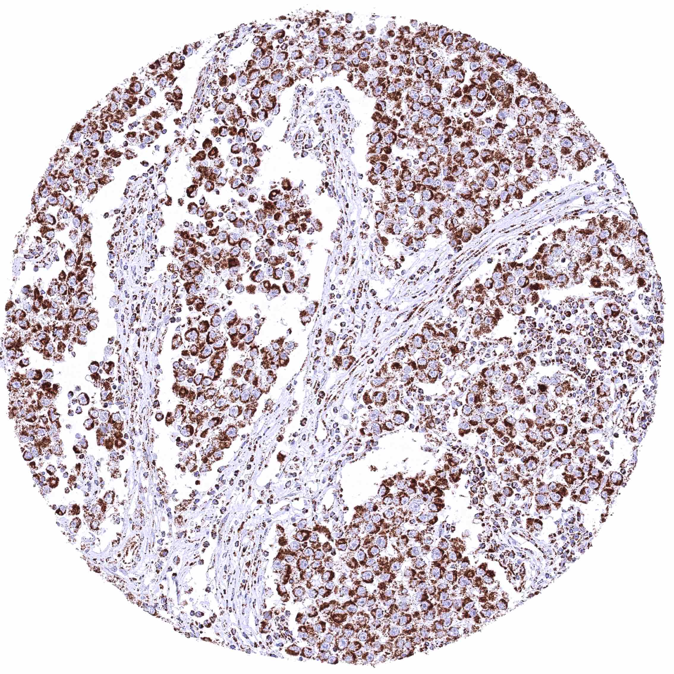
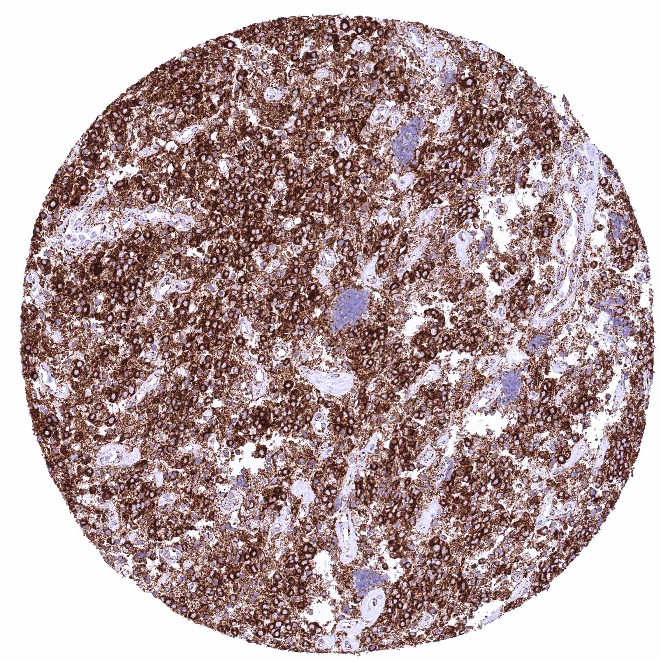
Adrenal gland – Adrenocortical carcinoma with intense cytoplasmic ATP5J positivity of all tumor cells.
Adrenal gland – Pheochromocytoma with moderate to strong cytoplasmic ATP5J staining of tumor cells.
Breast – Invasive breast cancer of no special type (NST) with strong cytoplasmic ATP5J positivity of tumor cells.
Breast – Invasive lobular breast cancer with strong cytoplasmic ATP5J staining of all tumor cells.
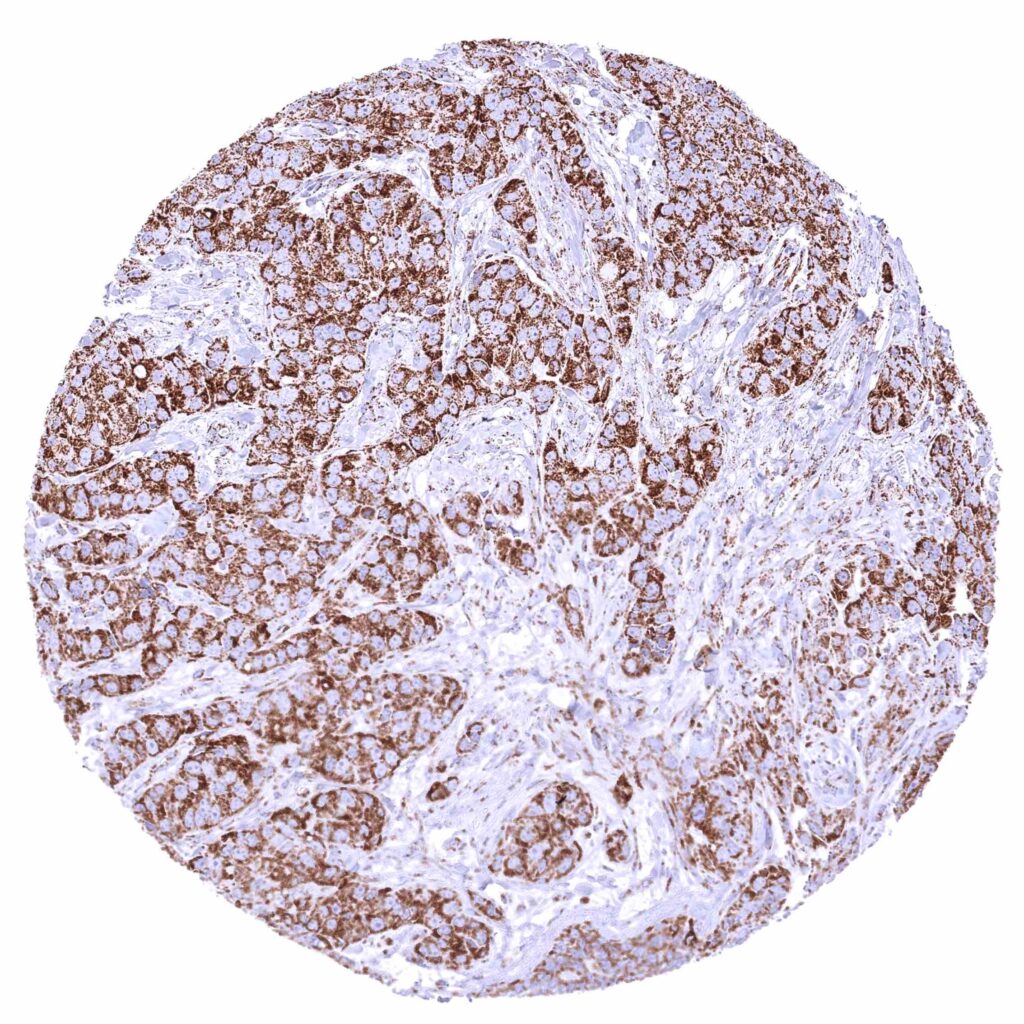
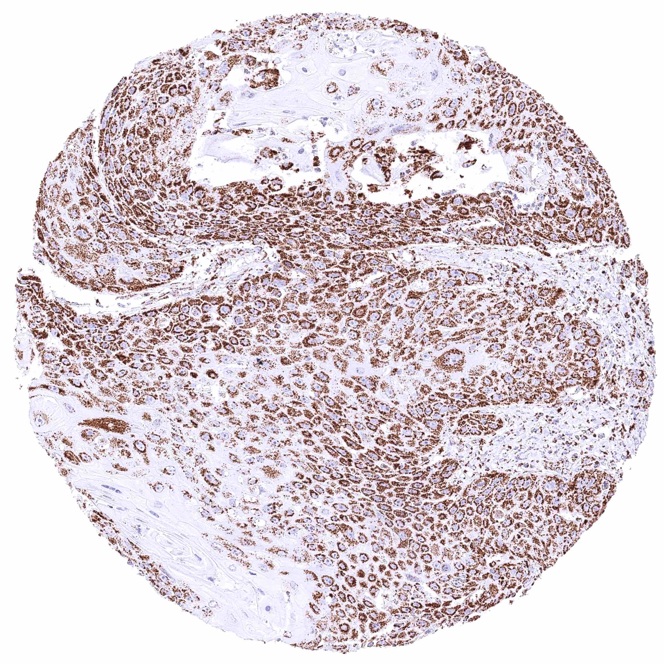
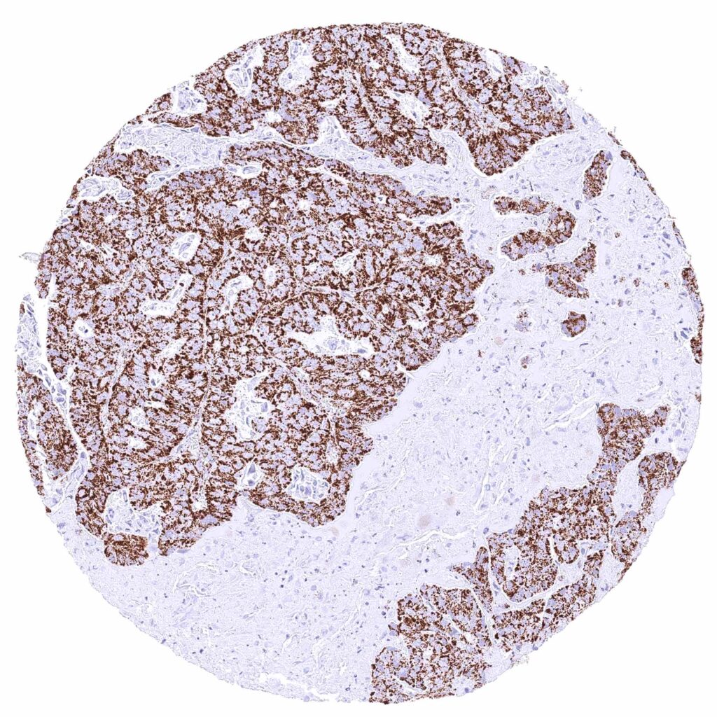
Colon – Colorectal adenocarcinoma with strong cytoplasmic ATP5J staining of all tumor cells.
Esophagus – Adenocarcinoma with intense cytoplasmic ATP5J immunostaining of all tumor cells.
Esophagus – Squamous cell carcinoma with weak to moderate ATP5J immunostaining of tumor cells.
Kidney – Chromophobe renal cell carcinoma with strong cytoplasmic ATP5J immunostaining of tumor cells.
Kidney – Clear cell renal cell carcinoma with weak to moderate cytoplasmic ATP5J immunostaining of tumor cells.
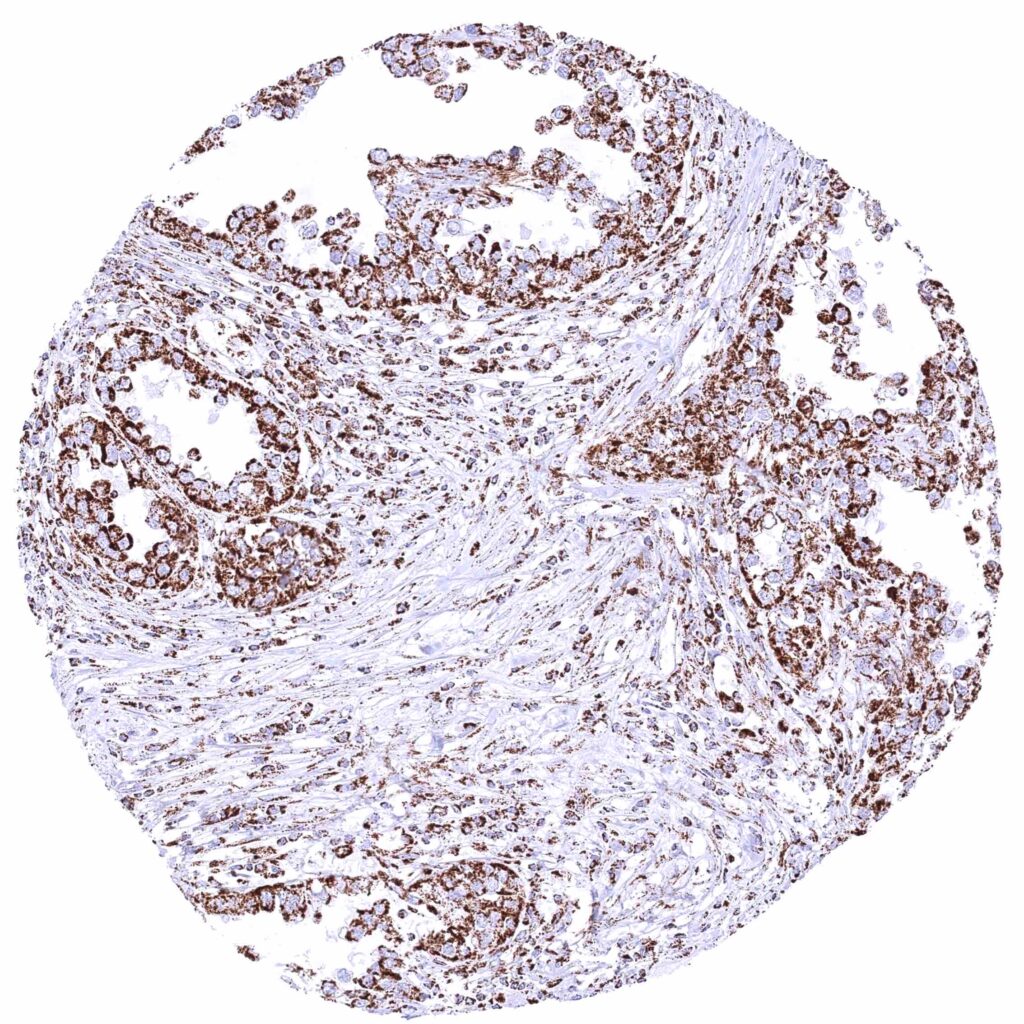
Kidney – Oncocytoma with strong cytoplasmic ATP5J immunostaining of tumor cells.
Kidney – Papillary renal cell carcinoma with moderate cytoplasmic ATP5J staining of tumor cells.
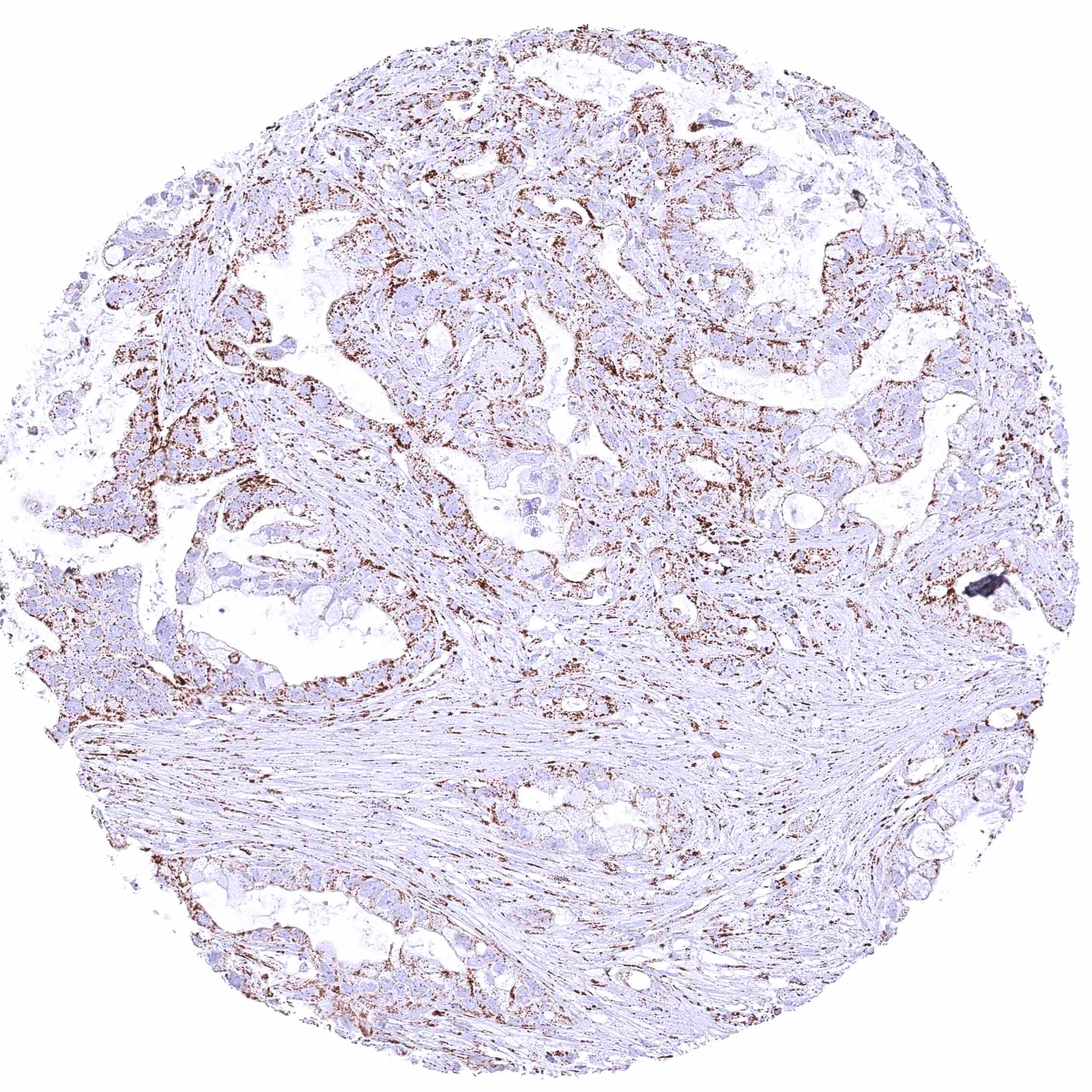
Liver – Cholangiocellular carcinoma with weak to moderate cytoplasmic ATP5J positivity of all tumor cells. .jpeg
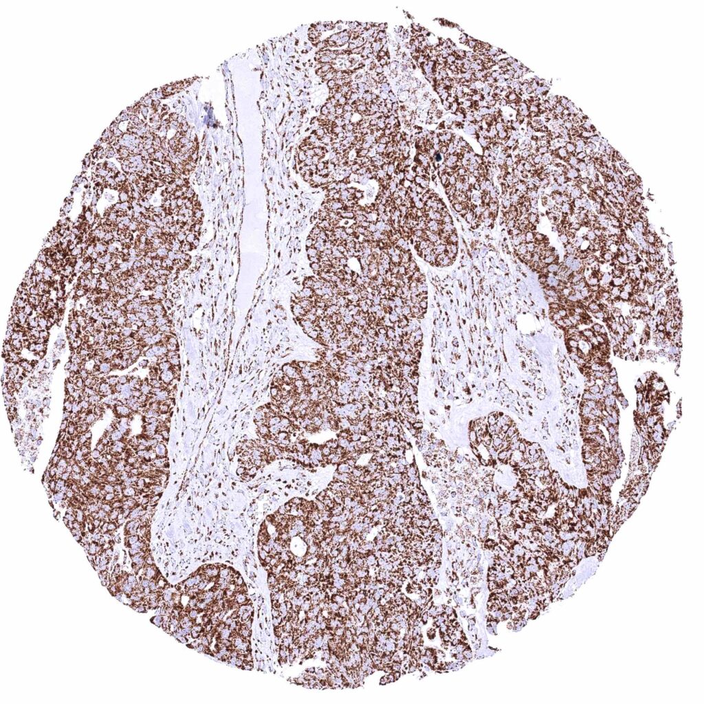
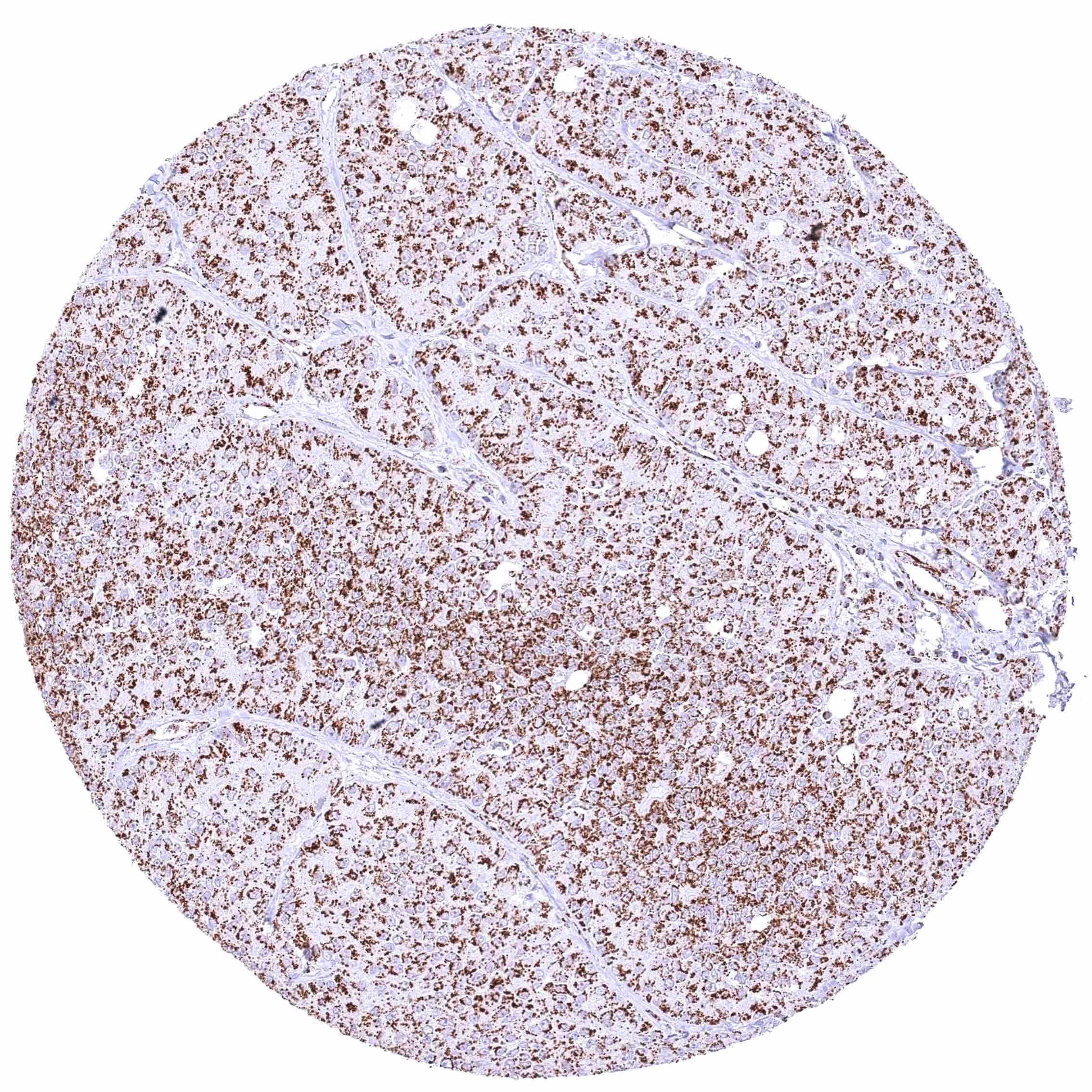
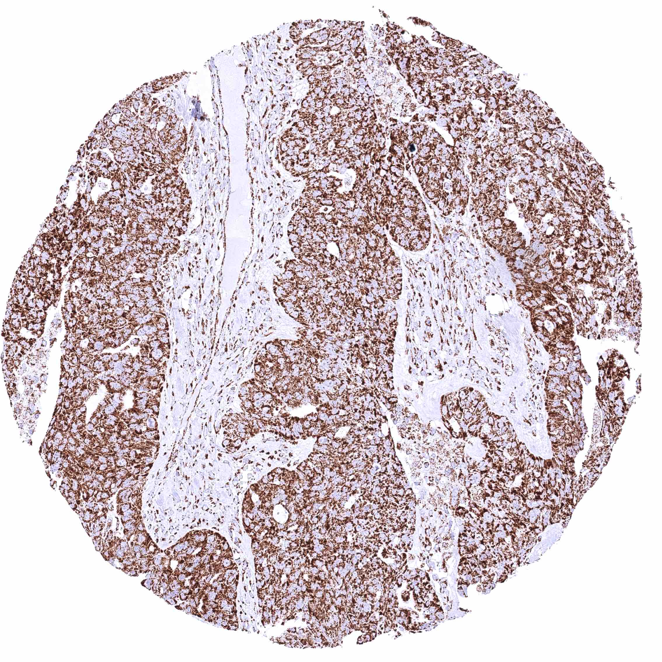
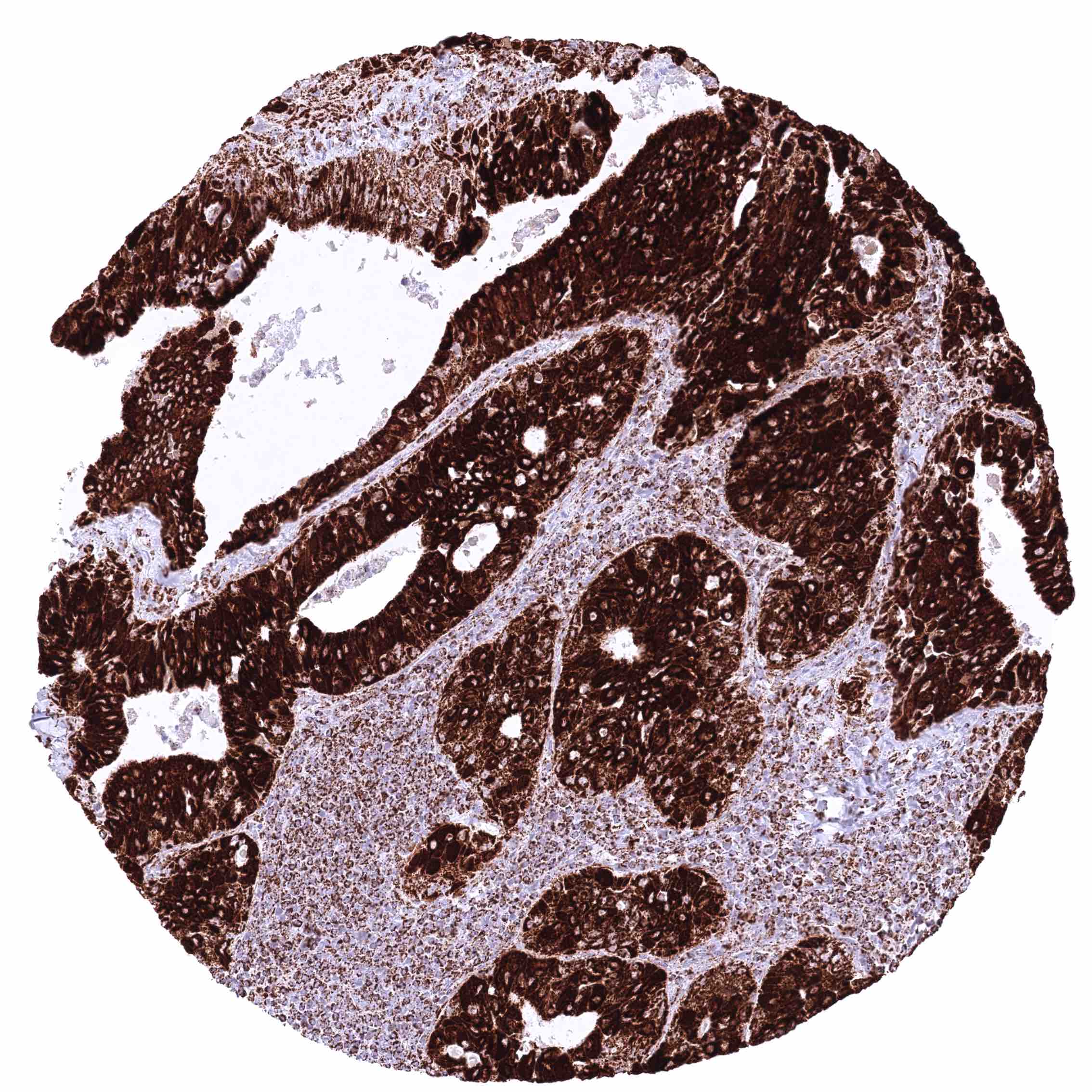
Liver – Hepatocellular carcinoma with intense cytoplasmic ATP5J staining of tumor cells.
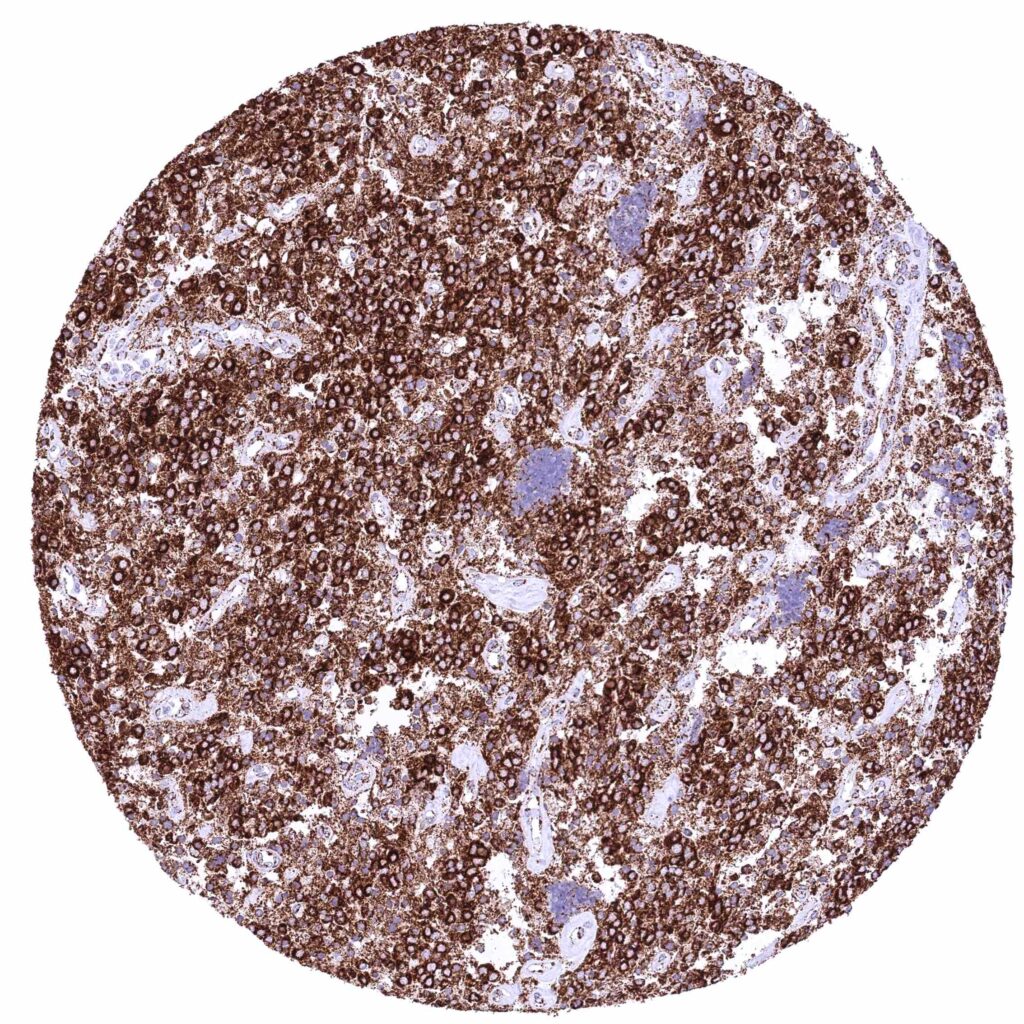
Lymph node – B-CLL with moderate cytoplasmic ATP5J immunostaining of tumor cells.
Lymph node – B-CLL with strong cytoplasmic ATP5J positivity of tumor cells. .jpeg
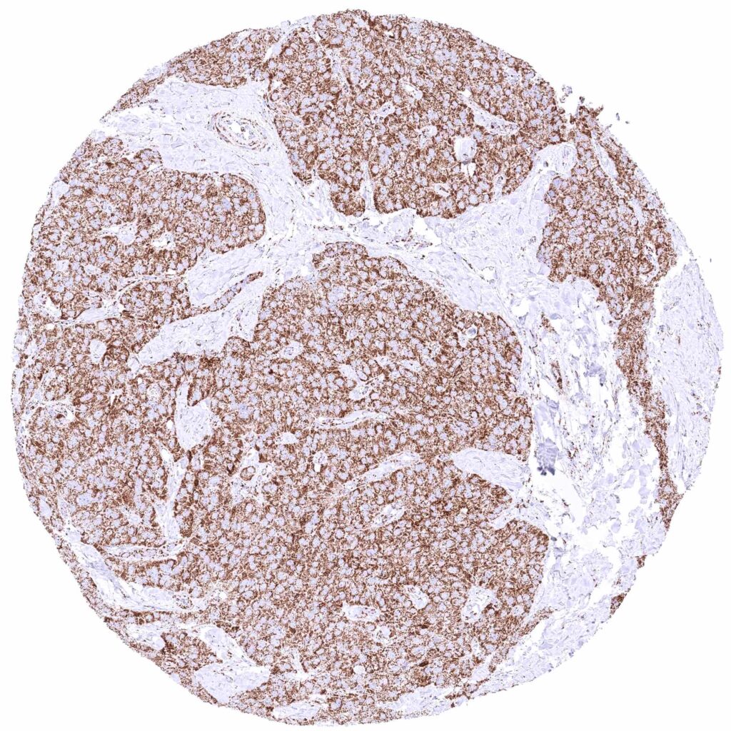
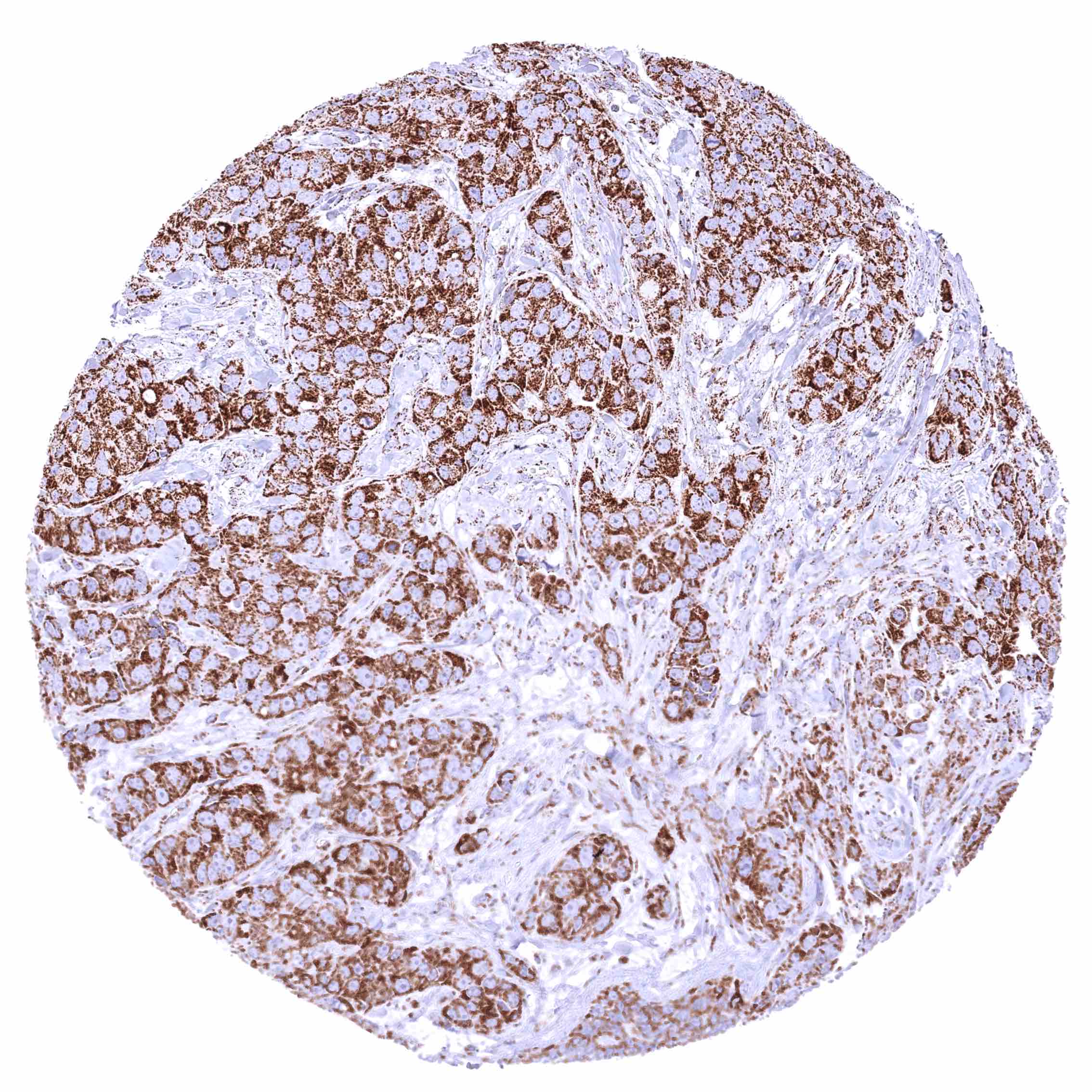
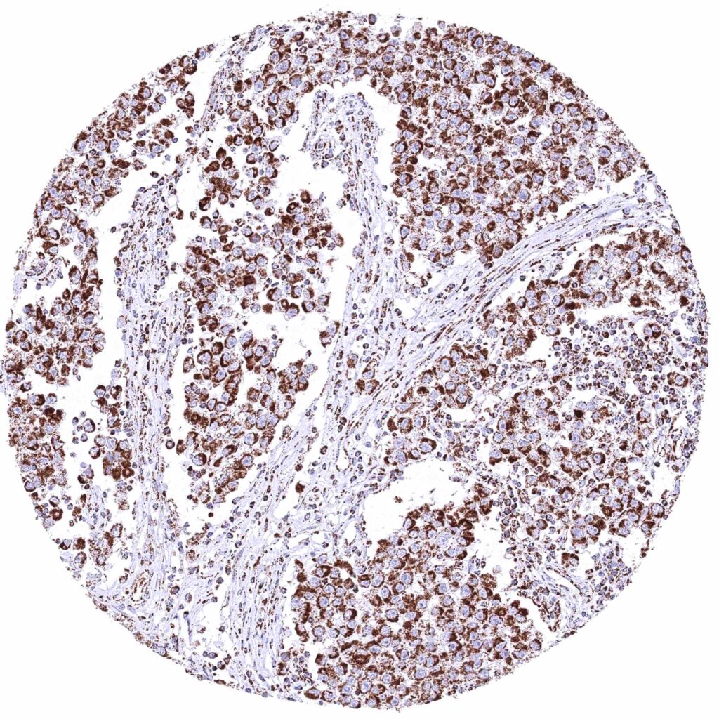
Lymph node – Diffuse large B-cell lymphoma with intense cytoplasmic ATP5J positivity of all tumor cells.
Lymph node – Diffuse large B-cell lymphoma with moderate to strong cytoplasmic ATP5J staining of tumor cells.
Lymph node – Hodgkin’s lymphoma with strong cytoplasmic ATP5J positivity of tumor cells. ATP5J staining is less intense in non-neoplastic inflammatory cells.
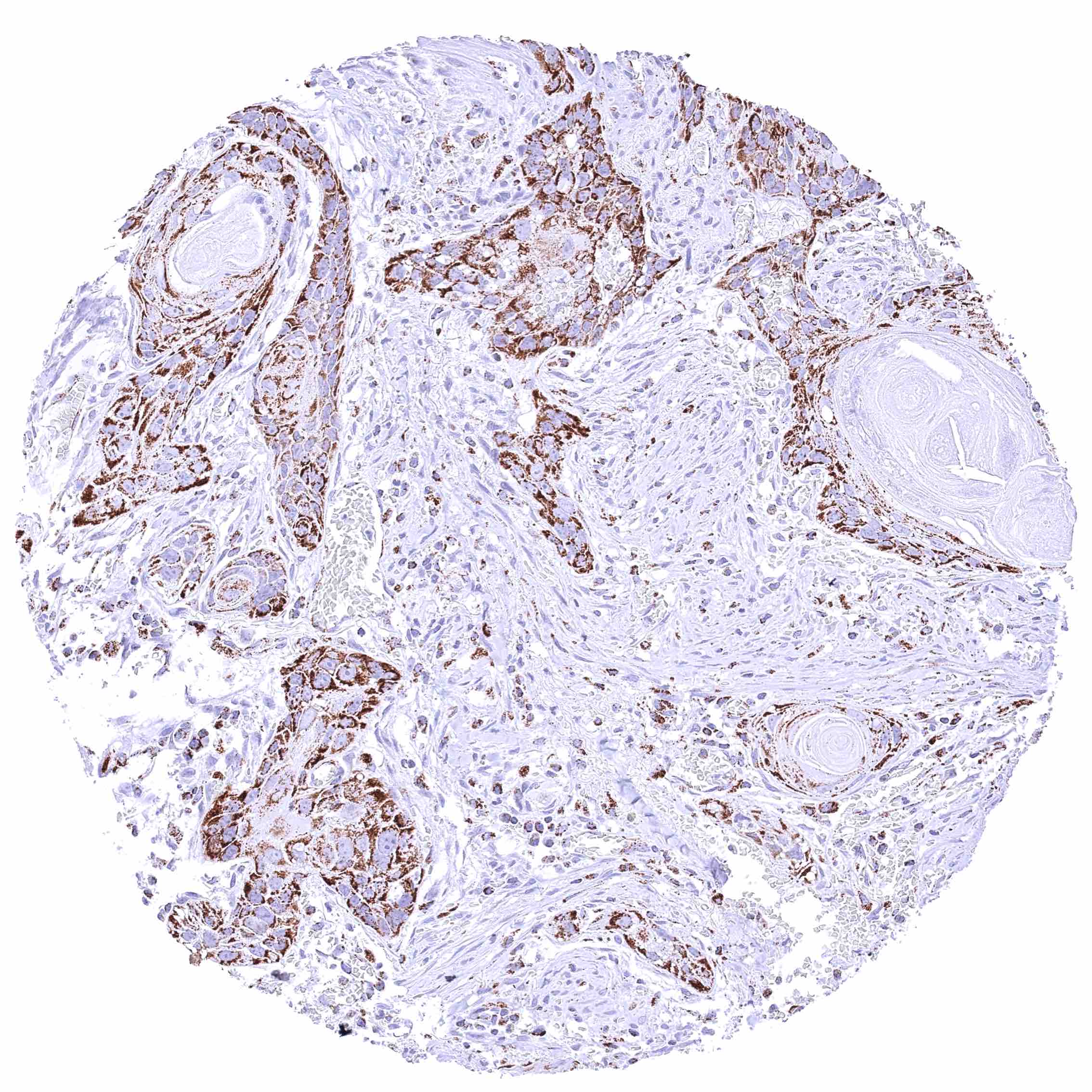
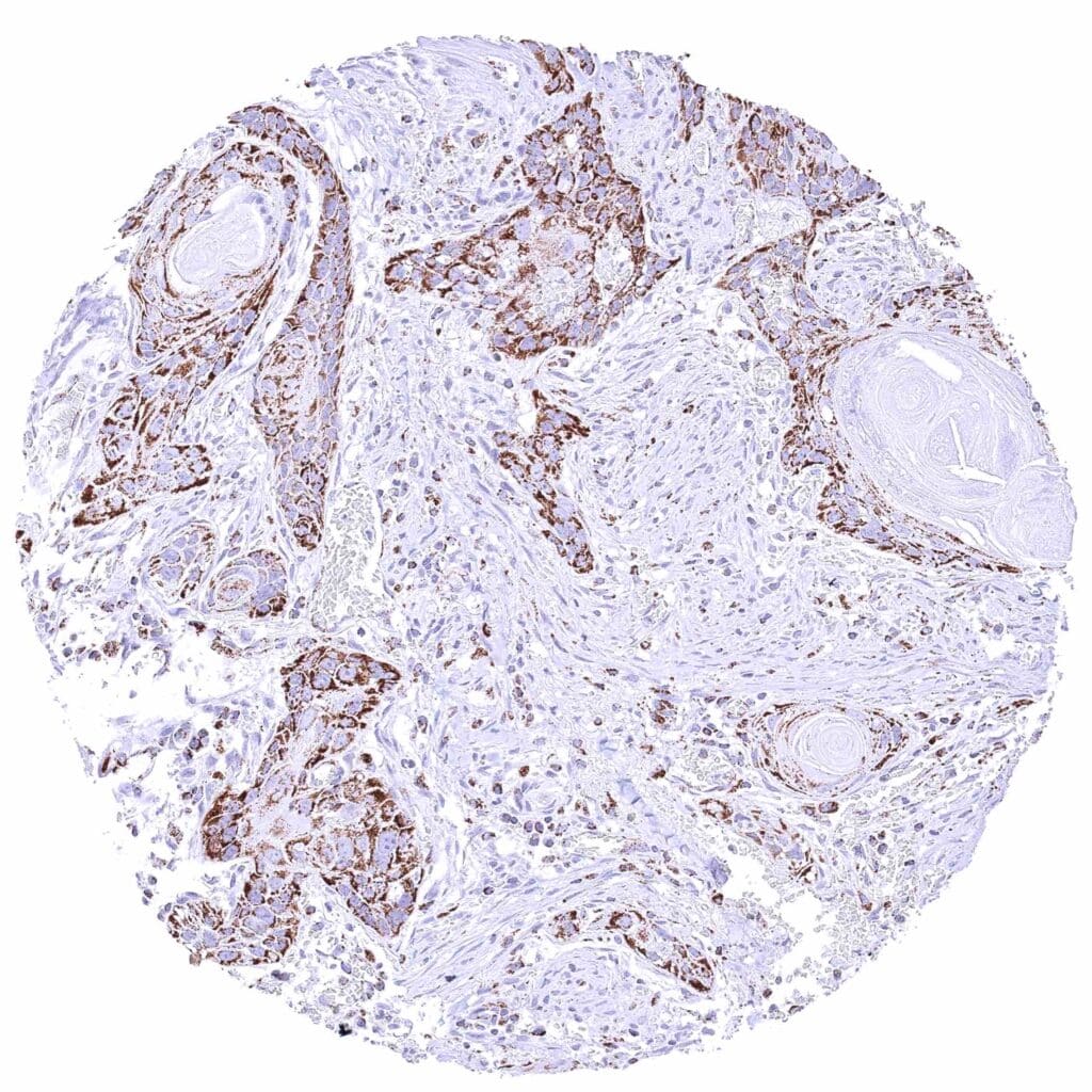
Oral cavity – Squamous cell carcinoma with moderate to strong ATP5J staining of tumor cells.
Ovary – Clear cell carcinoma with strong cytoplasmic ATP5J staining of tumor cells.
Ovary – Endometroid carcinoma with strong cytoplasmic ATP5J staining of tumor cells.
Ovary – Mucinous carcinoma with strong cytoplasmic ATP5J staining of tumor cells.
Ovary – Serous high-grade carcinoma with strong cytoplasmic ATP5J positivity of tumor cells.
Pancreas – Acinar cell carcinoma showing moderate ATP5J staining of all tumor cells
Pancreas – Ductal adenocarcinoma with weak cytoplasmic ATP5J immunostaining of tumor cells. .jpeg
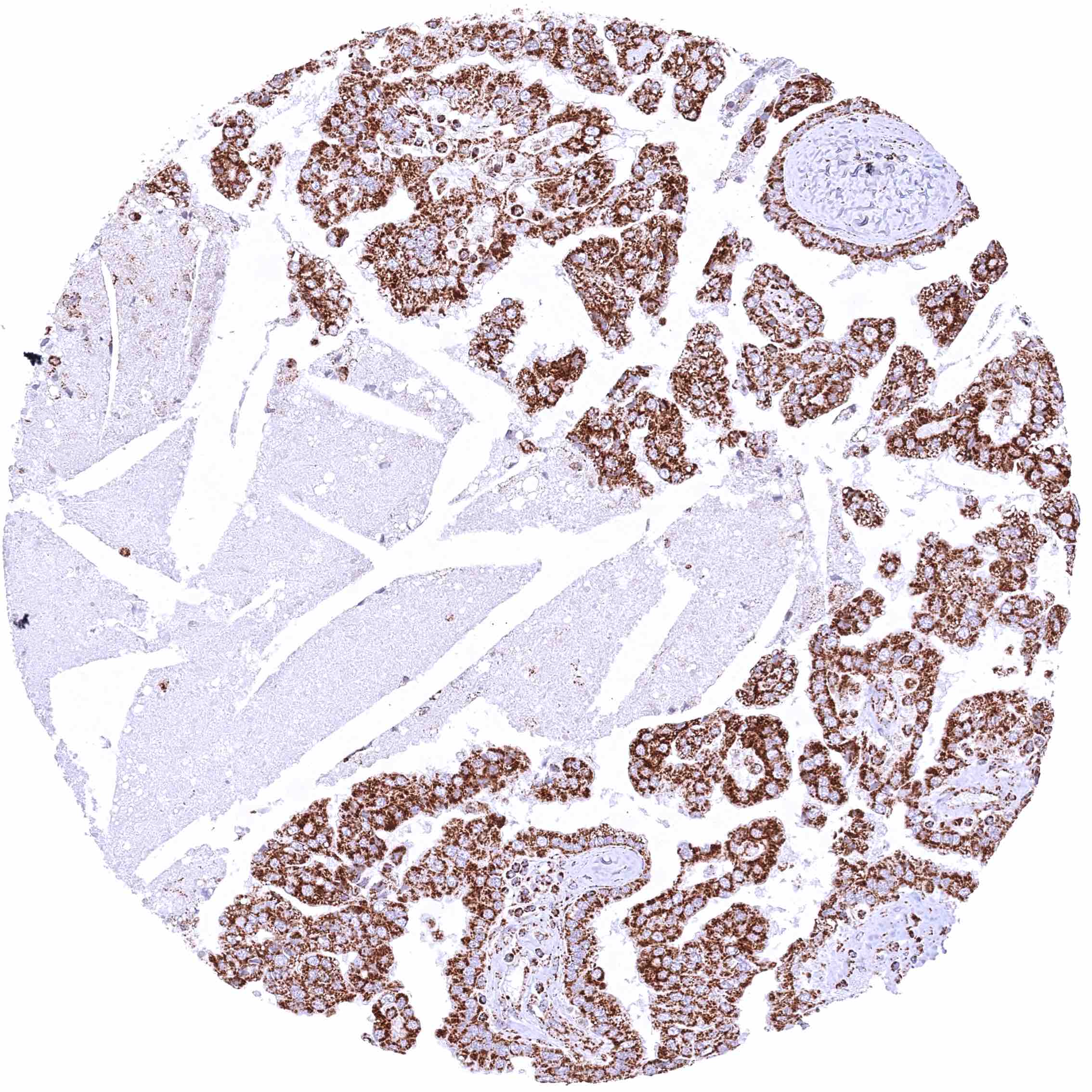
Pancreas – Neuroendocrine tumor with moderate to strong cytoplasmic ATP5J staining of all tumor cells. .jpeg
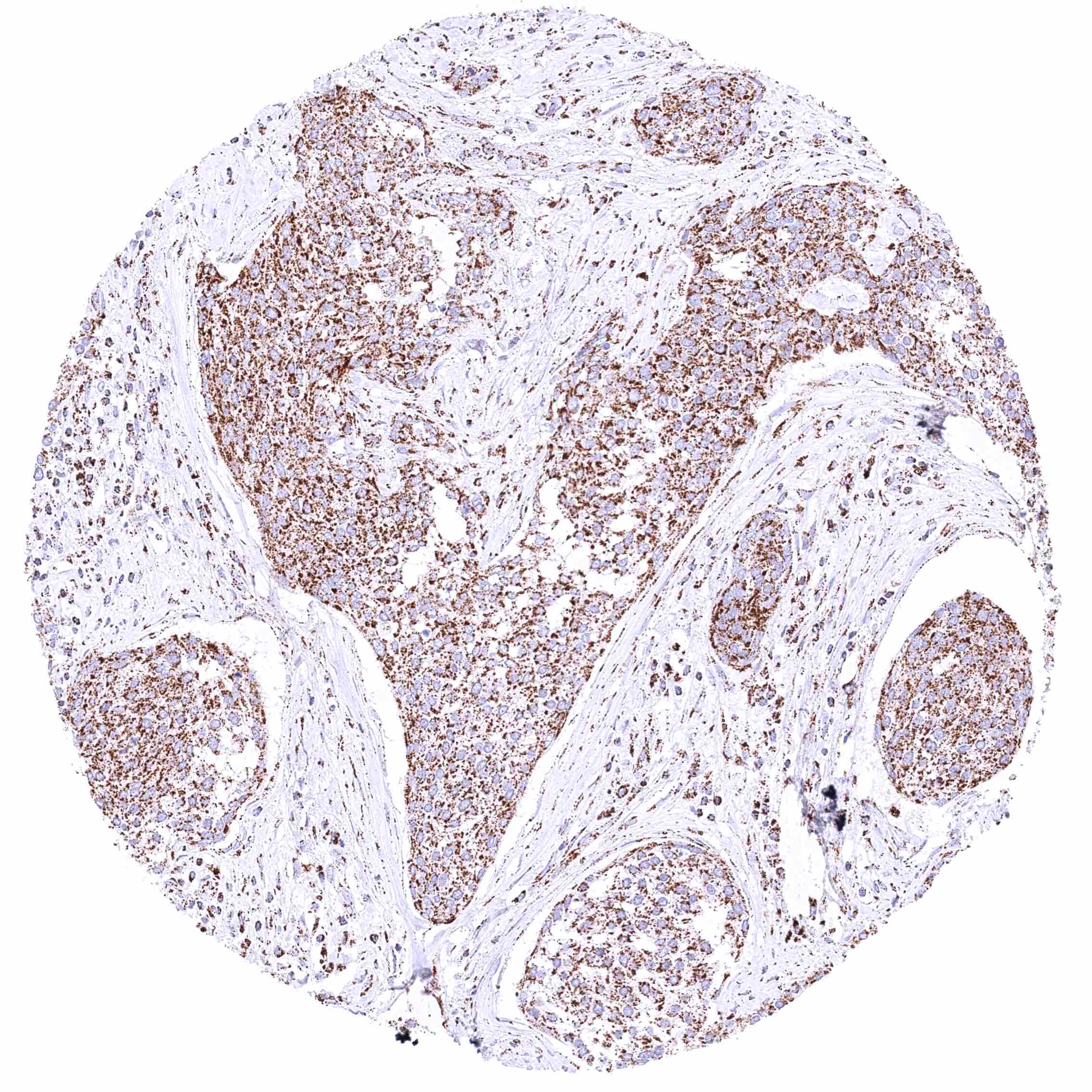
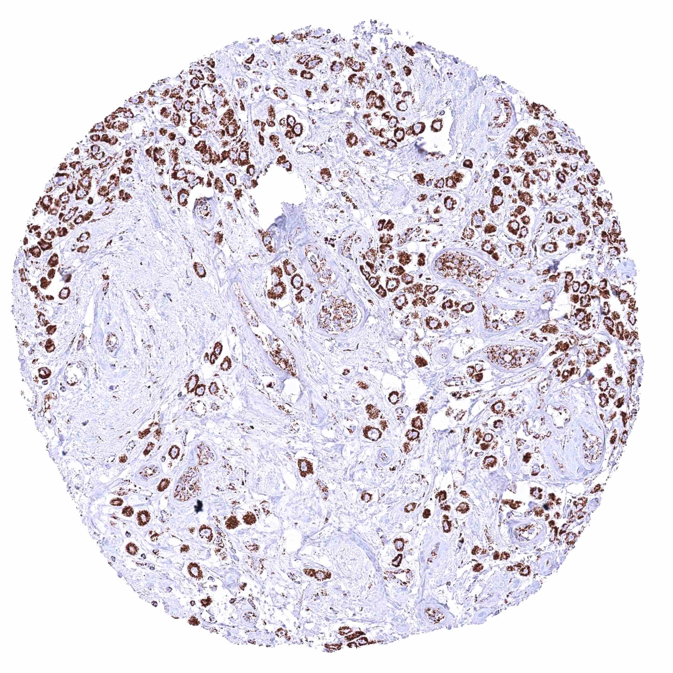
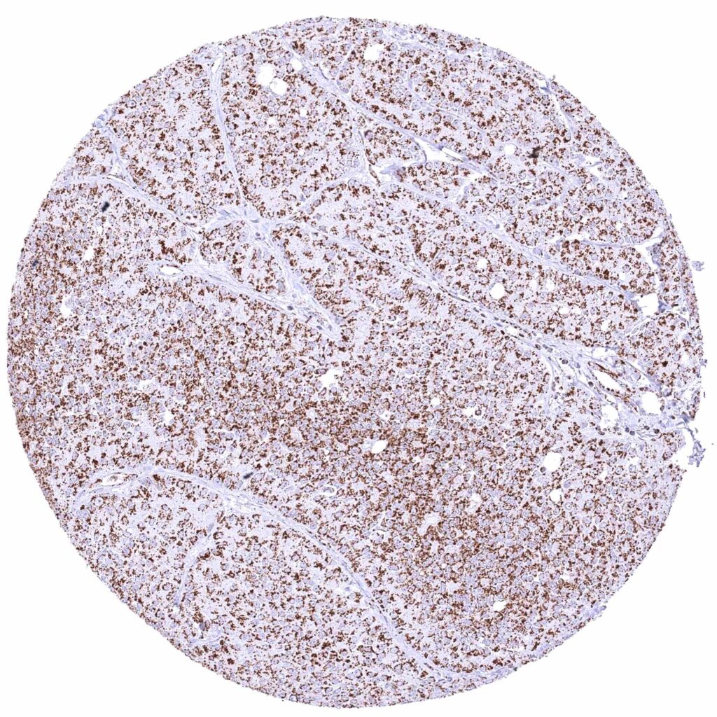
Parathyroid gland – Adenoma with intense cytoplasmic ATP5J staining of all tumor cells.
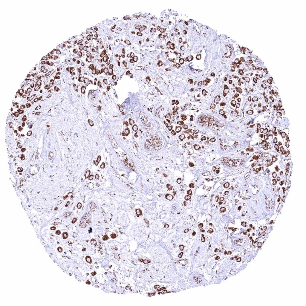
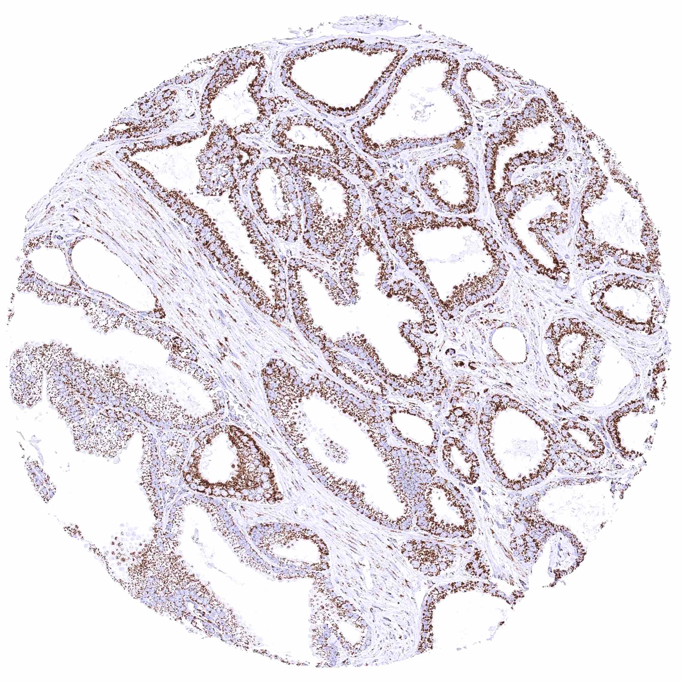
Prostate – Adenocarcinoma (Gleason 3+3=6) with moderate cytoplasmic ATP5J staining of tumor cells.
Prostate – Adenocarcinoma (Gleason 4+4=8) with moderate to strong cytoplasmic ATP5J positivity of tumor cells.
Prostate – Adenocarcinoma (Gleason 5+5=10) with intense cytoplasmic ATP5J positivity of all tumor cells.
Salivary gland – Warthin tumor with intense ATP5J staining of tumor cells.
Skin – Malignant melanoma with weak to moderate cytoplasmic ATP5J staining of tumor cells.
Soft tissue – Leiomyosarcoma with weak ATP5J staining of tumor cells.
Stomach – Gastric adenocarcinoma (diffuse type) with moderate to strong cytoplasmic ATP5J staining of tumor cells.
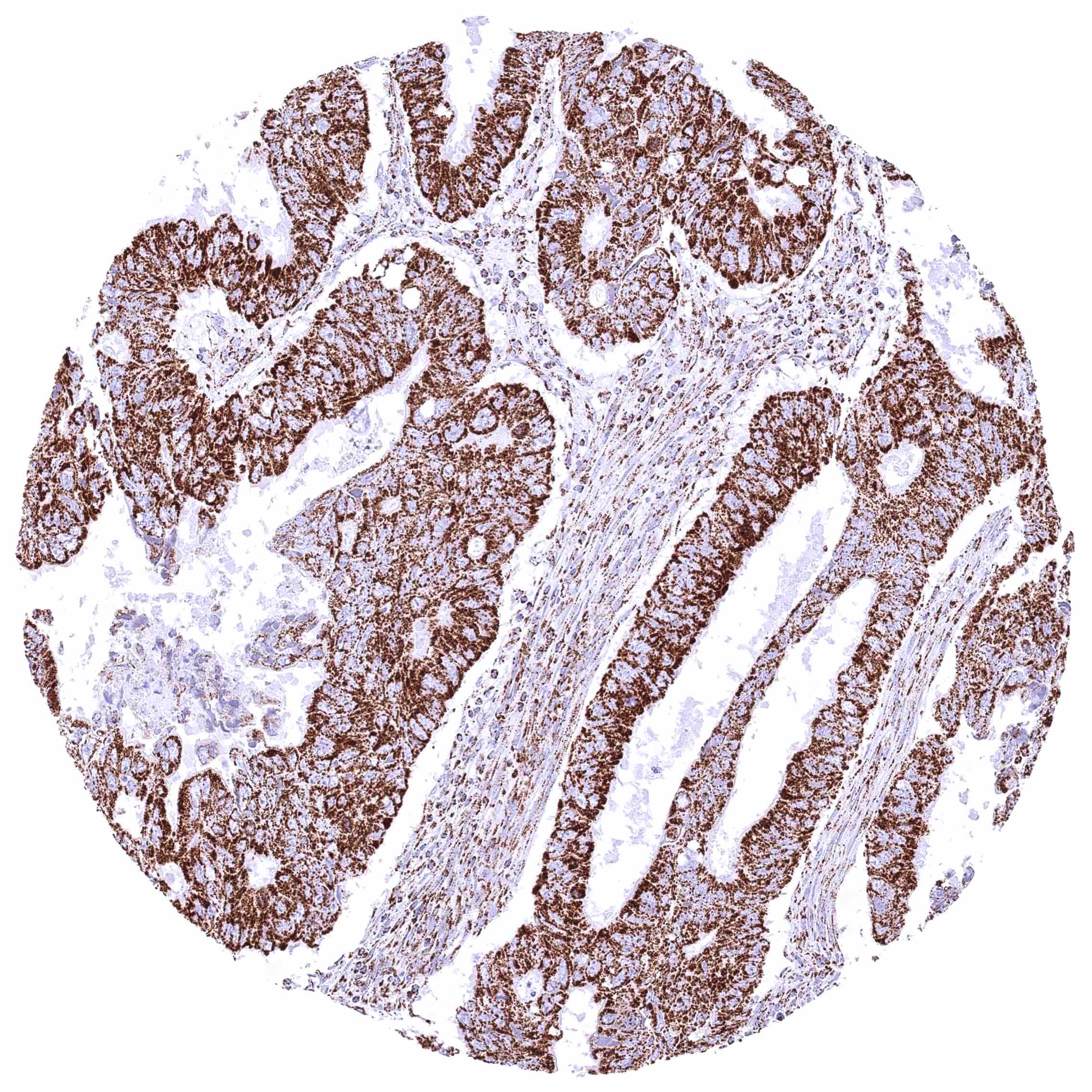
Stomach – Gastric adenocarcinoma (intestinal type) with strong cytoplasmic ATP5J staining of all tumor cells.
Stomach – Gastrointestinal stromal tumor (GIST) with weak to moderate cytoplasmic ATP5J immunostaining of tumor cells.
Testis – Leydig cell tumor with strong cytoplasmic ATP5J immunostaining of tumor cells.
Testis – Seminoma with moderate cytoplasmic ATP5J immunostaining of tumor cells.
Urinary bladder – Muscle-invasive urothelial carcinoma with moderate cytoplasmic ATP5J staining of all tumor cells.
Uterus, cervix – Squamous cell carcinoma with moderate to strong cytoplasmic ATP5J staining of tumor cells.
Vulva – Squamous cell carcinoma with strong cytoplasmic ATP5J staining of tumor cells.
