Adrenal gland – Few scattered spindle shaped SOX10 positive cells between adrenal glandular cells.
Aorta, media
Appendix, mucosa – Few scattered spindle shaped SOX10 positive cells in the mucosa.
Appendix, muscular wall – A good number of scattered spindle shaped SOX10 positive cells between smooth muscle cells and ganglion cells.
Bone marrow
Breast – Moderate to strong nuclear SOX10 positivity of glandular cells (staining is somewhat weaker in myoepithelial cells).
Bronchus, mucosa – Bronchial glands show distinct nuclear SOX10 positivity. Scattered spindle shaped SOX10 positive cells in the stroma.
Cerebellum (white matter) – Strong nuclear SOX10 positivity of most glia cells.
Cerebellum, cortex (molecular layer, Purkinje cell layer, granule cell layer) – Strong nuclear SOX10 positivity of glia cells.
Cerebrum (grey matter) – Strong nuclear SOX10 positivity of most glia cells.
Cerebrum (white matter) – Strong nuclear SOX10 positivity of most glia cells.
Colon descendens, mucosa – Few scattered spindle shaped SOX10 positive cells in the mucosa.
Colon descendens, muscular wall
Duodenum, Brunner gland – Few scattered spindle shaped SOX10 positive cells adjacent to Brunner glands.
Duodenum, mucosa – Few scattered spindle shaped SOX10 positive cells in the mucosa.
Epididymis (Caput)
Esophagus, muscular wall – A good number of scattered spindle shaped SOX10 positive cells amongst smooth muscle cells and nerves.
Esophagus, squamous epithelium
Fallopian tube, mucosa
Fat
Gallbladder, epithelium – Few scattered spindle shaped SOX10 positive cells in the mucosa.
Heart muscle
Ileum, mucosa – Few scattered spindle shaped SOX10 positive cells in the mucosa.
Ileum, muscularis
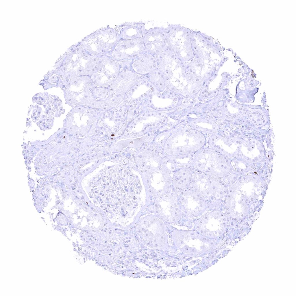
Kidney, cortex – Few scattered spindle shaped SOX10 positive cells between tubuli.
Kidney, medulla
Kidney, pelvis, muscular wall – Very few scattered spindle shaped SOX10 positive cells between smooth muscle cells.
Kidney, pelvis, urothelium
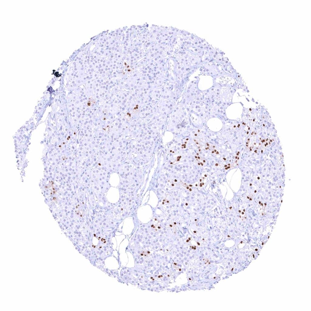
Liver – Few scattered spindle shaped SOX10 positive cells in portal fields.
Lung
Lymph node
Ovary, stroma – Few scattered spindle shaped SOX10 positive cells between stroma cells.
Pancreas – Few scattered SOX10 positive spindle shaped cells in the stroma.
Pancreas – Few scattered SOX10 positive spindle shaped cells in the stroma. (2)
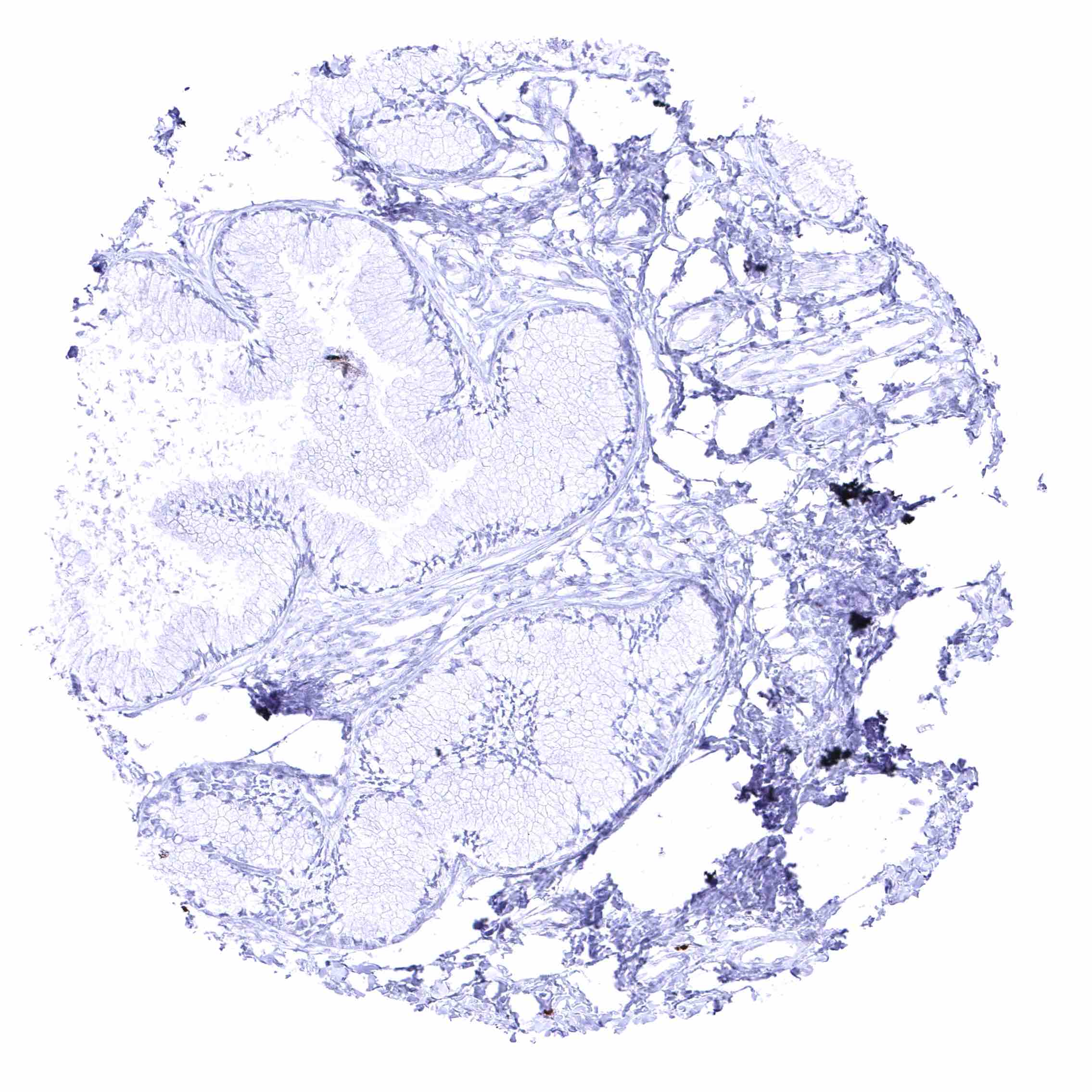
Parathyroid gland – Numerous scattered spindle shaped SOX10 positive cells between epithelial cells.
Parotid gland – Moderate to strong SOX10 positivity of glandular cells while ductal cells are SOX10 negative.
Pituitary gland, anterior lobe
Pituitary gland, posterior lobe
Placenta (chorion)
Placenta, early
Placenta, mature
Prostate – Few scattered spindle shaped SOX10 positive cells in the stroma.
Rectum, mucosa – Few scattered spindle shaped SOX10 positive cells in the mucosa.
Seminal vesicle, stroma – Few scattered spindle shaped SOX10 positive cells in the stroma.
Seminal vesicle
Sinus paranasales
Skeletal muscle – Few scattered spindle shaped SOX10 positive cells in the stroma.
Skin – Numerous melanocytes show SOX10 positivity.
Skin, hairfollicel
Skin, sebaceous and eccrine glands – Moderate to strong SOX10 positivity of the cells of eccrine glands.
Spleen
Stomach, antrum – Few scattered spindle shaped SOX10 positive cells along gastric glands.
Stomach, antrum – Few scattered spindle shaped SOX10 positive cells along gastric glands. (2)
Stomach, corpus – Few scattered spindle shaped SOX10 positive cells along gastric glands.
Stomach, muscular wall – A good number of scattered spindle shaped SOX10 positive cells along smooth muscle cells and nerves.
Sublingual gland – Strong SOX10 positivity of glandular cells while ductal cells are SOX10 negative.
Submandibular gland – Strong SOX10 positivity of glandular cells while ductal cells are SOX10 negative.
Testis
Thymus
Thyroid gland
Tonsil, surface epithelium
Tonsil
Urinary bladder, muscular wall – Very few scattered spindle shaped SOX10 positive cells between smooth muscle cells.
Urinary bladder, urothelium
Uterus, ectocervix
Uterus, endocervix
Uterus, endometrium (pregnancy).jpeg
Uterus, endometrium (proliferation)
Uterus, endometrium (secretion)
Uterus, myometrium – Few scattered spindle shaped SOX10 positive cells in the stroma.
