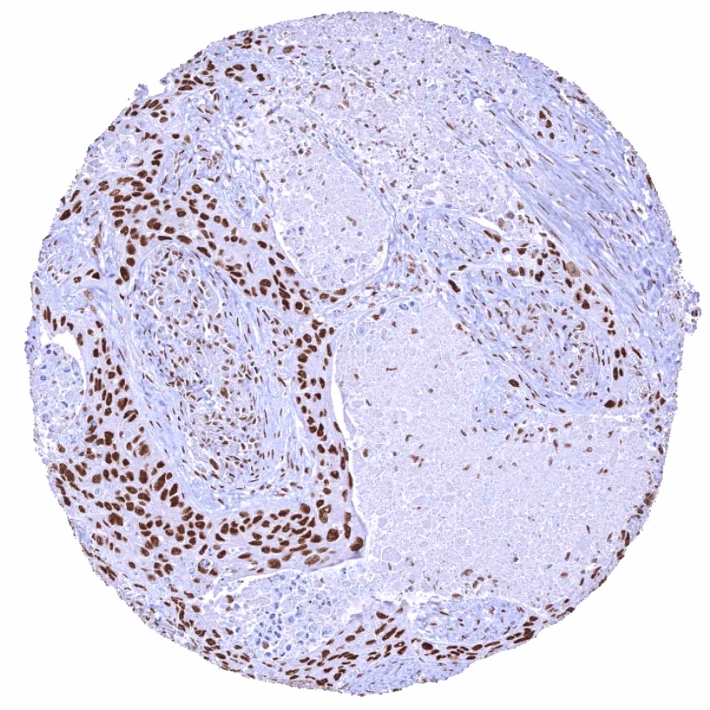
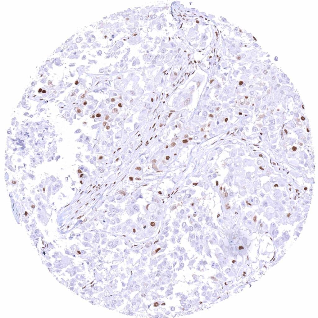
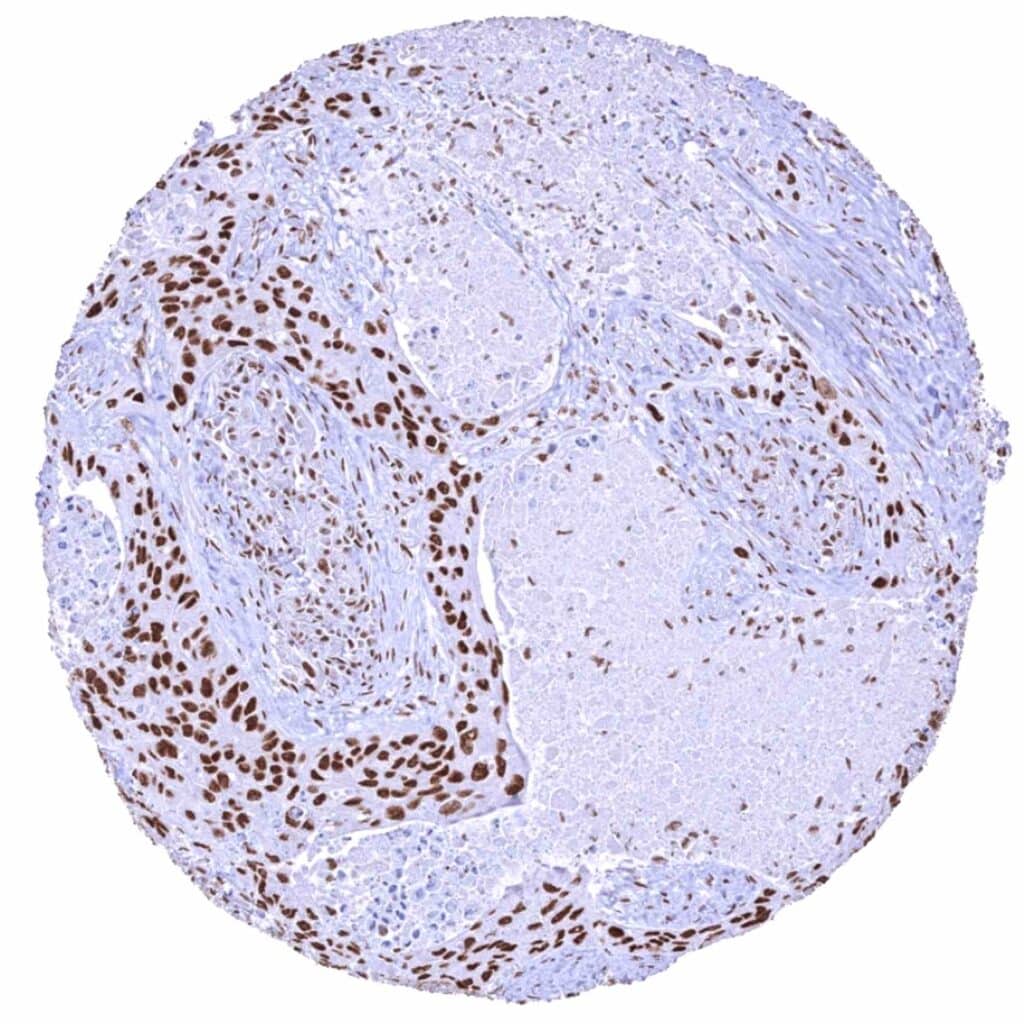
Breast – Invasive breast cancer of no special type (NST) with absent or markedly reduced BRD4 staining of most tumor cells while nuclear BRD4 staining is distinct in inflammatory cells
Breast – Invasive breast cancer of no special type (NST) with intense BRD4 positivity of tumor cells.
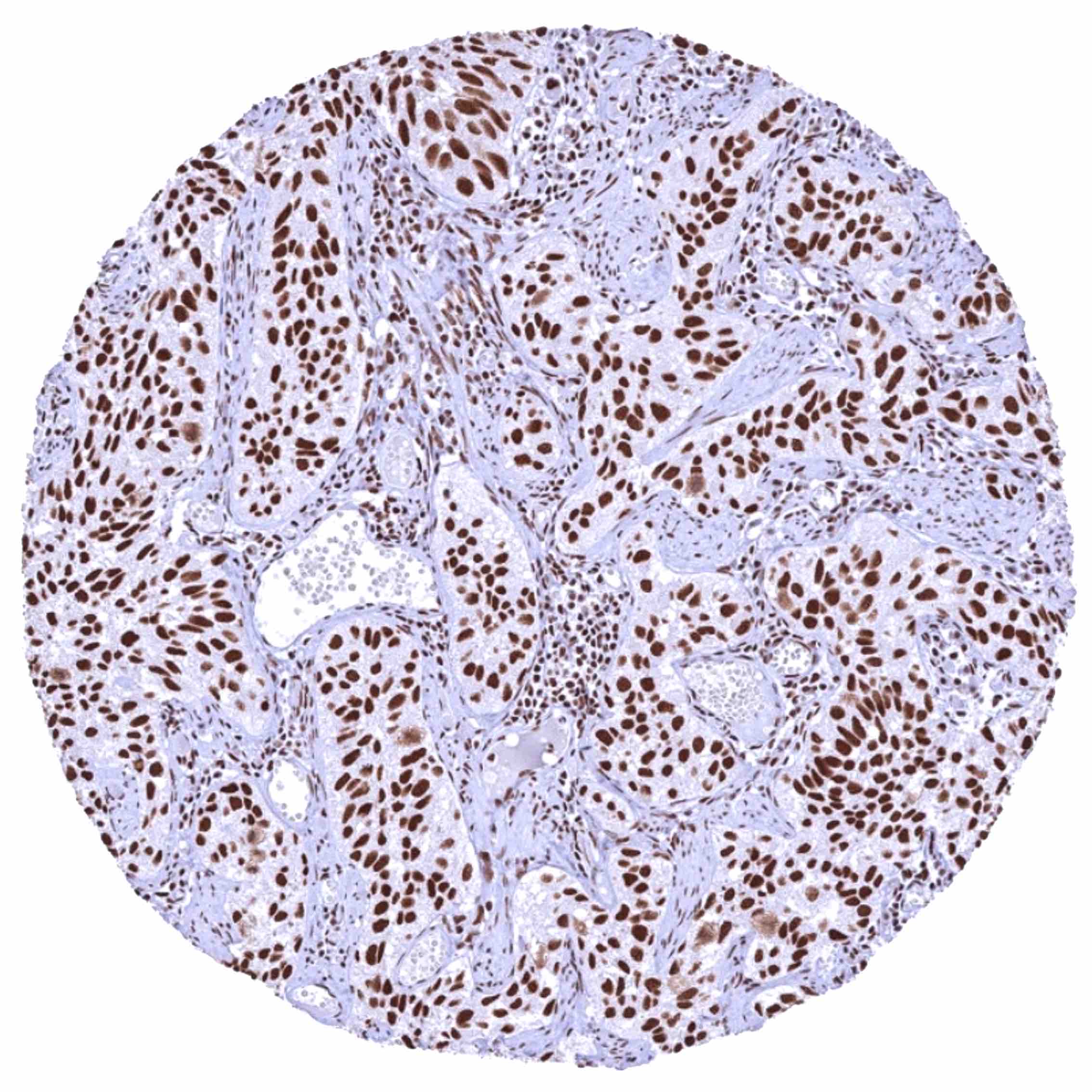
Breast – Invasive lobular breast cancer with strong BRD4 staining of cancer cells.
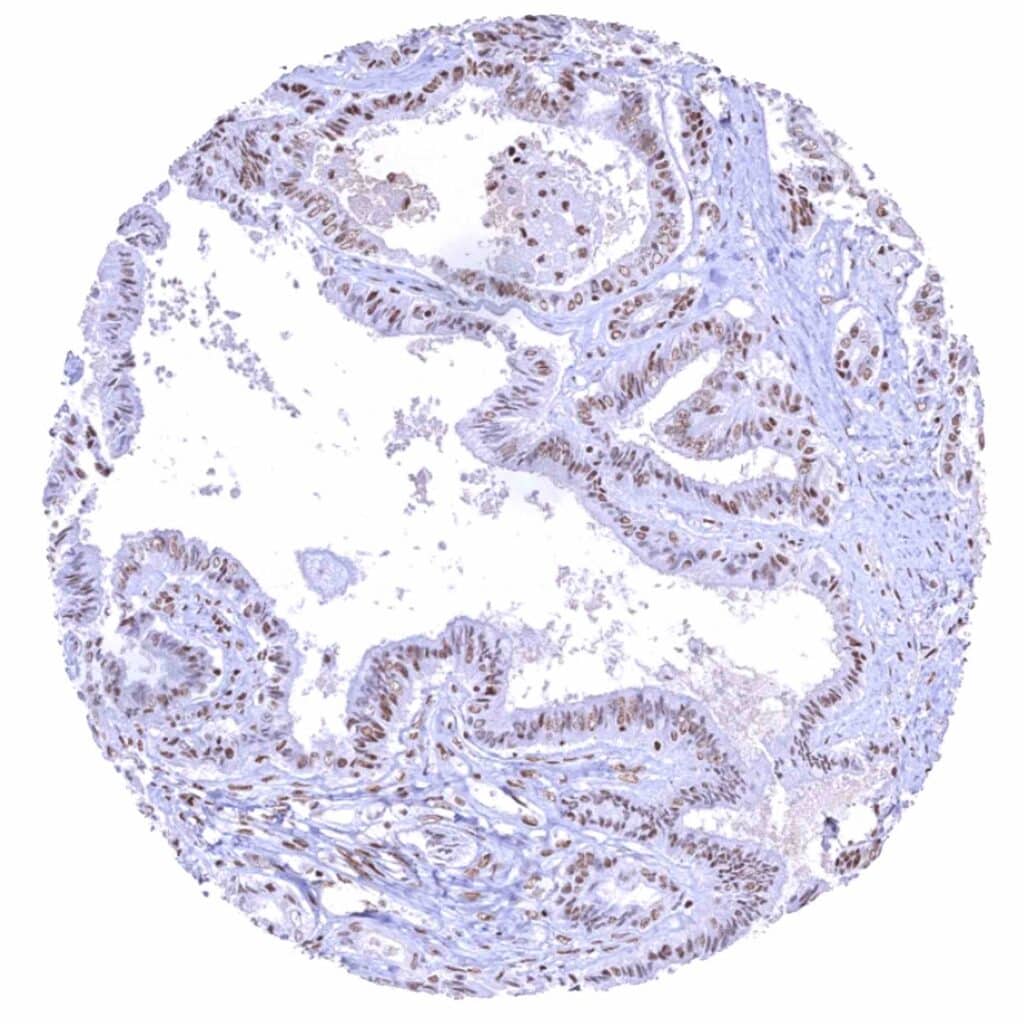
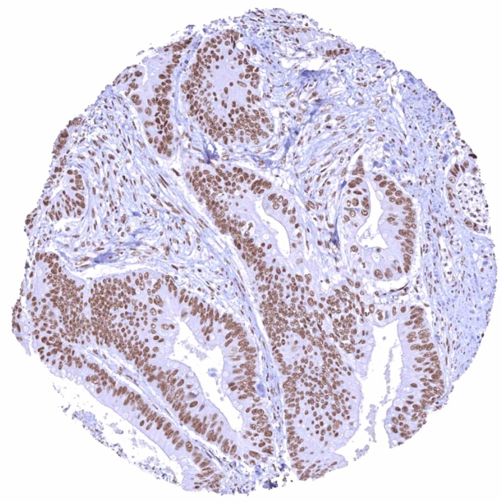
Colon – Colorectal adenocarcinoma with intense BRD4 immunostaining of tumor cells.
Colon – Colorectal adenocarcinoma with strong BRD4 positivity of tumor cells.
Esophagus – Adenocarcinoma with reduced or even absent BRD4 staining of tumor cells. Distinct nuclear BRD4 staining of inflammatory cells.
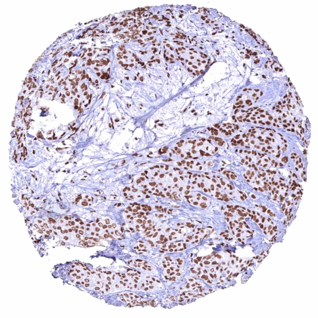
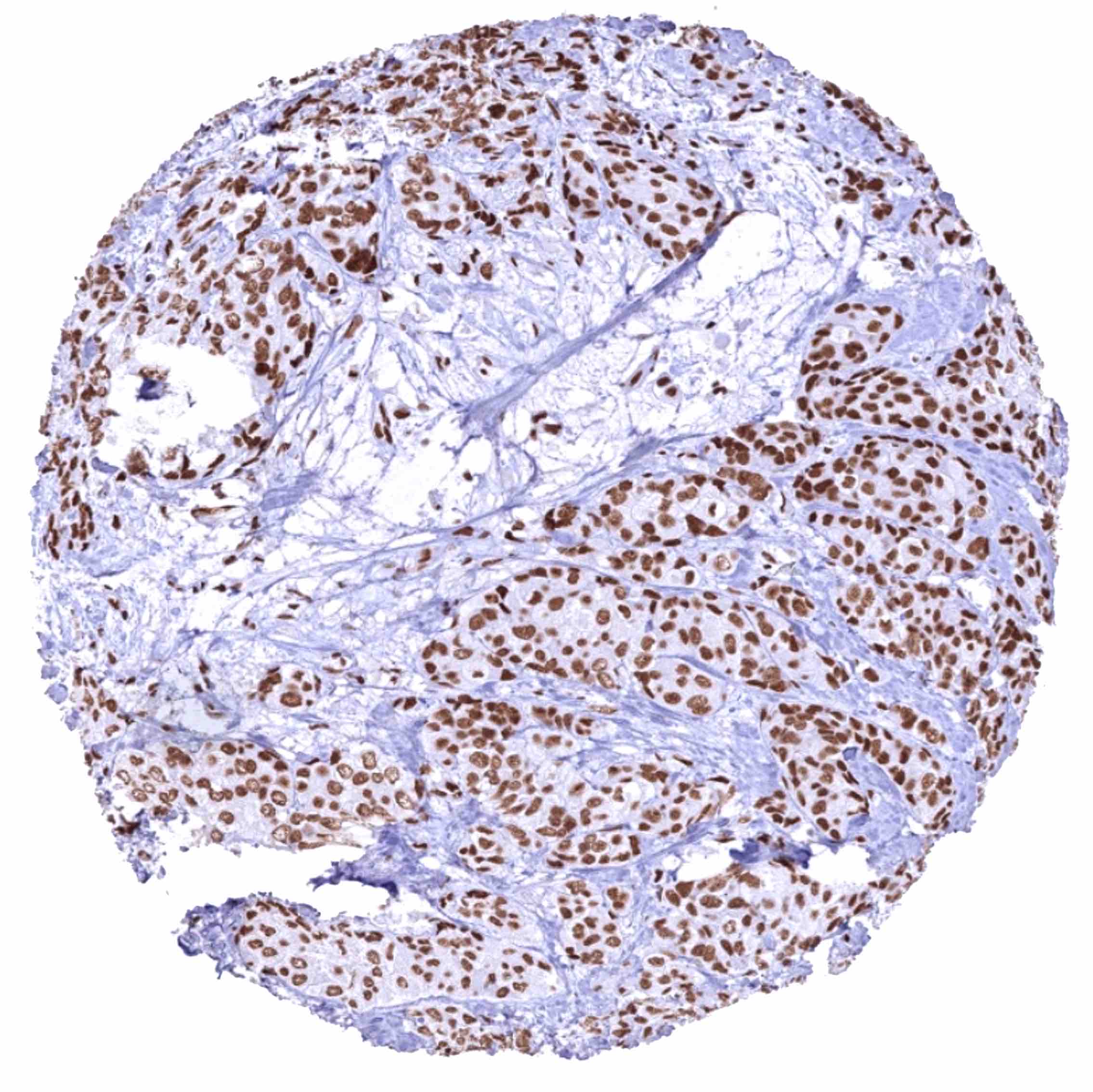
Kidney – Clear cell renal cell carcinoma with strong BRD4 staining of all tumor cells.
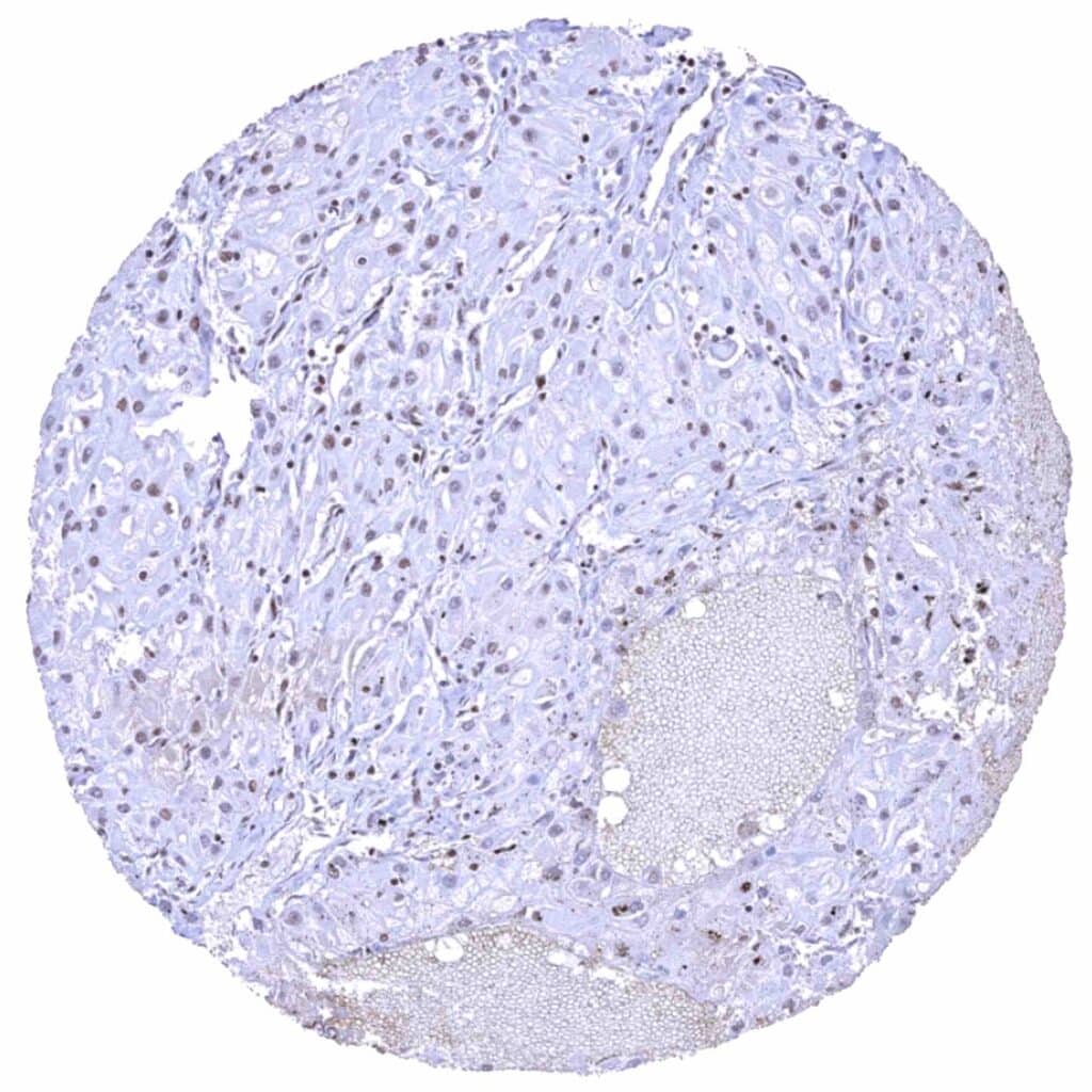
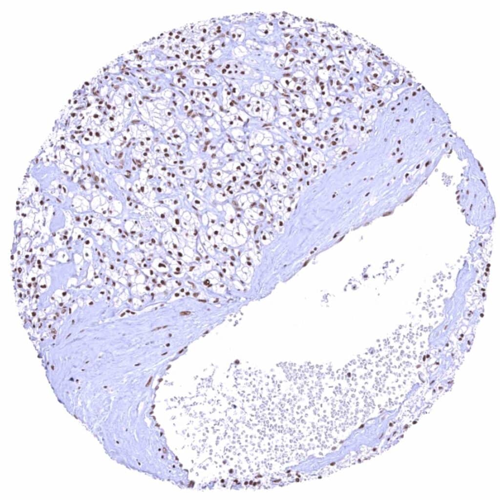
Kidney – Clear cell renal cell carcinoma with weak BRD4 staining of a subset tumor cells. BRD4 staining is more intense in stromal cells.
Kidney – Oncocytoma with strong BRD4 staining of tumor cells.
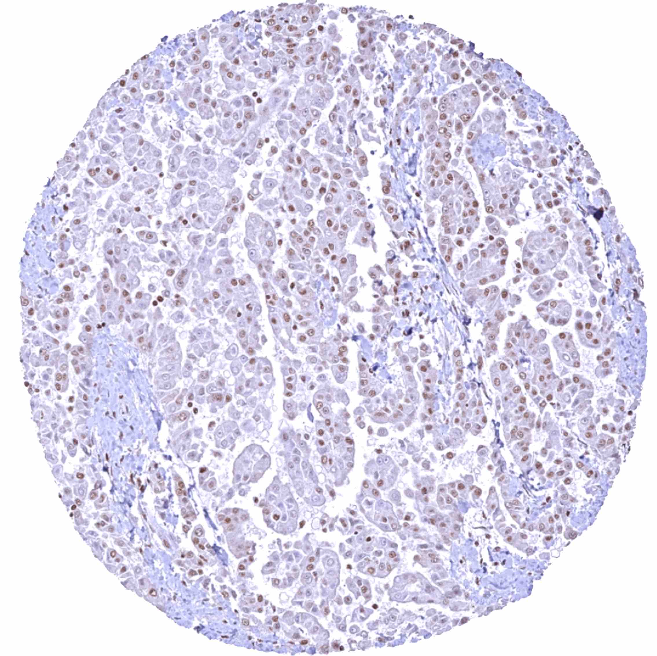
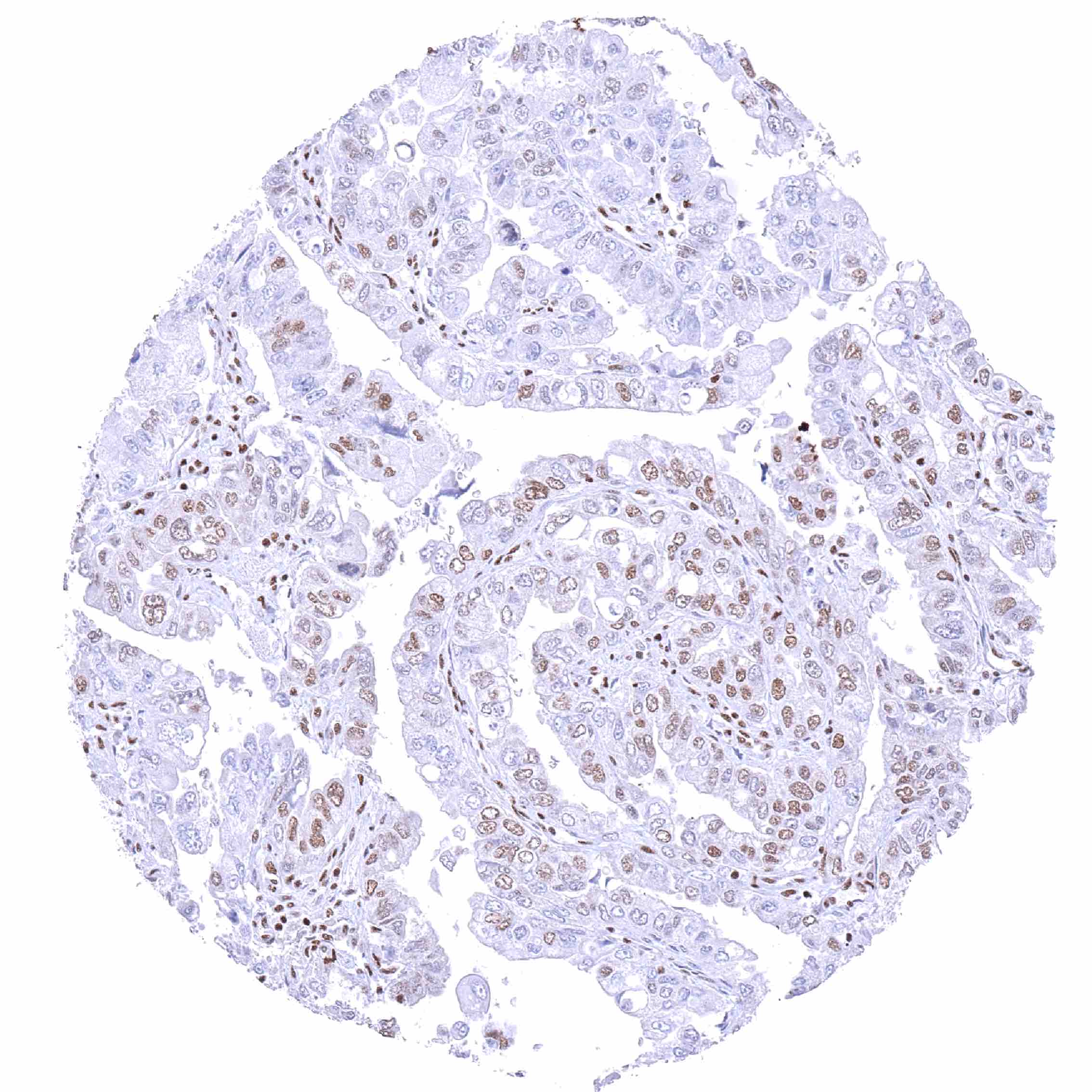
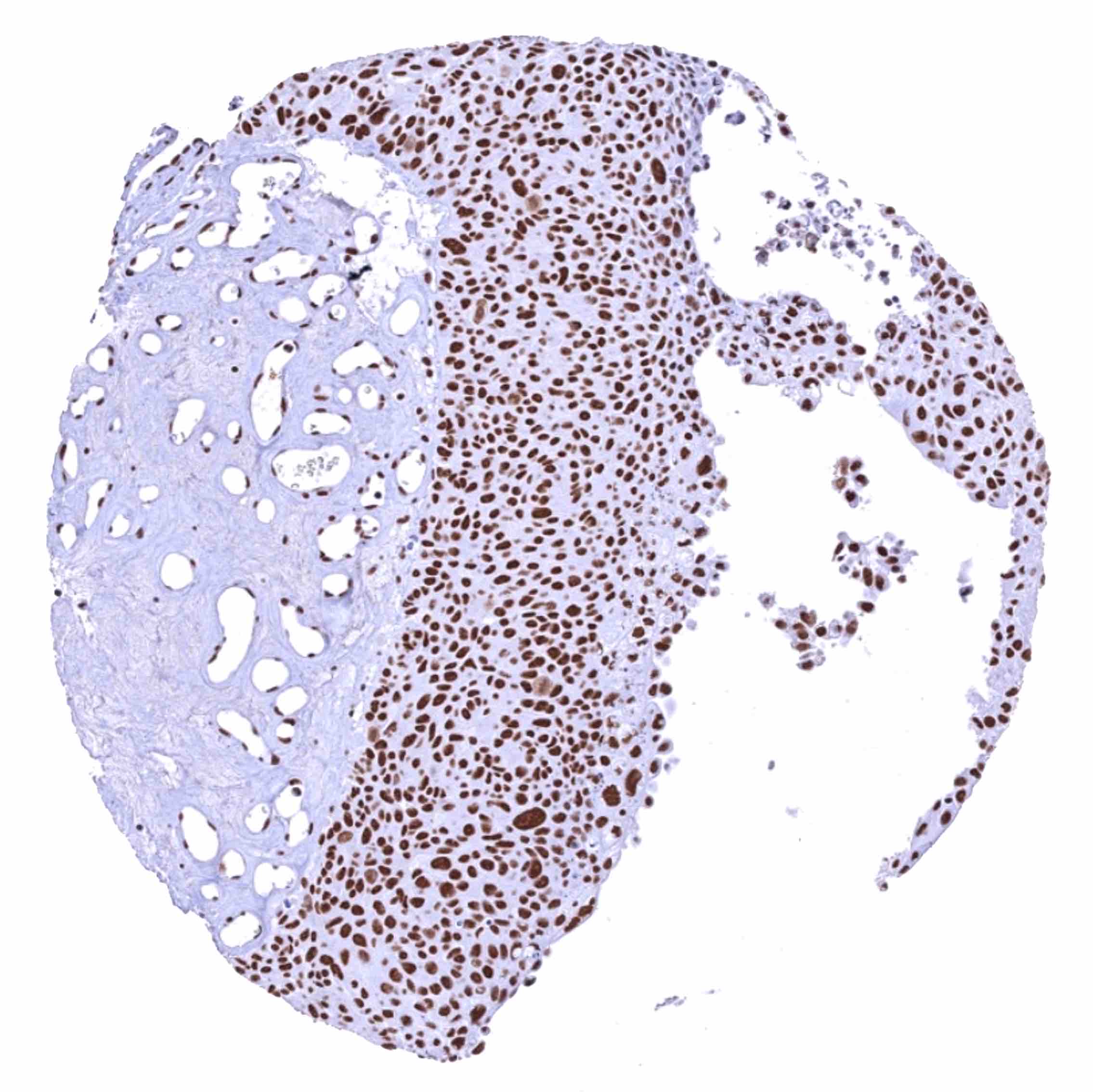
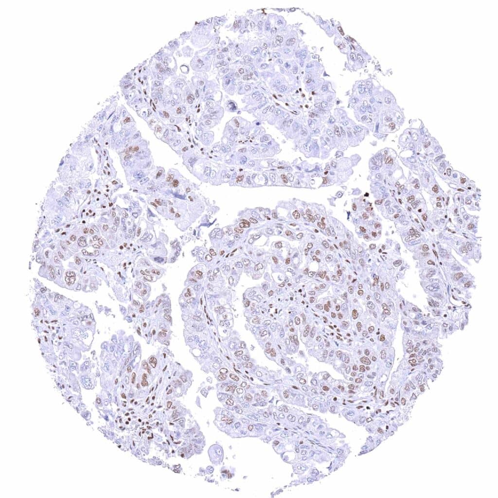
Kidney – Papillary renal cell carcinoma showing an intense BRD4 positivity of all tumor cells.
Kidney, pelvis – Invasive urothelial carcinoma with absence of BRD4 staining in most tumor cells while a small subset of cancer cells shows strong BRD4 positivity.
Lung – Adenocarcinoma with high level BRD4 staining of tumor cells.
Lung – Malignant mesothelioma with intense BRD4 staining of tumor cells.
Lung – Malignant mesothelioma with weak BRD4 staining of tumor cells.
Lung – Squamous cell carcinoma with strong BRD4 staining of tumor cells.
Lymph node – Follicular B-cell lymphoma lacking BRD4 staining in most or all tumor cells.
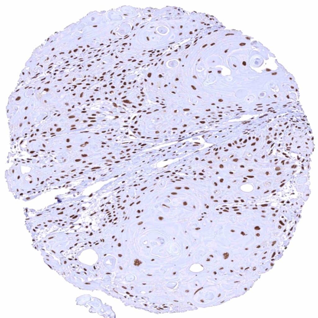
Oral cavity – Well differentiated squamous cell carcinoma with strong BRD4 immunostaining of tumor cells.
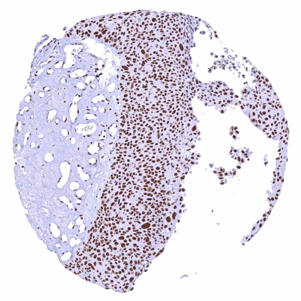
Ovary – Clear cell carcinoma with intense BRD4 staining of all cancer cells.
Ovary – Endometroid carcinoma with low intensity BRD4 staining of tumor cells.
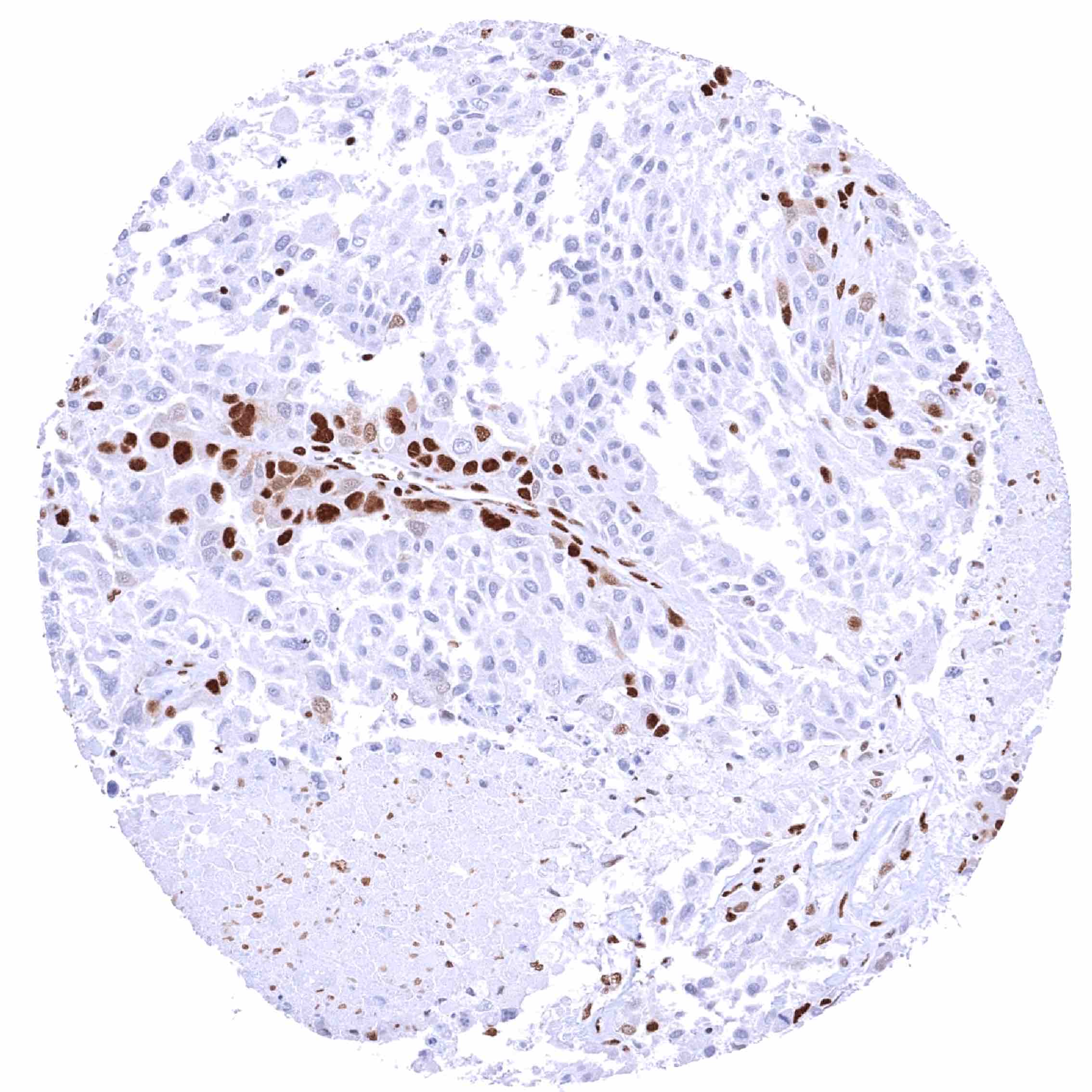
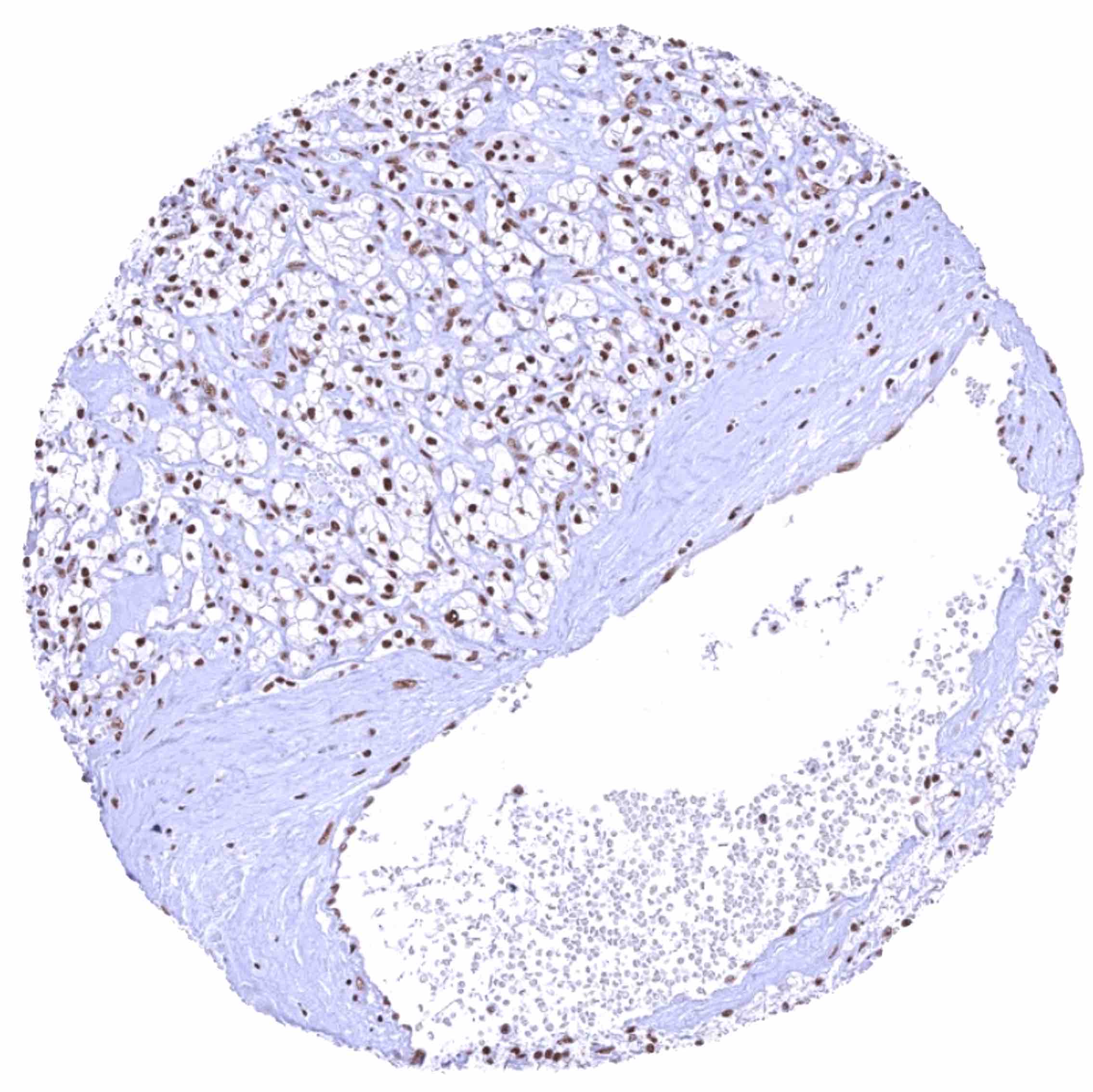
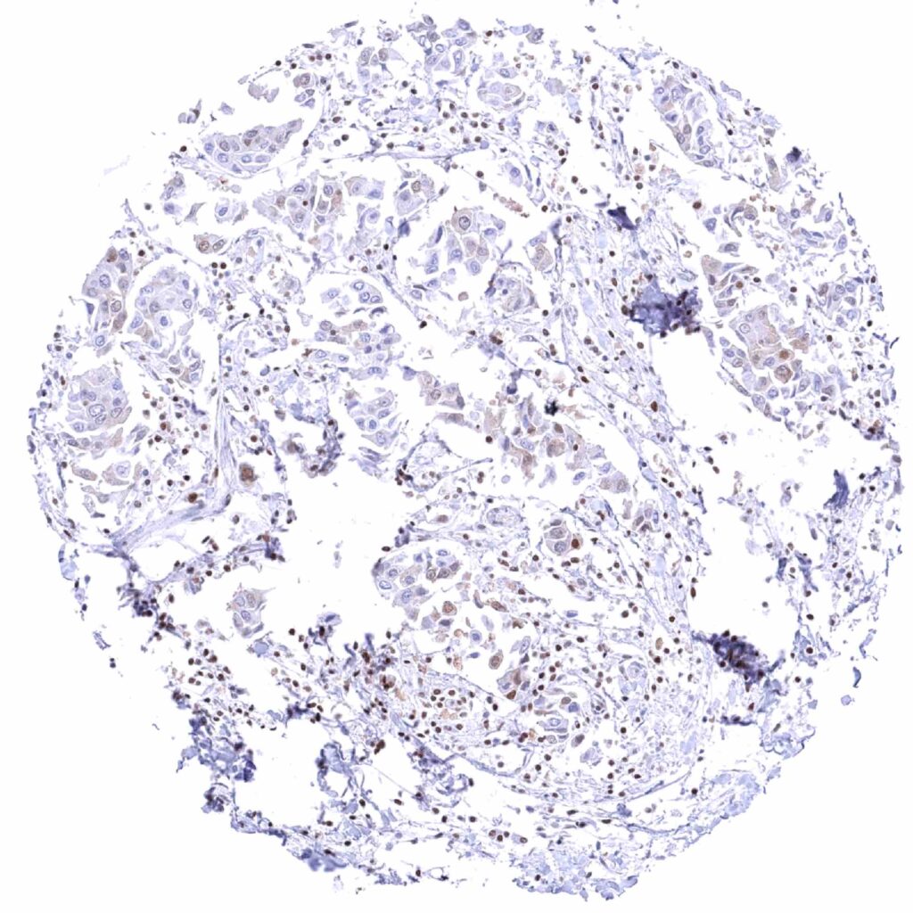
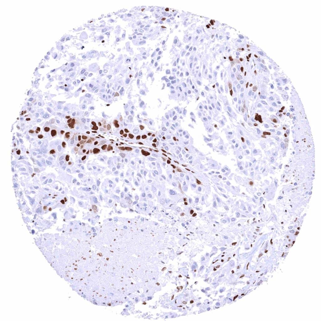
Ovary – Serous high-grade carcinoma with strong BRD4 immunostaining of a small subset of tumor cells while staining is completely absent in most of the remaining cells.
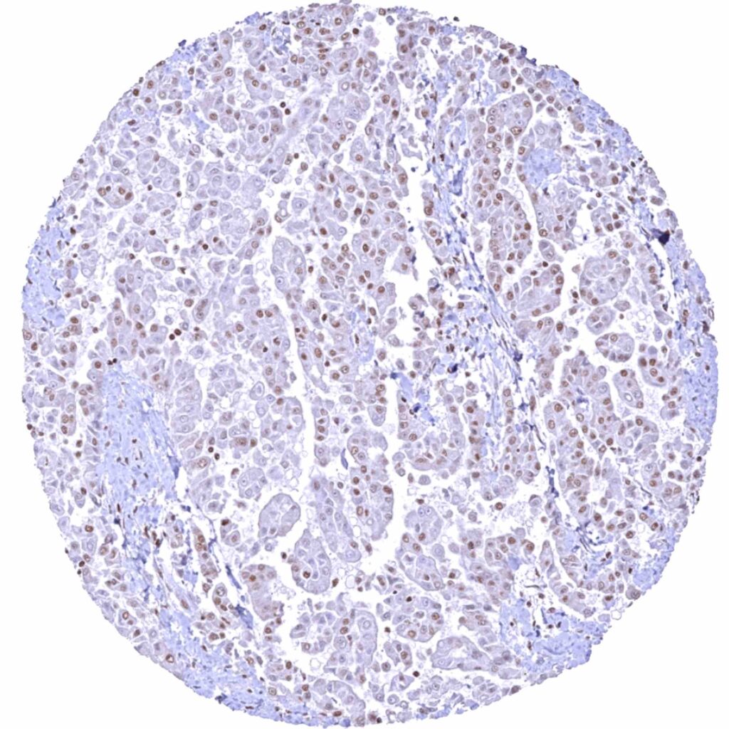
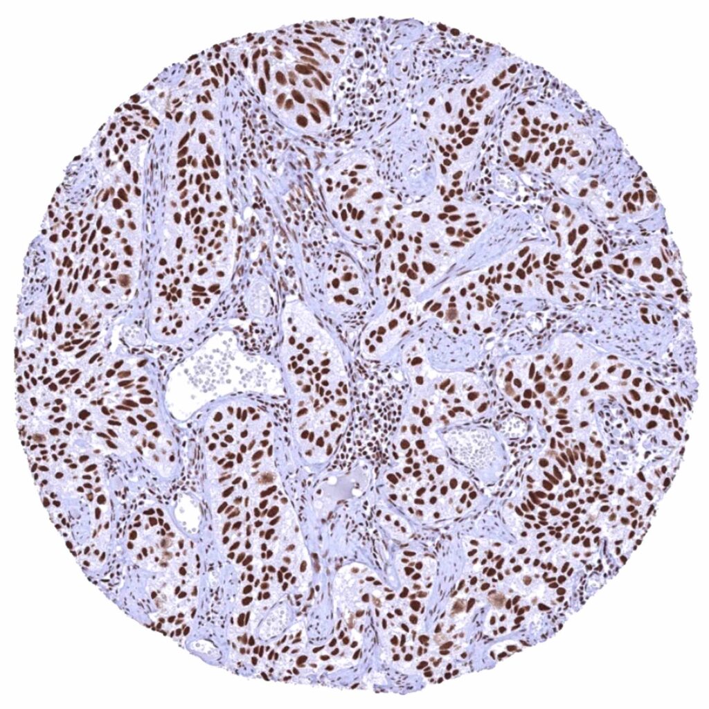
Ovary – Serous high-grade carcinoma with strong BRD4 staining of all tumor cells.
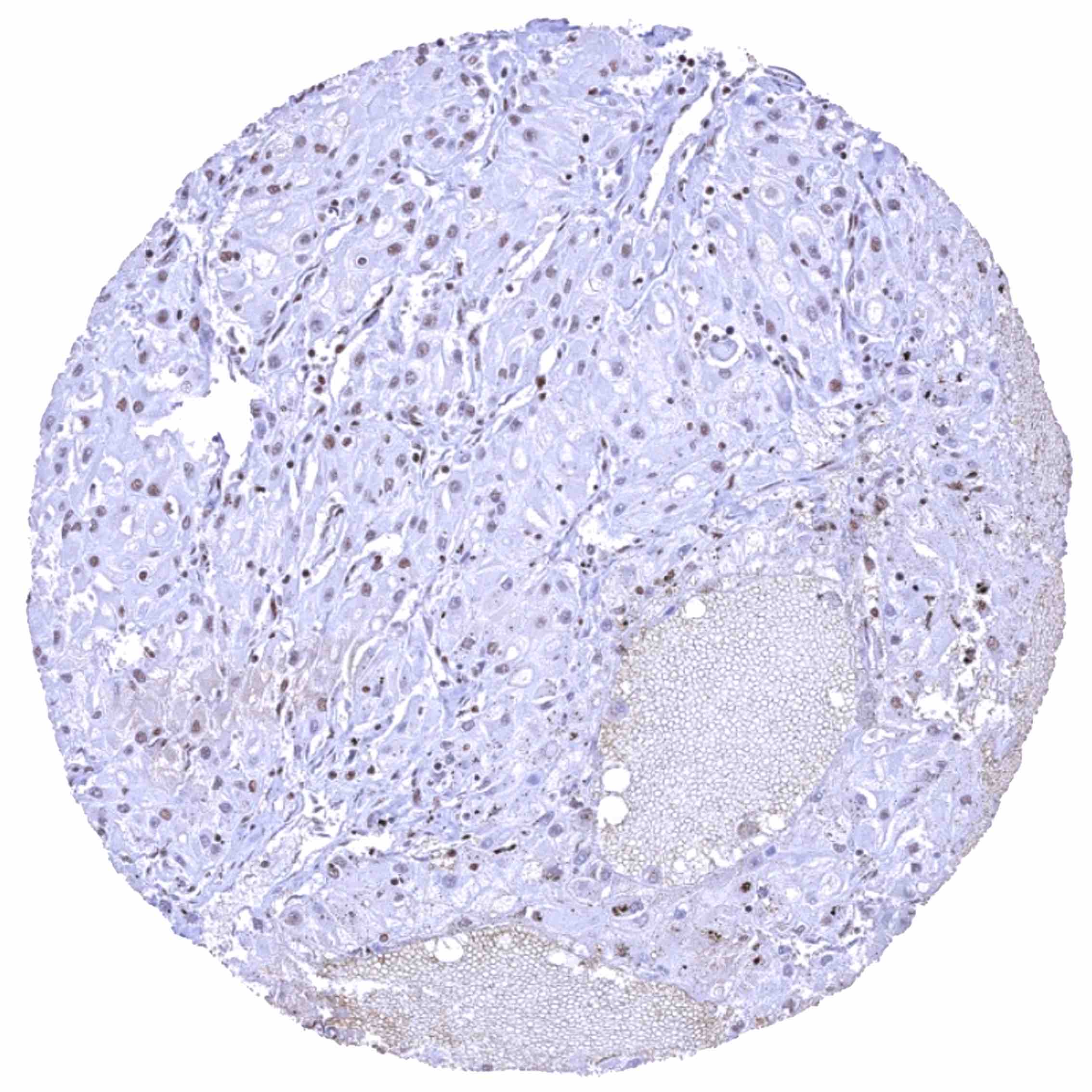
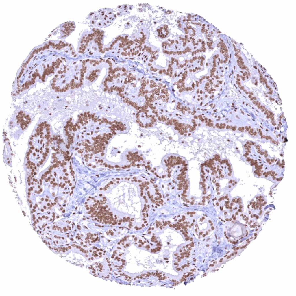
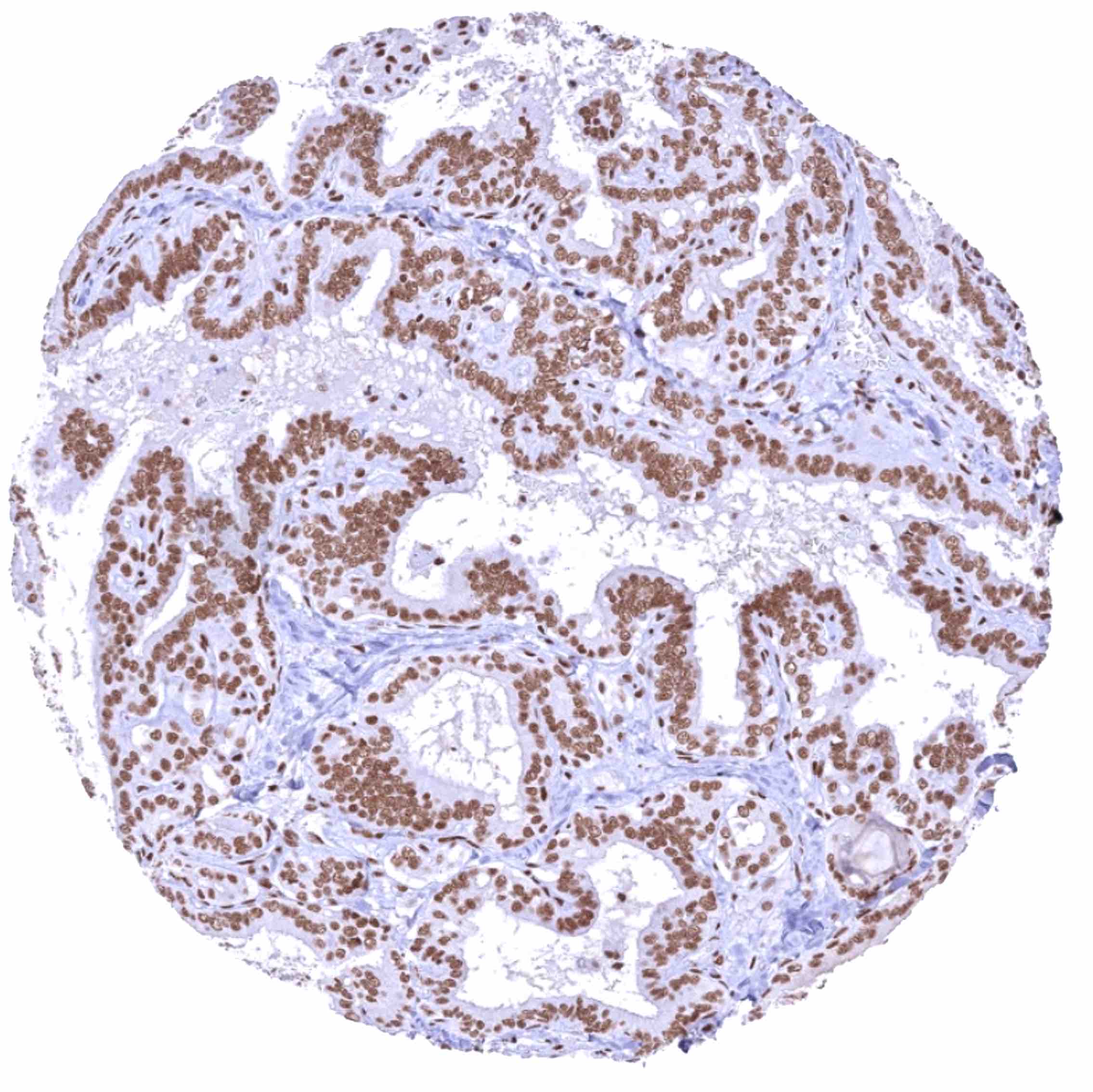
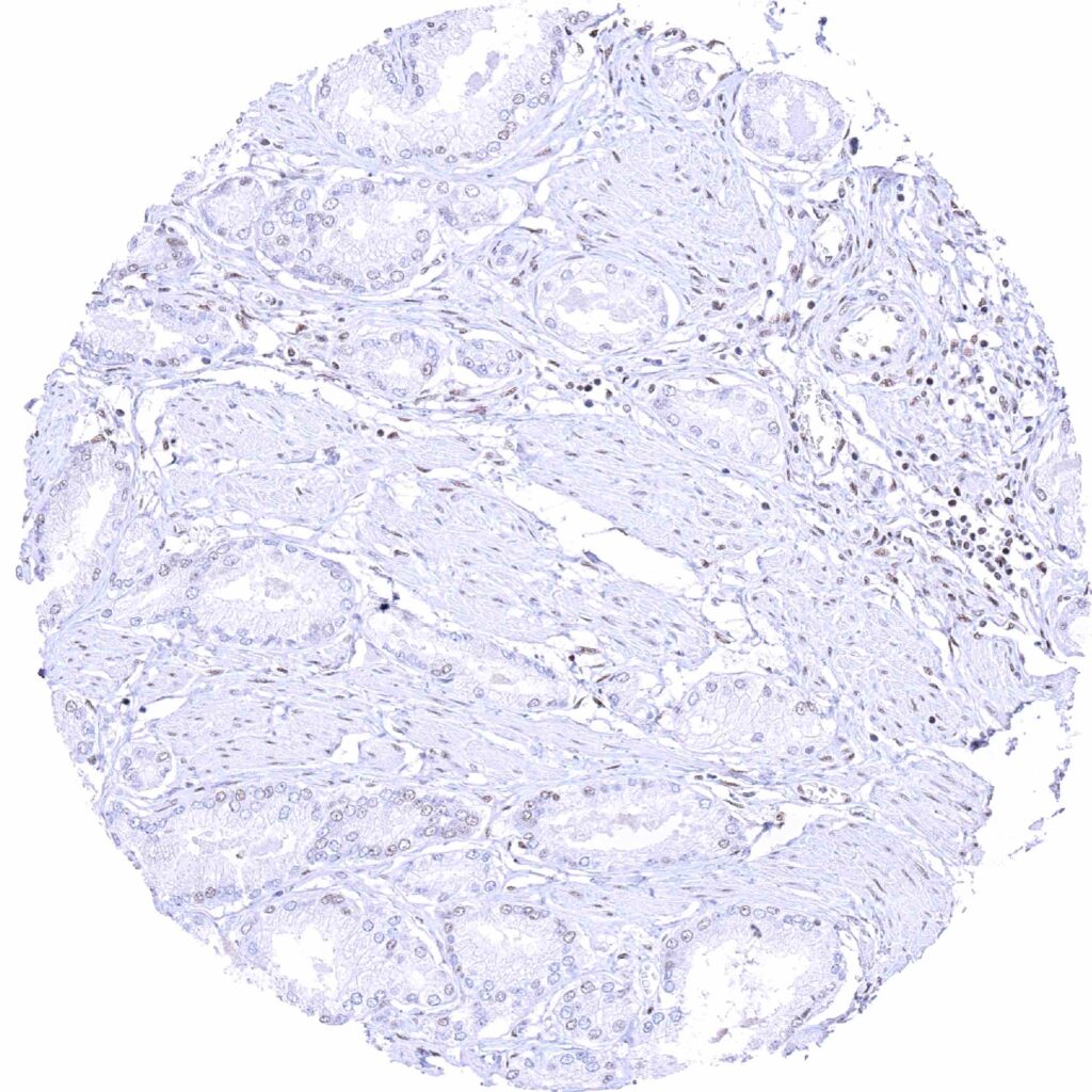
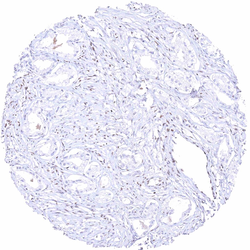
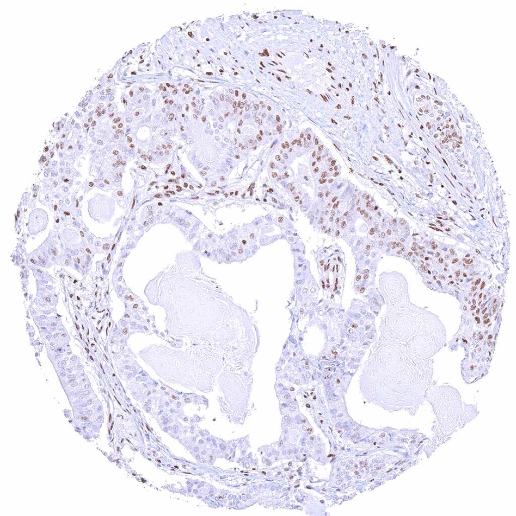
Prostate – Adenocarcinoma (Gleason 3+3=6) with only a weak BRD4 staining of tumor cells while staining is markedly more intense in non-neoplastic glands.
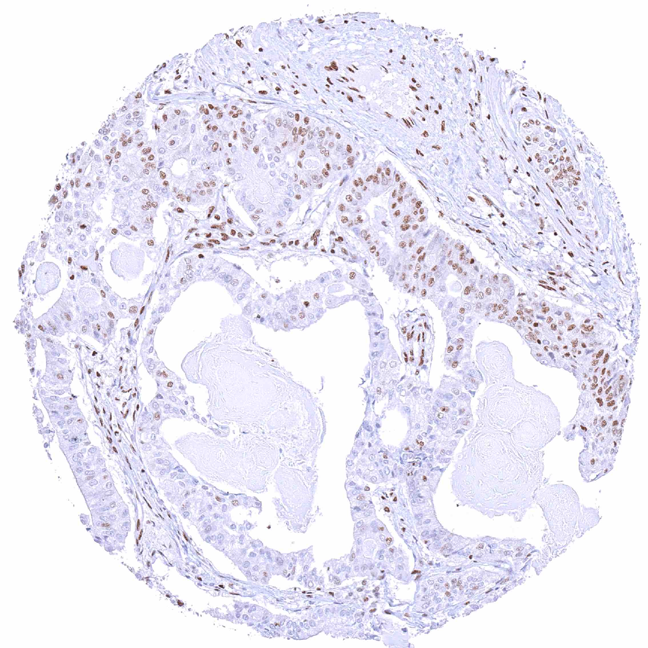
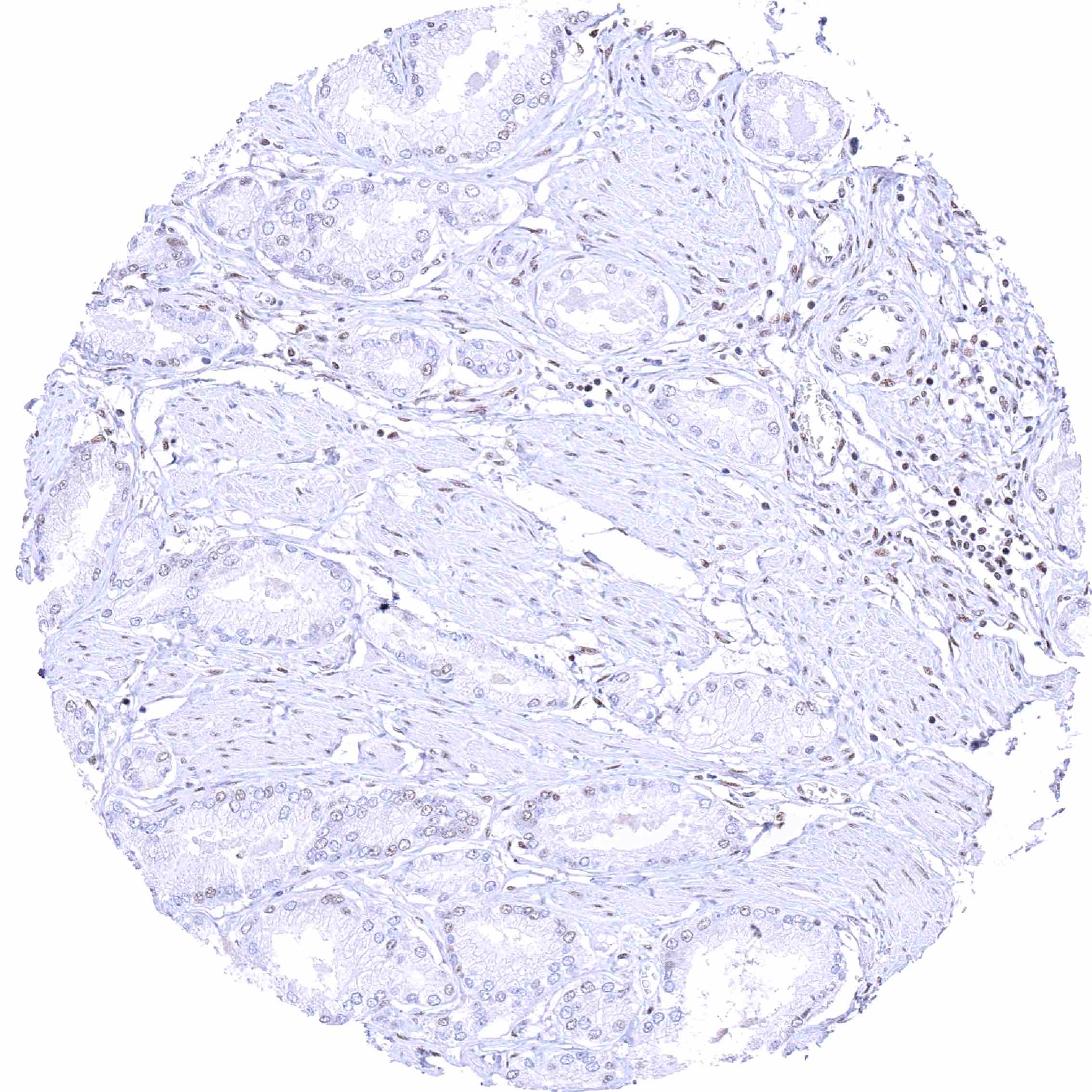
Prostate – BRD4 negative adenocarcinoma (Gleason 3+3=6). A nuclear BRD4 staining is only seen in stroma cells.
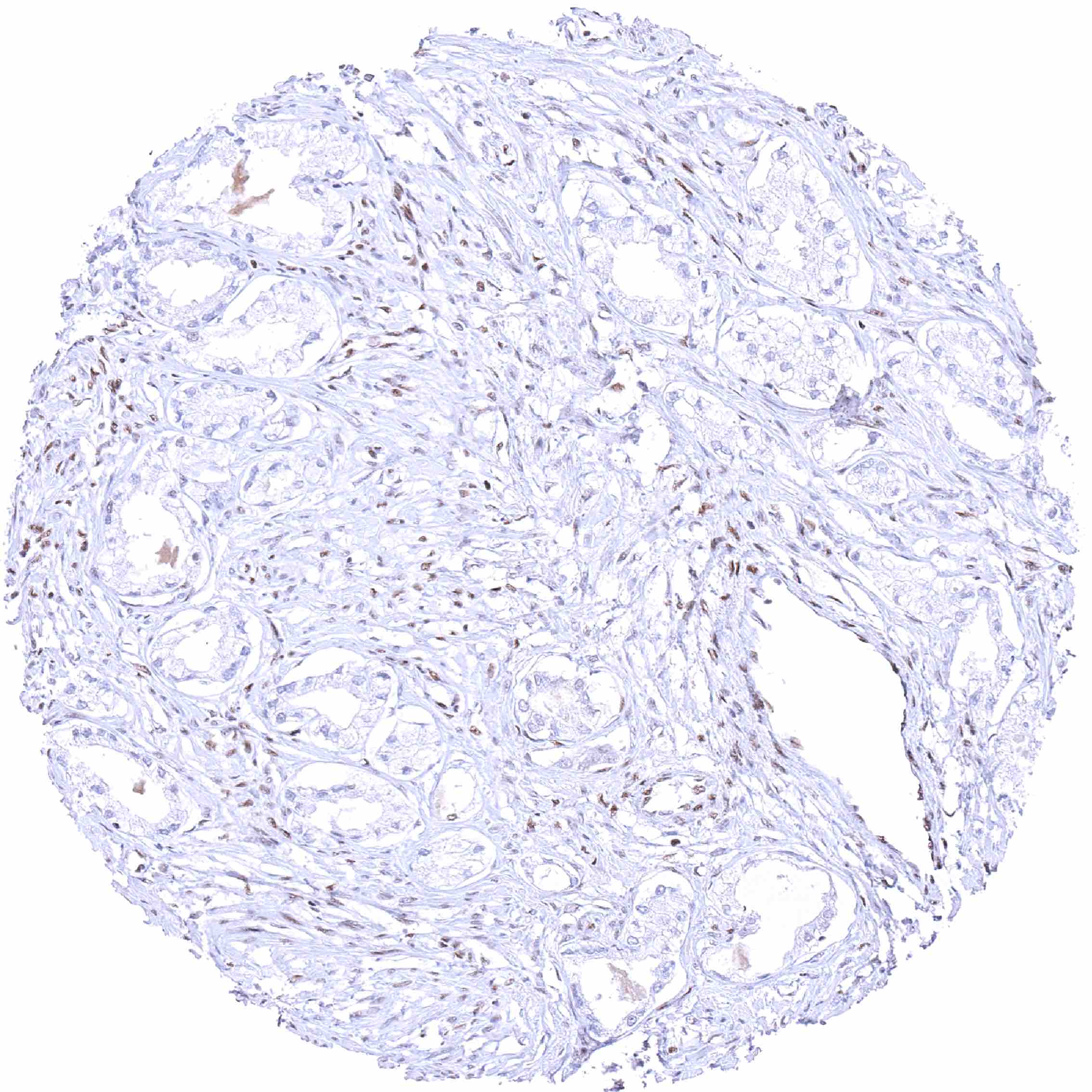
Prostate – BRD4 negative adenocarcinoma (Gleason 3+3=6). Distinct nuclear BRD4 staining of inflammatory cells.
Stomach – Gastric adenocarcinoma (intestinal type) with BRD4 loss in a fraction of tumor cells. Distinct nuclear BRD4 staining of inflammatory cells.
Thyroid – Papillary cancer with strong BRD4 positivity of tumor cells.
Urinary bladder – Muscle-invasive urothelial carcinoma with intense BRD4 staining of all tumor cells.
Urinary bladder – Non-invasive urothelial carcinoma (low grade, pTaG2) with strong BRD4 staining of tumor cells.
