Appendix – Neuroendocrine tumor with complete absence of MTAP staining in tumor cells
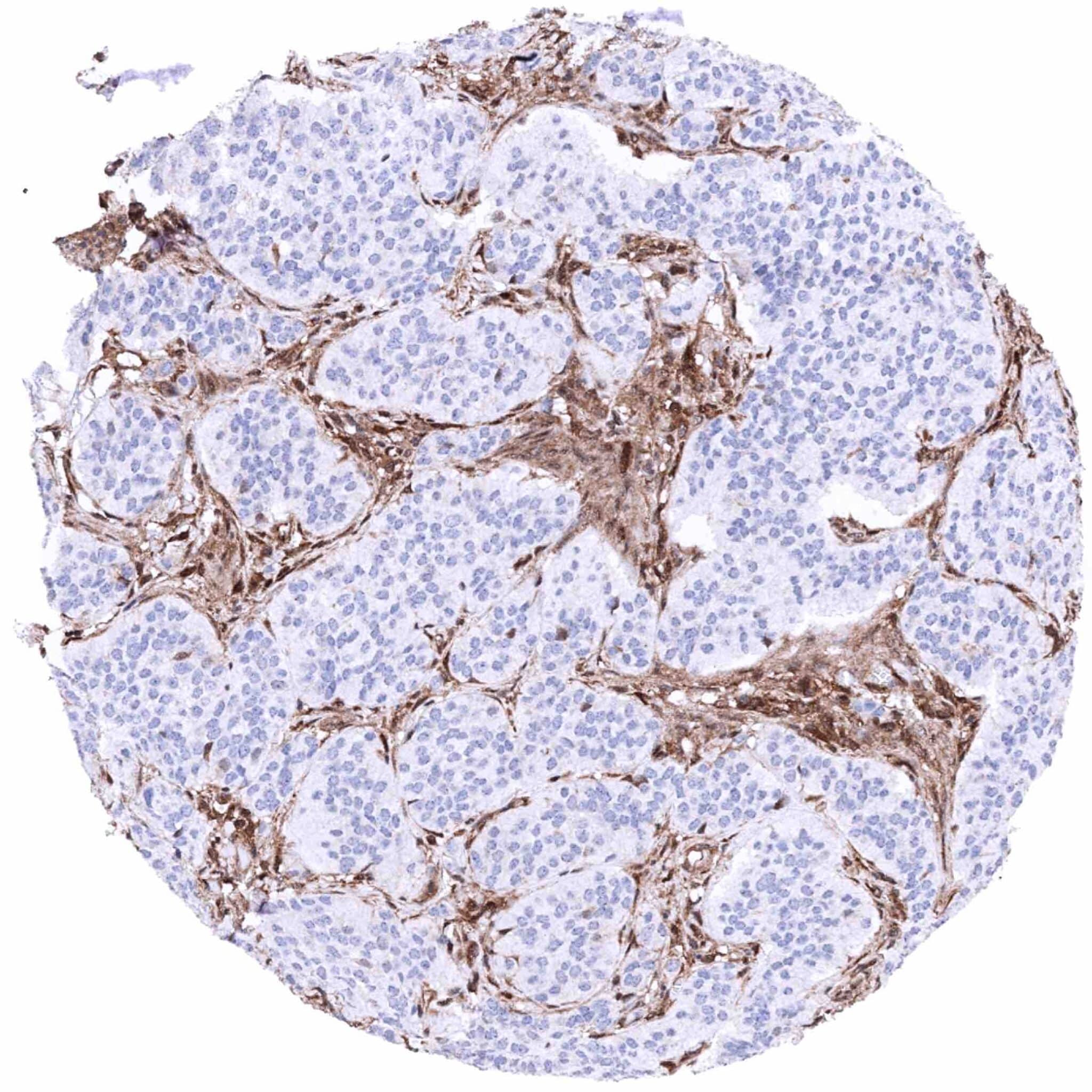
Breast – Invasive breast cancer of no special type (NST) with complete absence of MTAP staining in tumor cells. Distinct MTAP staining of inflammatory and stromal cells
Breast – Invasive breast cancer of no special type (NST) with complete absence of MTAP staining in tumor cells
Colon – Colorectal adenocarcinoma with complete absence of MTAP staining in tumor cells. Intense MTAP staining of inflammatory and stromal cells
Colon – Neuroendocrine tumor with complete absence of MTAP staining in tumor cells
Gallbladder – Adenocarcinoma with complete absence of MTAP staining in tumor cells
Ileum – Neuroendocrine tumor with complete absence of MTAP staining in tumor cells. Distinct MTAP staining of stromal cells
Kidney – Clear cell renal cell carcinoma with complete absence of MTAP staining in tumor cells
Kidney, pelvis – Invasive urothelial carcinoma with complete absence of MTAP staining in tumor cells. Strong MTAP staining of inflammatory and stromal cells including vessel walls
Lung – Adenocarcinoma with complete absence of MTAP staining in tumor cells
Lung – Malignant mesothelioma with complete absence of MTAP staining in tumor cells. Intense MTAP staining of intermingled inflammatory and stromal cells
Lung – Malignant mesothelioma with complete absence of MTAP staining in tumor cells
Lung – Neuroendocrine tumor lacking MTAP staining in tumor cells
Lung – Squamous cell carcinoma with complete absence of MTAP staining in tumor cells. Significant MTAP staining of inflammatory and stromal cells
Lymph node – Hodgkin’s lymphoma with complete absence of MTAP staining in tumor cells. Intense MTAP staining of associated non-neoplassic cells.
Lymph node – Hodgkin’s lymphoma with complete absence of MTAP staining in tumor cells. Intense MTAP staining of associated non-neoplassic cells
Lymph node – Metastatic malignant melanoma with complete absence of MTAP staining in tumor cells. Distinct MTAP staining of lymphocytes
Ovary – Brenner tumor with complete absence of MTAP staining in tumor cells. Intense MTAP staining of ovarian stromal cells
Ovary – Endometroid carcinoma with complete absence of MTAP staining in tumor cells. Distinct MTAP staining of stromal cells
Ovary – Granulosa cell tumor with complete absence of MTAP staining in tumor cells
Ovary – Mucinous carcinoma with complete absence of MTAP staining in tumor cells. Intense MTAP staining of inflammatory and stromal cells
Ovary – Serous high-grade carcinoma with complete absence of MTAP staining in tumor cells. Significant MTAP staining of inflammatory and stromal cells
Pancreas – Few glands of a ductal adenocarcinoma with complete absence of MTAP staining in tumor cells. Intense MTAP staining of non-neoplastic epithelial and of stromal cells
Prostate – Adenocarcinoma (Gleason 4+4=8) with complete absence of MTAP staining in tumor cells. Intense MTAP staining of inflammatory and stromal cells
Salivary gland – Salivary duct carcinoma with complete absence of MTAP staining in tumor cells. Strong MTAP staining of inflammatory and stromal cells
Skin – Malignant melanoma lacking MTAP staining in tumor cells. Distinct MTAP staining of inflammatory and stromal cells
Soft tissue – Malignant peripheral nerve sheath tumor (MPNST) with complete absence of MTAP staining in tumor cells
Soft tissue – Sarcoma, not otherwise specified (NOS) with complete absence of MTAP staining in tumor cells
Soft tissue – Sarcoma, not otherwise specified (NOS) with complete absence of MTAP staining in tumor cells
Stomach – Gastric adenocarcinoma (diffuse type) with complete absence of MTAP staining in tumor cells
Stomach – Gastric adenocarcinoma (intestinal type) with complete absence of MTAP staining in tumor cells
Stomach – Gastric adenocarcinoma (intestinal type) with complete absence of MTAP staining in tumor cells
Stomach – Gastric adenocarcinoma (intestinal type) with complete absence of MTAP staining in tumor cells
Uterus, cervix – Adenocarcinoma with complete absence of MTAP staining in tumor cells
Vagina – Squamous cell carcinoma with complete absence of MTAP staining in tumor cells
Vulva – Squamous cell carcinoma lacking MTAP staining in tumor cells. Distinct MTAP staining of inflammatory and stromal cells
Vulva – Squamous cell carcinoma with complete absence of MTAP staining in tumor cells. Distinct MTAP staining of inflammatory and stromal cells
