Adrenal gland – Cytoplasmic ATP5J staining occurs in all cell types. It is particularly strong in adrenocortical cells
Aorta, media
Appendix, mucosa
Appendix, muscular wall
Bone marrow – Cytoplasmic ATP5J staining of variable intensity in all cell types.
Breast
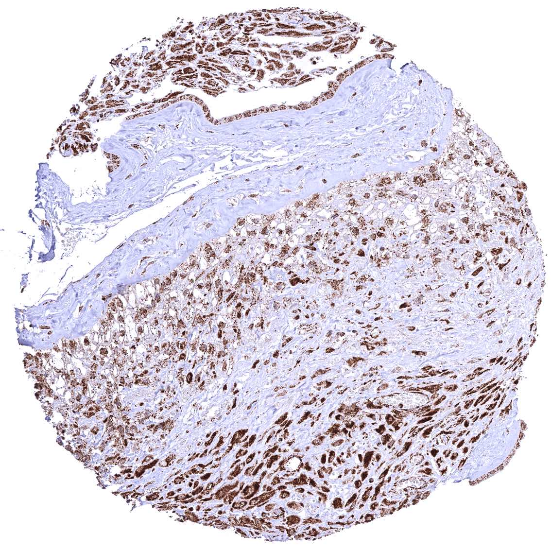
Bronchus, mucosa – Cytoplasmic ATP5J staining occurs in all cell types. A characteristic granular cytoplasmic staining is seen below the apical membranes.
Bronchus, mucosa
Cerebellum (molecular layer, Purkinje cell layer, granule cell layer, white matter)
Cerebellum (white matter)
Cerebrum, grey matter
Cerebrum, white matter
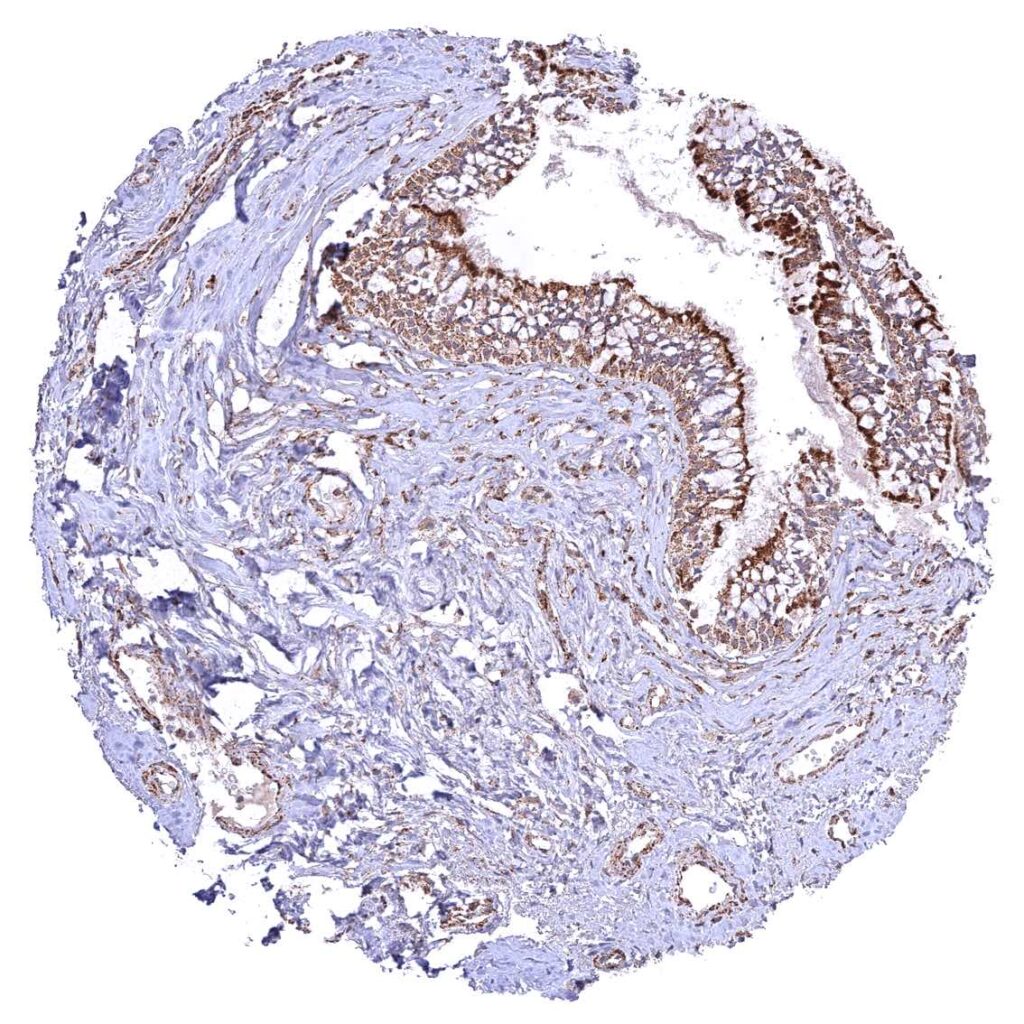
Colon descendens, mucosa
Colon descendens, muscular wall
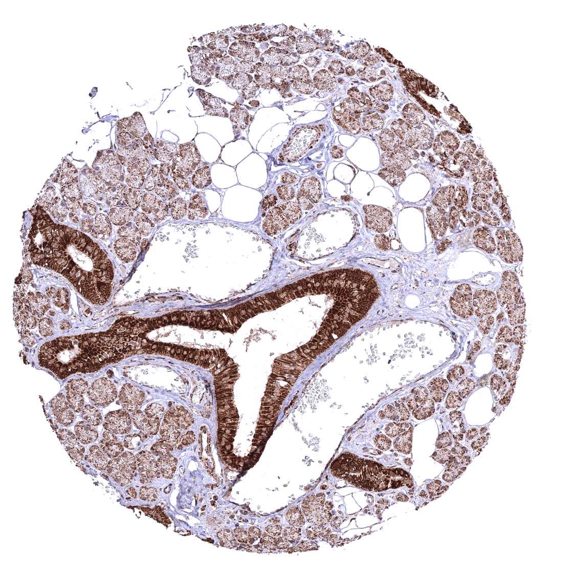
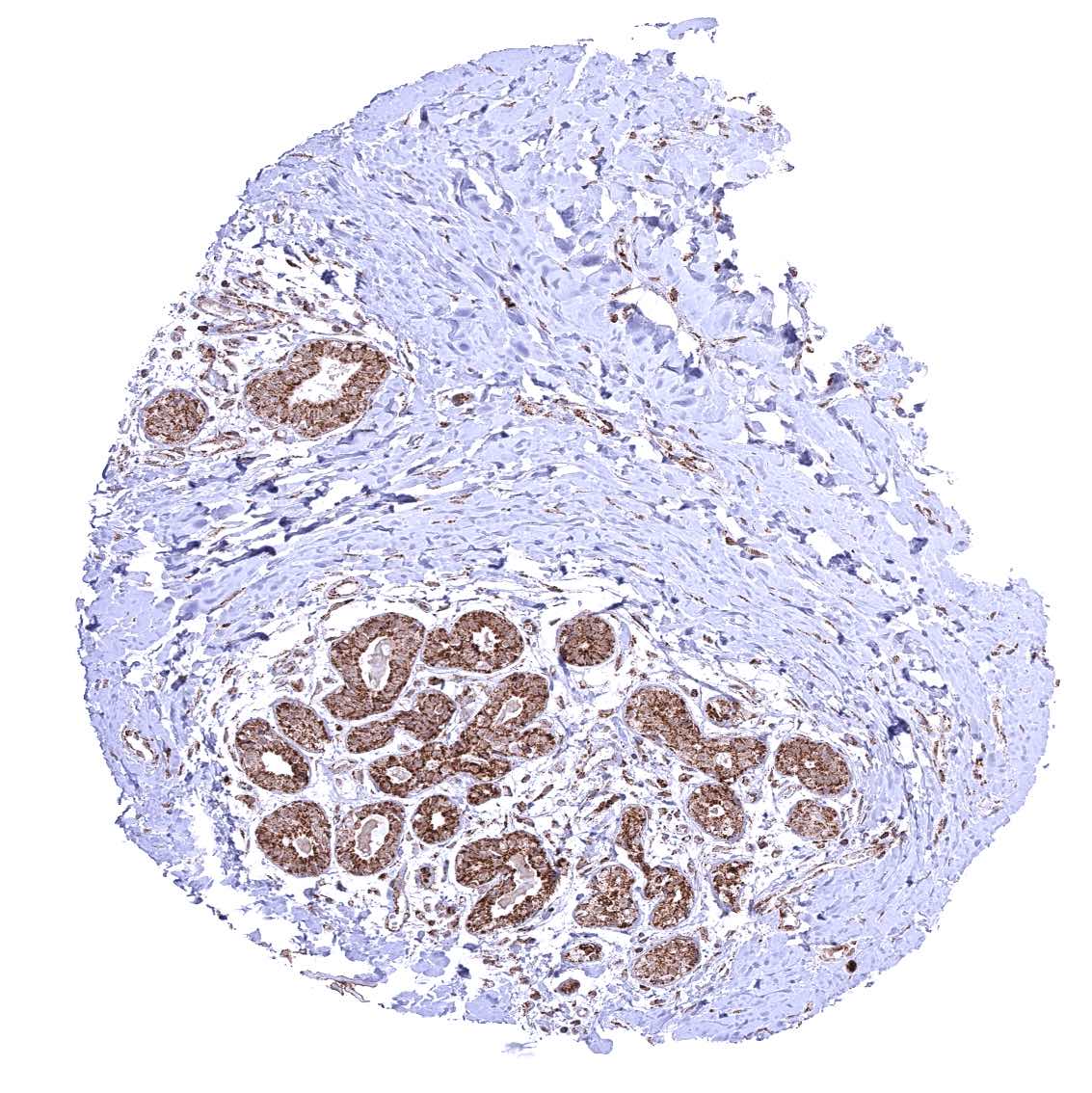
Duodenum, Brunner gland
Duodenum, mucosa
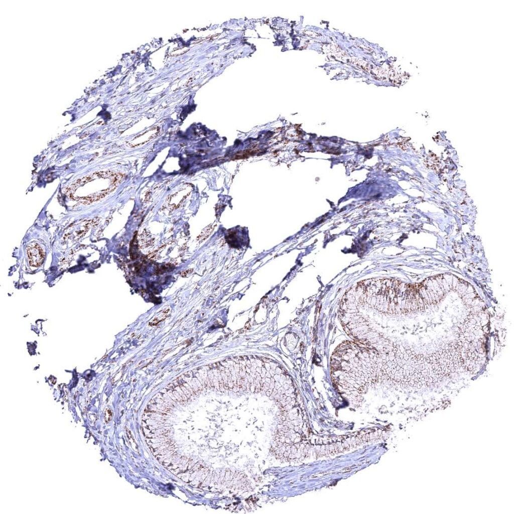
Epididymis (Cauda).jpeg
Epididymis (Corpus)
Esophagus, squamous epithelium – Strong granular cytoplasmic ATP5J staining of all cell types. The staining is least intense in superficial cell layers of squamous epithelium.
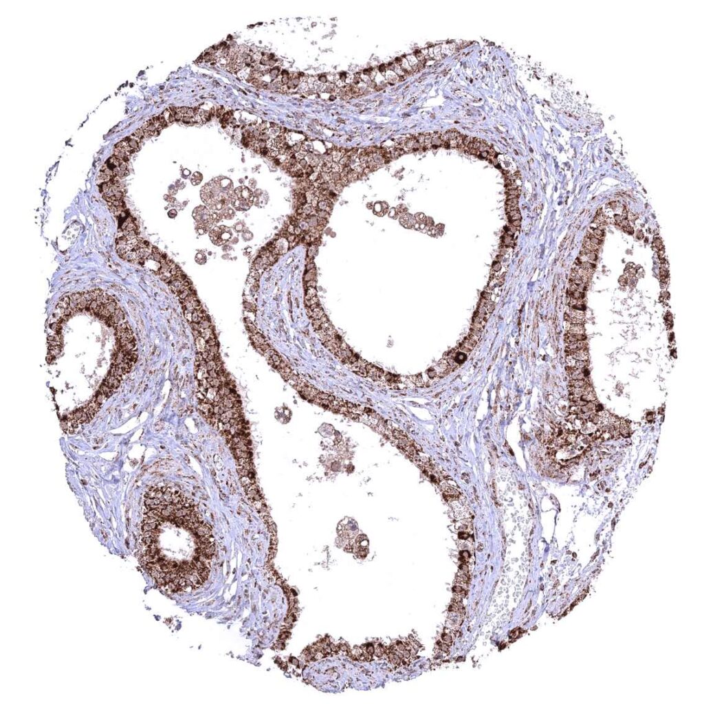
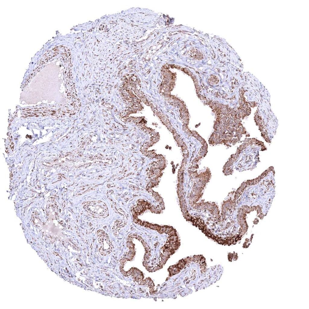
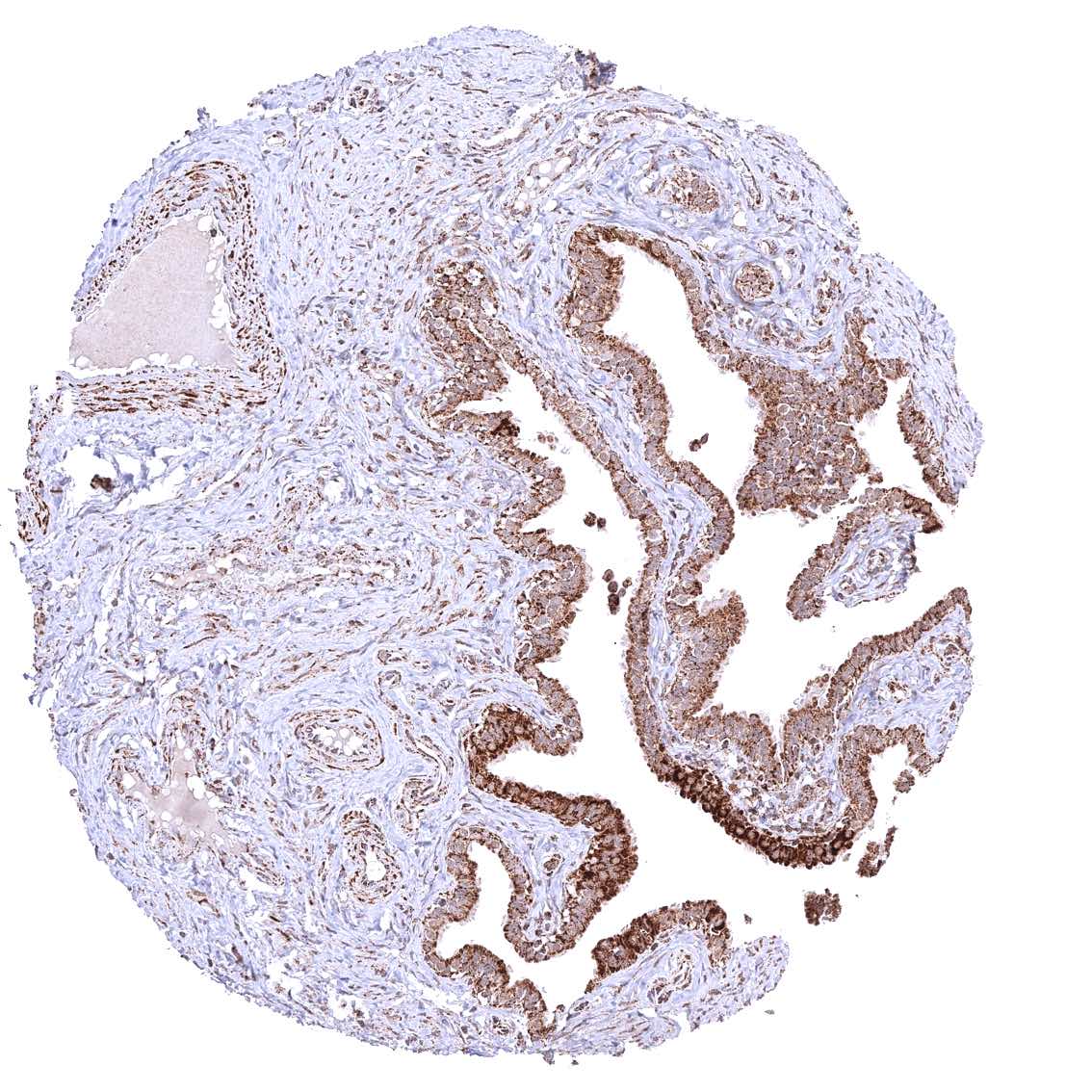
Fallopian tube, mucosa
Fat
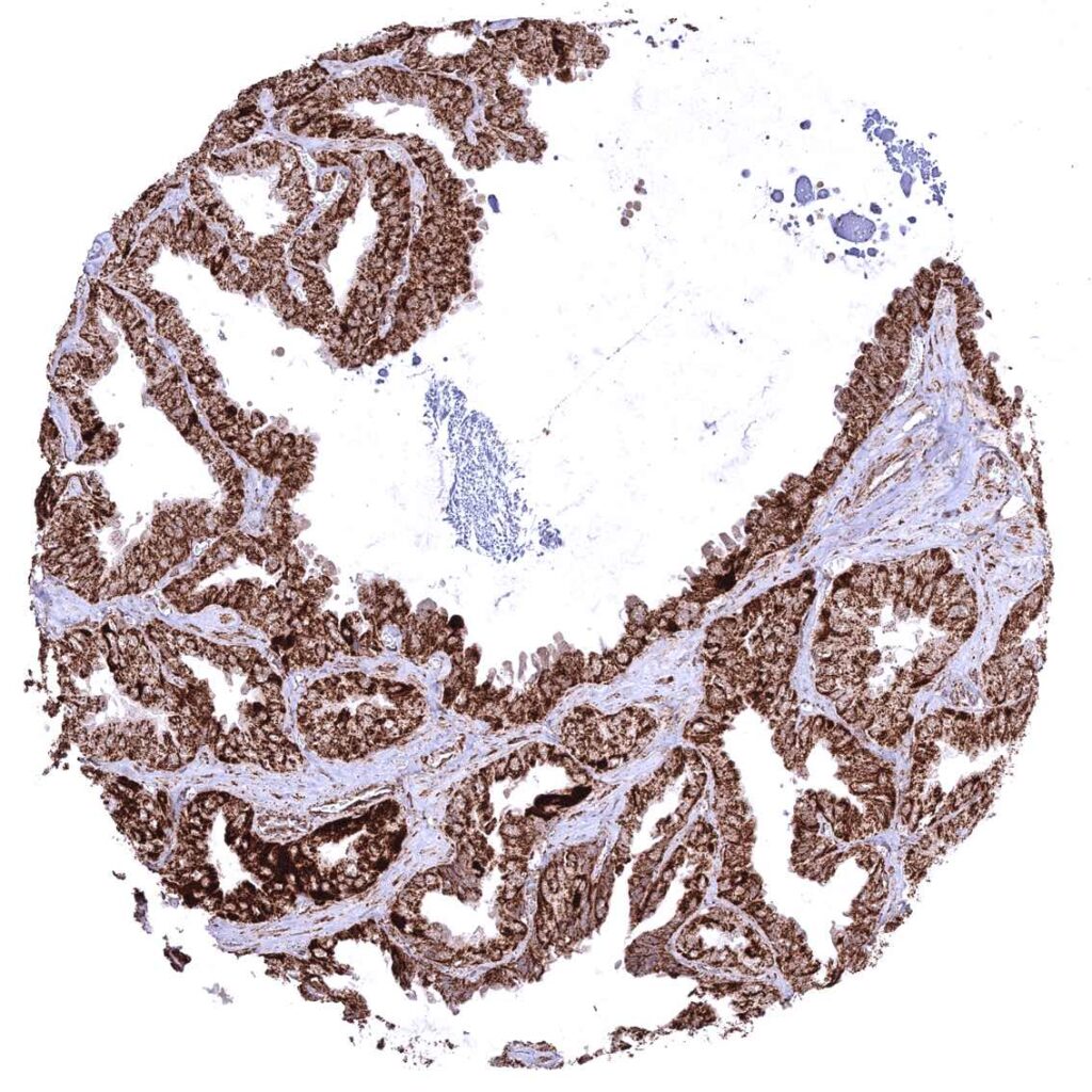
Gallbladder, epithelium
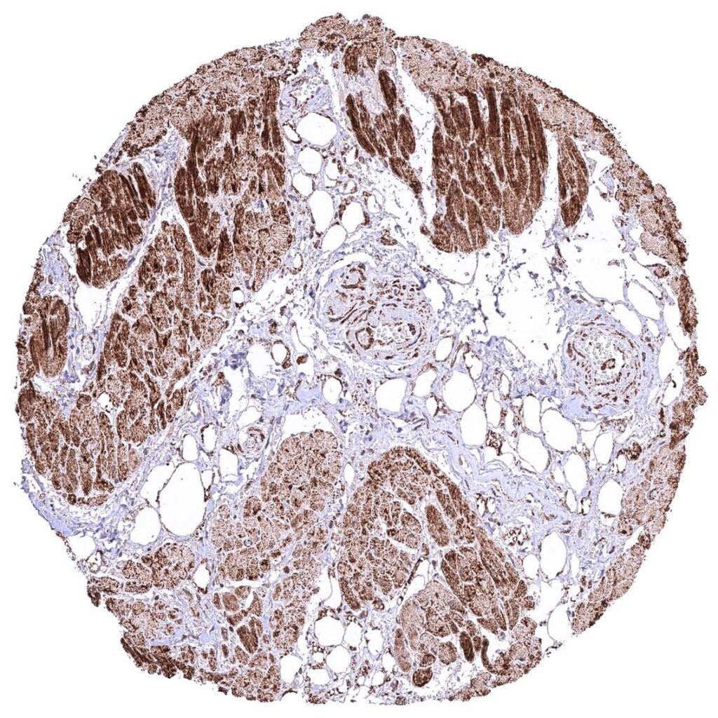
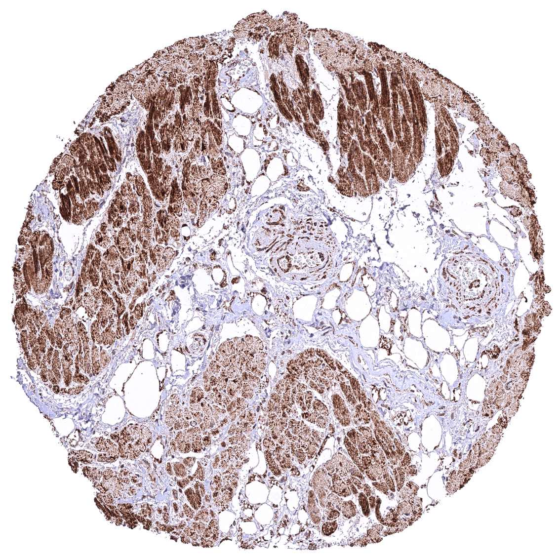
Heart muscle
Ileum, mucosa
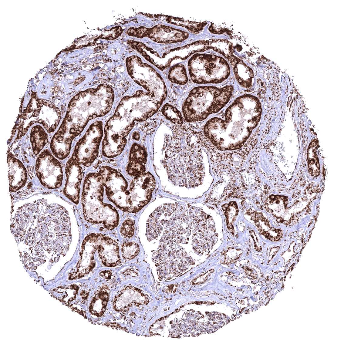
Kidney, cortex – Cytoplasmic ATP5J staining occurs in all cell types. It is intense in all tubuli, moderate in collecting ducts, and least intense in glomeruli.
Kidney, medulla
Liver – Cytoplasmic ATP5J staining is particularly intense in hepatocytes.
Lung
Lymph node
Ovary, corpus luteum
Ovary, stroma
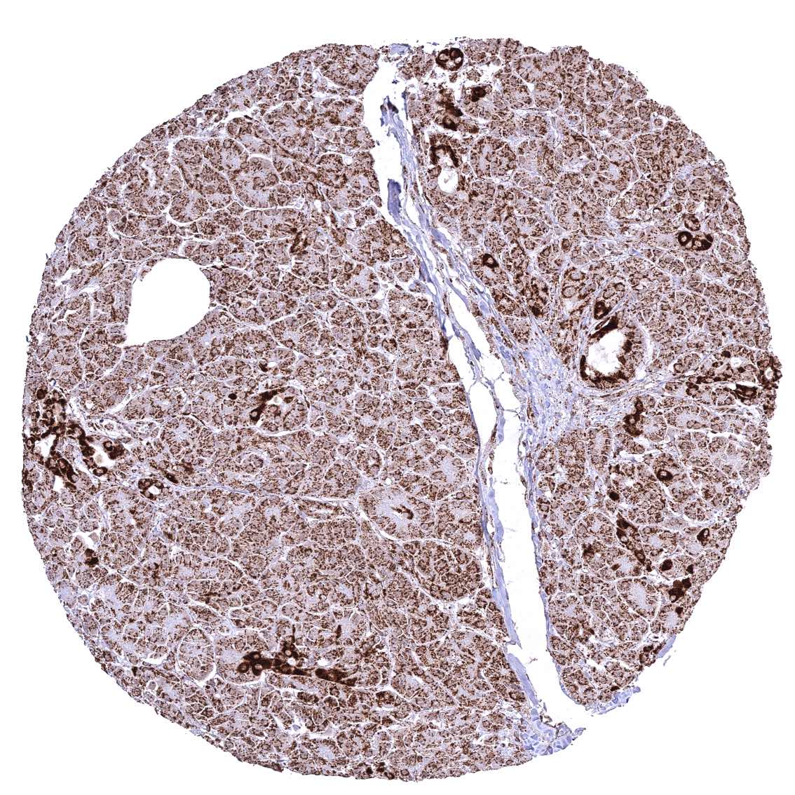
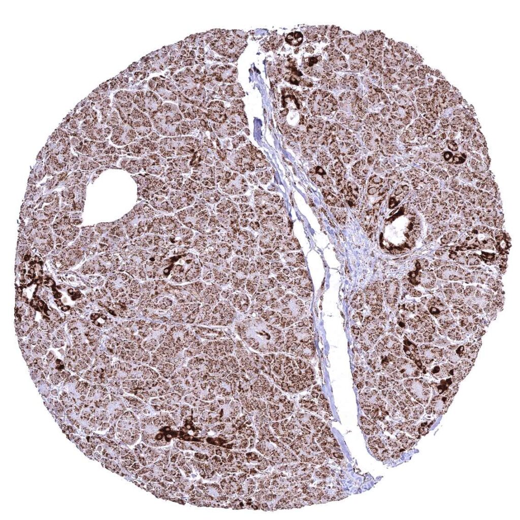
Pancreas – Distinct granular, perinuclear, cytoplasmic ATP5J staining in all cell types. Some cells with higher staining intensity may be related to the excretory system.
Parathyroid gland
Parotid gland – Cytoplasmic ATP5J staining occurs in all cell types. It is very intense in excretory ducts but rather weak in glandular cells.
Pituitary gland, anterior lobe
Pituitary gland, posterior lobe
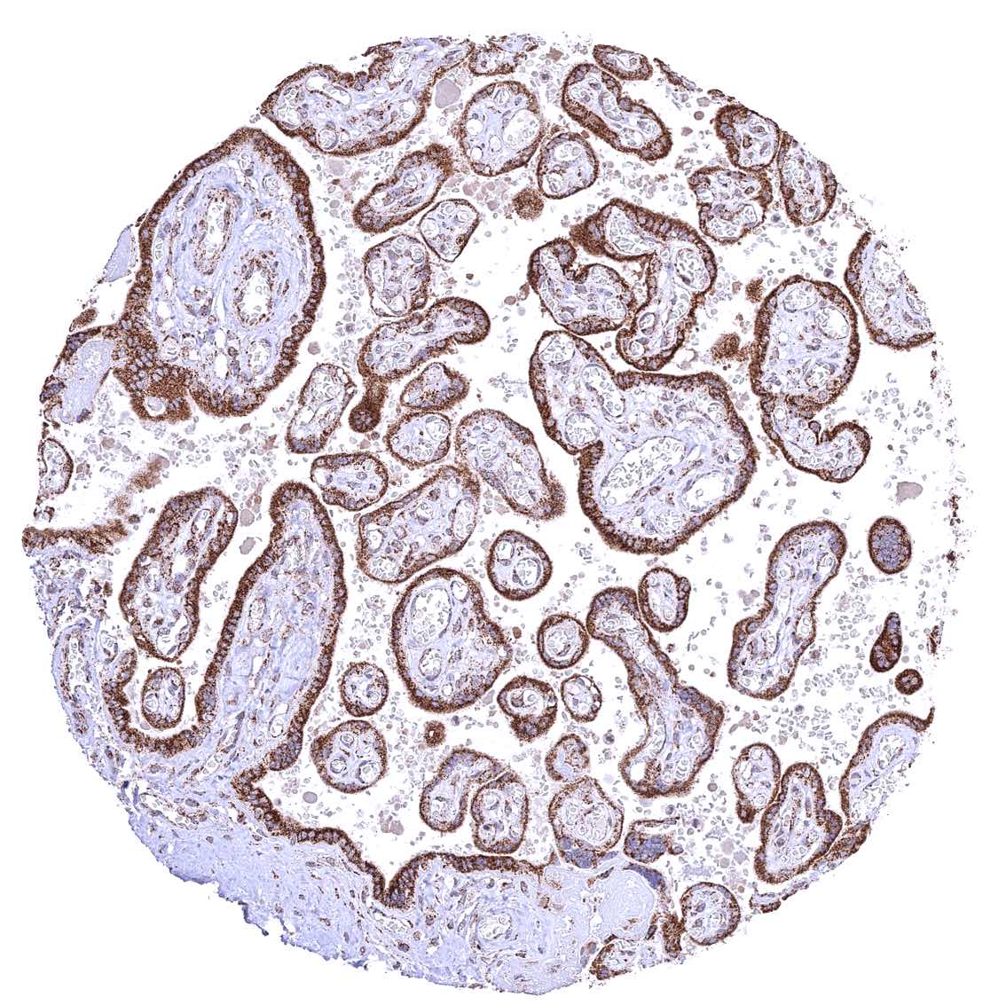
Placenta (amnion and chorion) – Distinct cytoplasmic ATP5J staining of amnion and chorion cells.
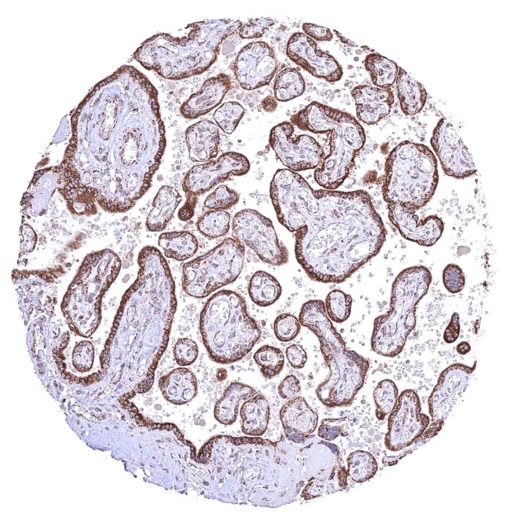
Placenta, early
Placenta, mature
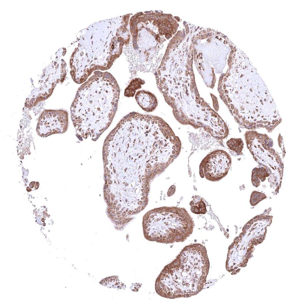
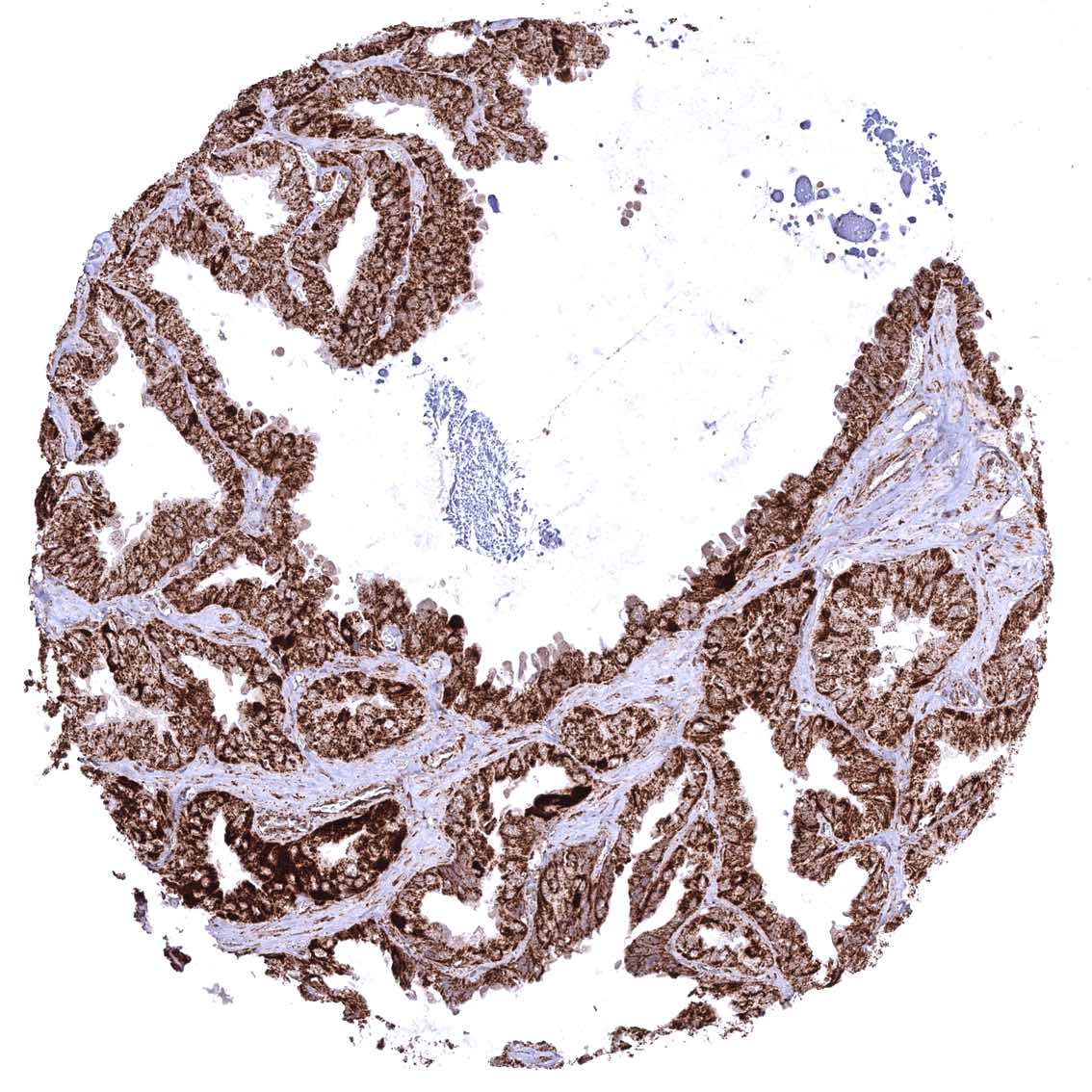
Prostate
Rectum, mucosa
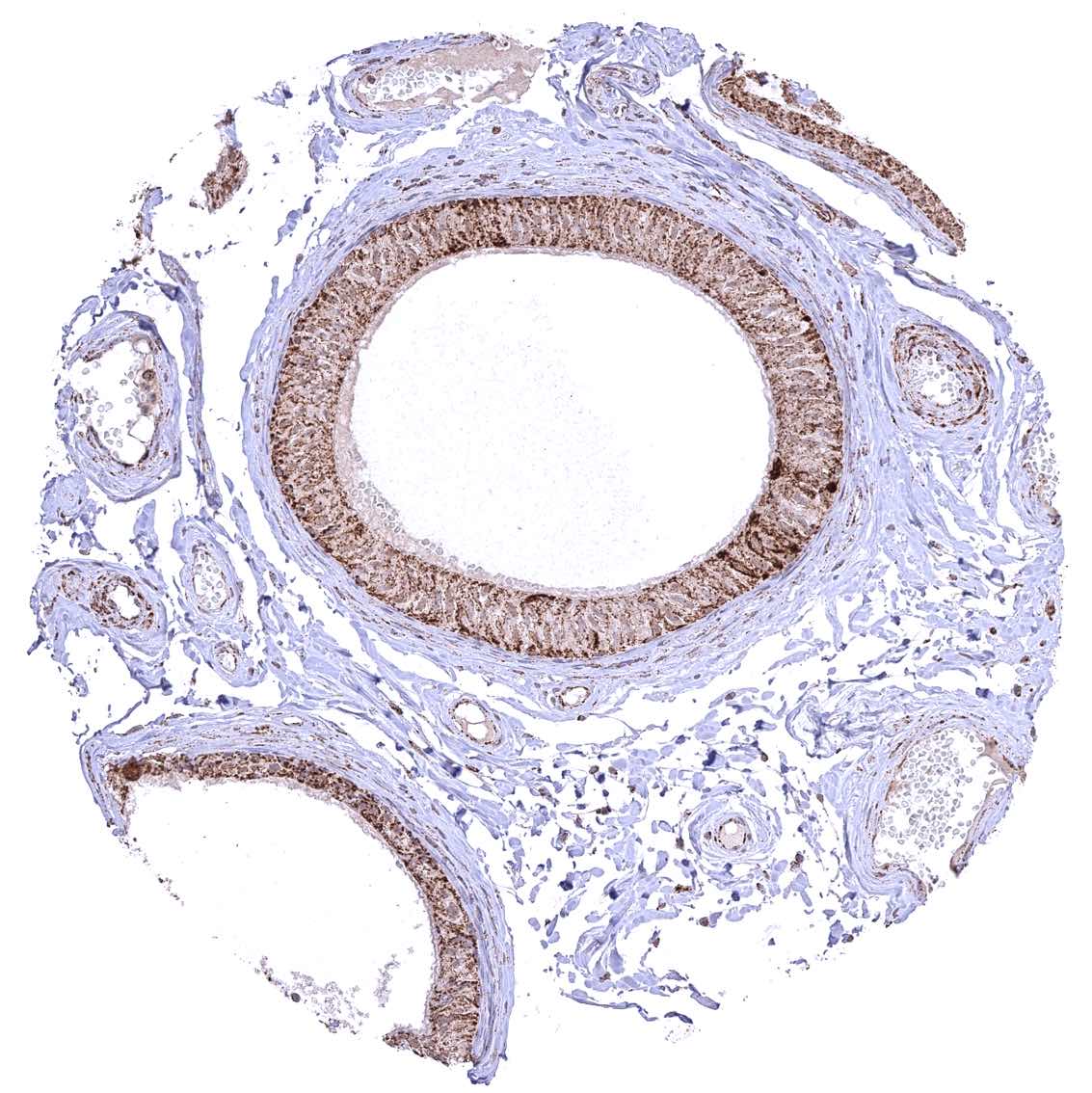
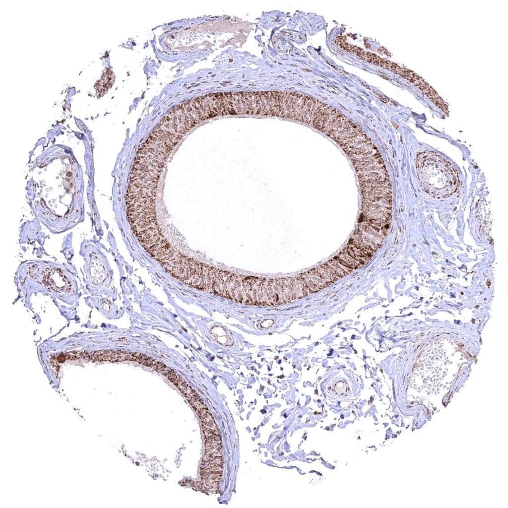
Seminal vesicle
Sinus paranasales – Cytoplasmic ATP5J staining occurs in all cell types. A characteristic granular cytoplasmic staining is seen below the apical membranes.
Skeletal muscle.jpeg
Skin, hairfollicel and sebaceous glands – Distinct cytoplasmic ATP5J staining of all cell types of hair follicles but staining is particularly weak in sebaceous glandular cells.
Skin
Spleen
Stomach, corpus – Cytoplasmic ATP5J staining occurs in all cell types. It is most intense in parietal cells and least intense in superficial epithelial cells.
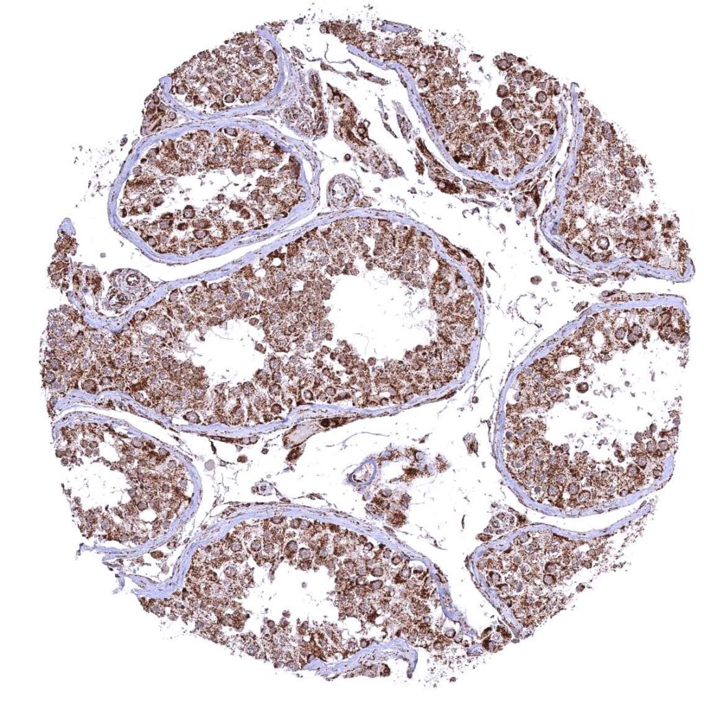
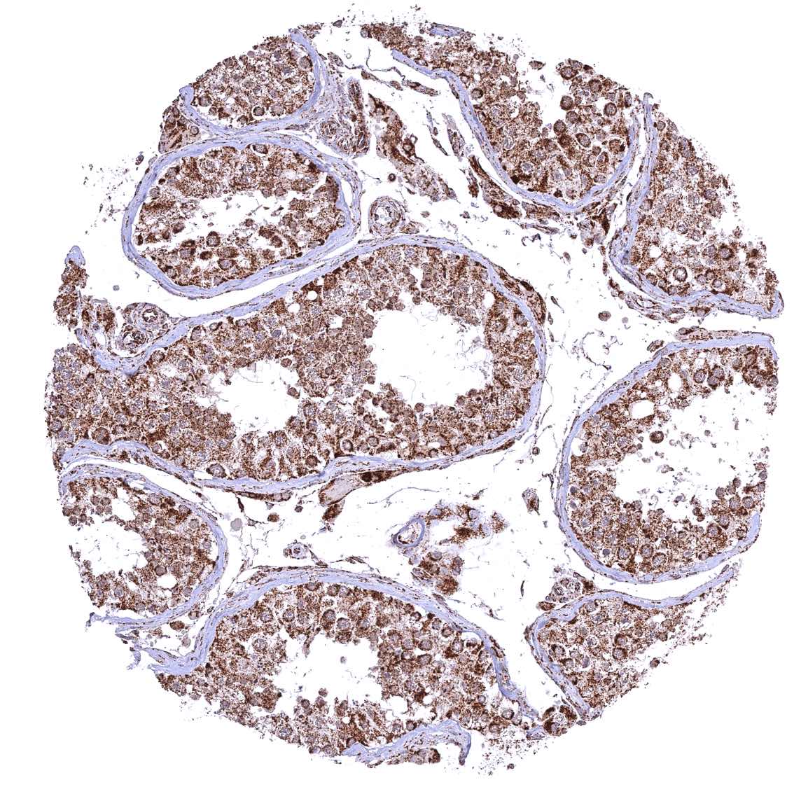
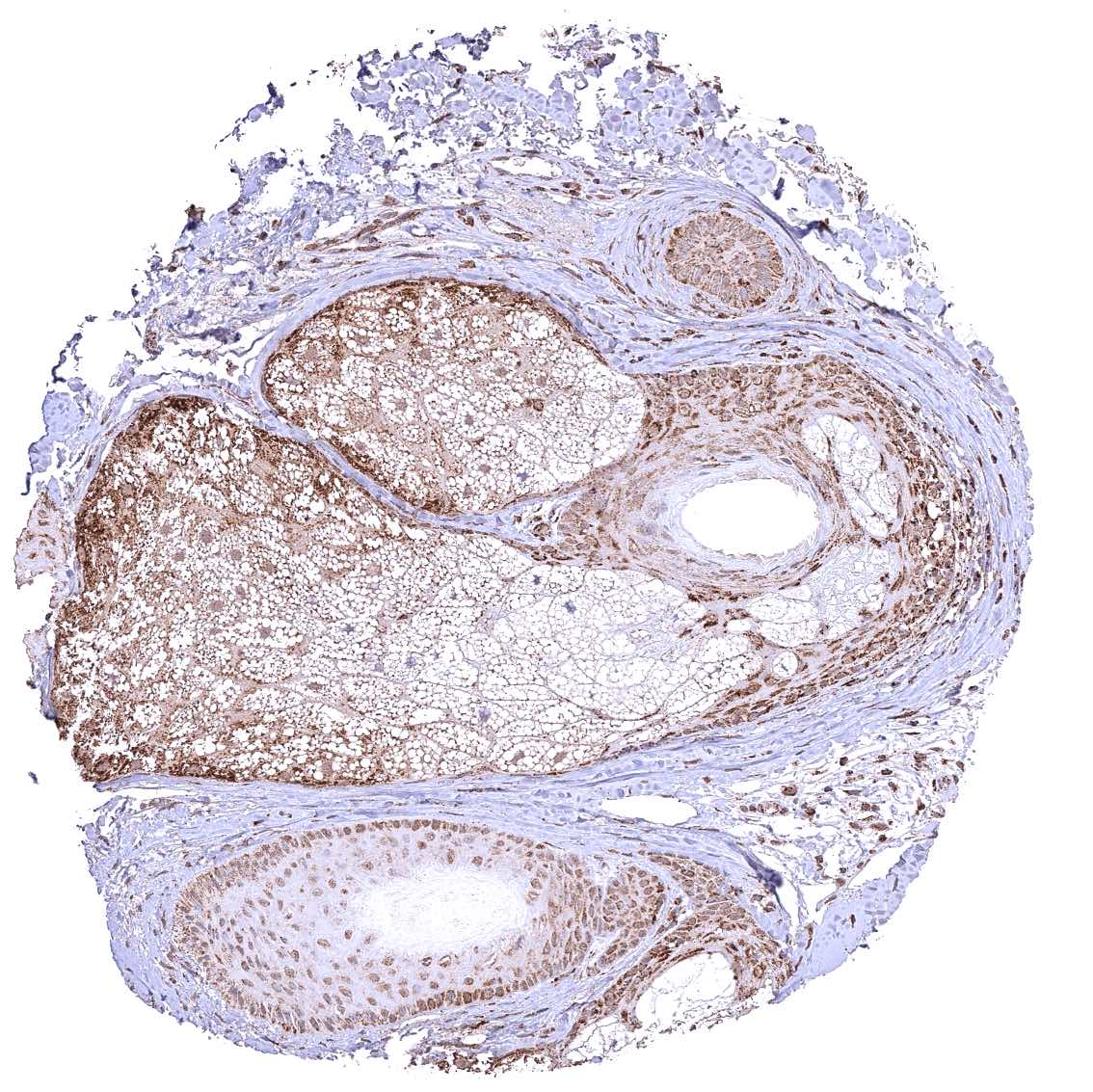
Testis
Testis
Thymus
Thyroid gland
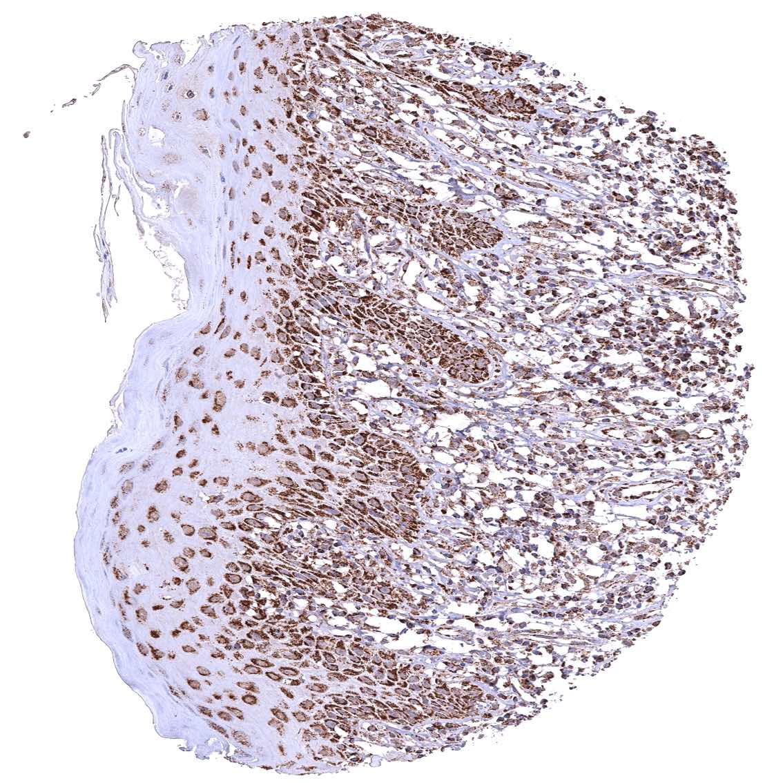
Tonsil – Strong granular cytoplasmic ATP5J staining of all cell types. The staining is least intense in superficial cell layers of squamous epithelium.
Tonsil, surface epithelium – Strong granular cytoplasmic ATP5J staining of all cell types. The staining is least intense in superficial cell layers of squamous epithelium
Urinary bladder, muscular wall
Urinary bladder, urothelium
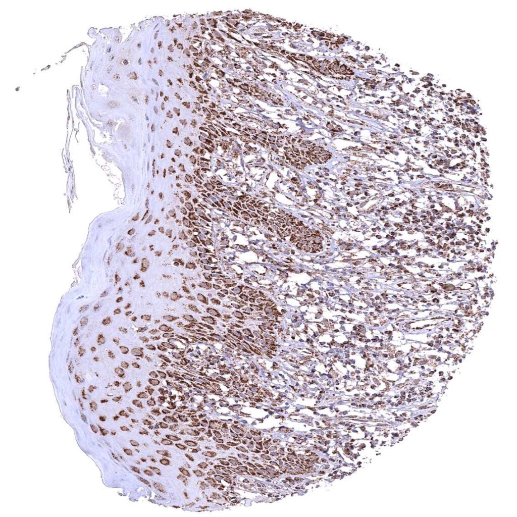
Uterus, ectocervix – Distinct granular, perinuclear, cytoplasmic ATP5J staining in all cell types. The staining is least intense in superficial cell layers of non-keratinizing squamous epithelium.
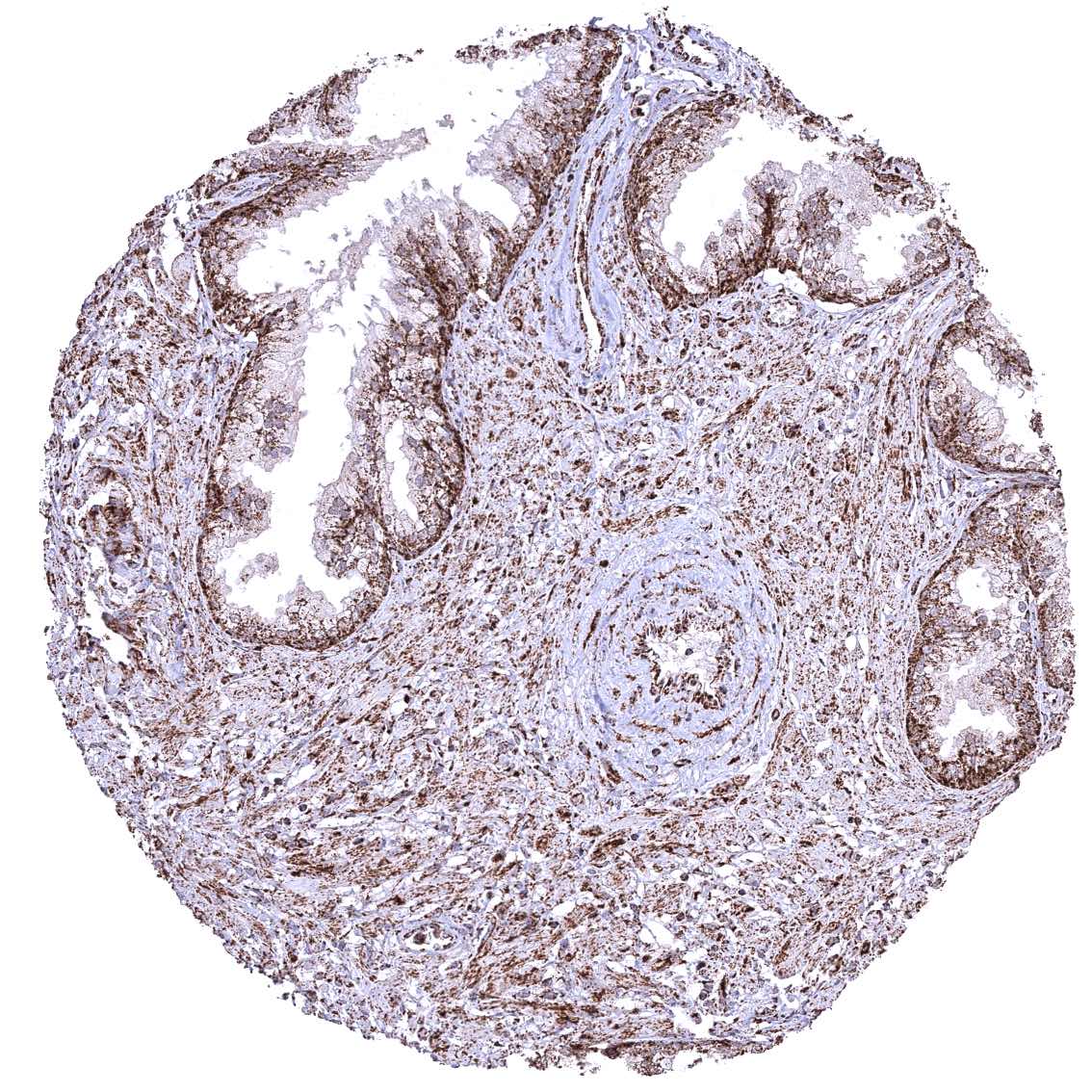
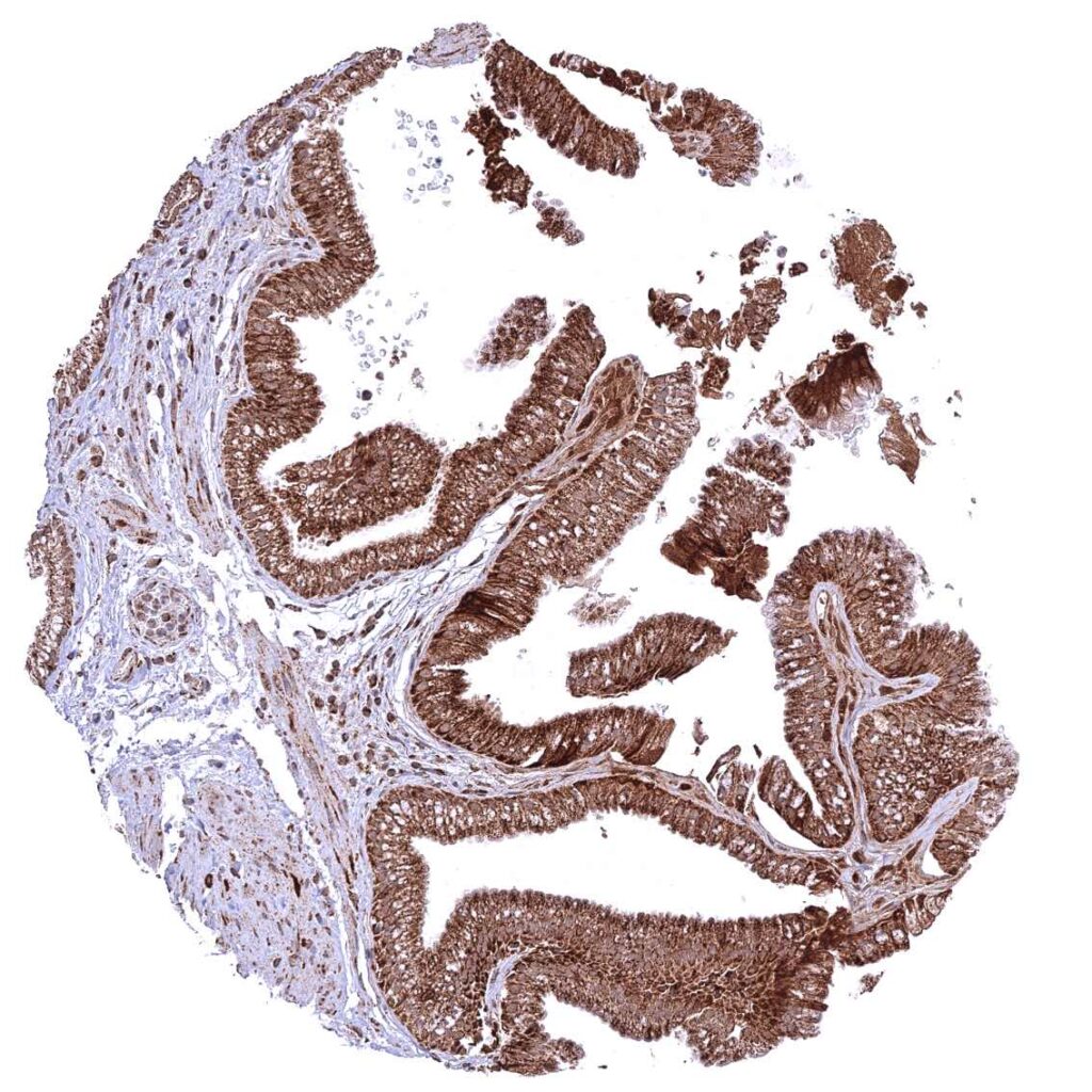
Uterus, endocervix
Uterus, endometrium (pregnancy)
Uterus, endometrium (proliferation)
Uterus, endometrium (secretion)
Uterus, myometrium
