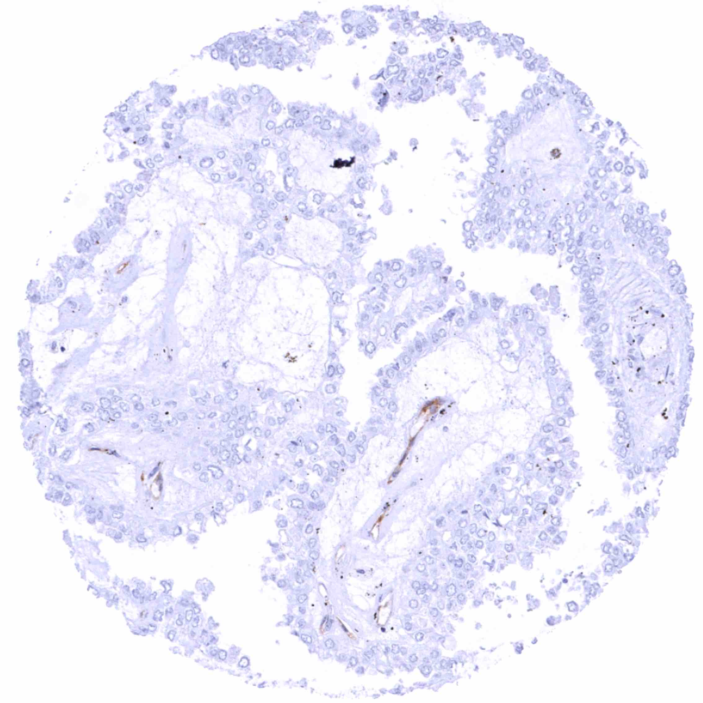
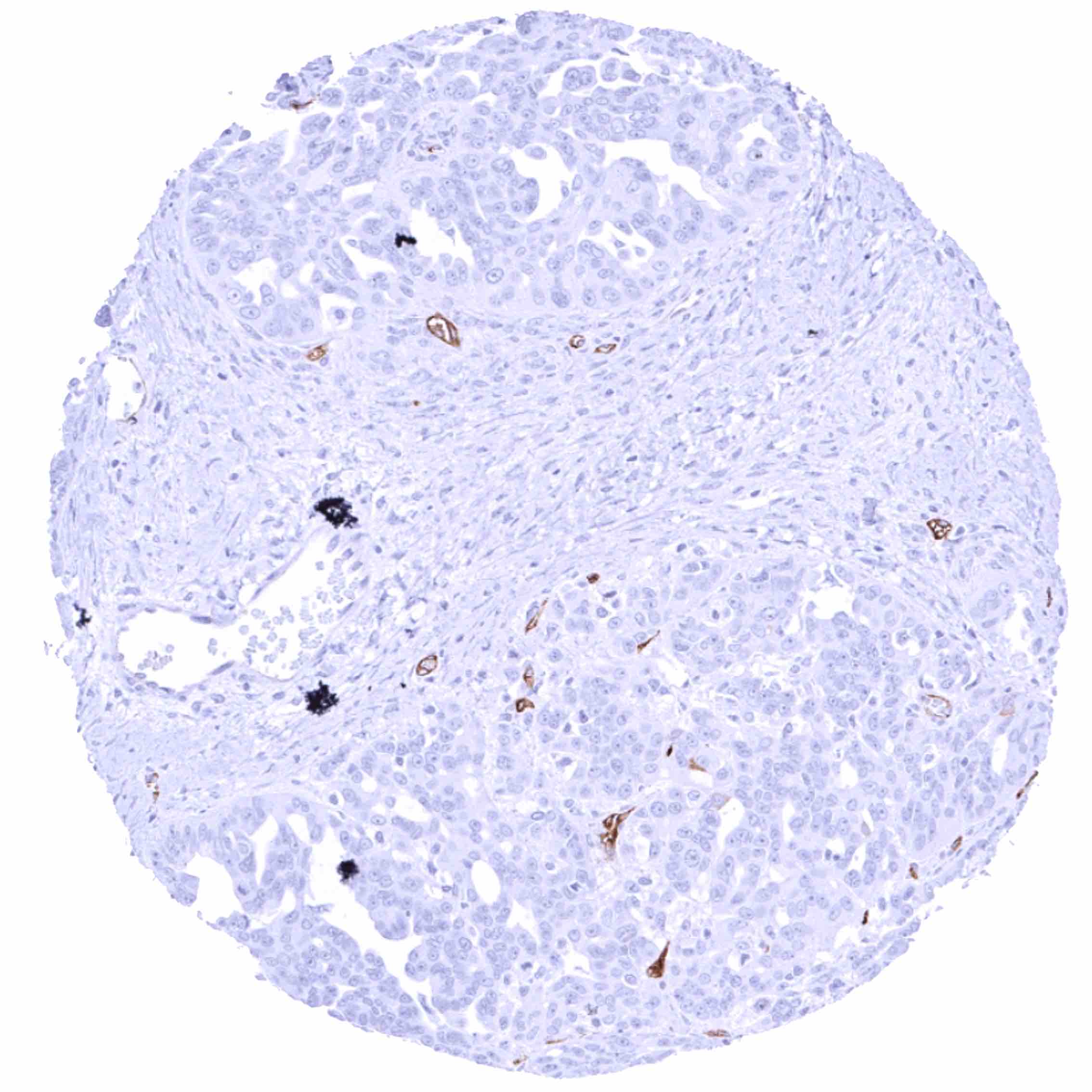
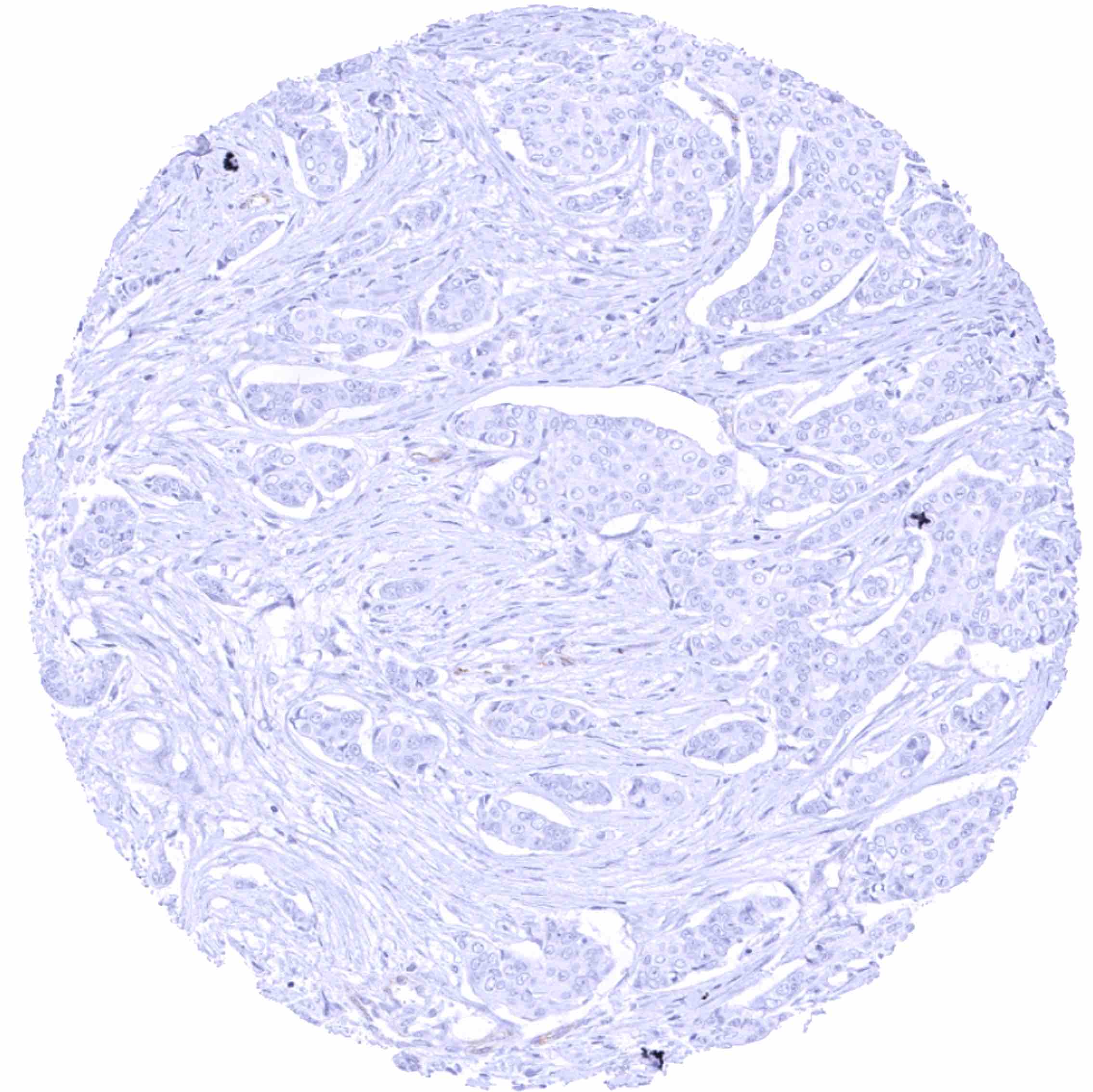
Breast – PSMA negative invasive breast cancer of no special type (NST).
Breast – PSMA negative invasive lobular breast cancer. Distinct PSMA positivity of endothelial cells of few intratumoral small vessels.
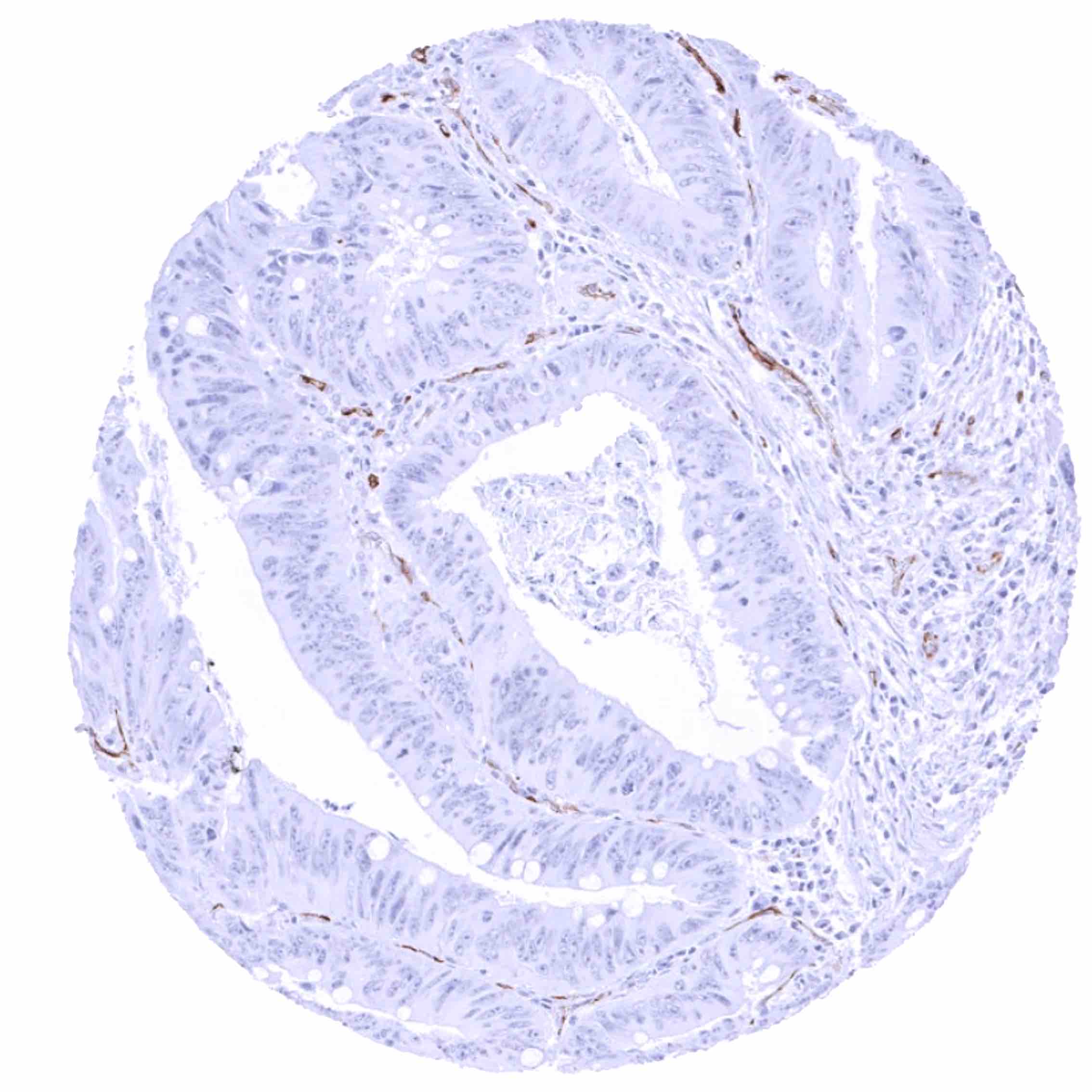
Colon – PSMA negative colorectal adenocarcinoma.
Colon – PSMA negative colorectal adenocarcinoma. Distinct PSMA positivity of endothelial cells of intratumoral small vessels.
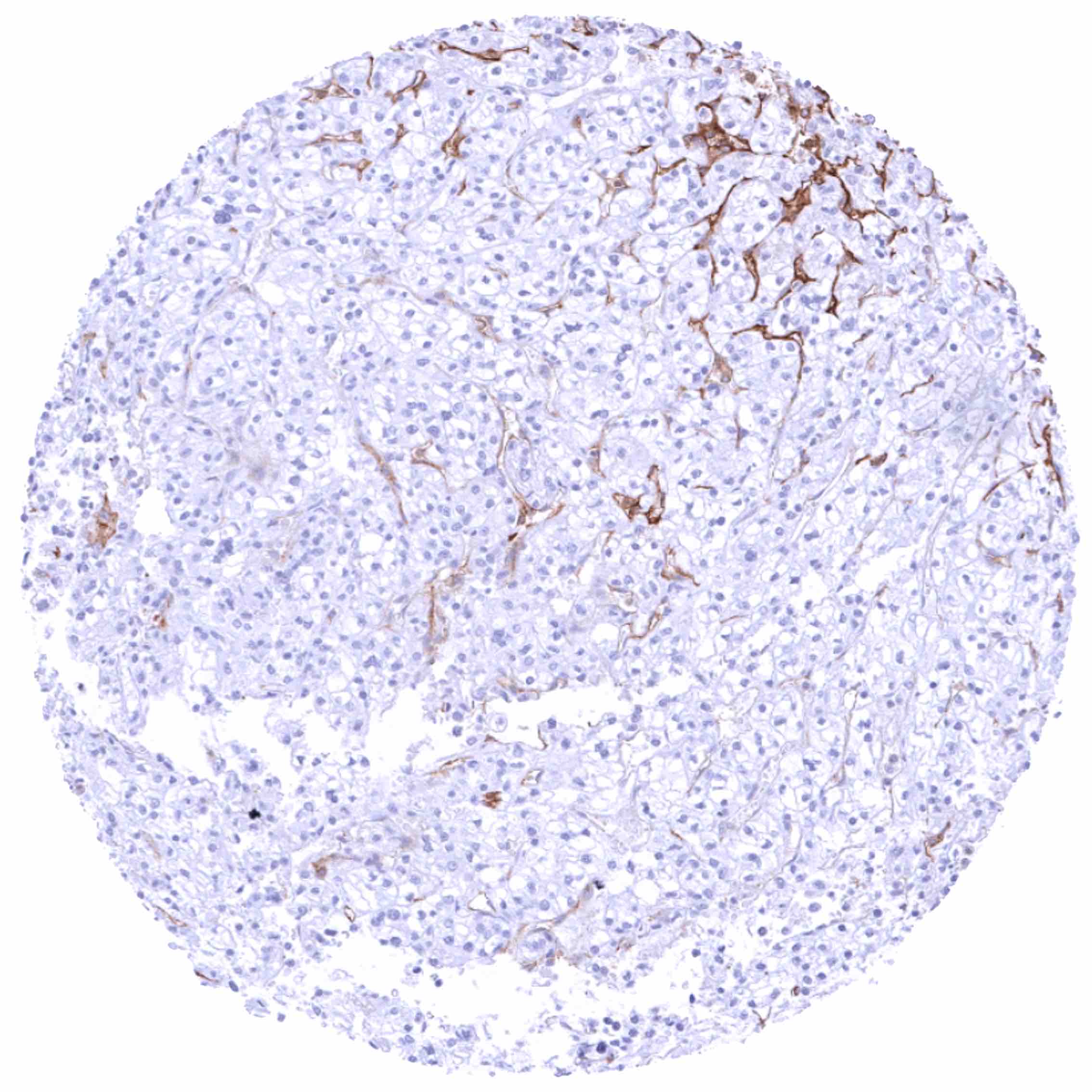
Kidney – PSMA negative clear cell carcinoma. Strong PSMA positivity of endothelial cells of many intratumoral small vessels.
Kidney – PSMA negative oncocytoma. Strong PSMA positivity of endothelial cells of intratumoral small vessels.
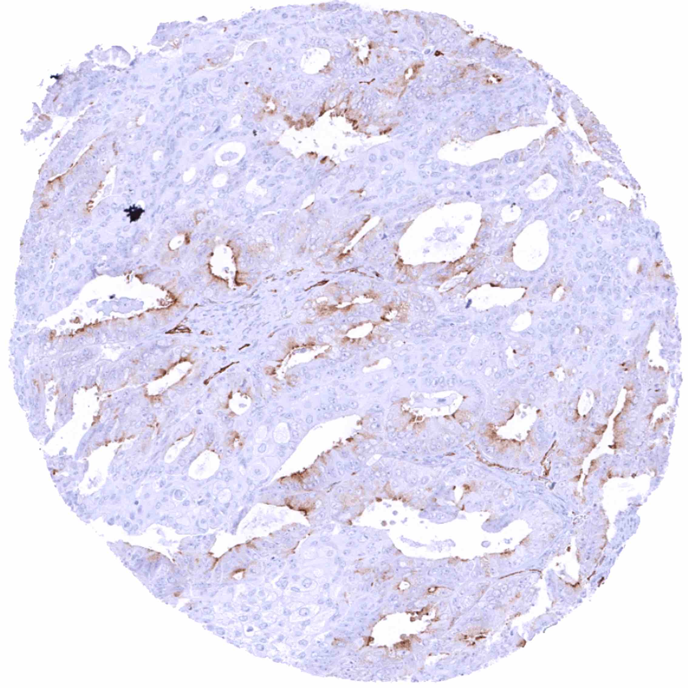
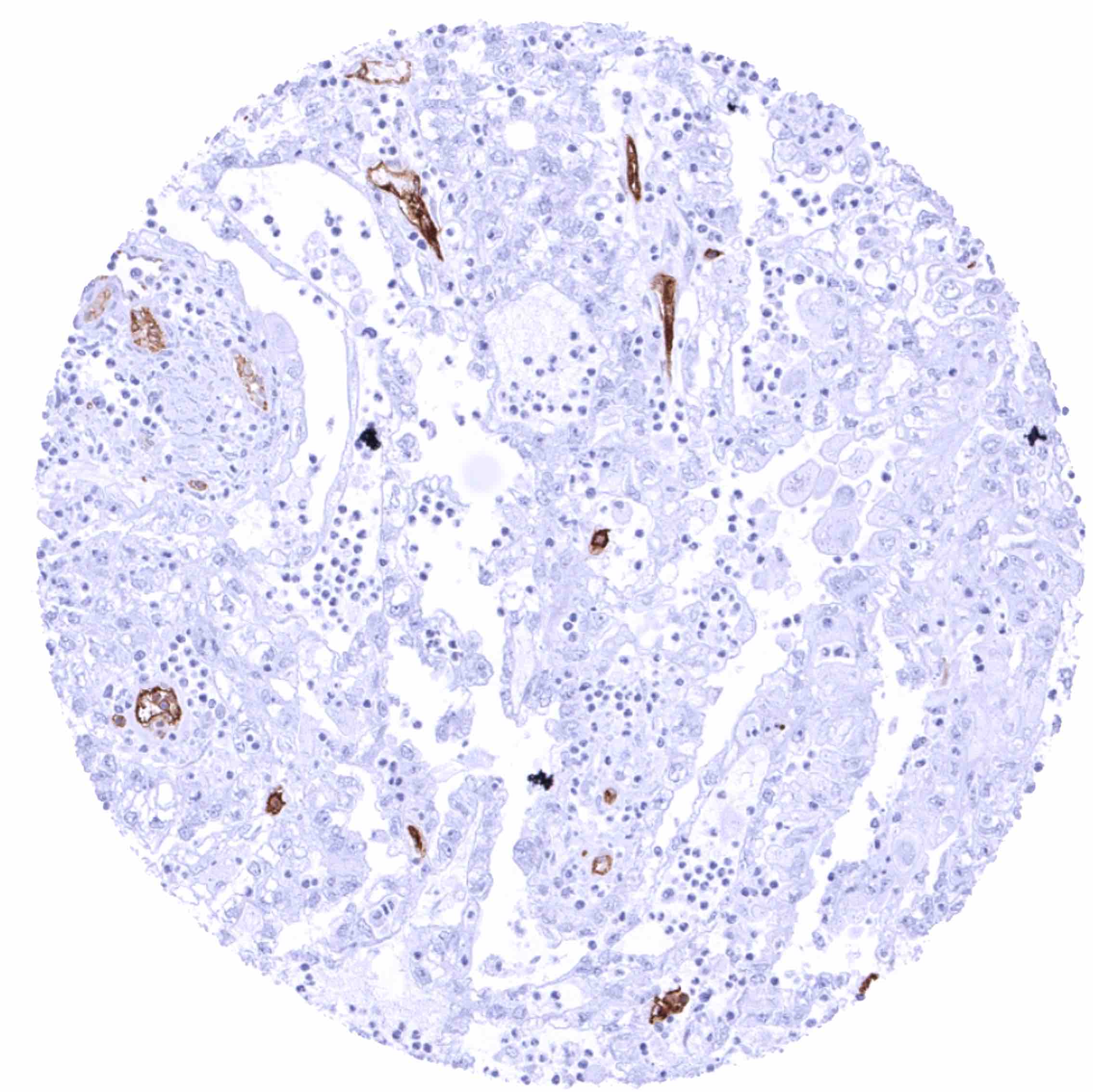
Kidney – PSMA negative papillary renal cell carcinoma.
Lung – PSMA negative adenocarcinoma. Distinct PSMA positivity of endothelial cells of few intratumoral small vessels.
Lung – PSMA negative malignant mesothelioma (epitheloid). Distinct PSMA staining of endothelial cells of several intratumoral small vessels.
Lung – PSMA negative squamous cell carcinoma. Distinct PSMA positivity of endothelial cells of few intratumoral small vessels.
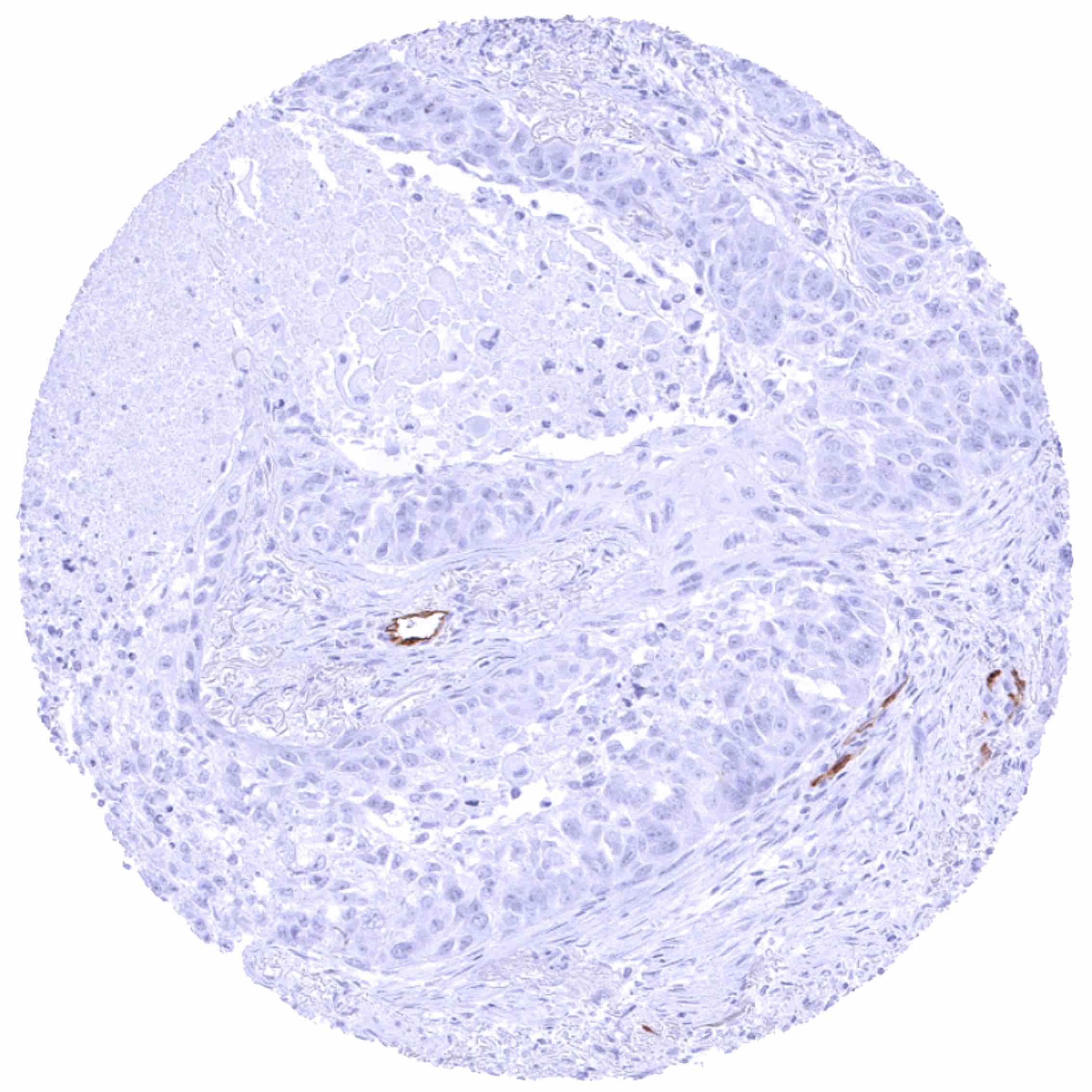
Oral cavity – PSMA negative squamous cell carcinoma.
Ovary – Endometroid carcinoma with a moderate to strong PSMA staining of luminal membranes of a fraction of tumor cells.
Ovary – PSMA negative clear cell carcinoma. Distinct PSMA positivity of endothelial cells of few intratumoral small vessels.
Ovary – PSMA negative clear cell carcinoma. Strong PSMA positivity of endothelial cells of intratumoral small vessels.
Ovary – PSMA negative serous high-grade carcinoma. Distinct PSMA positivity of endothelial cells of few intratumoral small vessels.
Prostate – Adenocarcinoma (Gleason 3+3=6) with strong apical membranous and also cytoplasmic PSMA staining of cancer cells.
Prostate – Adenocarcinoma (Gleason 3+3=6) with weak to moderate apical membranous and cytoplasmic PSMA staining of tumor cells.
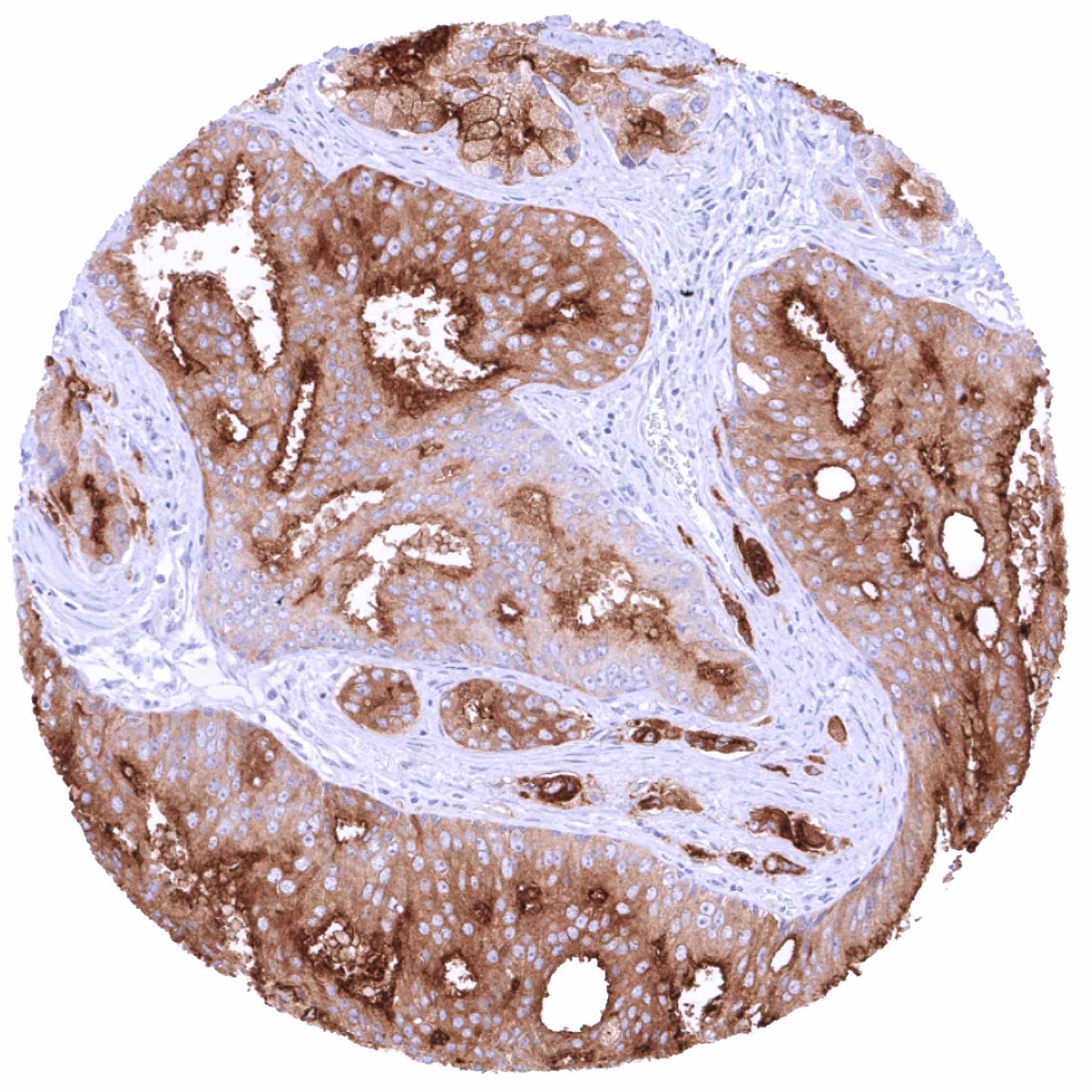
Prostate – Adenocarcinoma (Gleason 4+3=7) with strong PSMA positivity (apical membranous and cytoplasmic) of all tumor cells.
Prostate – Adenocarcinoma (Gleason 4+3=7) with strong PSMA positivity of tumor cells.
Prostate – Adenocarcinoma (Gleason 4+3=7) with strong PSMA staining of all tumor cells.
Prostate – Mucinous adenocarcinoma (Gleason 4+4=8) with strong PSMA positivity of all tumor cells.
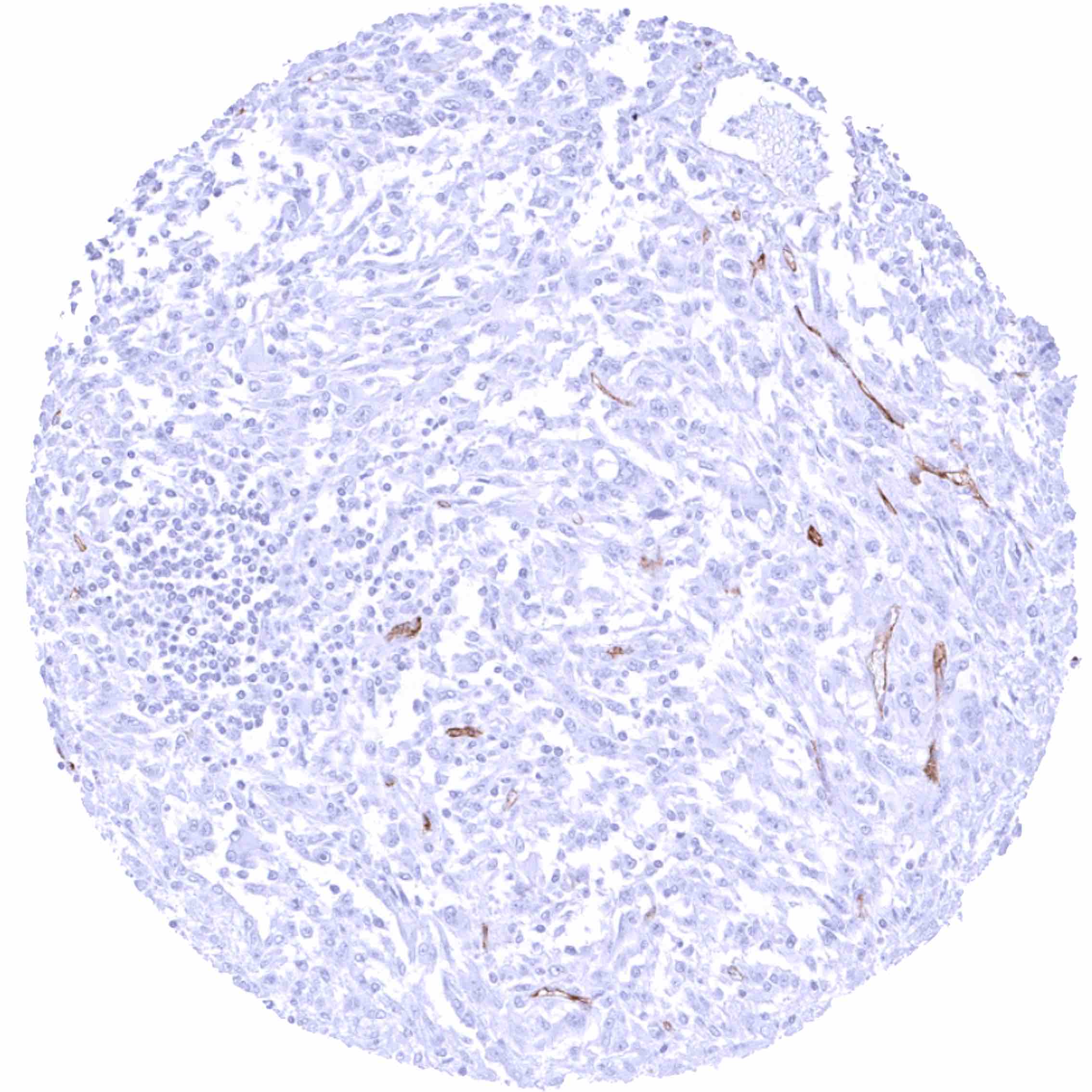
Testis – PSMA negative seminoma.
Thyroid – PSMA negative papillary carcinoma. Distinct PSMA positivity of endothelial cells of intratumoral small vessels.
Urinary bladder – PSMA negative muscle-invasive urothelial carcinoma. Distinct PSMA positivity of endothelial cells of few small vessels.
Urinary bladder – PSMA negative non-invasive papillary urothelial carcinoma (pTa). Distinct PSMA positivity of endothelial cells of few intratumoral small vessels.
