Adrenal gland
Anal canal, skin – The intensity of nuclear TRIM28 staining decreases slightly from the basal to the top cell layers
Aorta, media
Bone marrow
Breast
Bronchus, mucosa
Cerebellum (white matter)
Cerebellum, cortex (molecular layer, Purkinje cell layer, granule cell layer)
Cerebrum, grey matter (2)
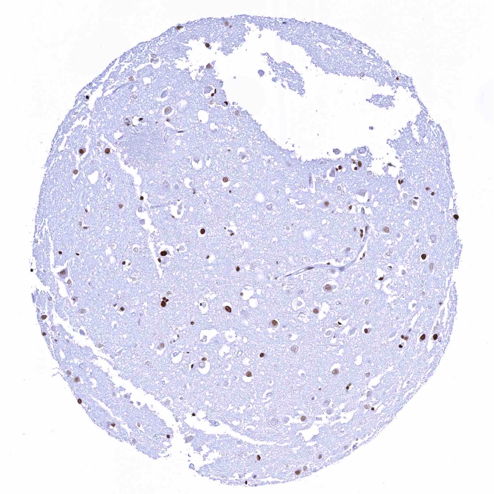
Cerebrum, grey matter
Cerebrum, white matter
Colon descendens, mucosa – The intensity of nuclear TRIM28 staining decreases slightly from the crypt base to the surface epithelium
Colon descendens, mucosa
Colon descendens, muscular wall
Duodenum, Brunner gland
Duodenum, mucosa
Epididymis (Cauda)
Epididymis (Corpus)
Esophagus, squamous epithelium – The intensity of nuclear TRIM28 staining decreases slightly from the basal to the top cell layers
Fallopian tube, mucosa
Fat
Gallbladder, epithelium
Heart muscle – Strong nuclear TRIM28 staining of all cells
Ileum, mucosa
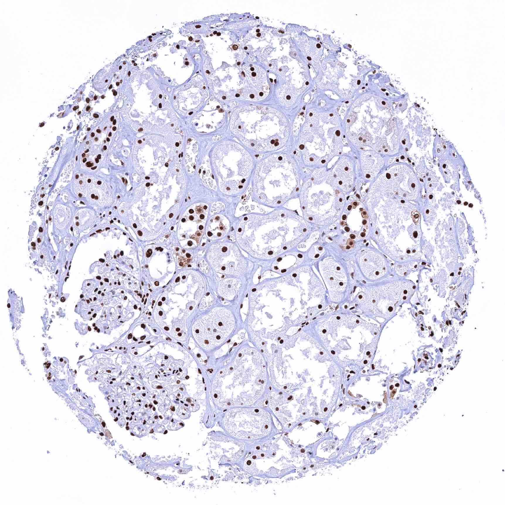
Kidney, cortex
Kidney, medulla
Liver – Nuclear TRIM28 staining is absent in hepatocytes but strong in other cell types of this sample
Liver – Nuclear TRIM28 staining is largely absent in hepatocytes of this sample
Lung
Ovary, corpus luteum
Ovary, stroma – Strong nuclear TRIM28 staining of all cells
Pancreas
Parathyroid gland
Parotid gland
Pituitary gland, anterior lobe
Pituitary gland, posterior lobe
Placenta (amnion and chorion)
Placenta, early
Placenta, mature
Prostate
Rectum, mucosa – The intensity of nuclear TRIM28 staining decreases slightly from the crypt base to the surface epithelium
Seminal vesicle
Sinus paranasales
Skeletal muscle
Skin, hairfollicel and sebaceous glands
Skin
Spleen
Stomach, antrum
Submandibular gland
Testis – Strong nuclear TRIM28 staining in all cells. Exception- Spermatids are TRIM28 negative
Thymus
Tonsil (2)
Tonsil, surface epithelium – The intensity of nuclear TRIM28 staining decreases slightly from the basal to the top cell layers
Tonsil
Urinary bladder, muscular wall
Urinary bladder, urothelium
Uterus, ectocervix
Uterus, endocervix
Uterus, endometrium (pregnancy)
Uterus, endometrium (proliferation)
Uterus, endometrium (secretion) (2)
Uterus, endometrium (secretion)
Uterus, myometrium – Strong nuclear TRIM28 staining of all cells
