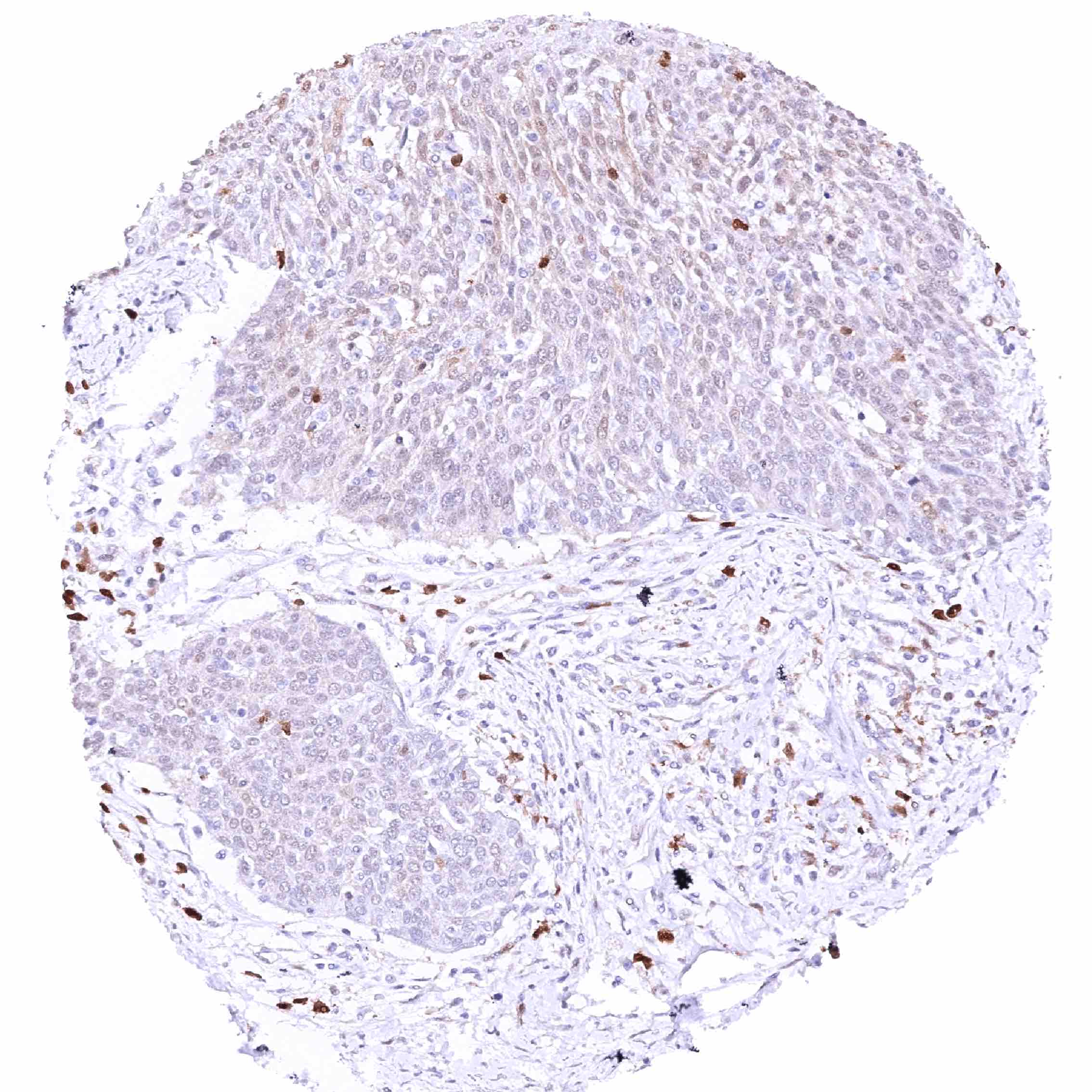
Breast – GSTP1 negative invasive breast cancer of no special type (NST).
Breast – GSTP1 negative invasive breast cancer of no special type (NST).
Breast – Invasive breast cancer of no special type (NST) with moderate to strong GSTP1 immunostaining of tumor cells.
Breast – Invasive lobular breast cancer with strong GSTP1 staining of tumor cells.
Colon – Colorectal adenocarcinoma with only weak GSTP1 staining of tumor cells.
Colon – Colorectal adenocarcinoma with strong GSTP1 positivity of tumor cells.
Colon – Colorectal adenocarcinoma with strong GSTP1 staining of tumor cells.
Colon – GSTP1 negative colorectal adenocarcinoma.
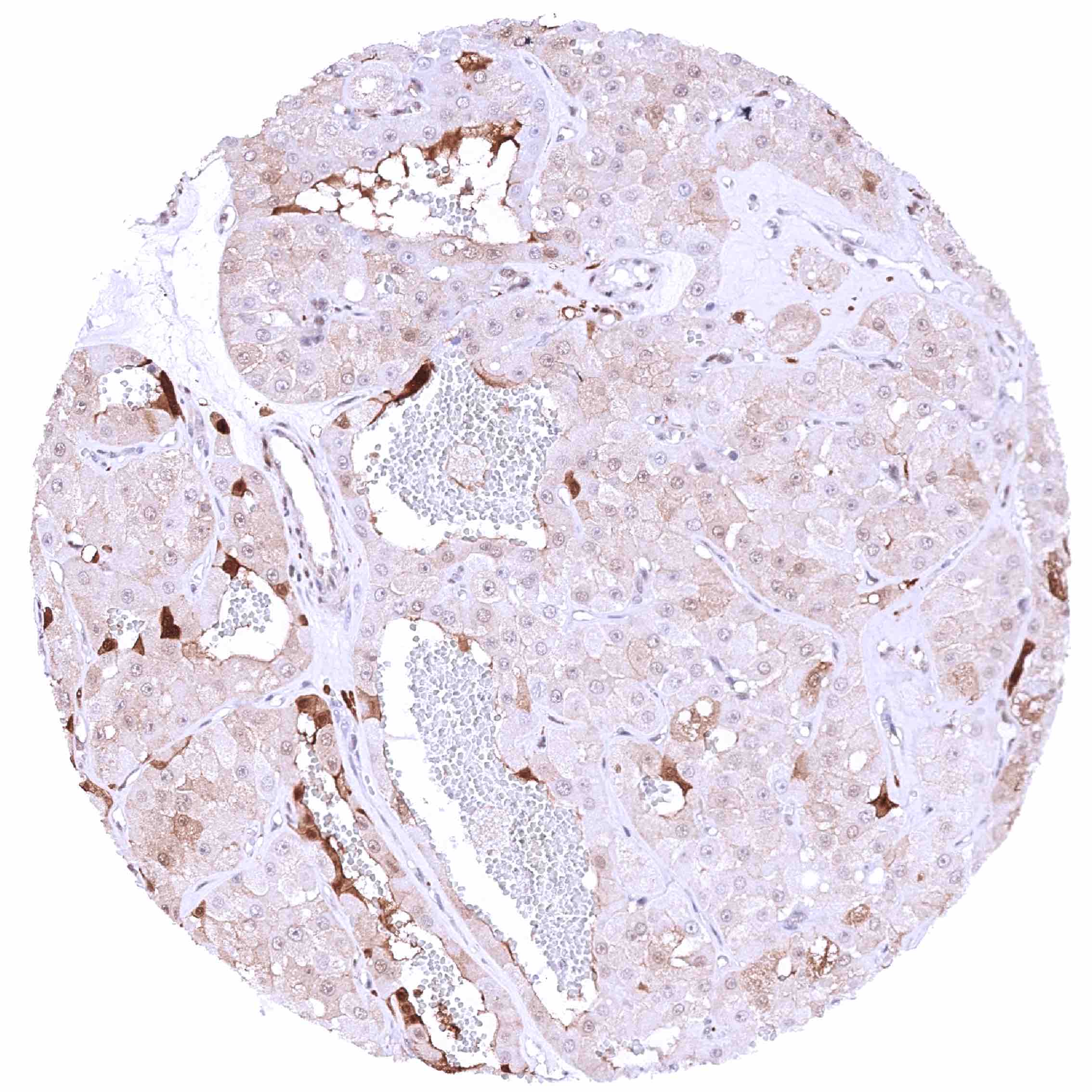
Kidney – Clear cell renal cell carcinoma with strmoderate, predominantly nuclear ong GSTP1 staining of tumor cells.
Kidney – Oncocytoma with faint GSTP1 staining of tumor cells.
Kidney – Oncocytoma with faint GSTP1 staining of tumor cells. Scattered non-neoplastic collecting duct remnants show strong GSTP1 positivity.
Kidney – Papillary renal cell carcinoma with weak to moderate GSTP1 immunostaining of tumor cells.
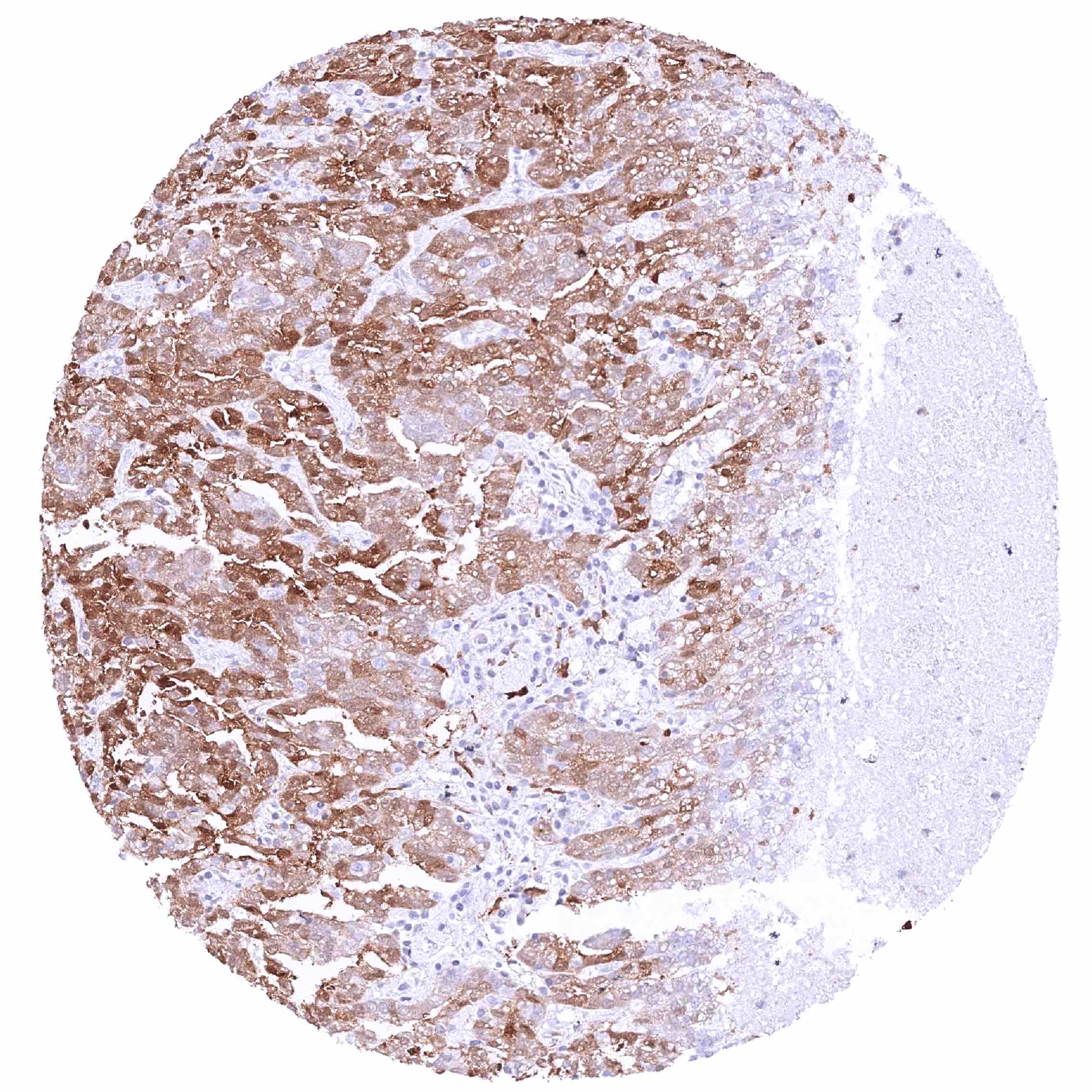
Lung – Adenocarcinoma with intense GSTP1 positivity of tumor cells.
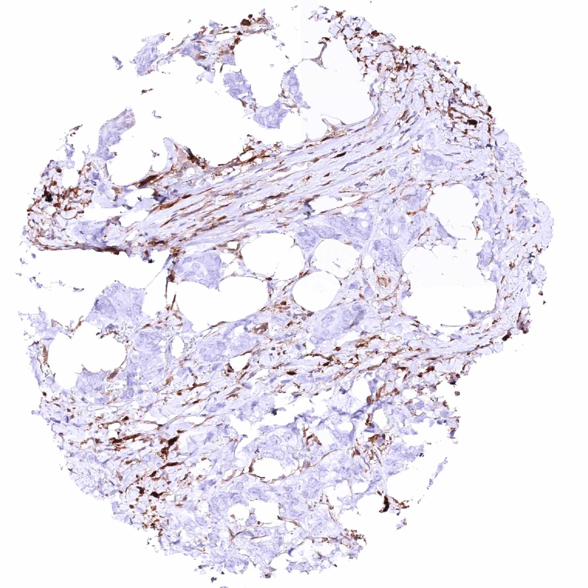
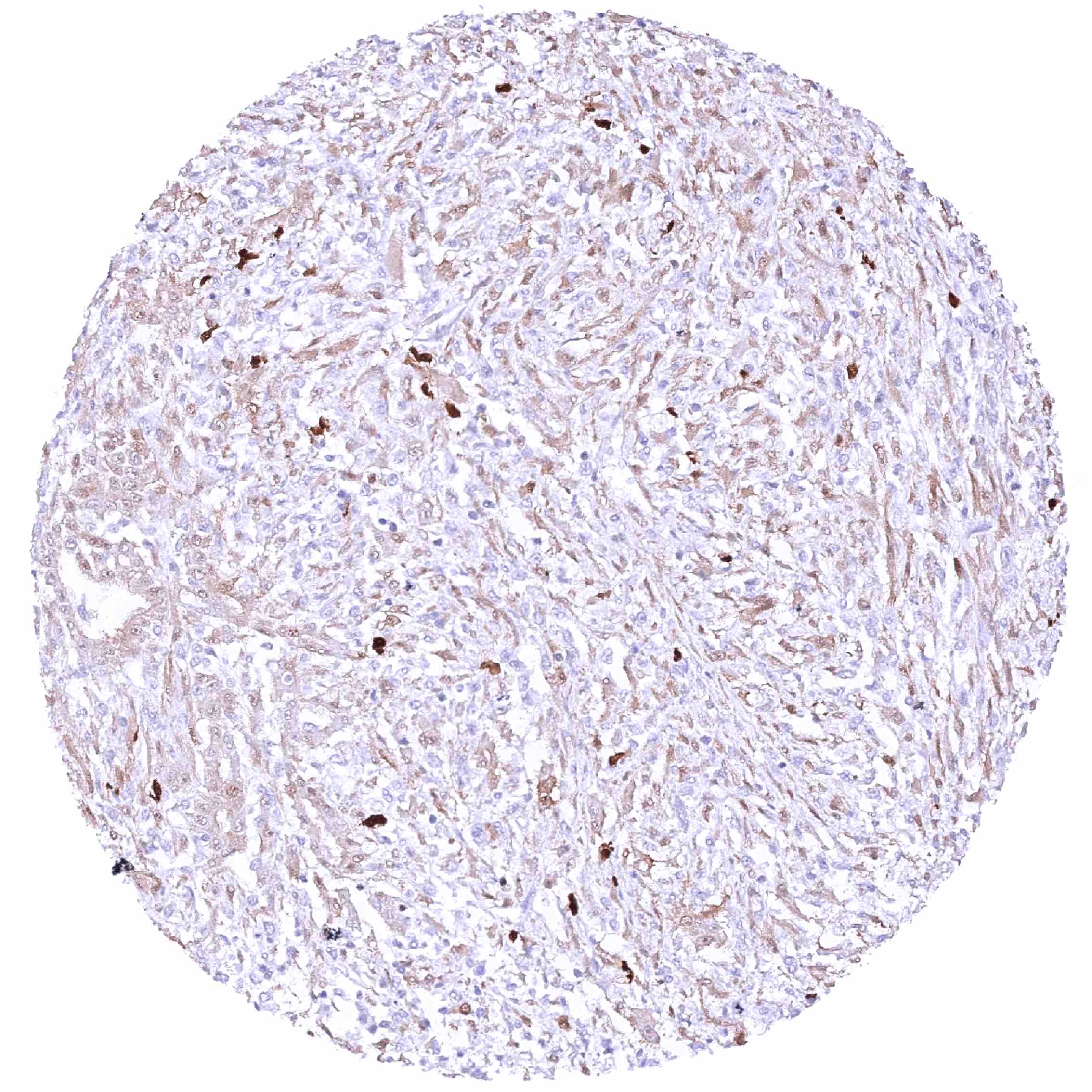
Lung – Malignant mesothelioma with faint GSTP1 staining of tumor cells.
Lung – Squamous cell carcinoma with intense GSTP1 staining of tumor cells.
Oral cavity – GSTP1 negative squamous cell carcinoma.
Ovary – Clear cell carcinoma with intense GSTP1 staining of tumor cells.
Ovary – Endometroid carcinoma with moderate to strong GSTP1 staining of tumor cells.
Ovary – Serous high-grade carcinoma with strong GSTP1 staining of tumor cells.
Pharynx – Squamous cell carcinoma with strong GSTP1 positivity of tumor cells.
Prostate – Adenocarcinoma (Gleason 4+4=8) with intense GSTP1 positivity of all tumor cells.
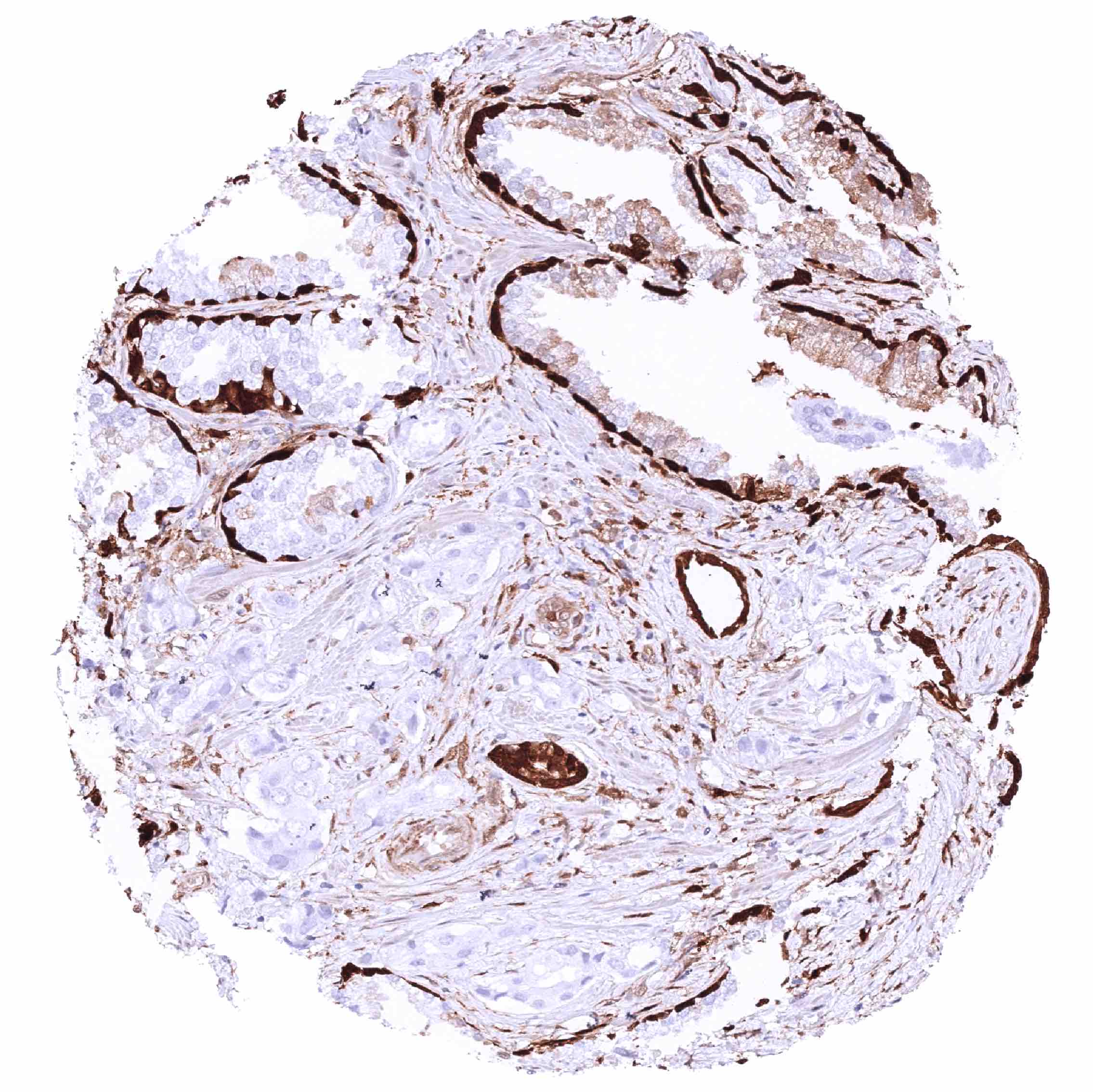
Prostate – GSTP1 negative adenocarcinoma (Gleason 3+4=7) next to non-neoplastic epithelial cells lined by basal cells with strong GSTP1 staining.
Prostate – GSTP1 negative adenocarcinoma (Gleason 4+3=7).
Prostate – GSTP1 negative adenocarcinoma (Gleason 4+4=8) next to non-neoplastic epithelial cells lined by basal cells with strong GSTP1 staining.
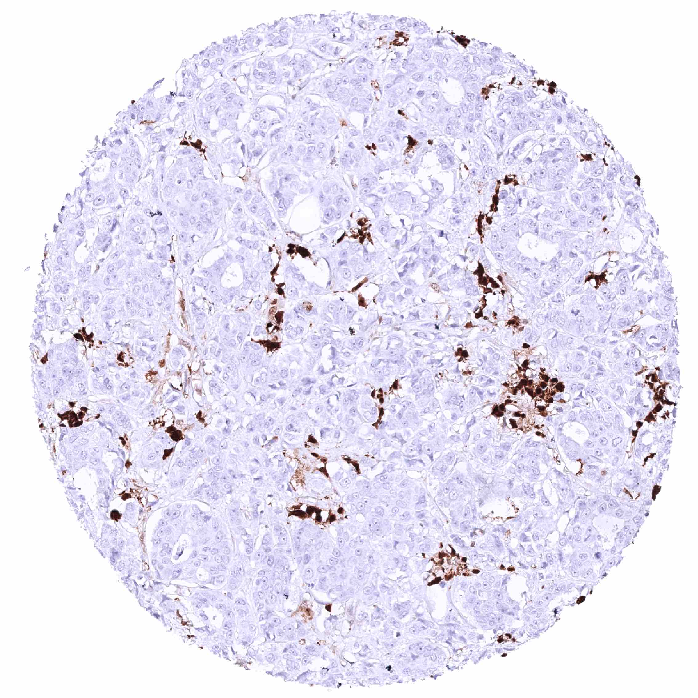
Testis – Seminoma with only a very faint GSTP1 staining of tumor cells.
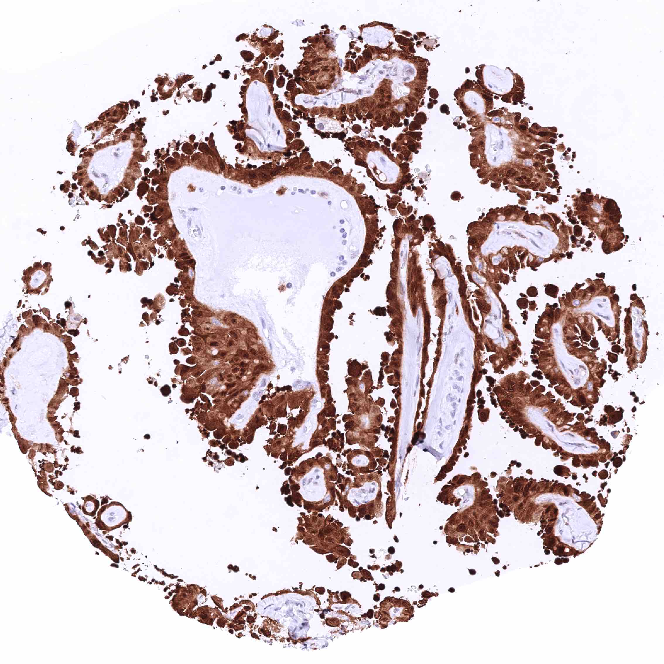
Thyroid – Papillary cancer with strong GSTP1 positivity of tumor cells.
Urinary bladder – Muscle-invasive urothelial carcinoma with heterogeneous, weak to strong GSTP1 staining of tumor cells.
Urinary bladder – Non-invasive urothelial carcinoma (low grade, pTaG2) with intense GSTP1 immunostaining of tumor cells. .jpeg
