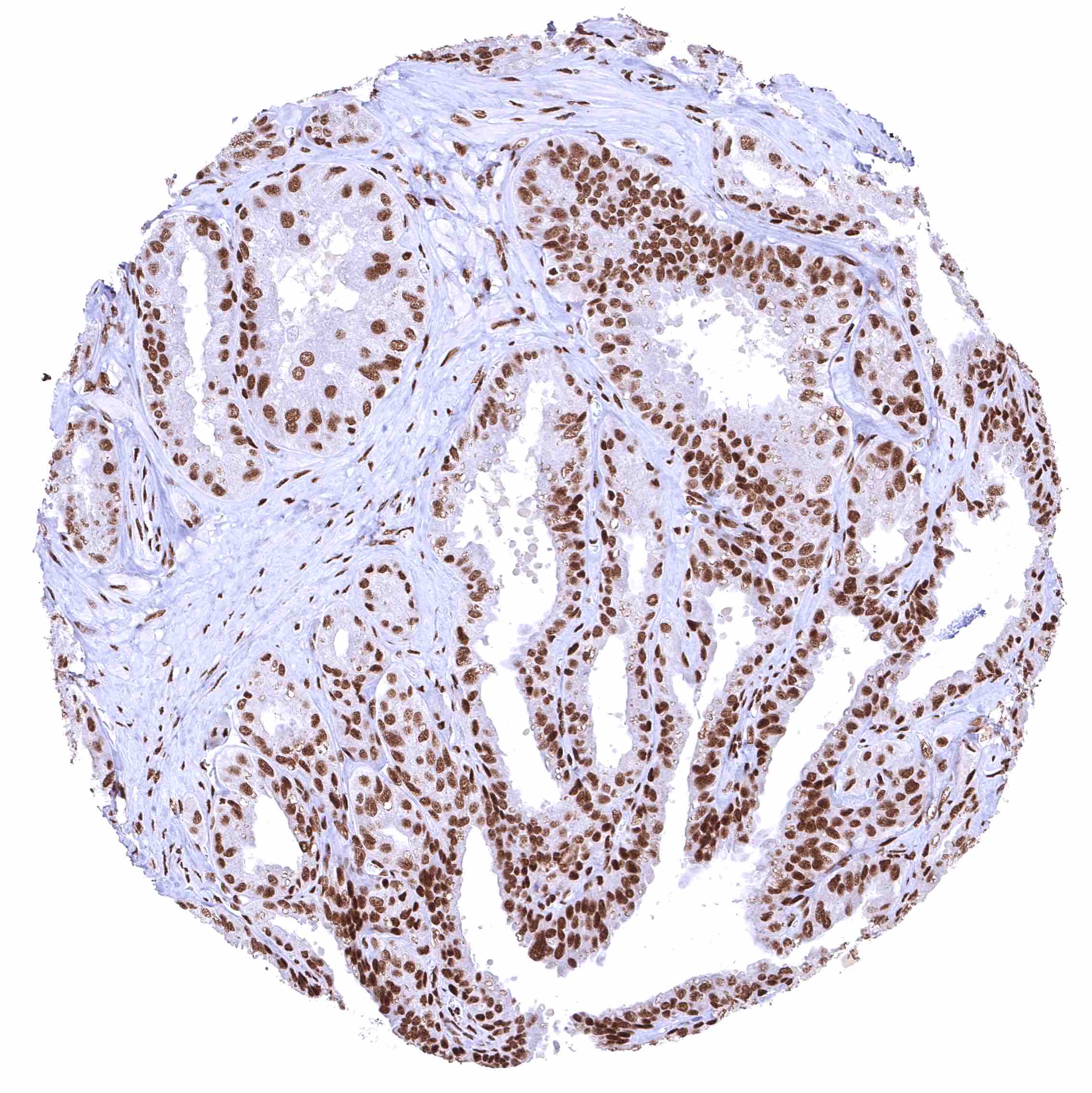
Duodenum, Brunner gland
Duodenum, mucosa – BRD4 staining of surface epithelial cells is markedly stronger than in Brunner glands.
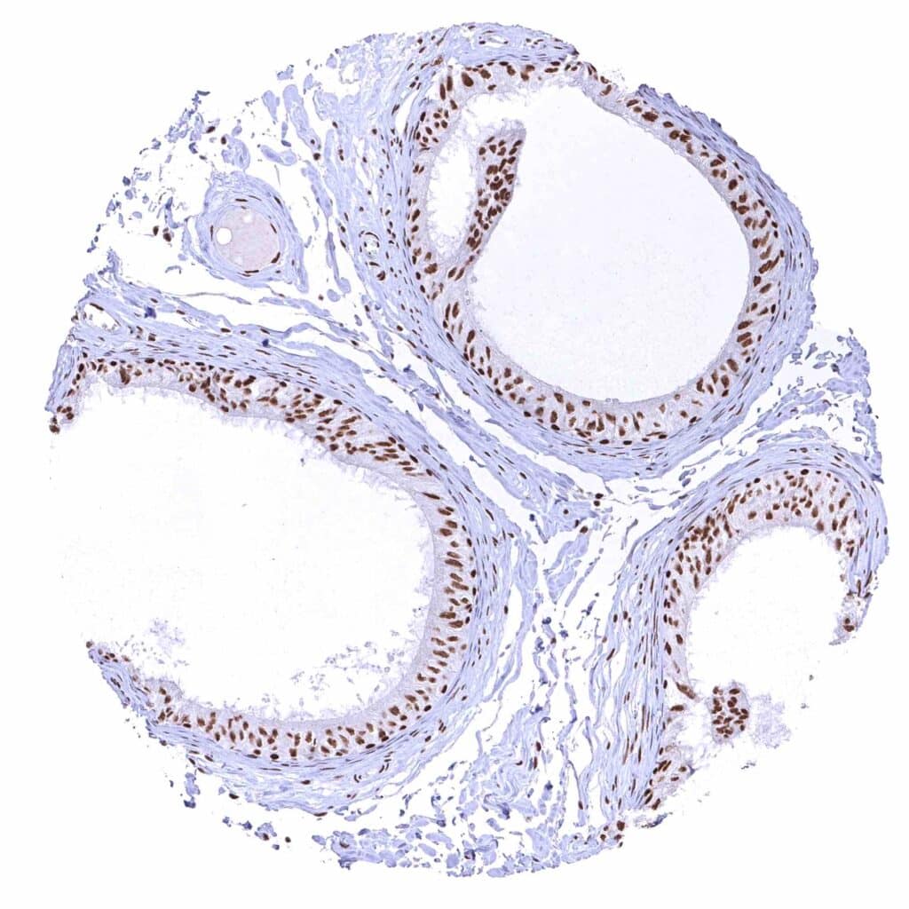
Epididymis (Caput)
Epididymis (Cauda)
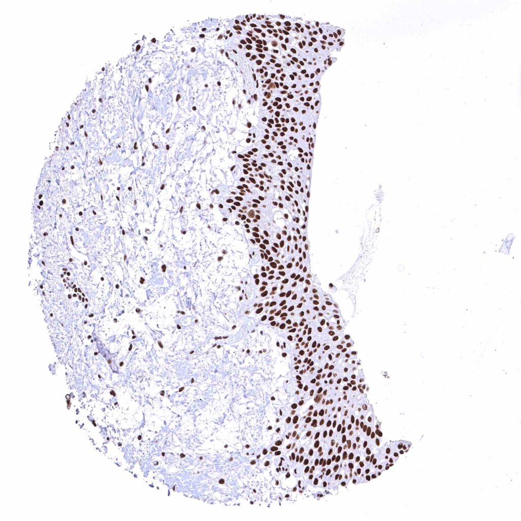
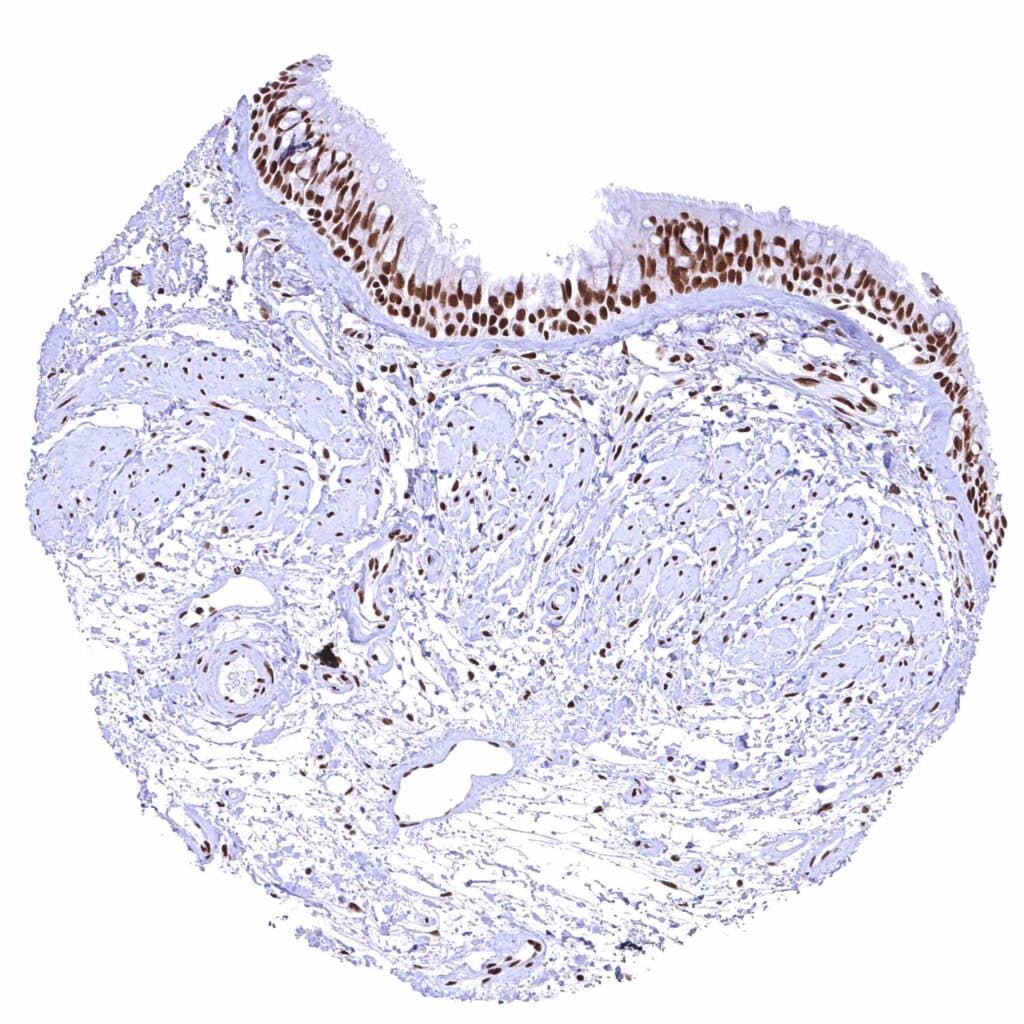
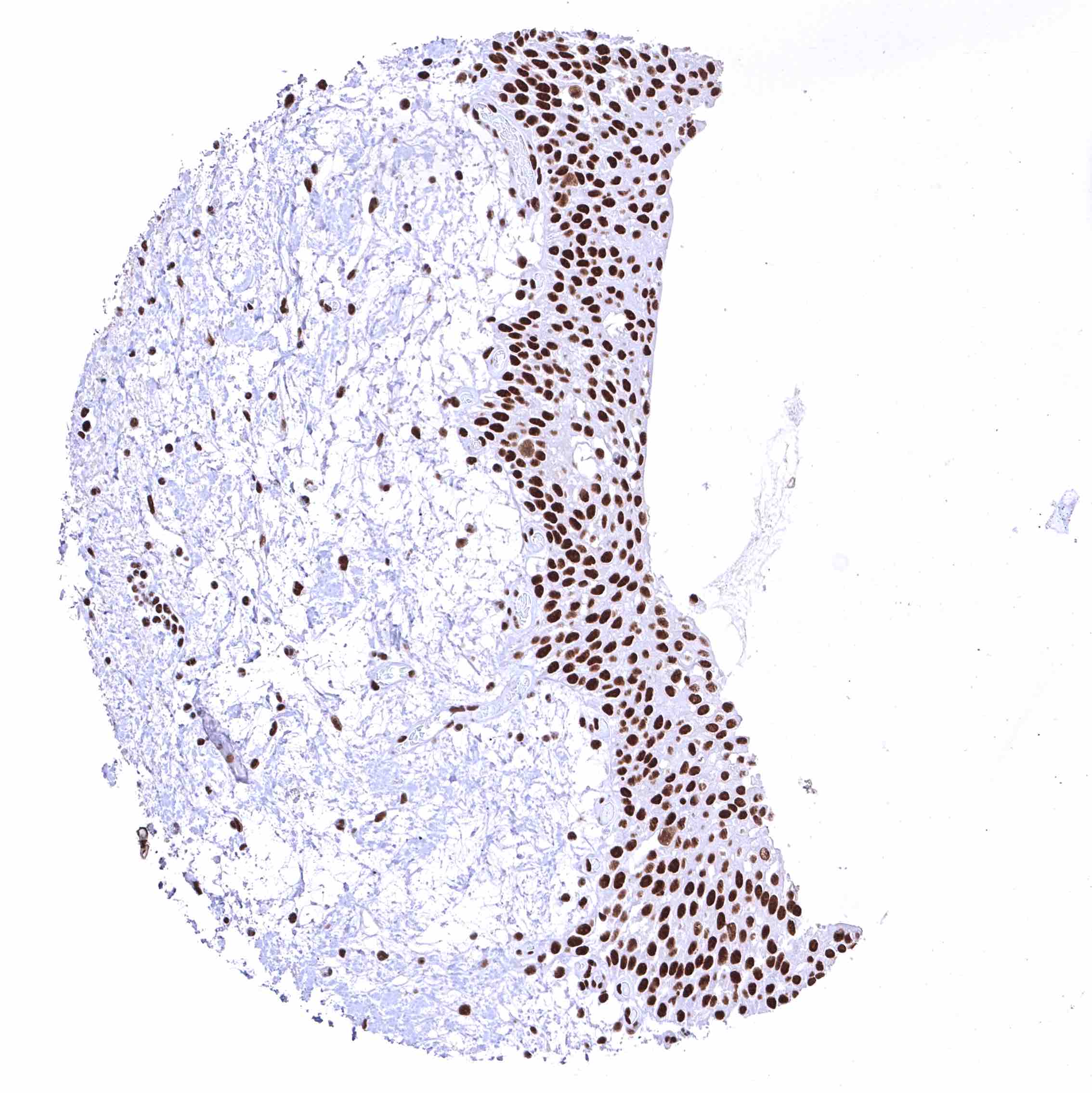
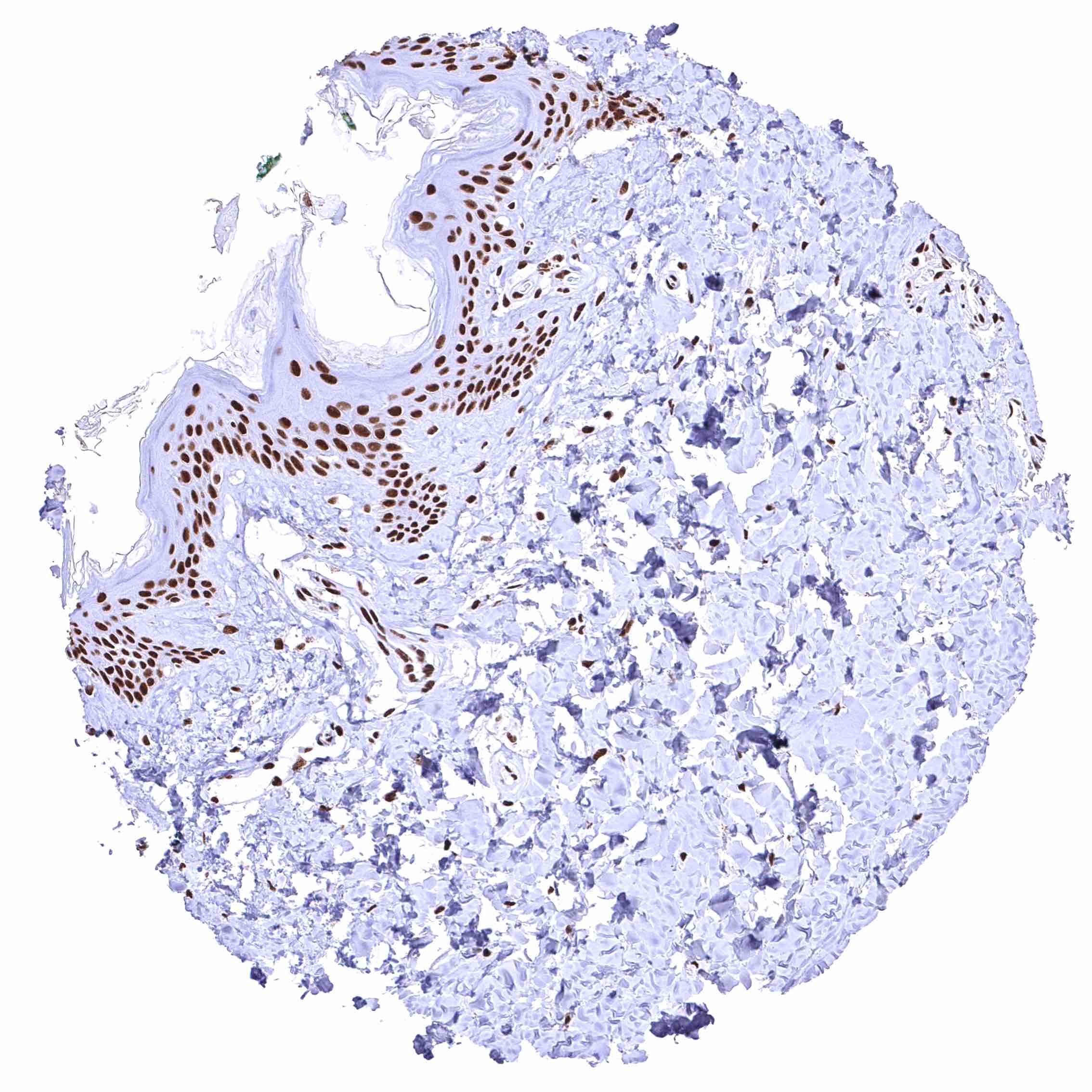
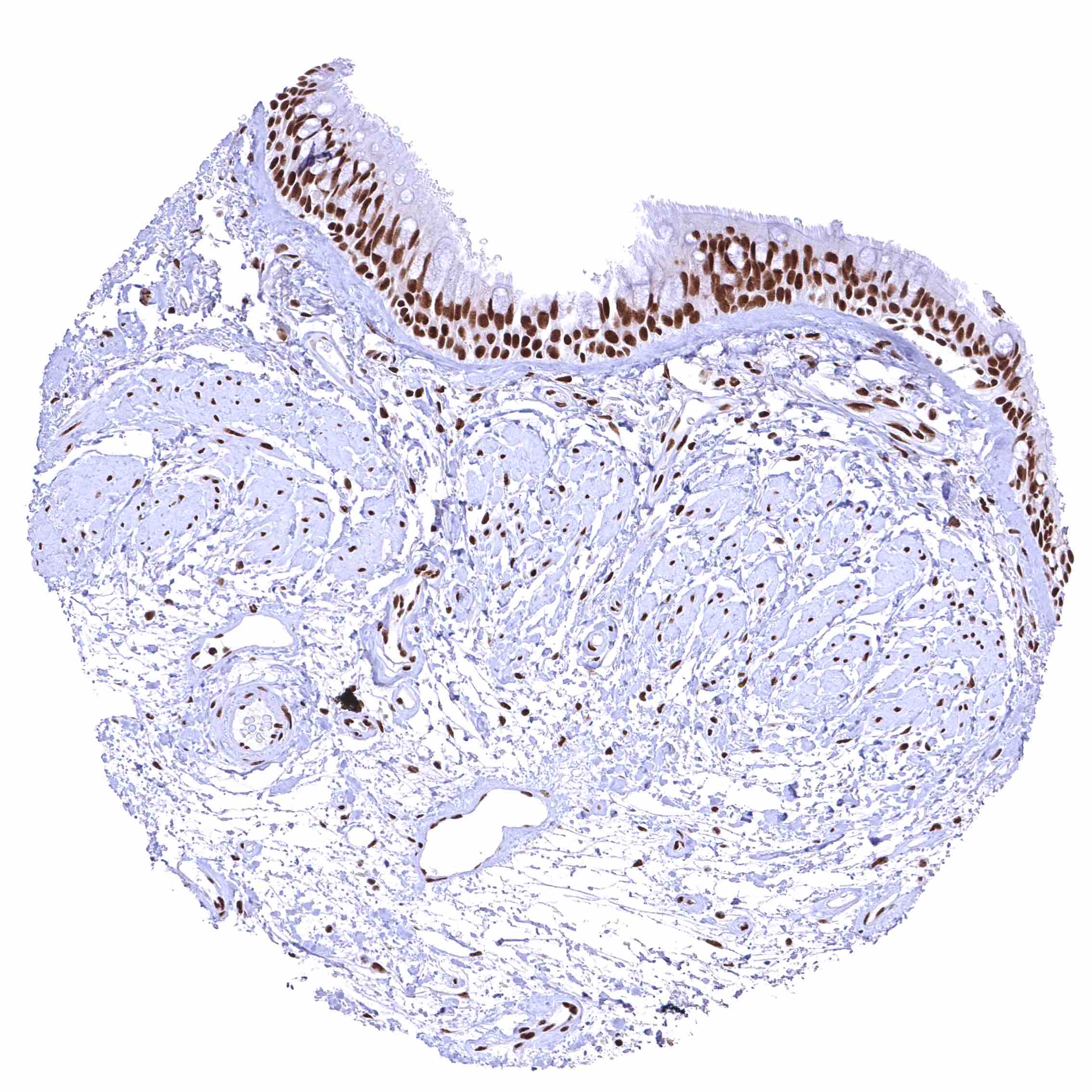
Esophagus, squamous epithelium – Distinct nuclear BRD4 staining of squamous epithelial cells with a slight decrease of the staining intensity towards the most superficial cell layers. .jpeg
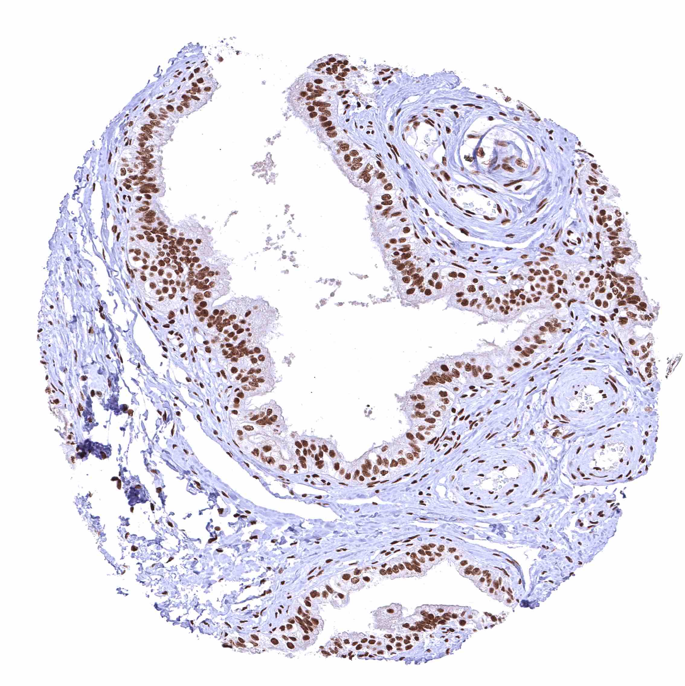
Fallopian tube, mucosa – Strong nuclear BRD4 staining of epithelial cells.
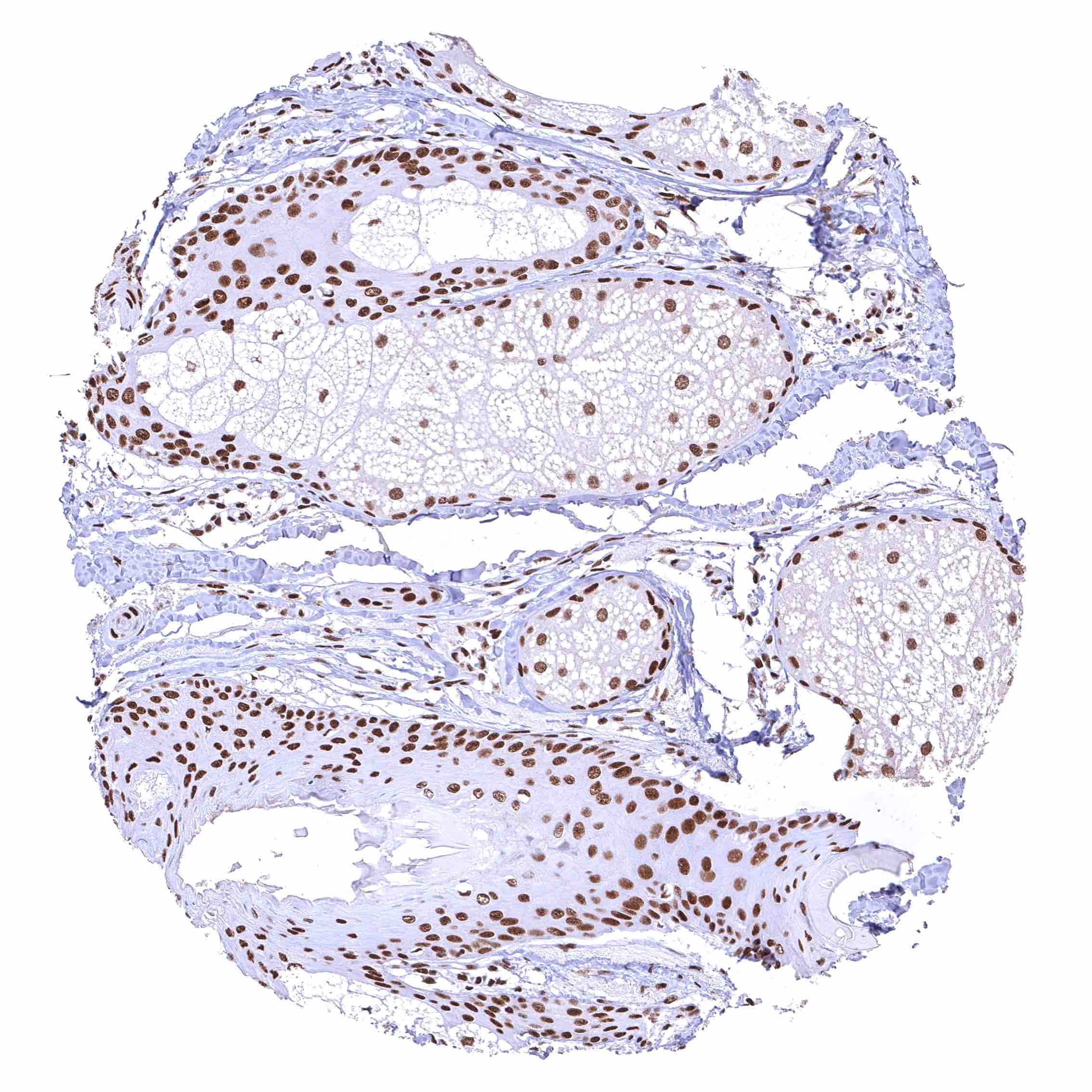
Fat – Distinct nuclear BRD4 staining of fat cells.
Gallbladder, epithelium
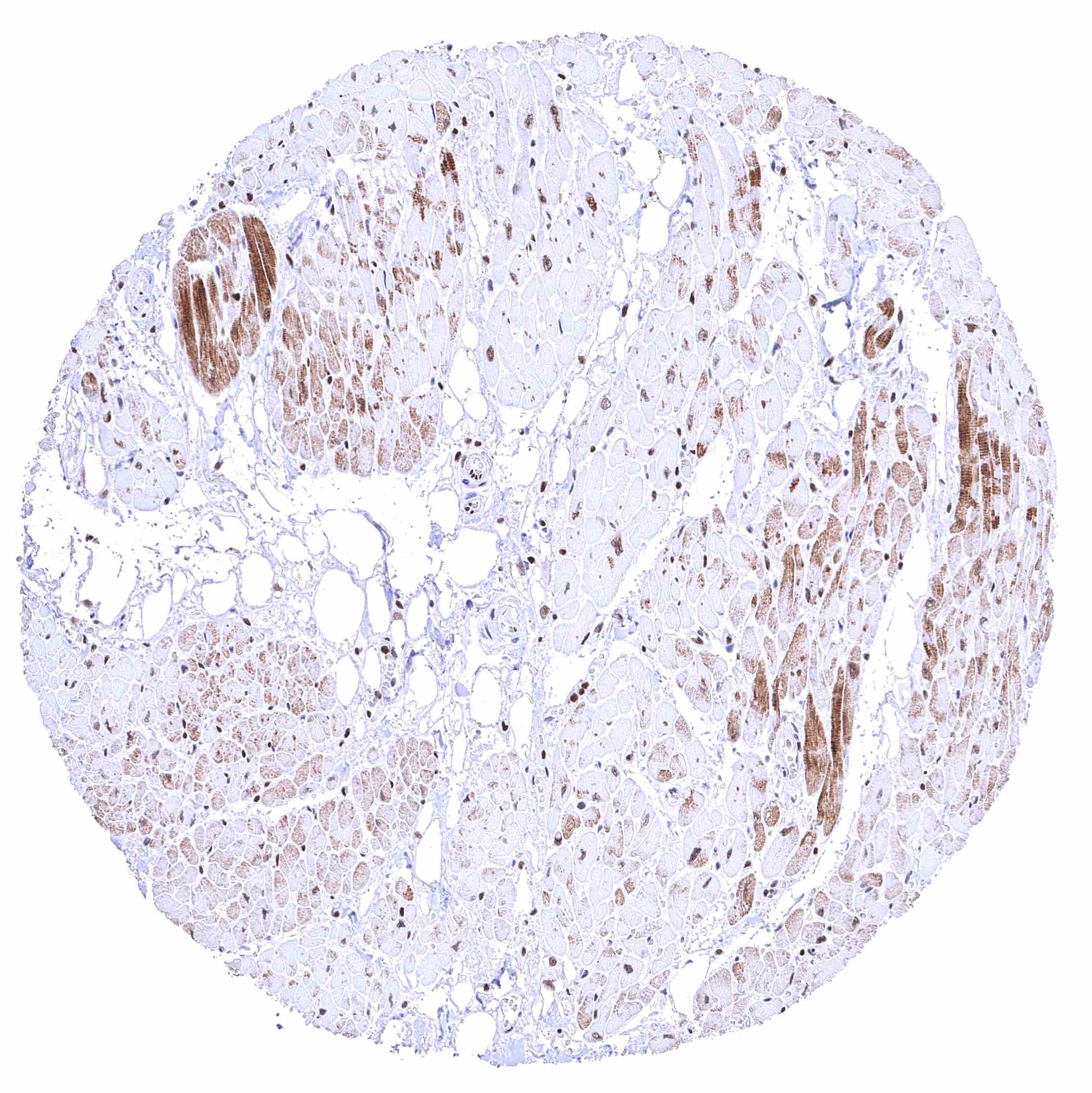
Heart muscle – Distinct nuclear BRD4 staining of all cells. The additional cytoplasmic staining of some muscle cells may represent an antibody specific cross-reactivity.
Ileum, mucosa
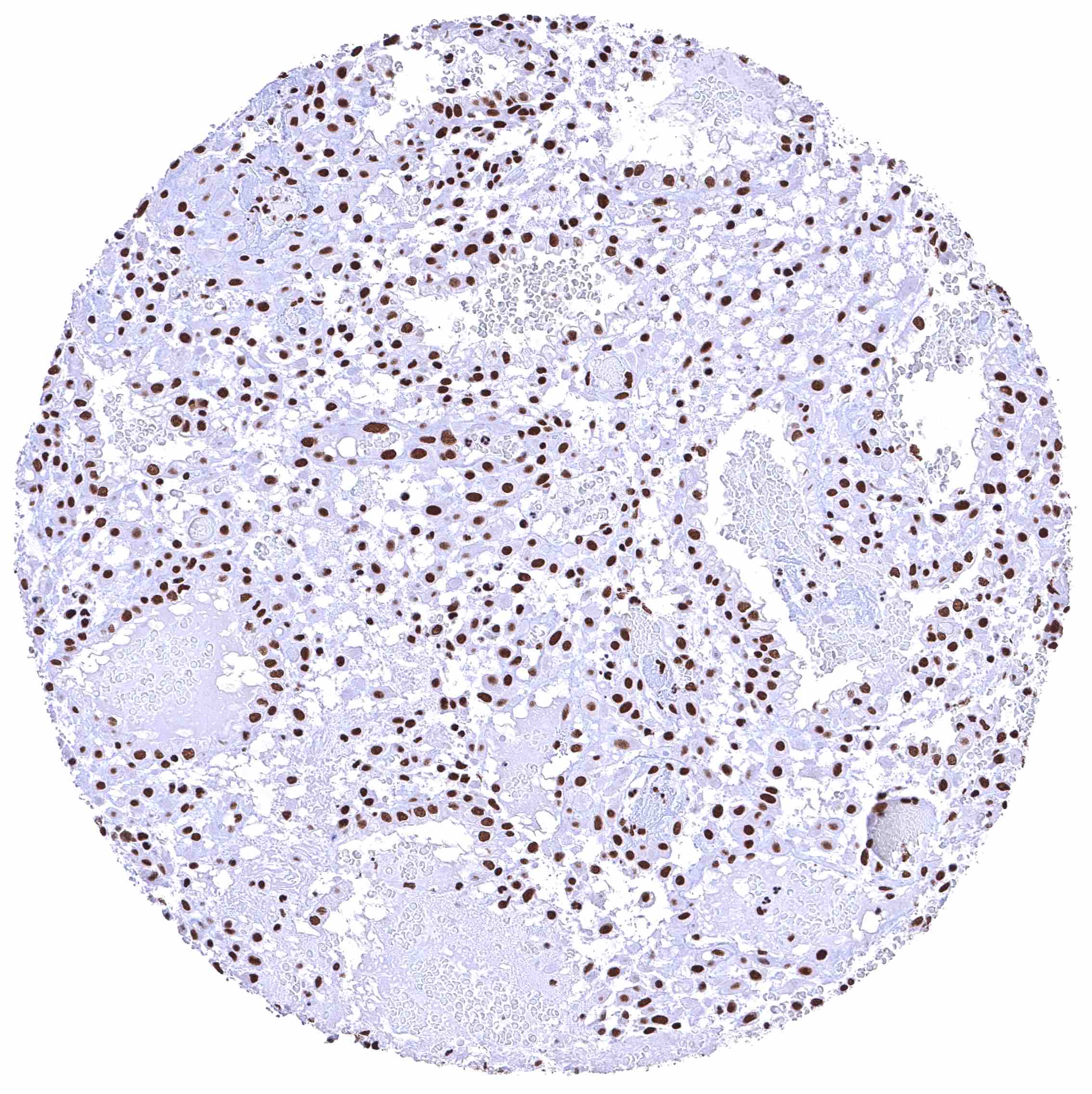
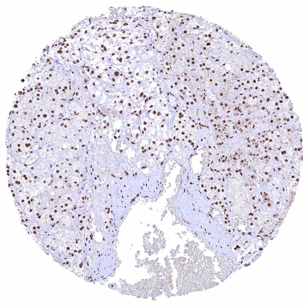
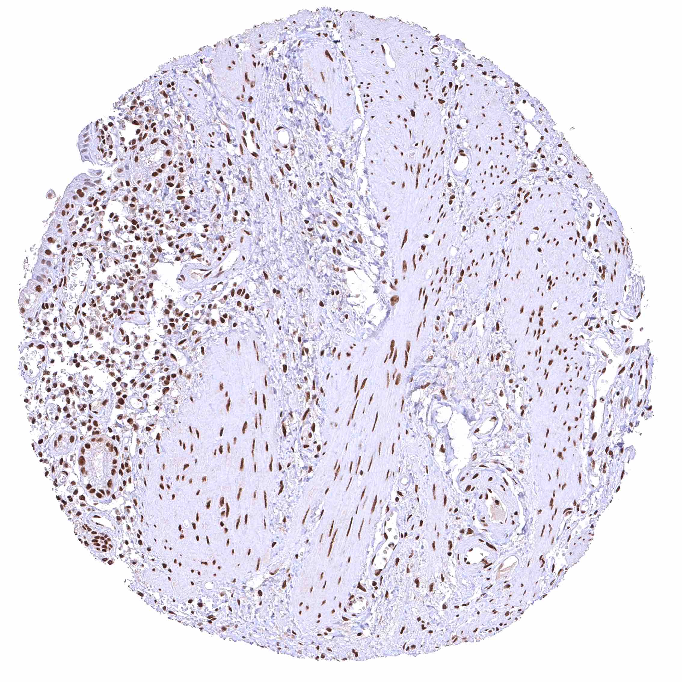
Kidney, cortex
Kidney, medulla.jpeg
Kidney, pelvis, muscular wall
Kidney, pelvis, urothelium – Distinct nuclear BRD4 staining of urothelial cells.
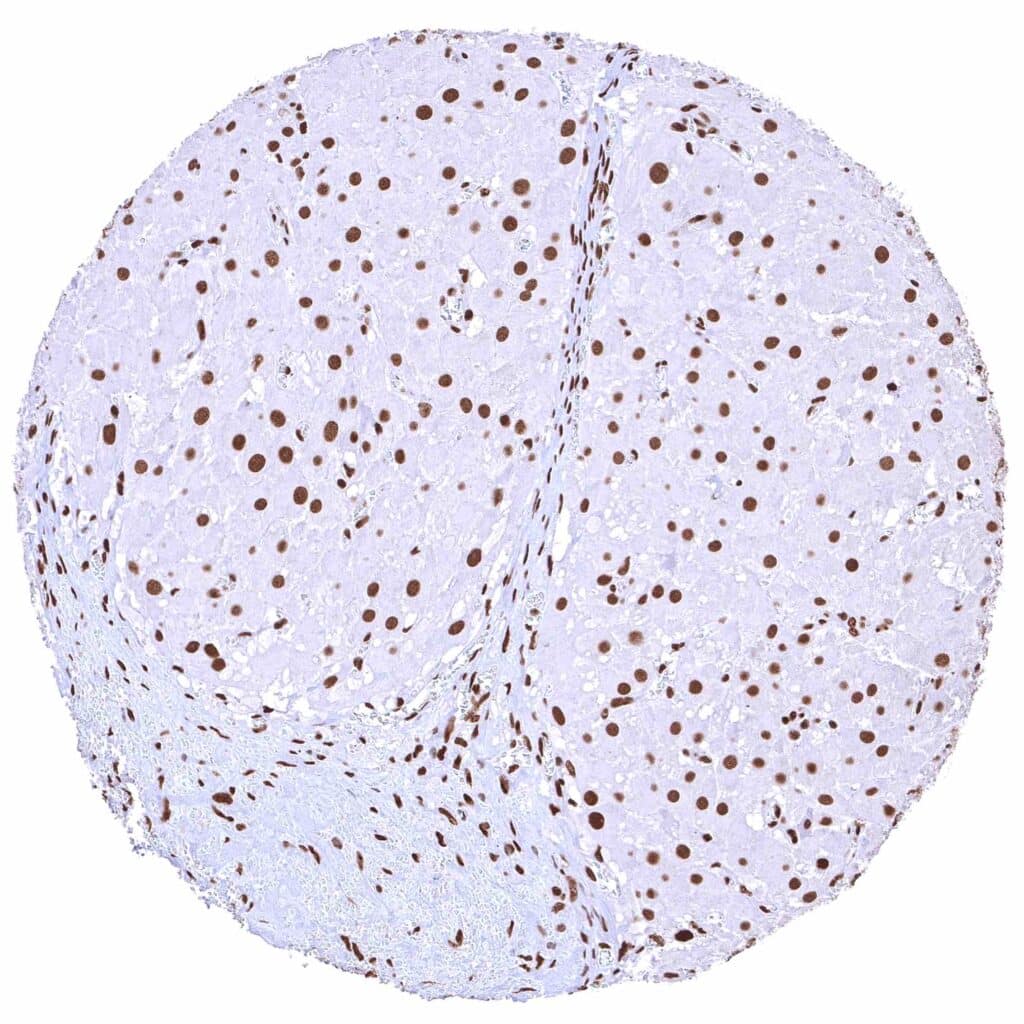
Liver – Nuclear BRD4 staining occurs in all cells, but is clearly weakest in hepatocytes.
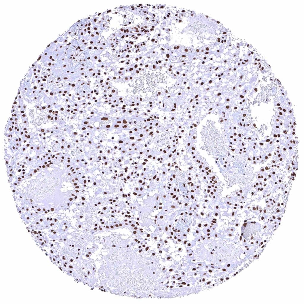
Lung
Lymph node – Strong nuclear BRD4 staining of all cell types.
Ovary, corpus luteum – Strong nuclear BRD4 staining of corpus luteum cells.
Ovary, stroma – Strong nuclear BRD4 staining of stroma cells.
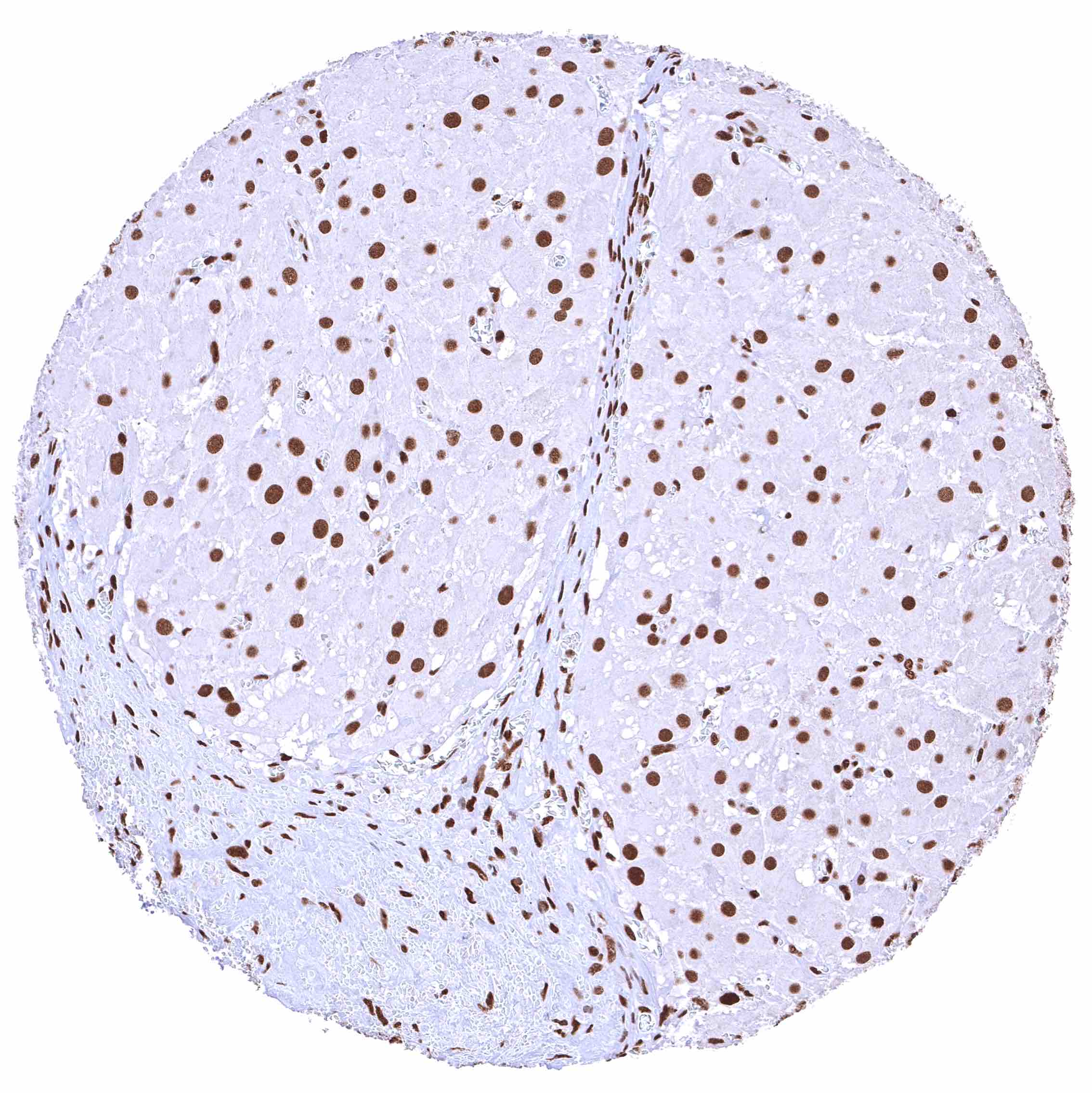
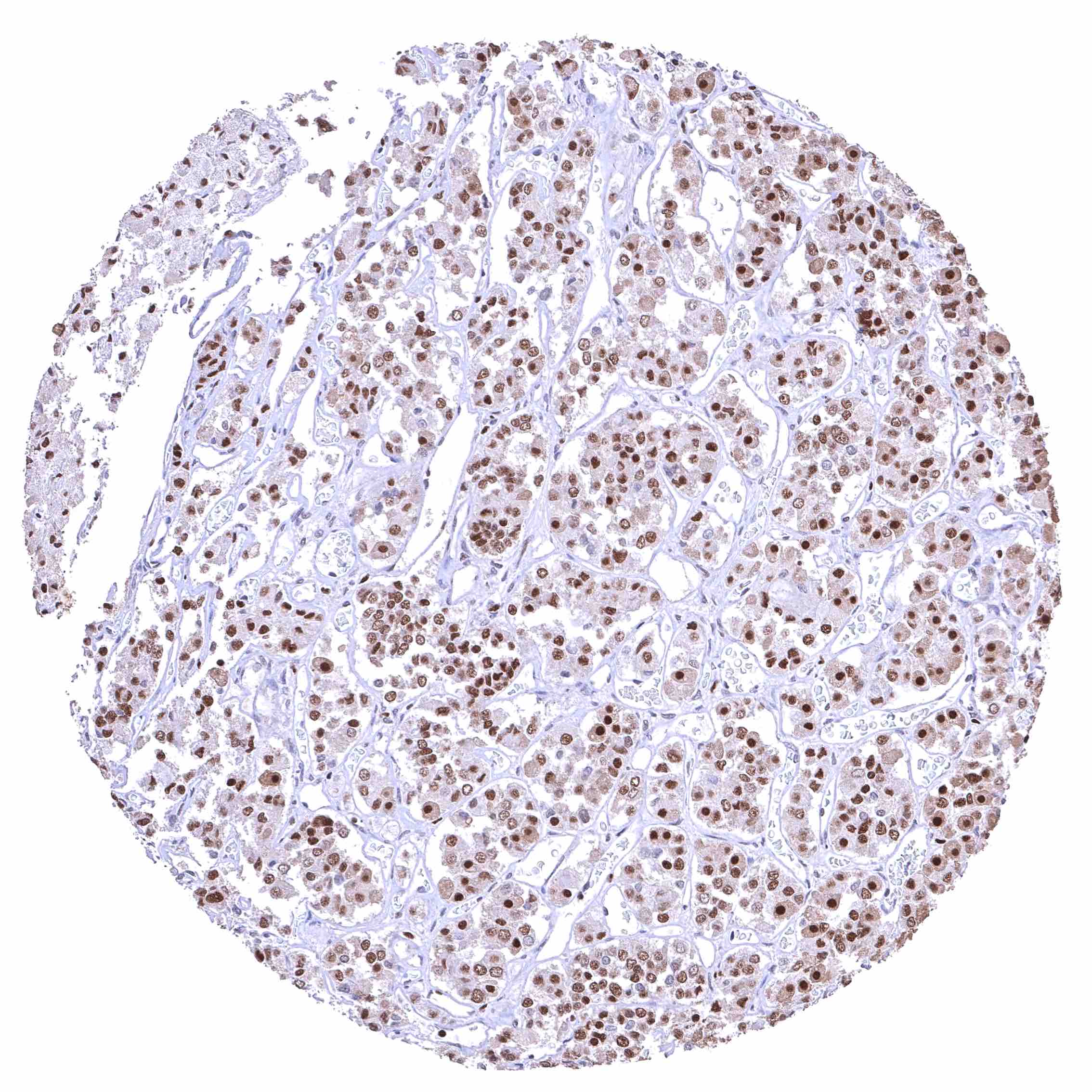
Pancreas
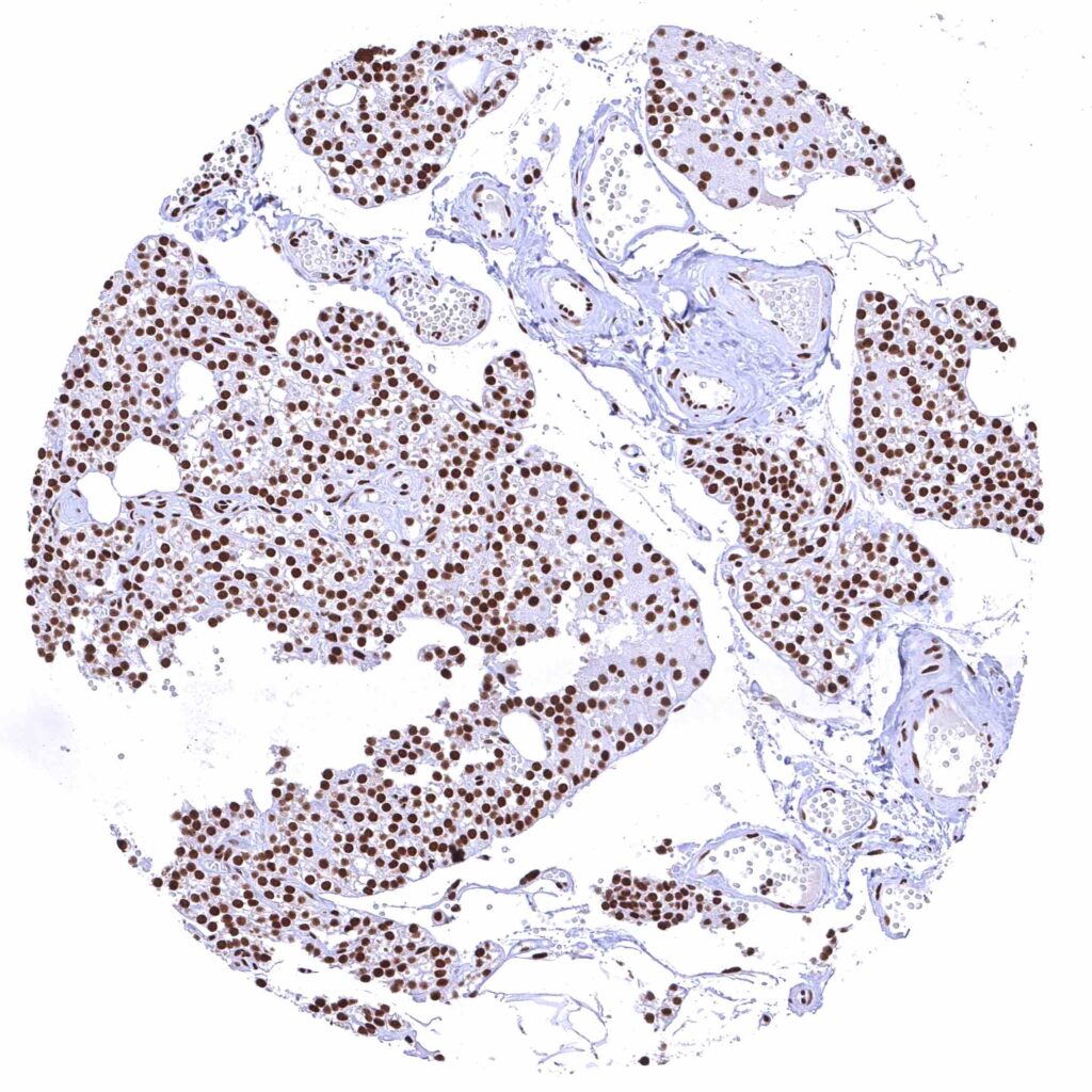
Parathyroid gland – Strong nuclear BRD4 staining of epithelial cells.
Parotid gland – BRD4 staining of glandular cells is somewhat weaker than of excretory duct cells.
Pituitary gland, anterior lobe
Pituitary gland, posterior lobe
Placenta (amnion and chorion) – Strong nuclear BRD4 staining of both amnion and chorion cells.
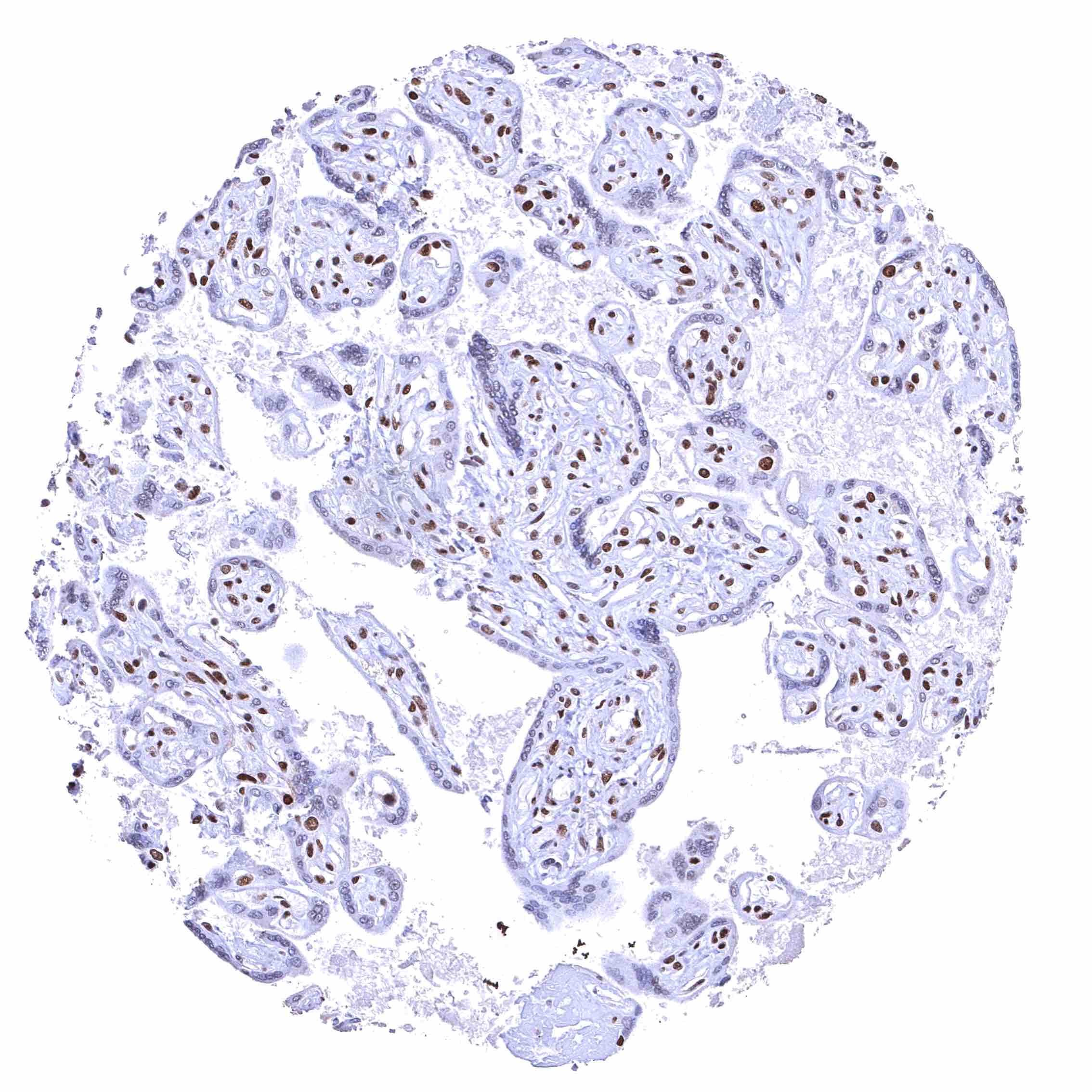
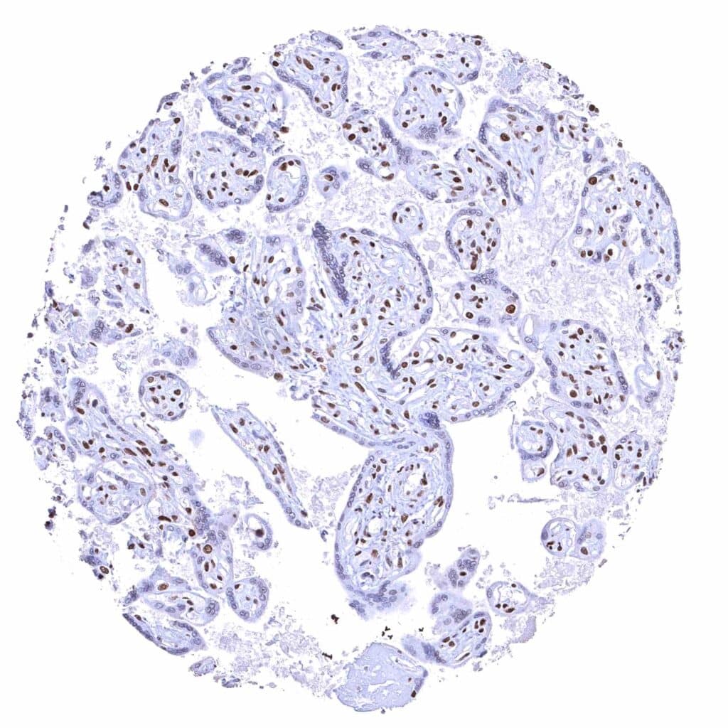
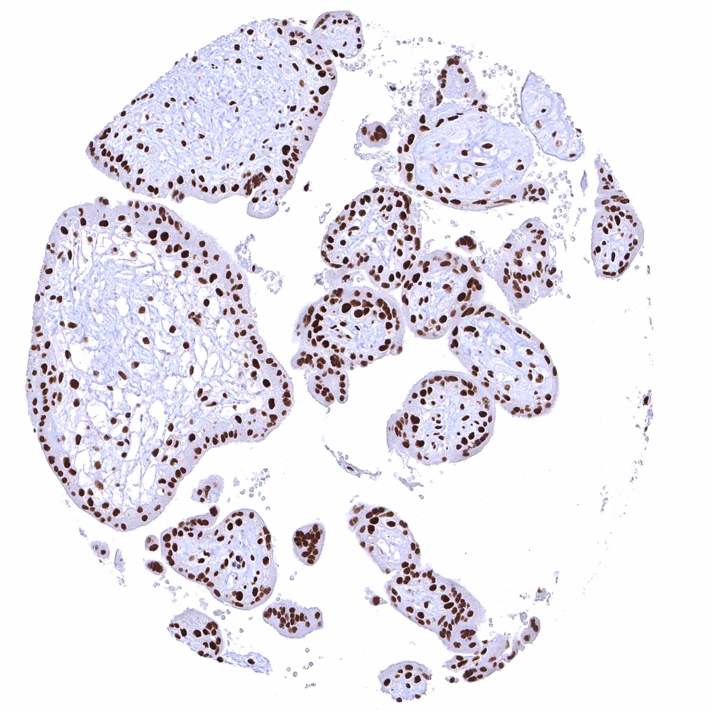
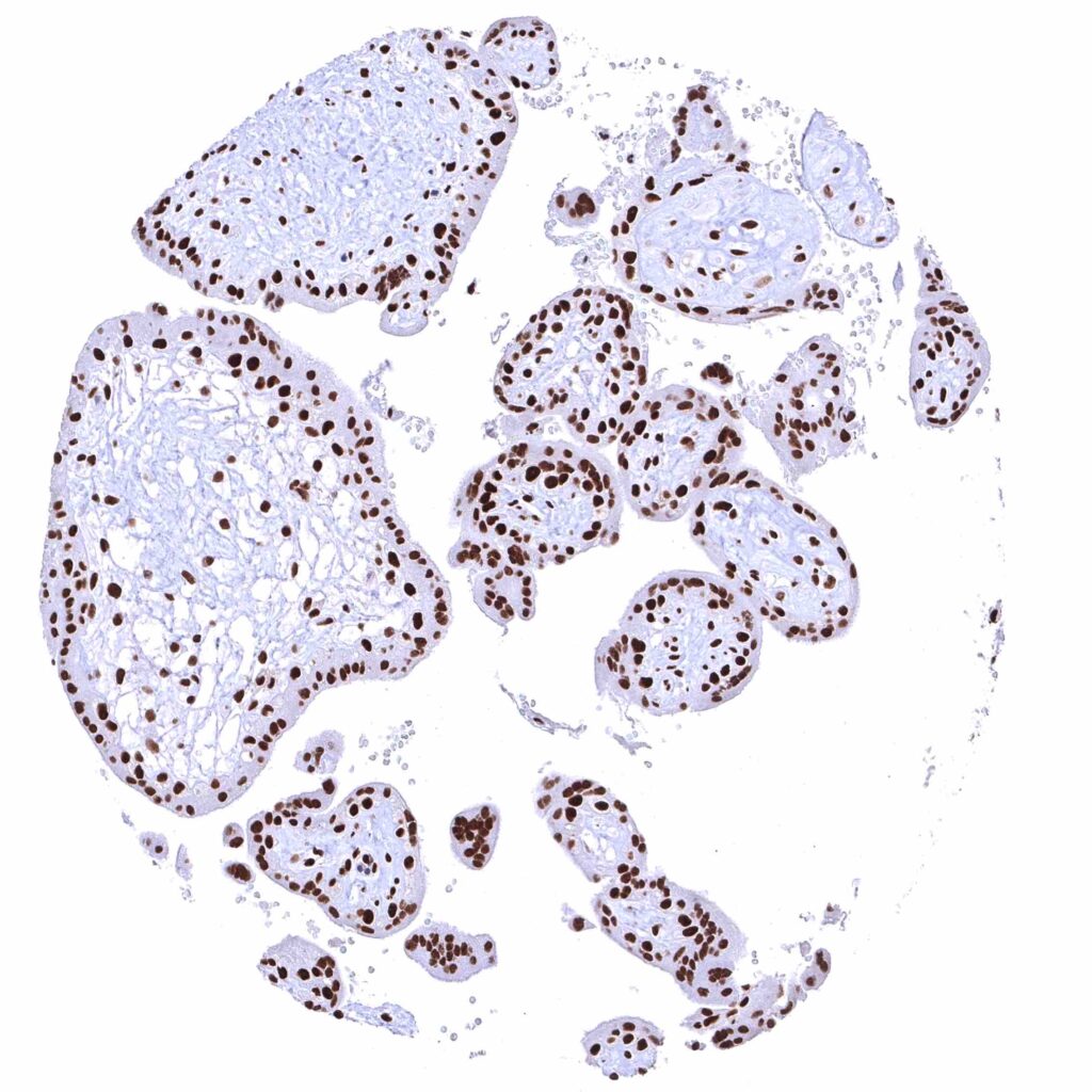
Placenta, early – Nuclear BRD4 staining is particularly strong in all trophoblast cells.
Placenta, mature – BRD4 staining is either absent or massively reduced in the syncytiotrophoblast.
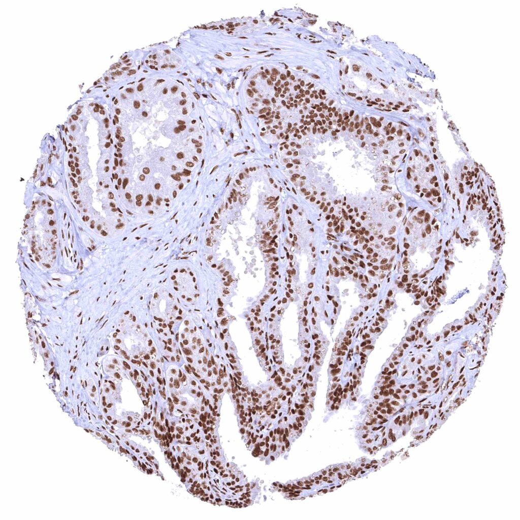
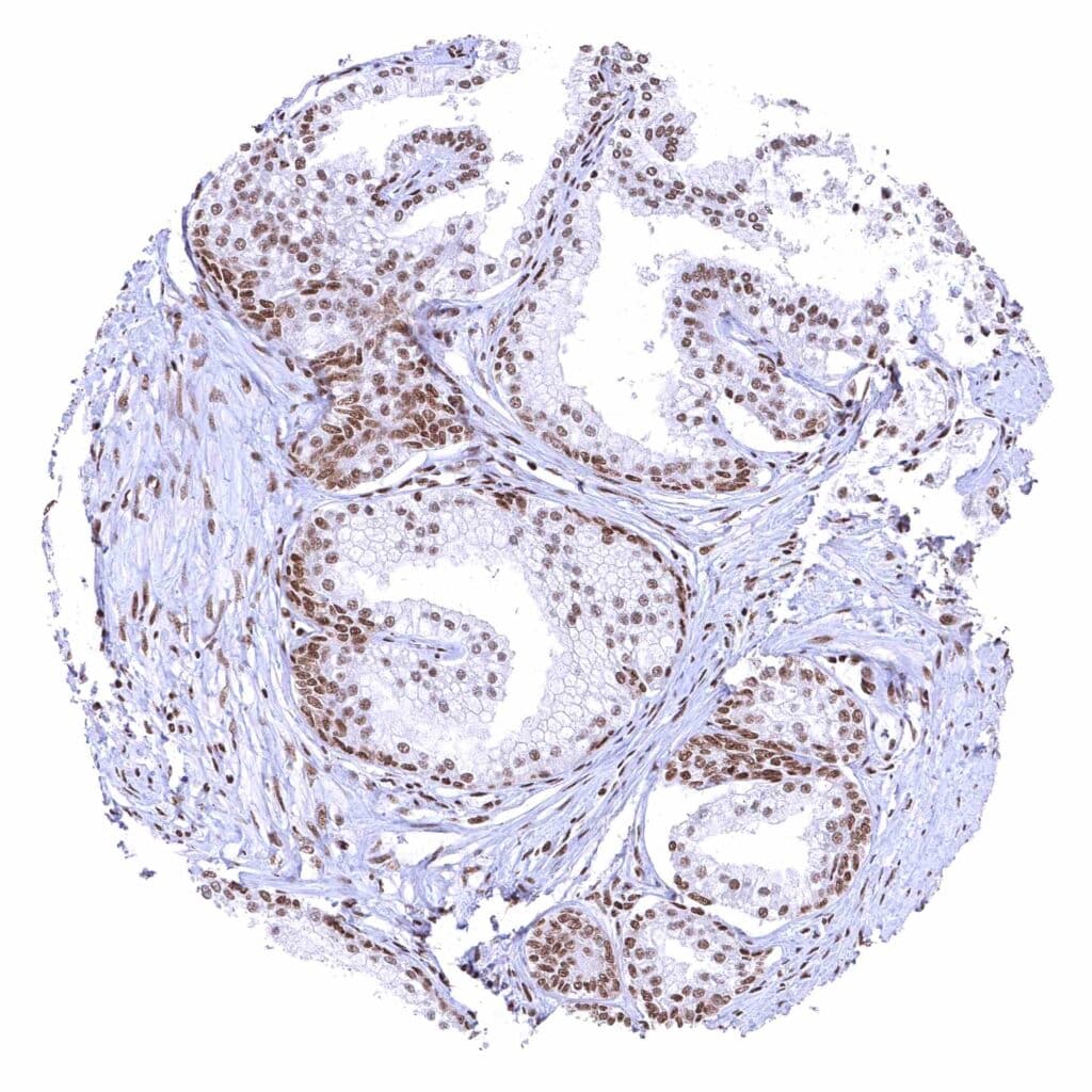
Prostate – BRD4 staining of basal cells is somewhat stronger than of acinar cells.
Rectum, mucosa – Nuclear BRD4 staining of surface epithelial cells is weaker than in crypts. .jpeg
Seminal vesicle.jpeg
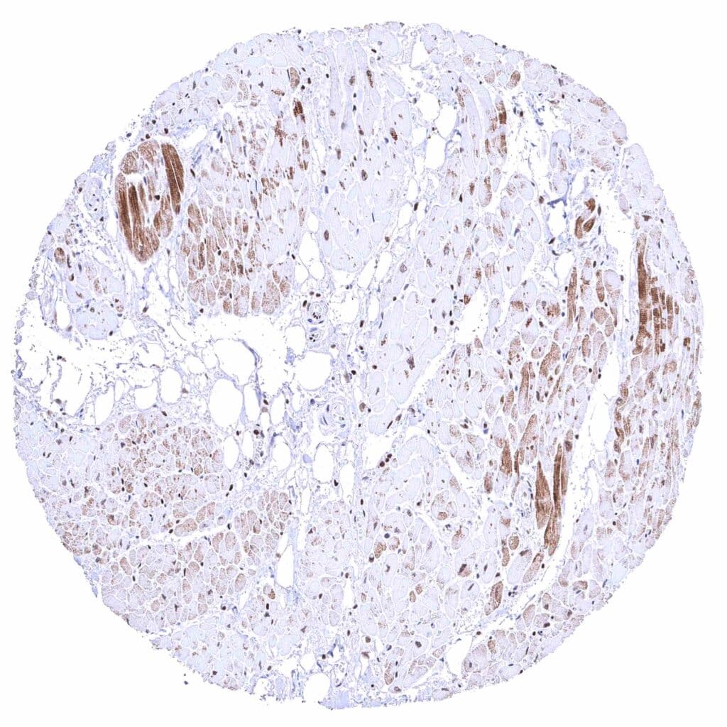
Skeletal muscle – Distinct nuclear BRD4 staining of all cells. A cytoplasmic staining of muscle cells is not seen in this sample.
Skeletal muscle – Distinct nuclear BRD4 staining of all cells. The additional cytoplasmic staining of some muscle cells may represent an antibody specific cross-reactivity.
Skin – Strong nuclear BRD4 staining of squamous epithelial cells.
Skin, hairfollicel and sebaceous glands – Moderate to strong BRD4 staining of sebaceous gland cells. Nuclear BRD4 staining is somewhat stronger in associated hair follicles cells.
Spleen – Strong nuclear BRD4 staining of all cell types.
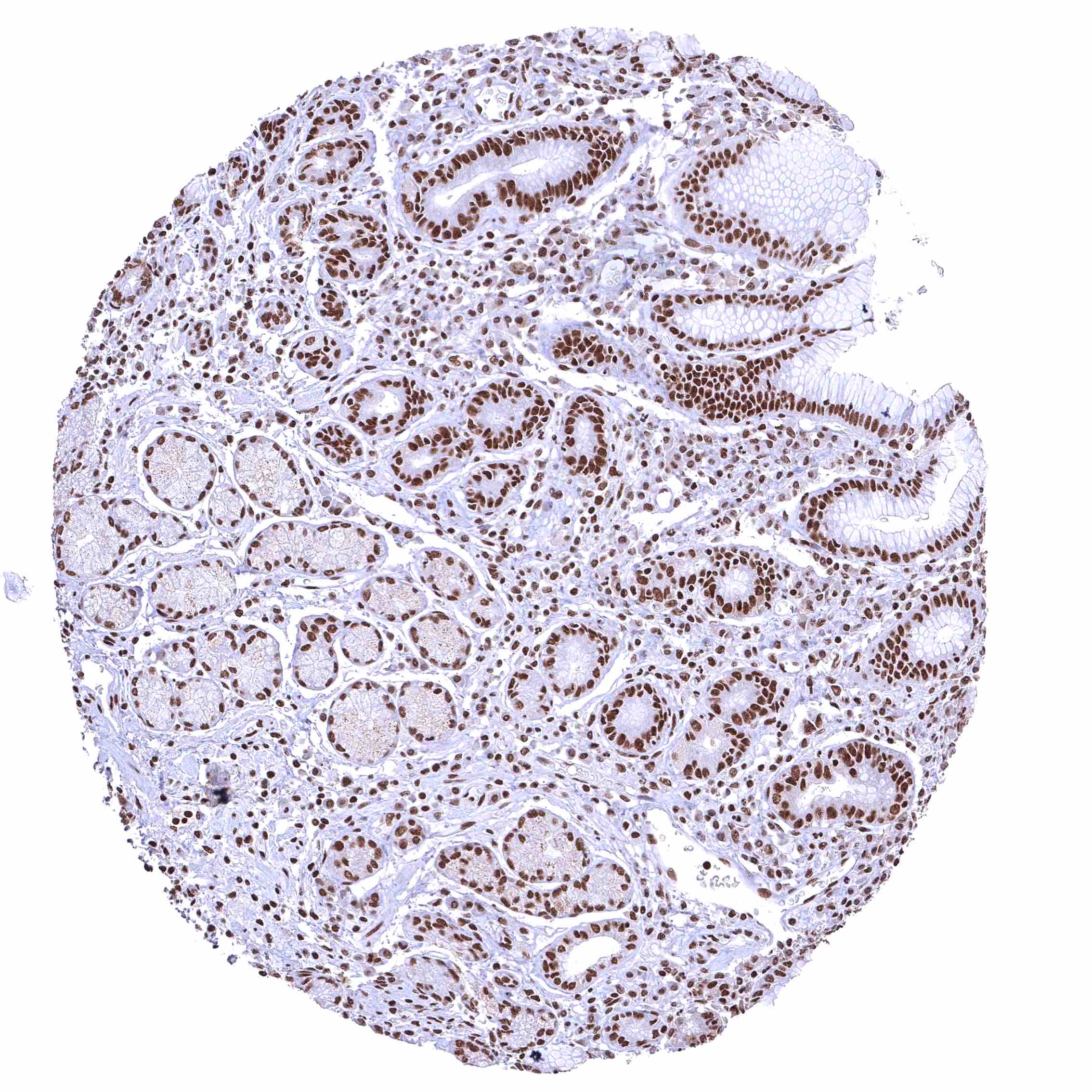
Stomach, antrum – BRD4 staining of surface epithelial cells is slightly more intense than in glandular cells.
Stomach, corpus – BRD4 staining of surface epithelial cells is slightly more intense than in glandular cells.
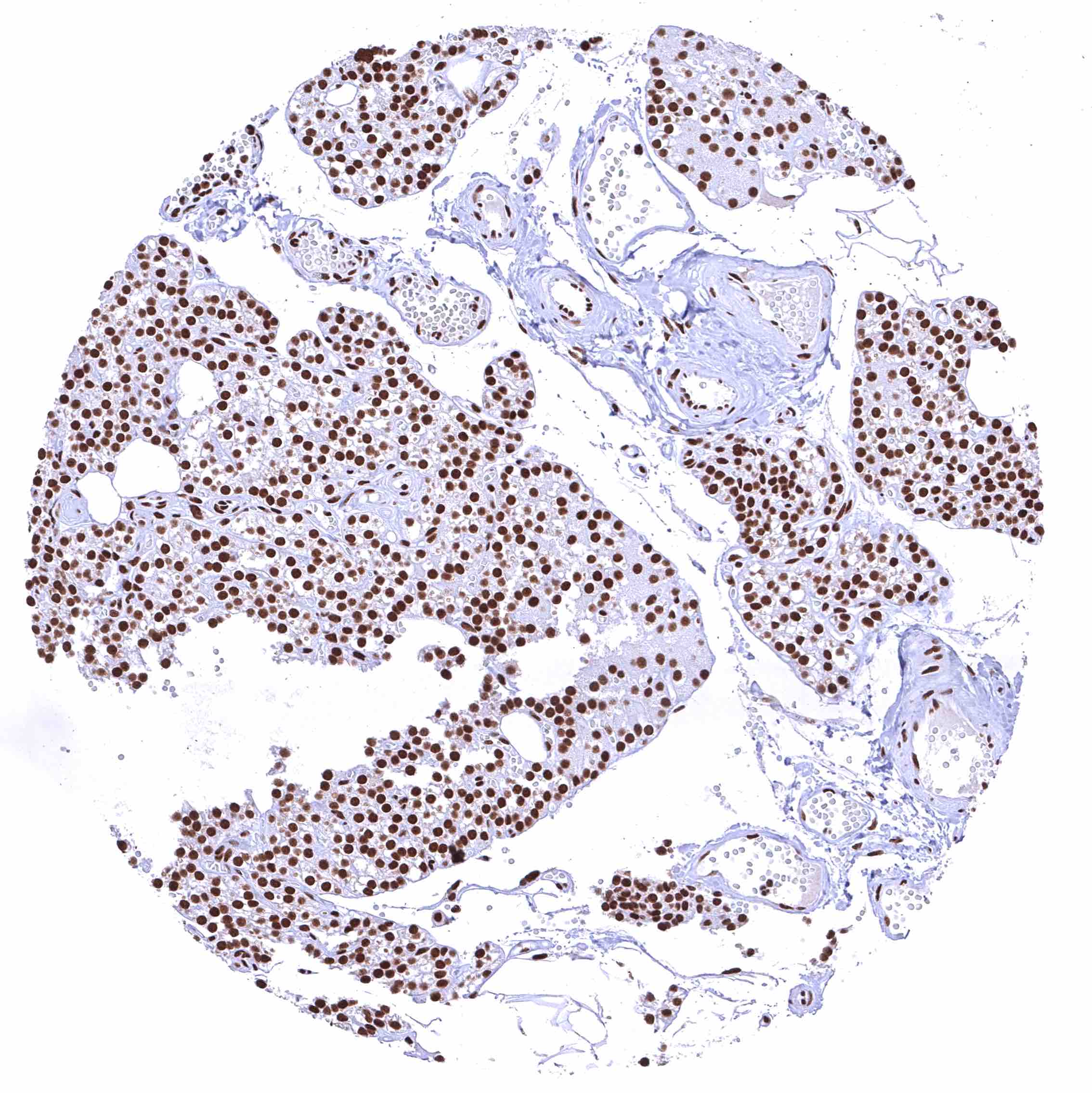
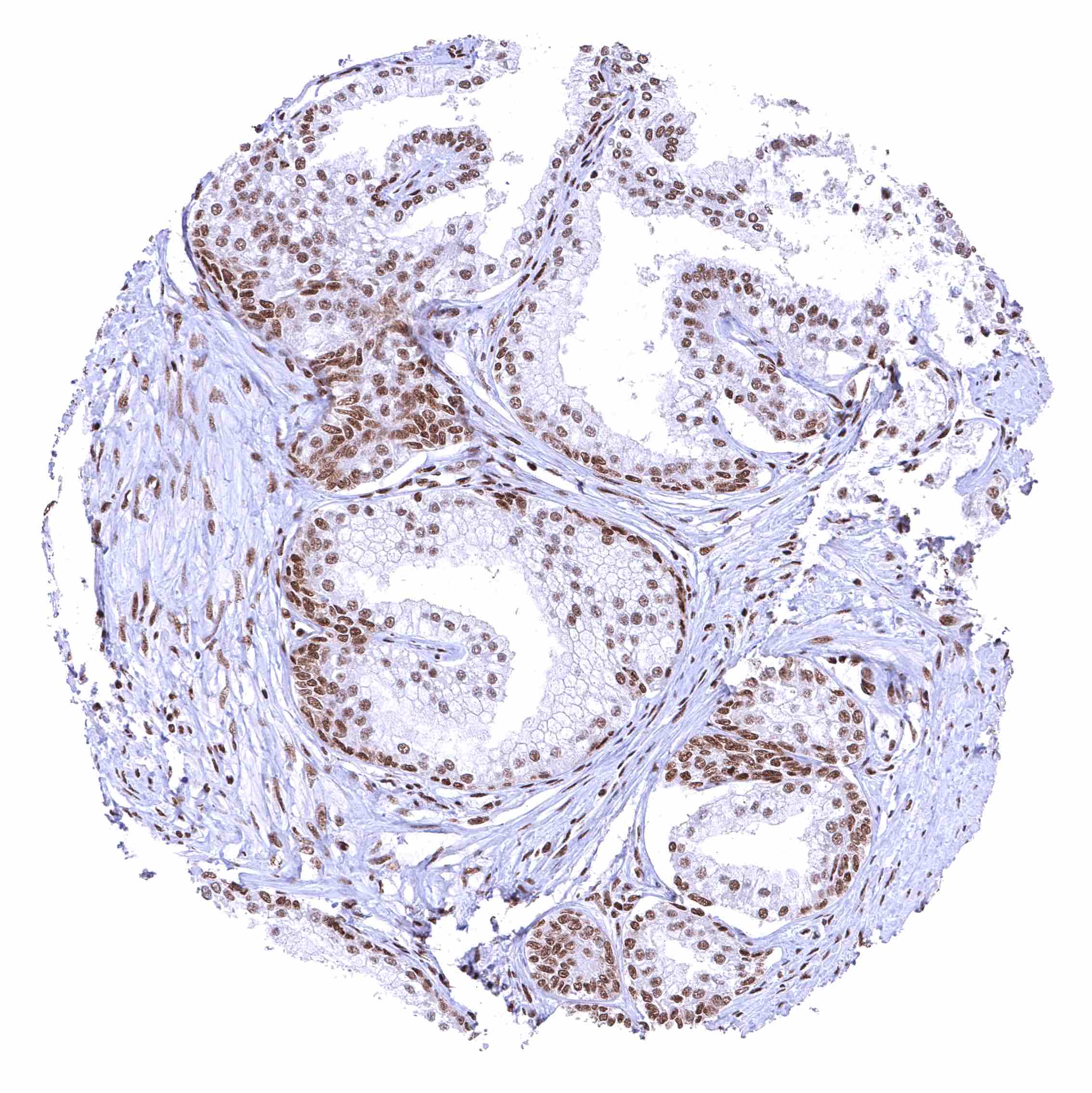
Testis – The level of nuclear BRD4 staining decreases with maturation of germ cells. .jpeg
Thymus – Strong nuclear BRD4 staining of all cell types.
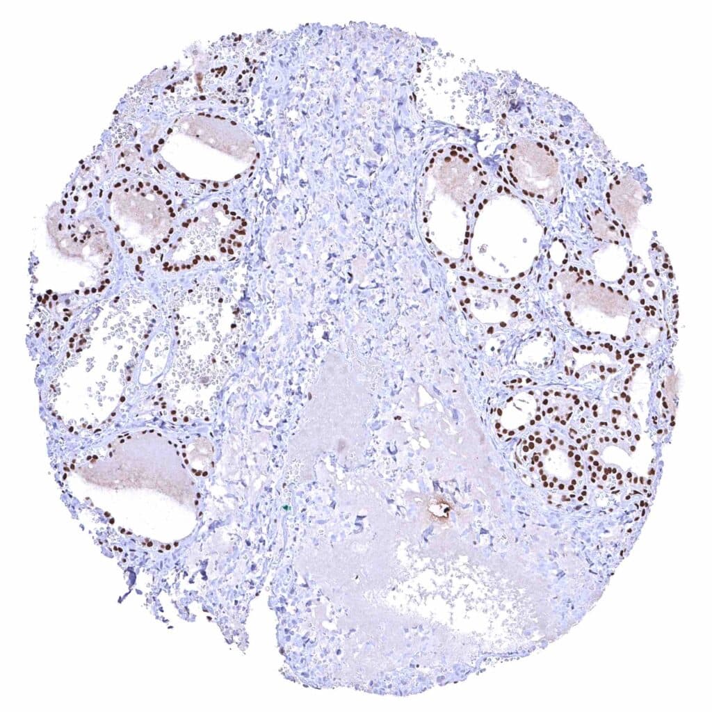
Thyroid gland – Strong nuclear BRD4 staining of epithelial cells. .jpeg
Tonsil – Strong nuclear BRD4 staining of all cell types. .jpeg
Tonsil, surface epithelium
Urinary bladder, muscular wall
Urinary bladder, urothelium – Distinct nuclear BRD4 staining of urothelial cells.
Uterus, ectocervix – Distinct nuclear BRD4 staining of squamous epithelial cells with a slight decrease of the staining intensity towards the most superficial cell layers. .jpeg
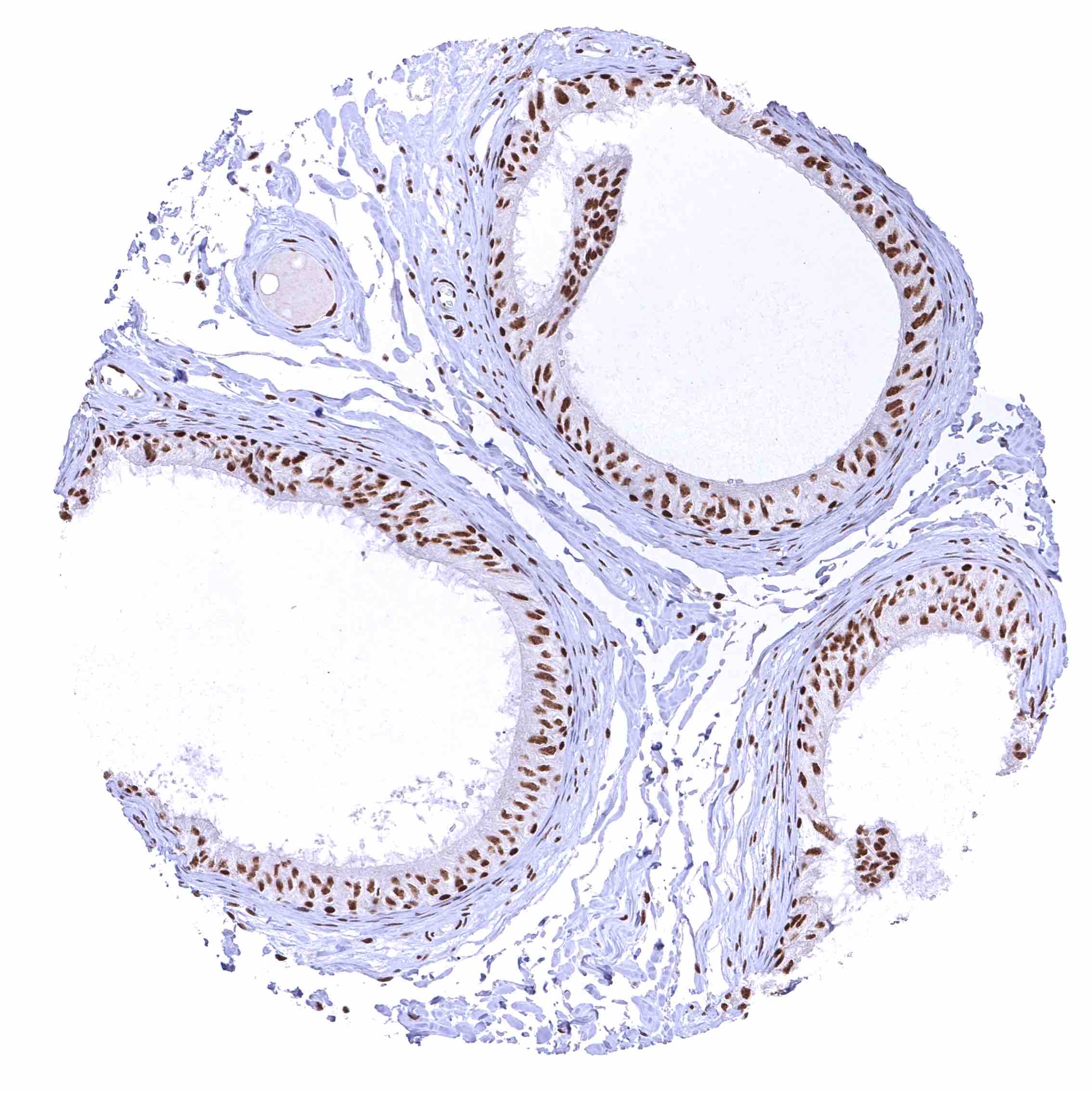
Uterus, endocervix
Uterus, endometrium (pregnancy)
Uterus, endometrium (proliferation)
Uterus, endometrium (secretion)
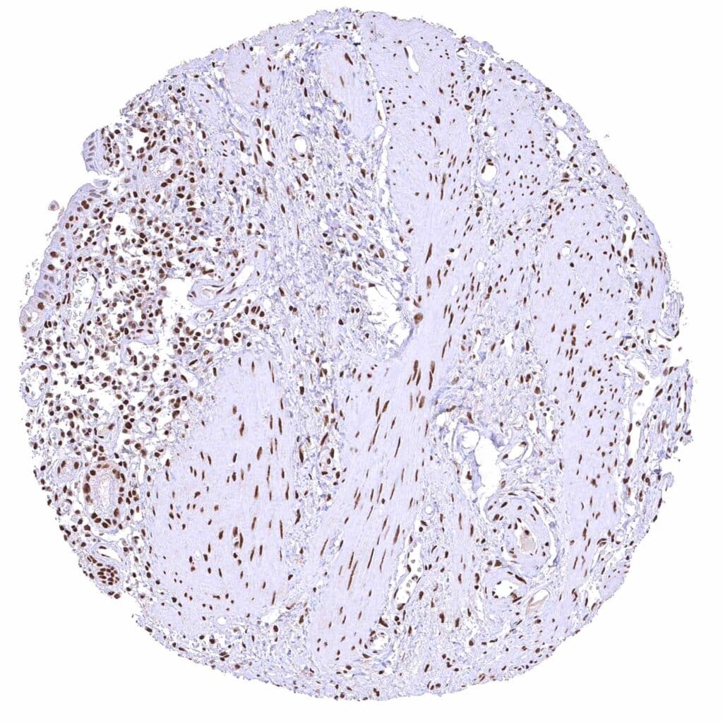
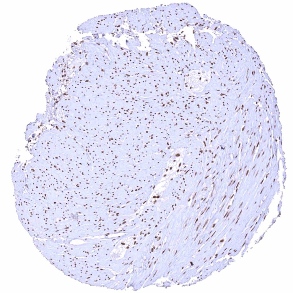
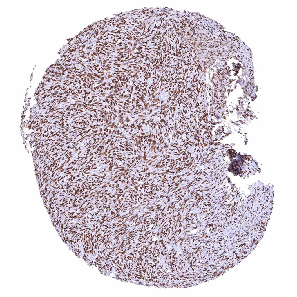
Uterus, myometrium – Distinct nuclear BRD4 staining of all muscle cells.
