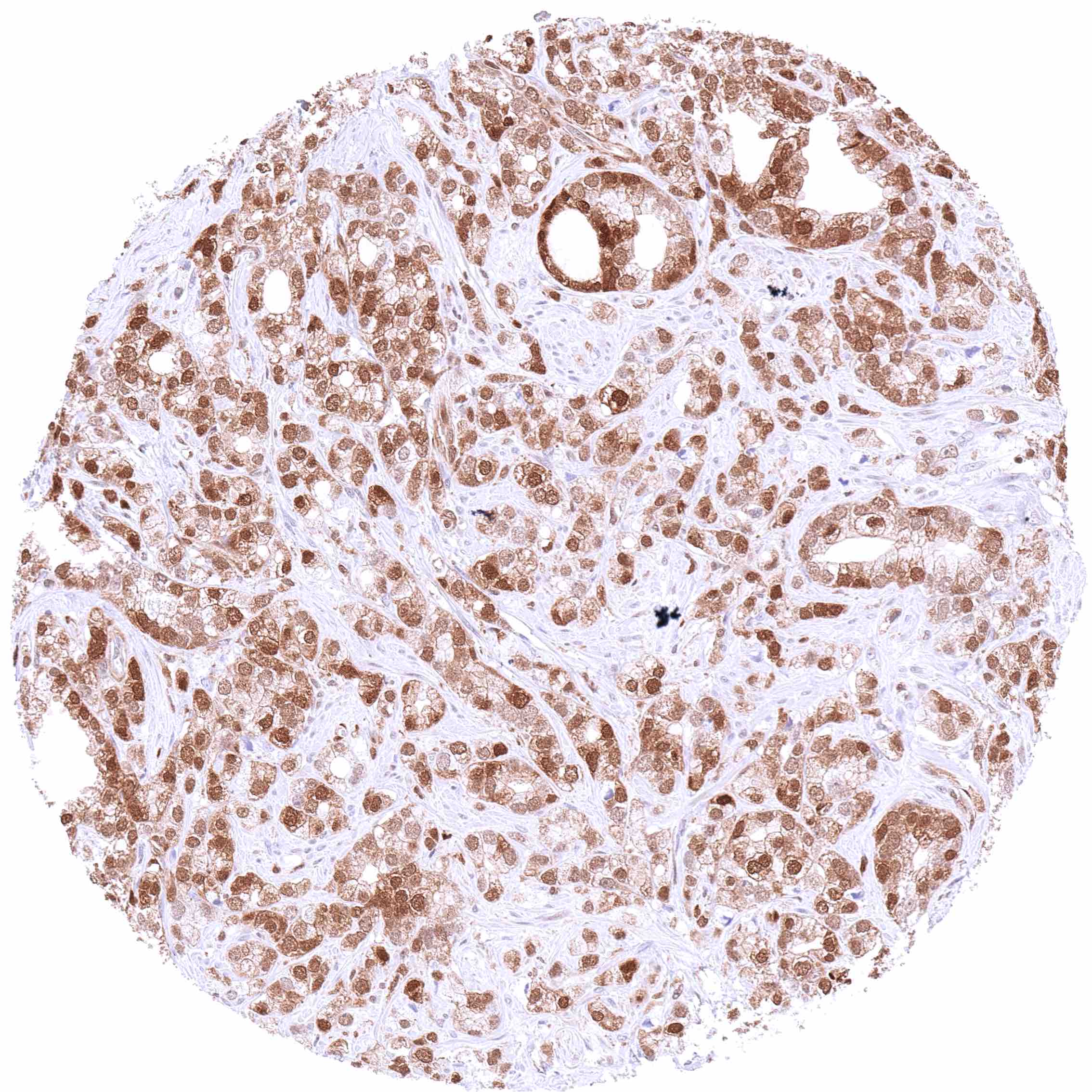
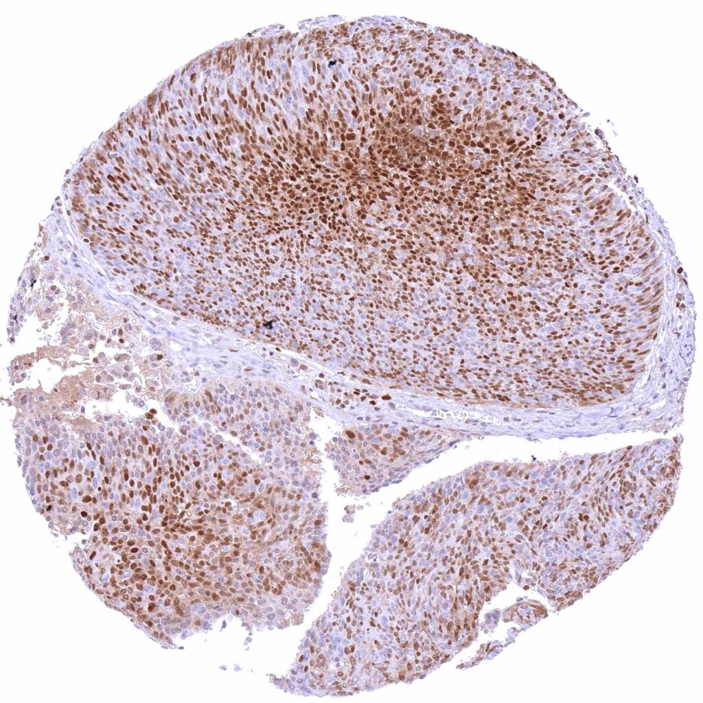
Adrenal gland – Adrenocortical carcinoma with strong nuclear p27 staining of all tumor cells.
Adrenal gland – Pheochromocytoma with a weak to moderate, predominantly nuclear p27 staining of tumor cells.
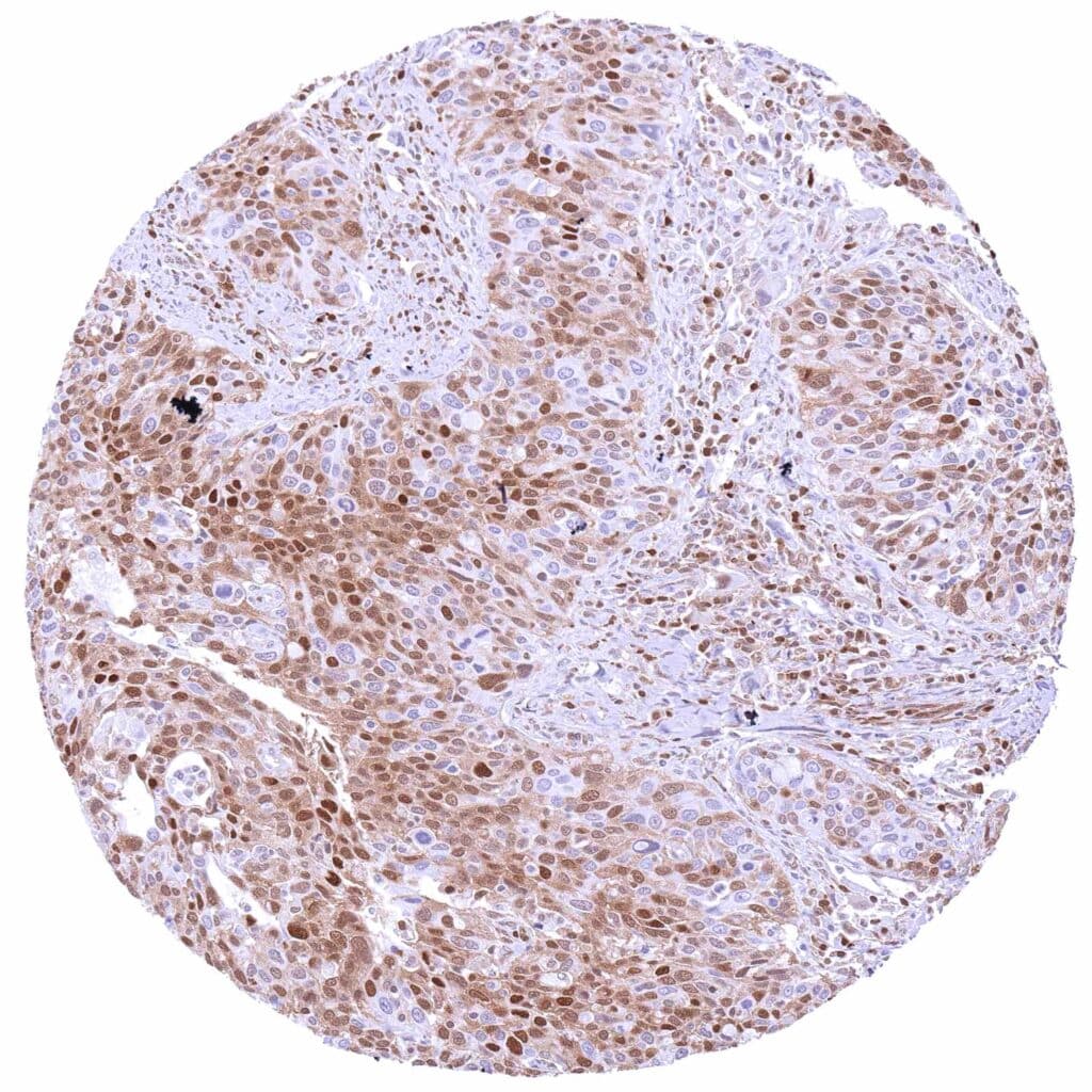
Breast – Invasive breast cancer of no special type (NST) with strong p27 staining of tumor cells.
Breast – Invasive lobular breast cancer with strong nuclear and cytoplasmic p27 staining of tumor cells.
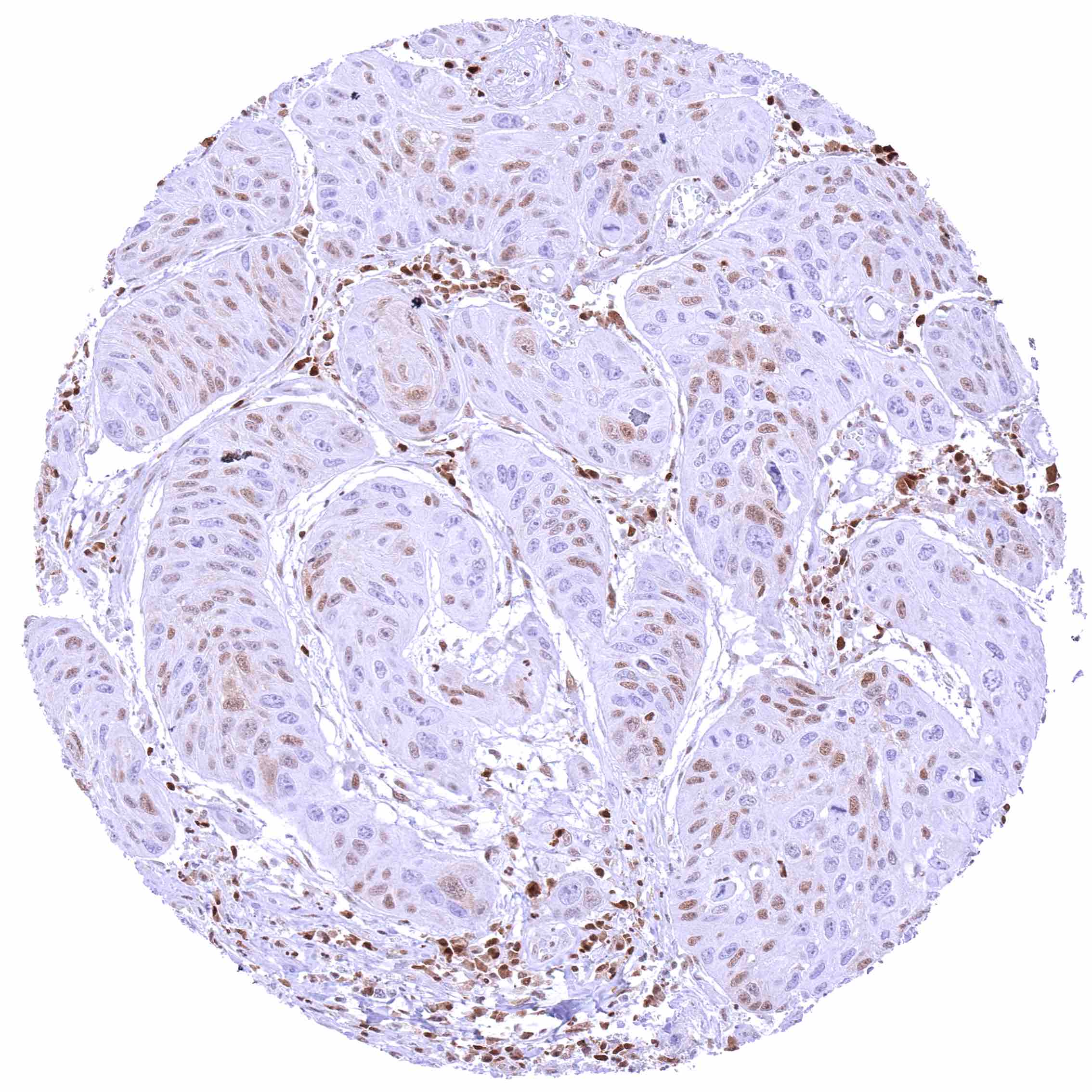
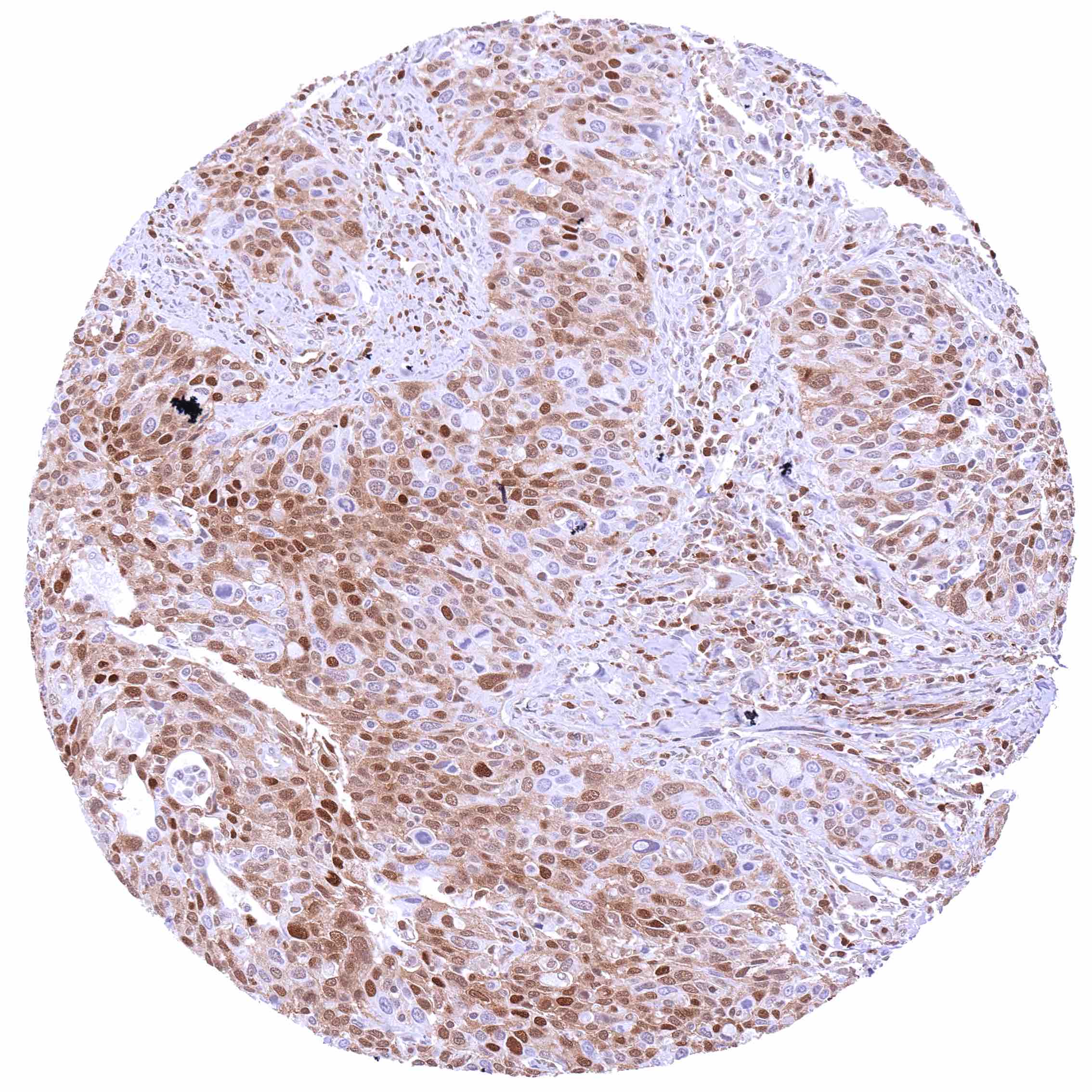
Colon – Colorectal adenocarcinoma with weak to strong, nuclear and cytoplasmic p27 staining of most tumor cells.
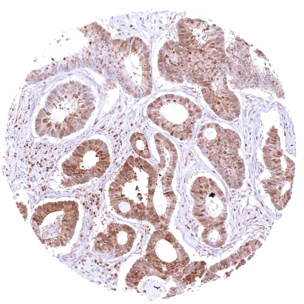
Esophagus – Adenocarcinoma with moderate to strong, predominantly nuclear p27 staining of tumor cells.
Esophagus – Squamous cell carcinoma with variable, weak to strong p27 positivity of tumor cells.
Kidney – Chromophobe renal cell carcinoma with distinct nuclear p27 staining of all tumor cells.
Kidney – Clear cell renal cell carcinoma with weak to moderate, predominantly nuclear p27 staining of tumor cells.
Kidney – Oncocytoma with weak to moderate nuclear p27 staining of tumor cells. A strong cytoplasmic and nuclear p27 staining is also seen in stroma cells (especially in endothelial cells).
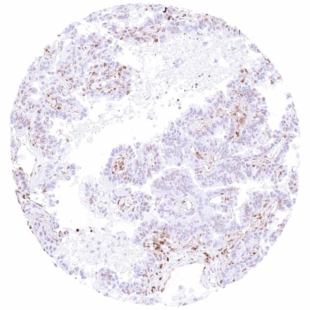
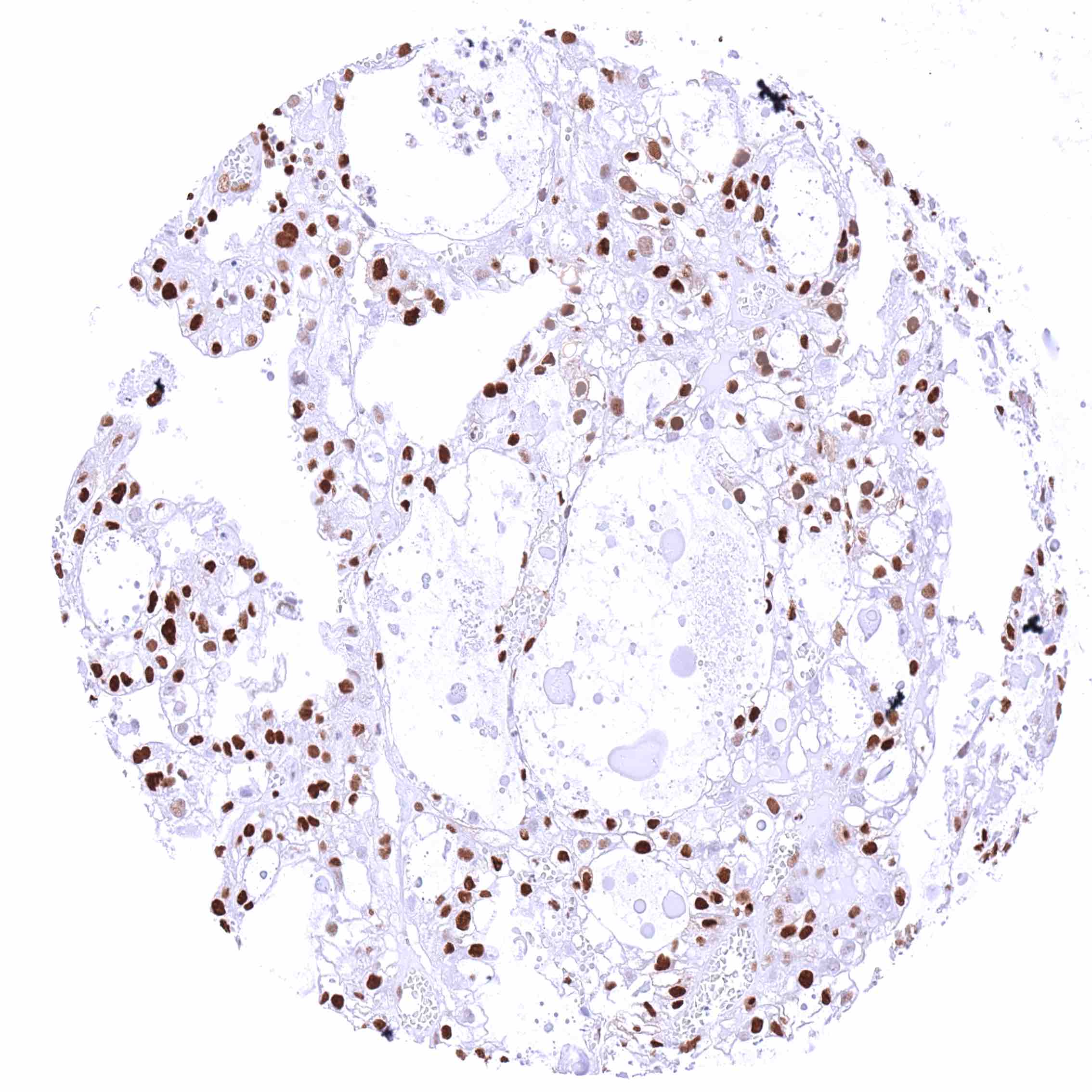
Kidney – Papillary renal cell carcinoma with moderate to strong nuclear and cytoplasmic p27 staining of tumor cells.
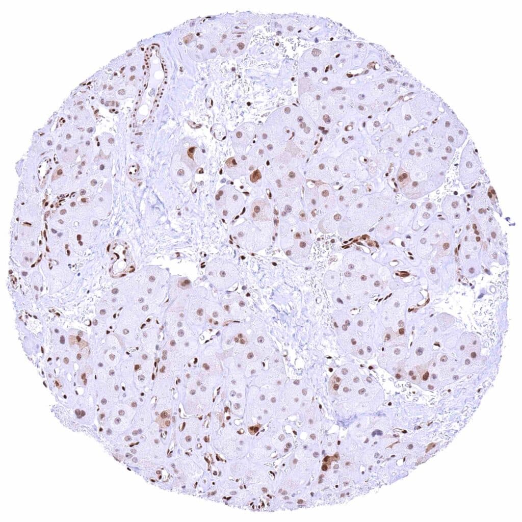
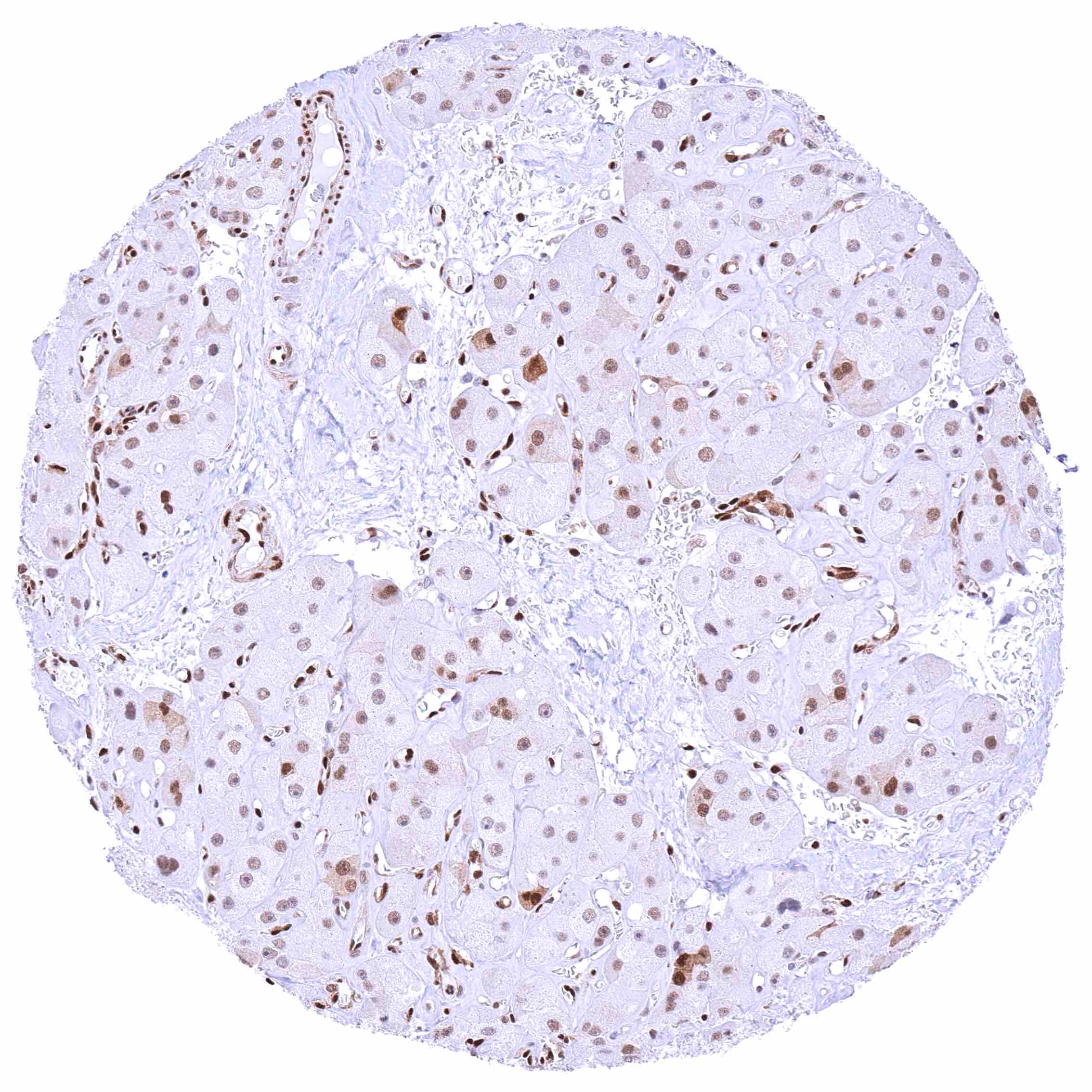
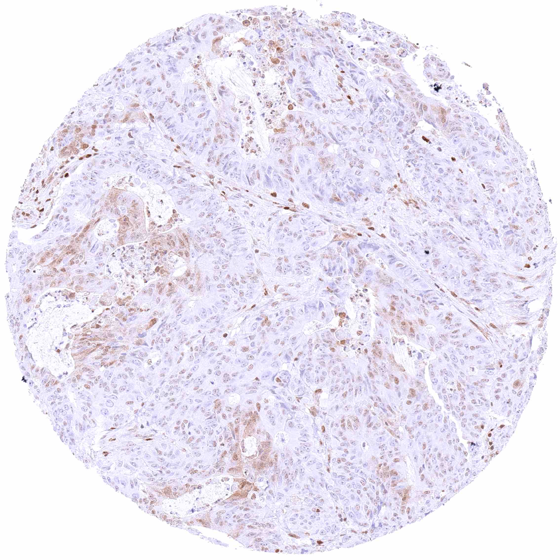
Liver – Hepatocellular carcinoma with weak to moderate, predominantly cytoplasmic p27 staining of a fraction of tumor cells.
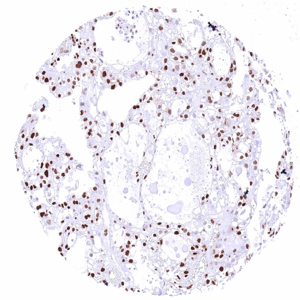
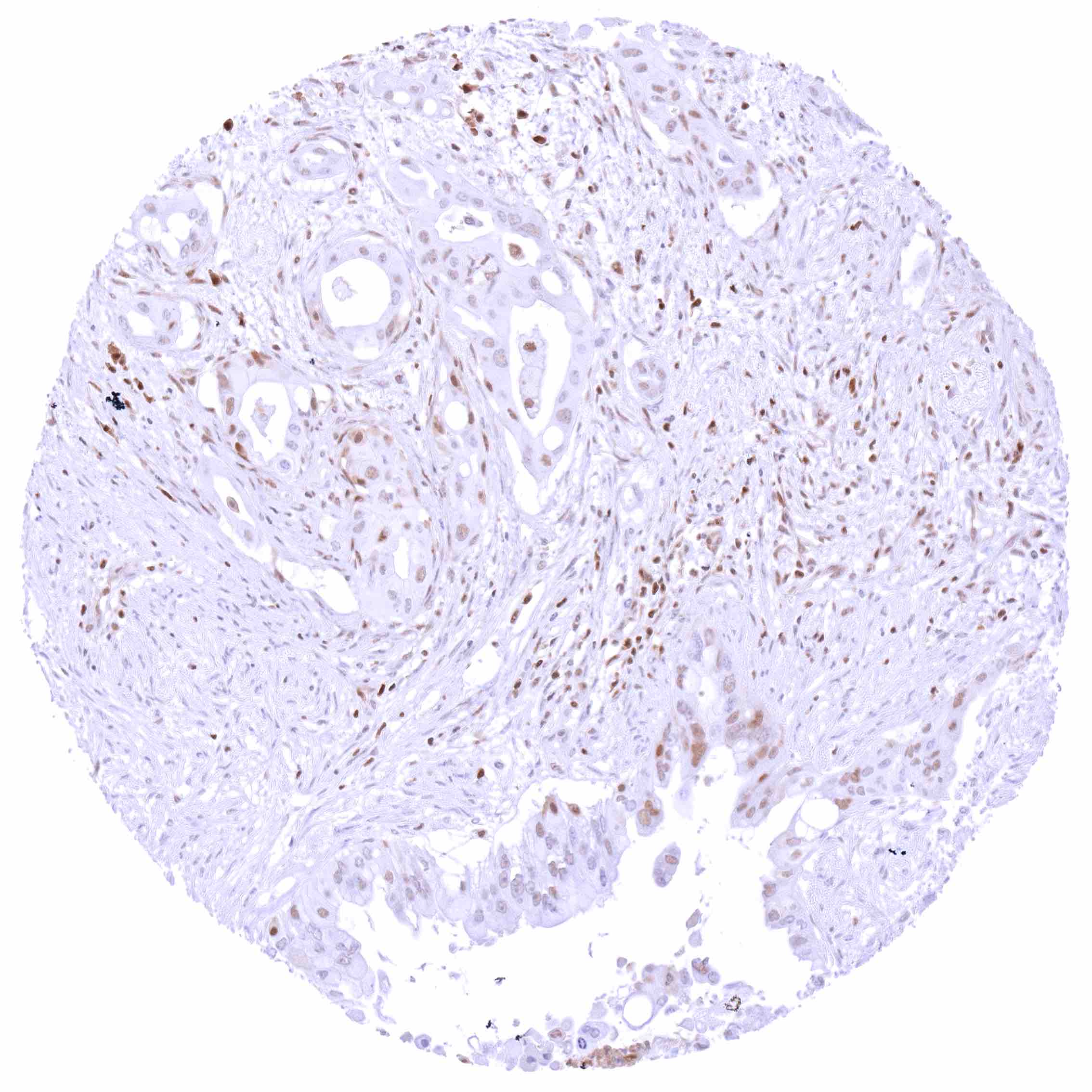
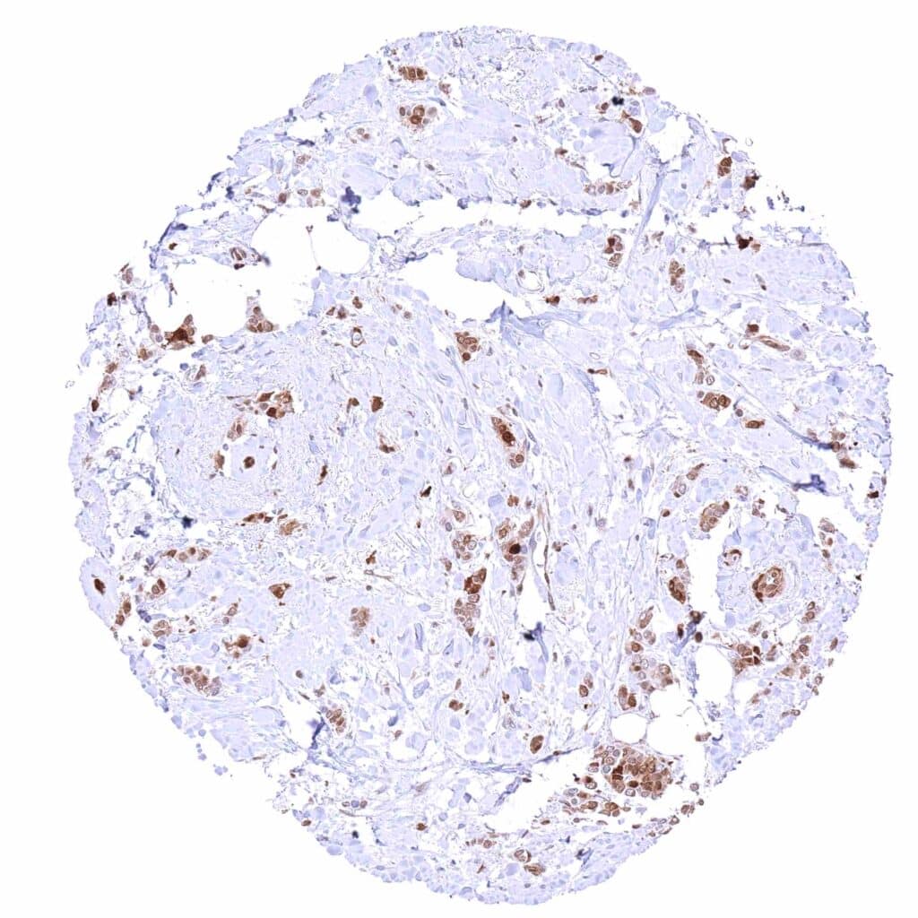
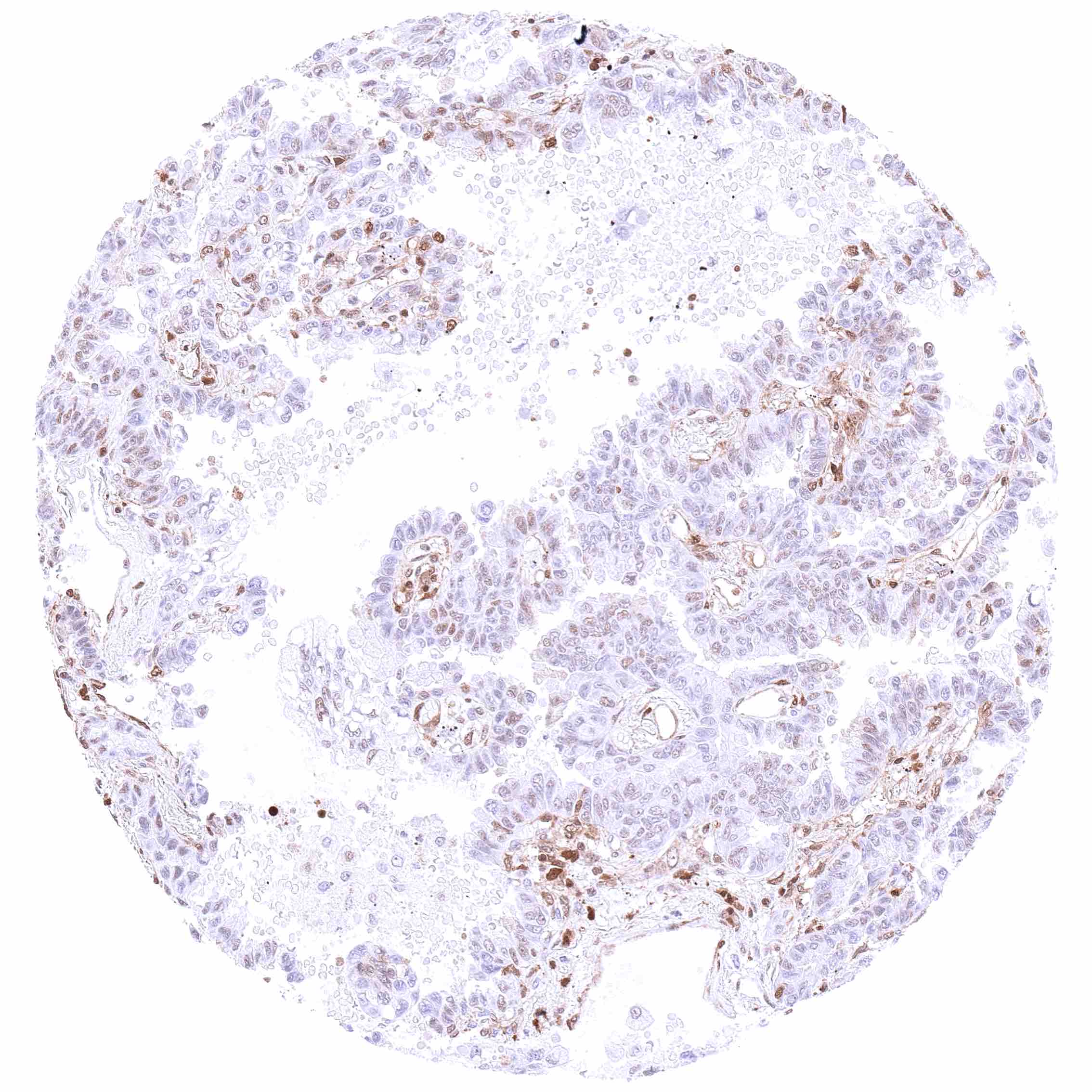
Lung – Adenocarcinoma with faint p27 staining of few tumor cells. Strong p27 positivity of stroma cells.
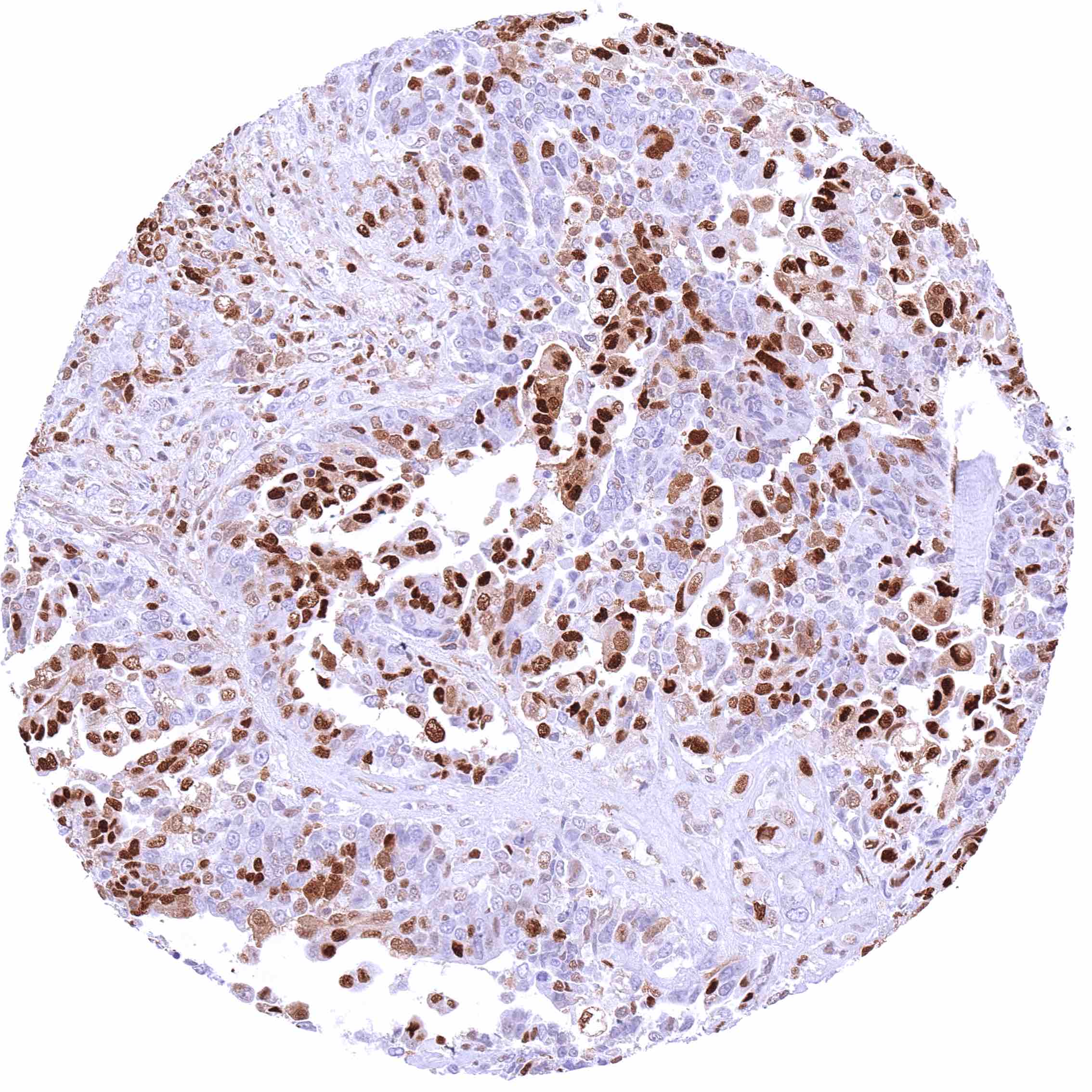
Lung – Adenocarcinoma with strong, predominantly nuclear p27 staining of most tumor cells.
Lung – Squamous cell carcinoma with weak to moderate, predominantly nuclear p27 positivity of tumor cells. Strong p27 staining of abundant stroma cells.
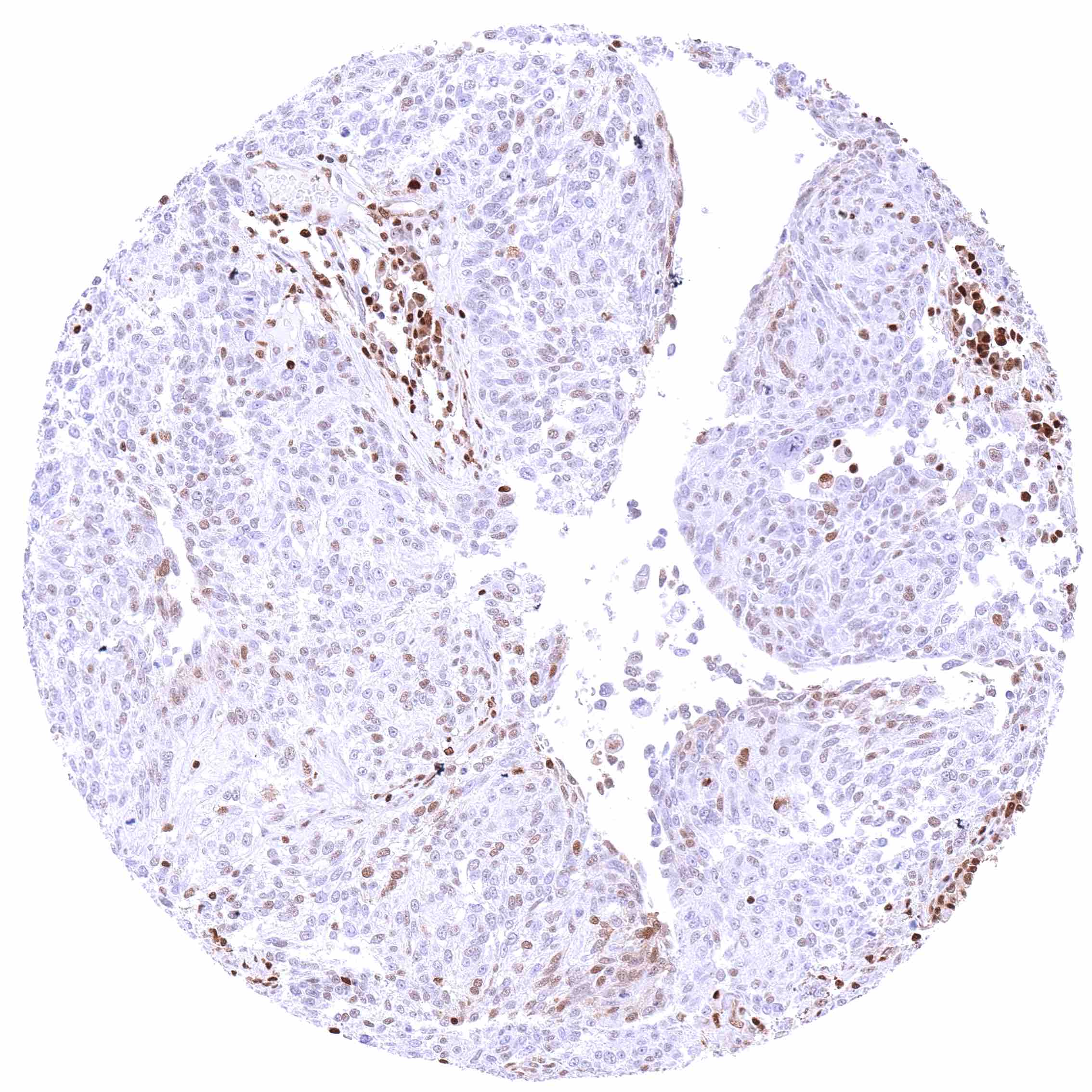
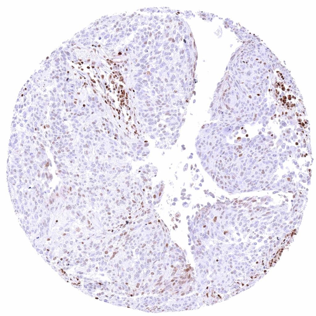
Lung – Squamous cell carcinoma with weak, predominantly nuclear p27 positivity of only few tumor cells. Strong p27 staining of stroma cells.
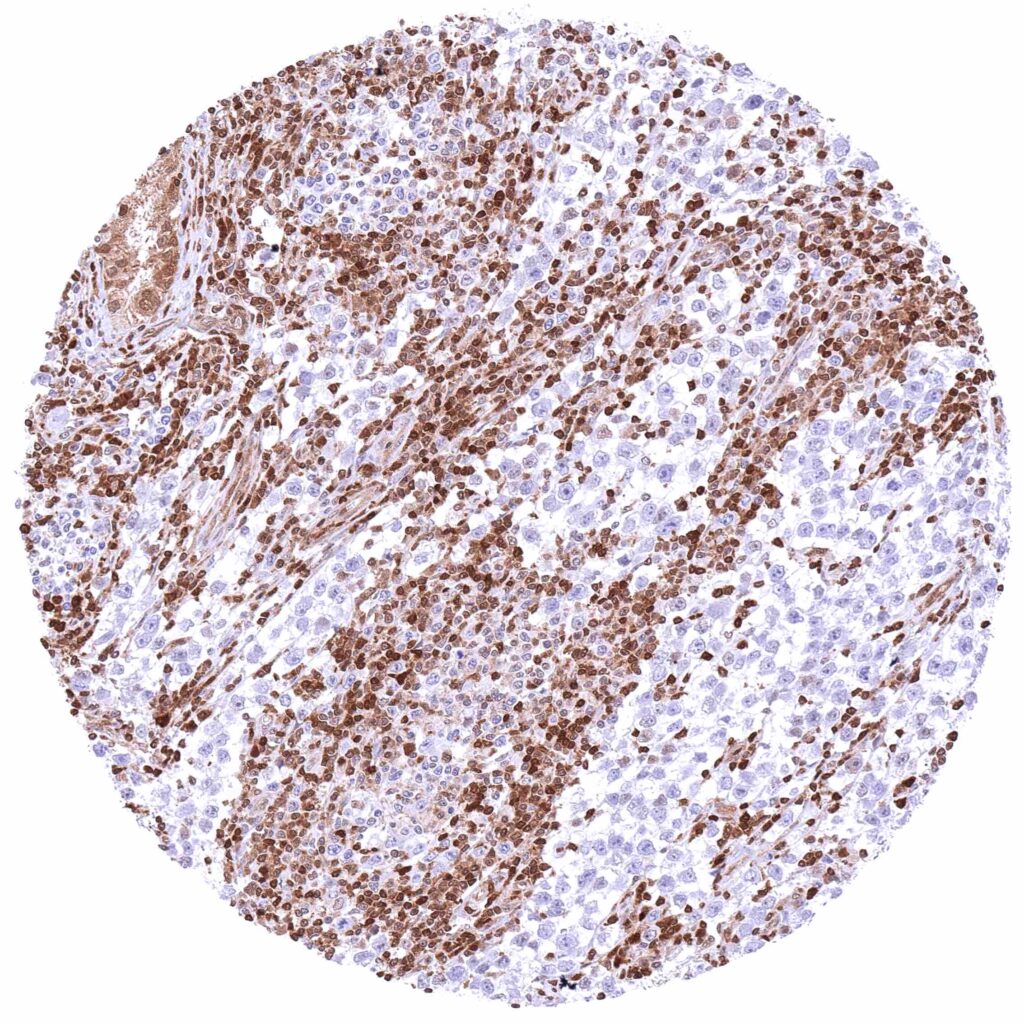
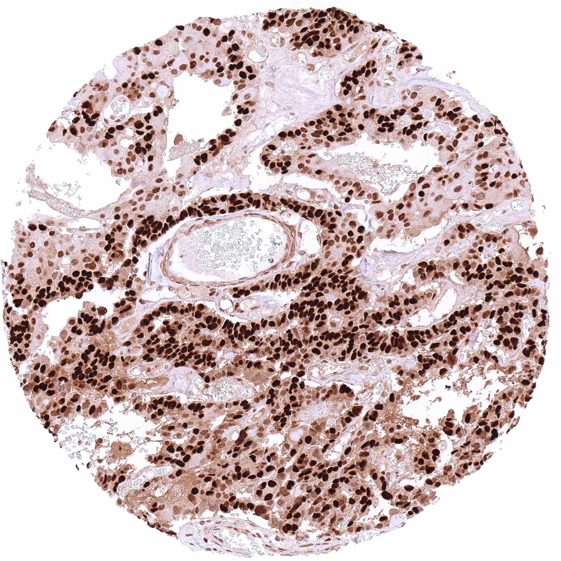
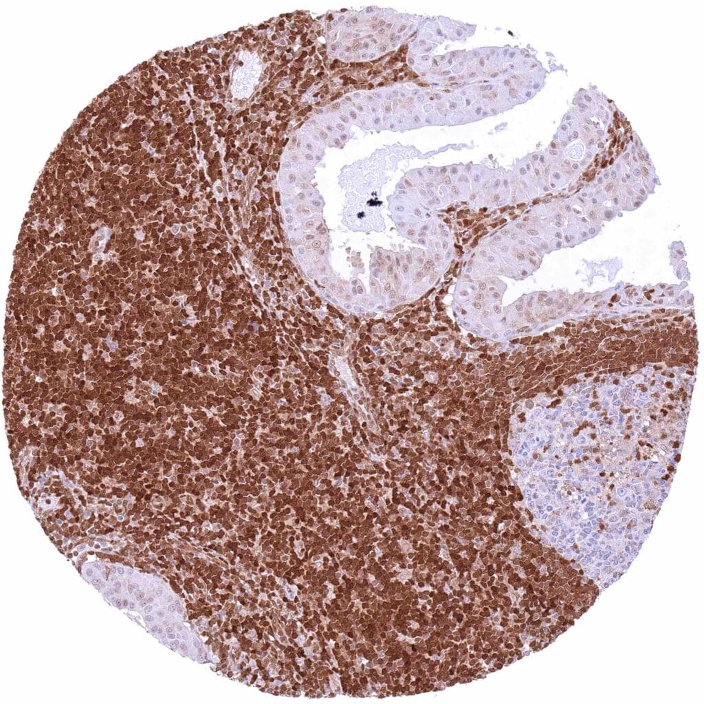
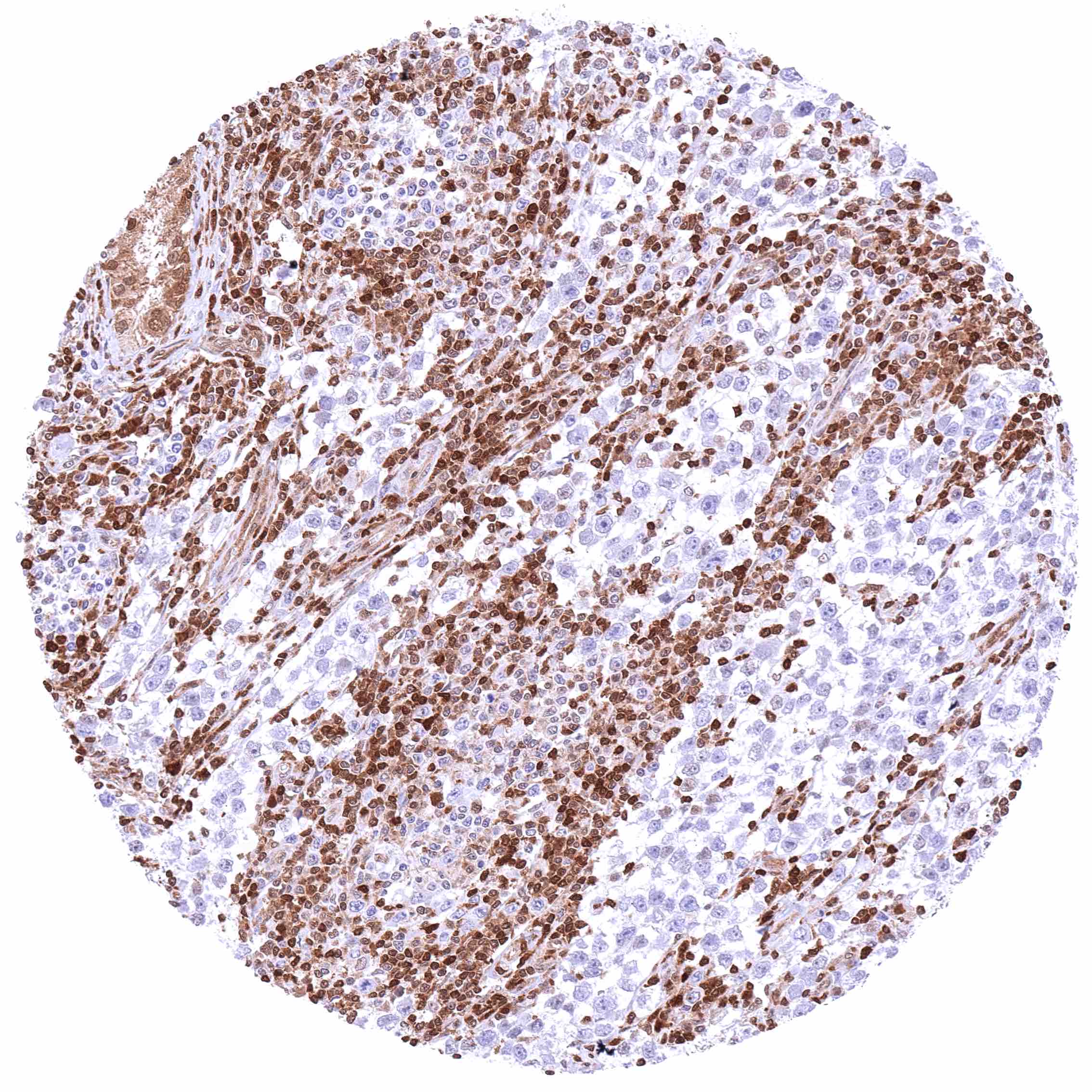
Lymph node – B-CLL with intense nuclear and cytoplasmic p27 positivity of all tumor cells.
Lymph node – Diffuse large B-cell lymphoma lacking p27 staining in at least most tumor cells. Strong p27 staining of (non-neoplastic) inflammatory cells and stroma cells.
Lymph node – Diffuse large B-cell lymphoma with strong, predominantly nuclear p27 staining of tumor cells.
Lymph node – p27 negativity of at least most of the cells of a Hodgkin’s lymphoma. Strong p27 staining of inflammatory cells and other stroma cells.
Ovary – Clear cell carcinoma with strong nuclear p27 positivity of tumor cells.
Ovary – Endometroid carcinoma with a variable, weak to strong, predominantly cytoplasmic p27 staining of tumor cells.
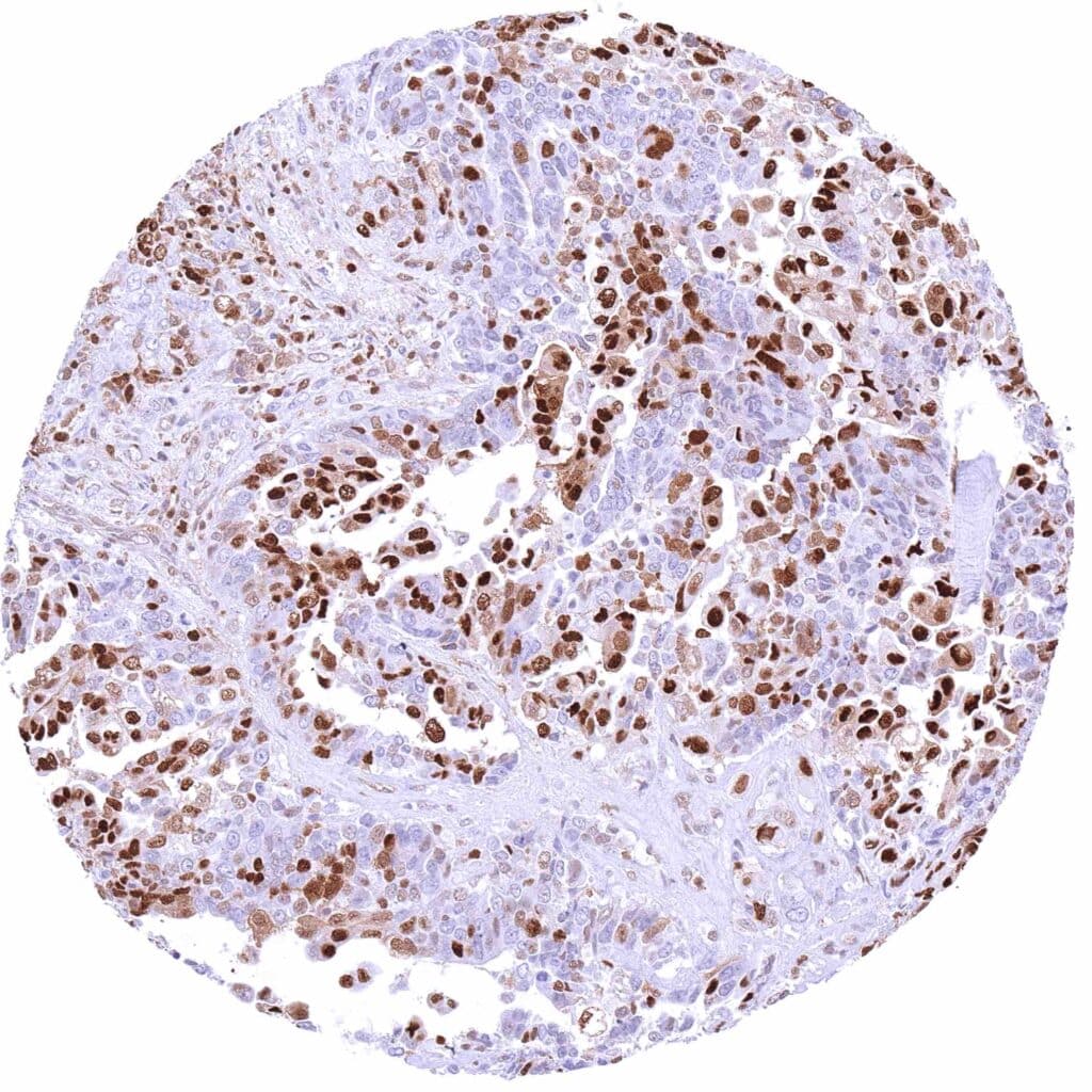
Ovary – Malignant mixed Mullerian tumor with strong, predominantly nuclear p27 staining of a large subset of tumor cells.
Ovary – Serous high-grade carcinoma with a variable, weak to strong, predominantly nuclear p27 staining of most tumor cells.
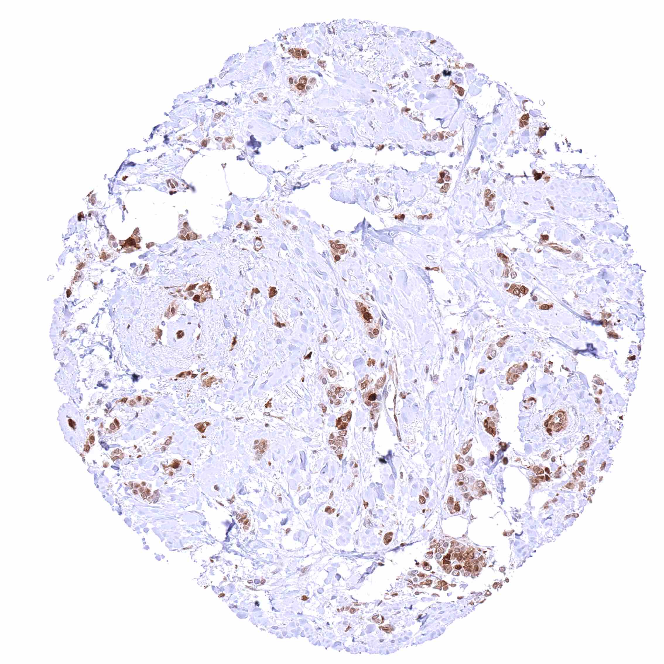
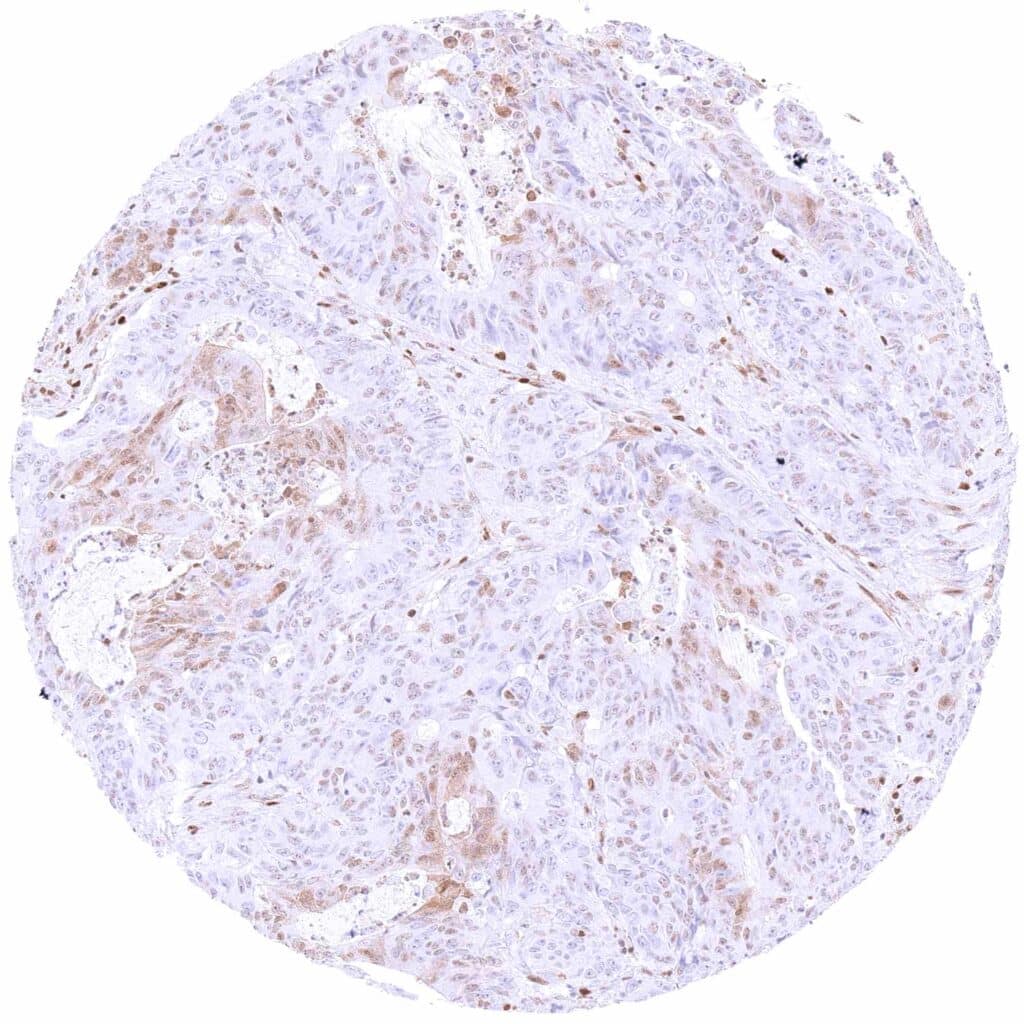
Pancreas – Ductal adenocarcinoma with weak to moderate, predominantly nuclear p27 staining of few tumor cells.
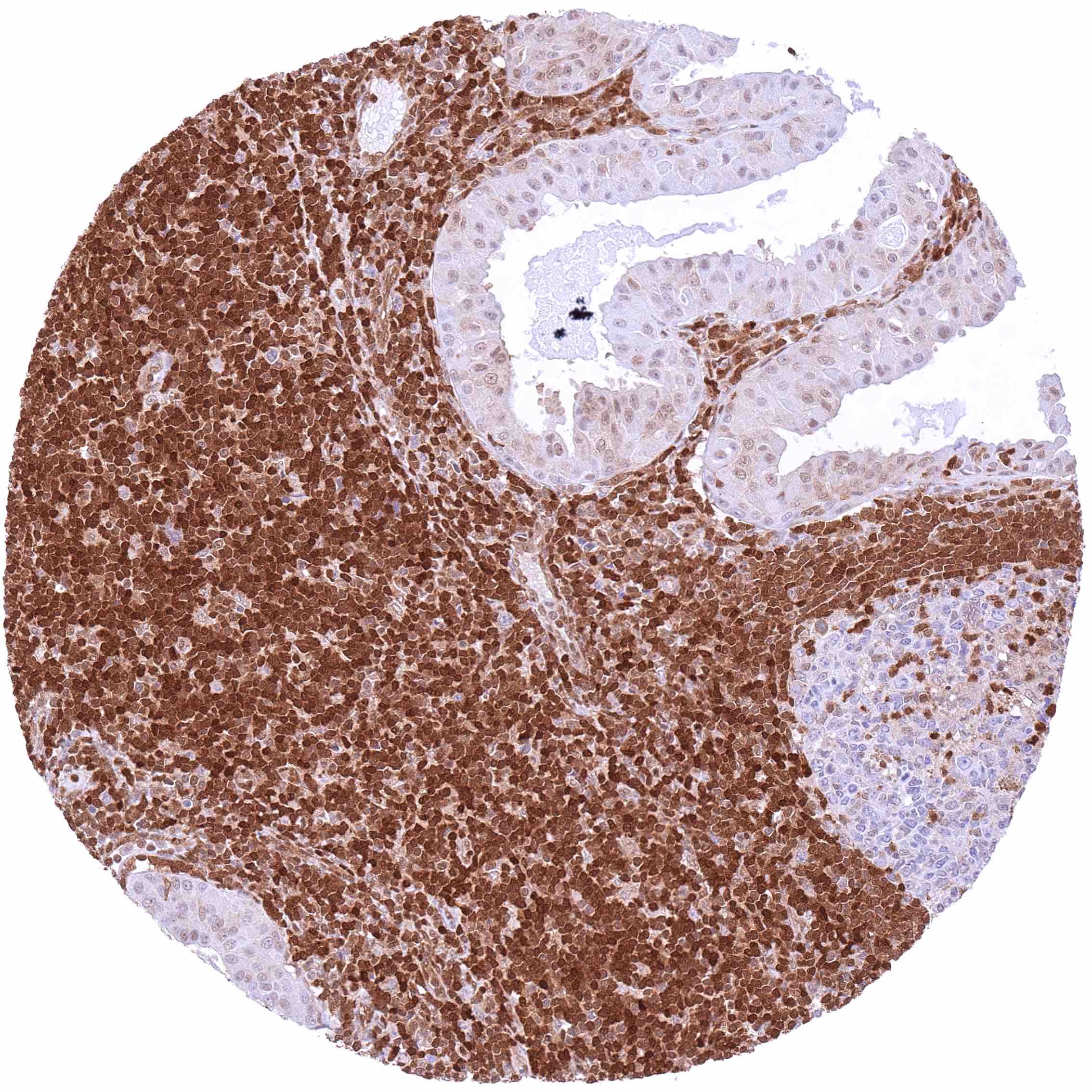
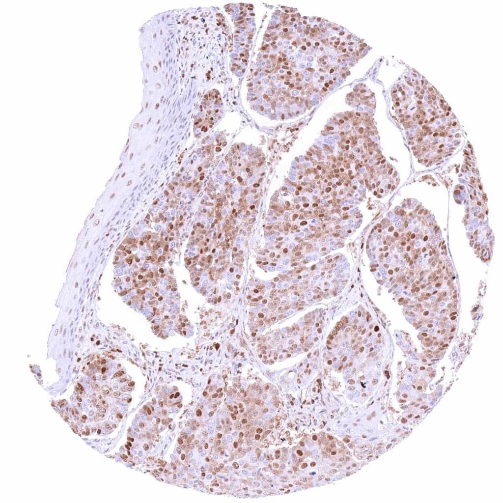
Pancreas – Neuroendocrine tumor with strong, predominantly nuclear p27 positivity of tumor cells.
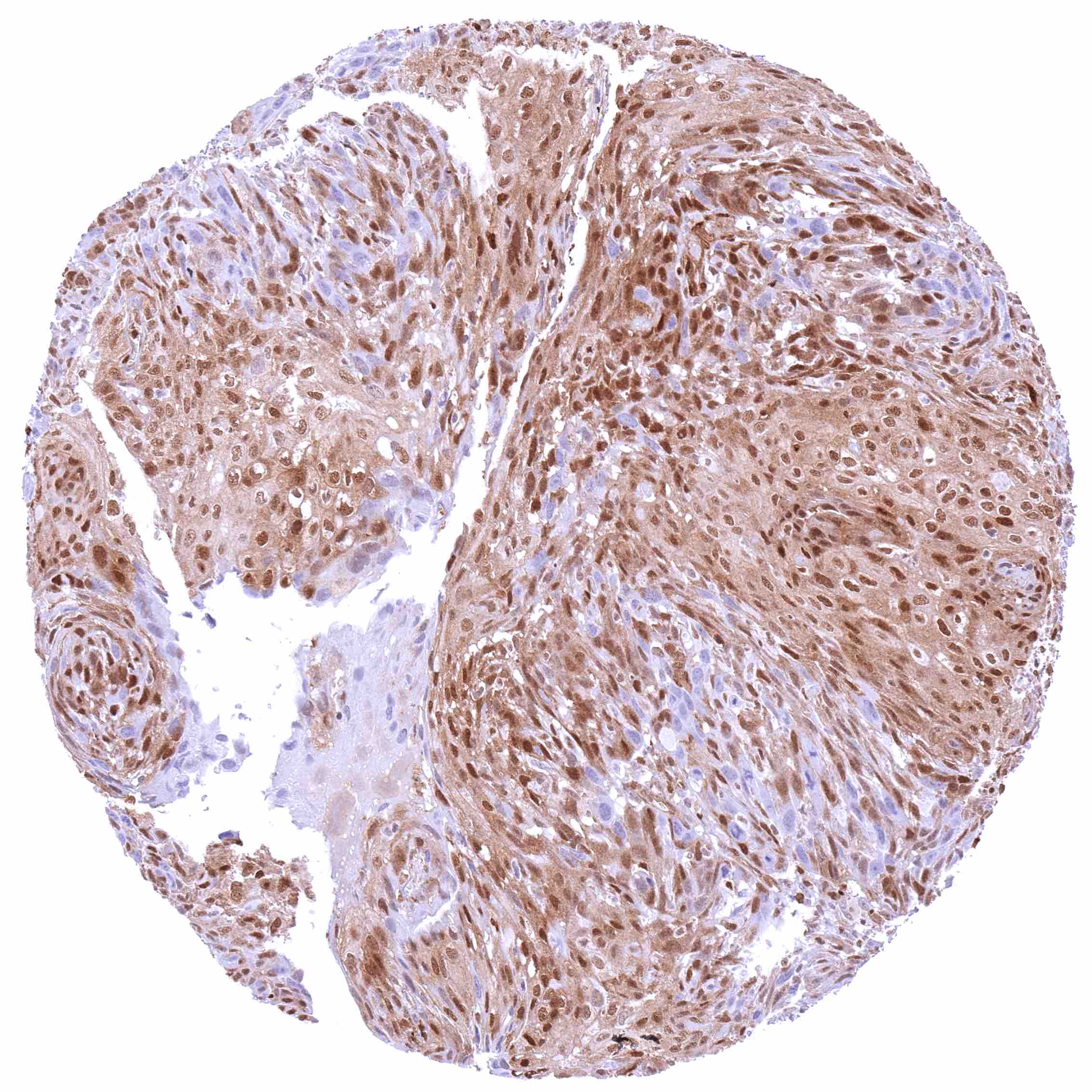
Penis – Squamous cell carcinoma with a variable, weak to strong, predominantly cytoplasmic p27 positivity of most tumor cells.
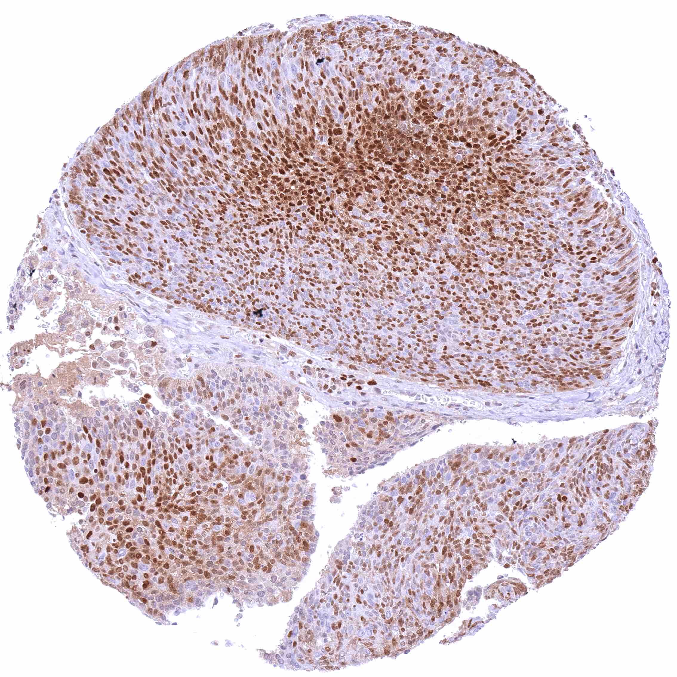
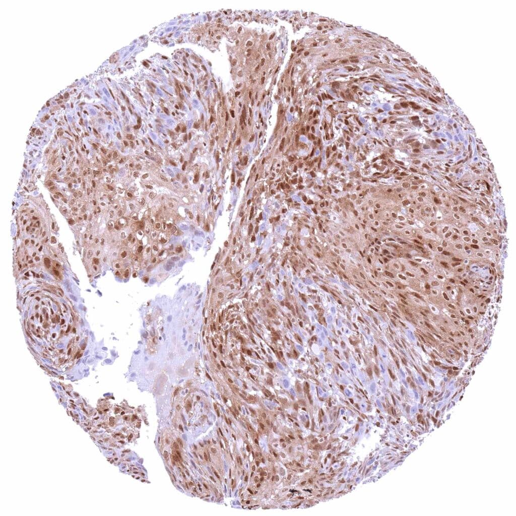
Pharynx – Squamous cell carcinoma with strong, predominantly nuclear p27 staining of most tumor cells.
Prostate – Adenocarcinoma (Gleason 3+3=6) with moderate to strong, predominantly nuclear p27 positivity of tumor cells.
Prostate – Adenocarcinoma (Gleason 5+5=10) with a variable, weak to strong nuclear and cytoplasmic p27 staining of tumor cells.
Prostate: Adenocarcinoma (Gleason 4+4=8) with strong p27 immunostaining of tumor cells.
Salivary gland – Warthin tumor with weak cytoplasmic and nuclear p27 staining of few tumor cells while there is a strong p27 staining of inflammatory cells and other stroma cells.
Skin – p27 negative squamous cell carcinoma with strong p27 staining of stroma cells.
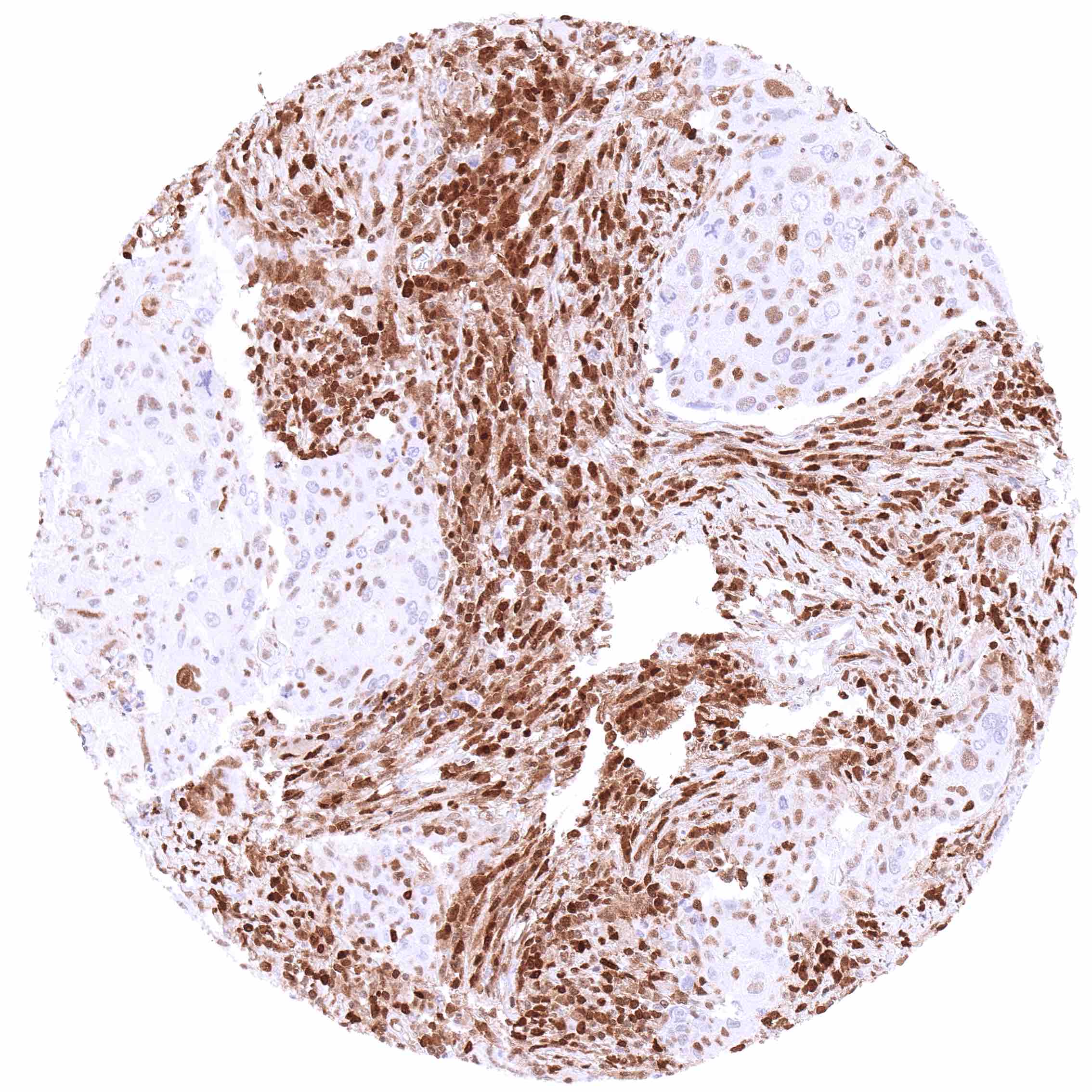
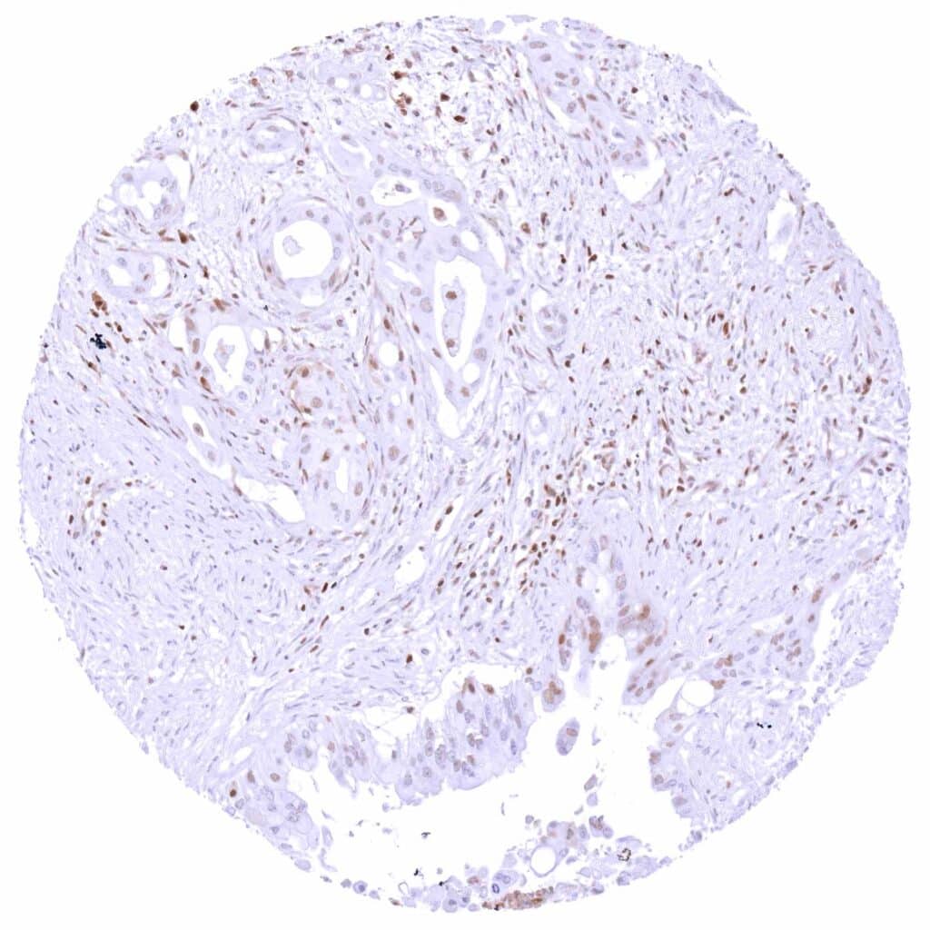
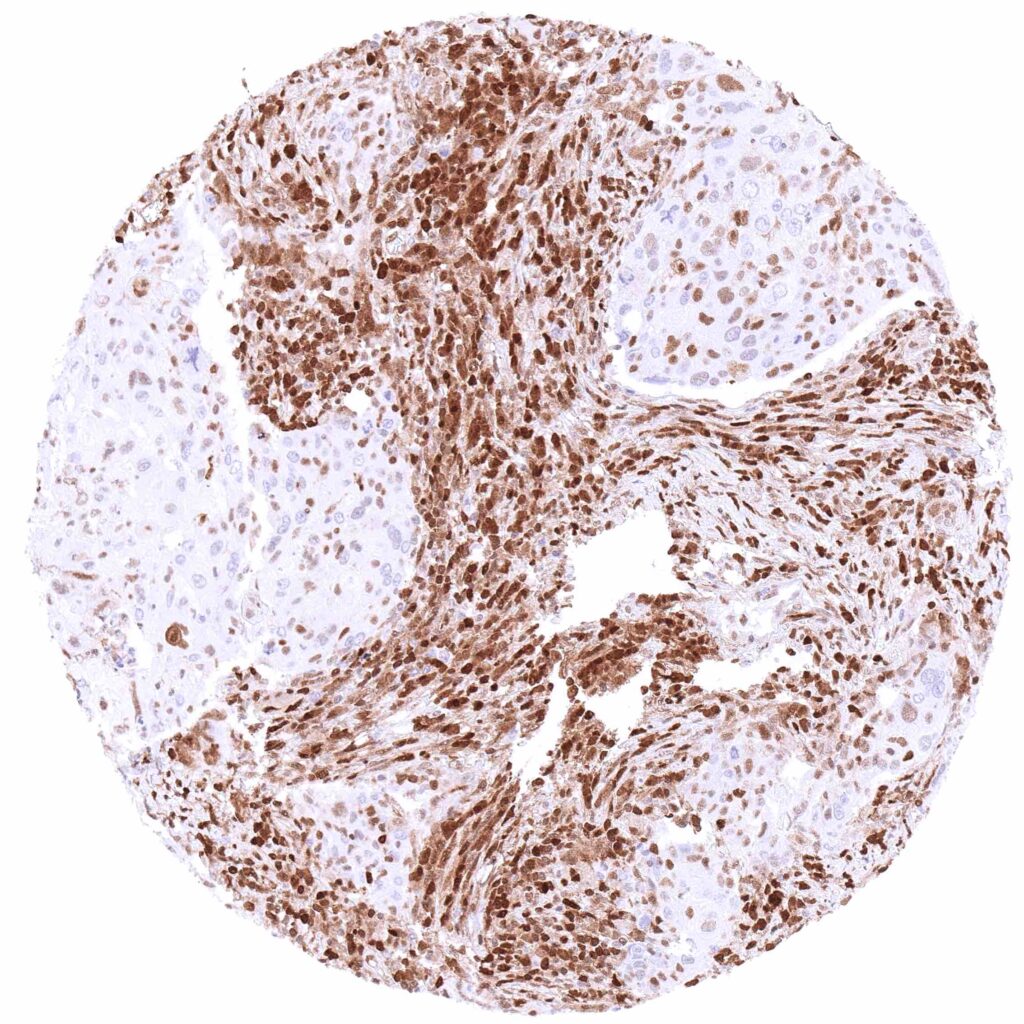
Soft tissue – Leiomyosarcoma with weak, predominantly nuclear p27 staining of few cells.
Stomach – Gastric adenocarcinoma (intestinal type) with weak p27 staining of a subset of tumor cells.
Stomach – Gastrointestinal stromal tumor (GIST) with a distinct nuclear and cytoplasmic p27 staining of all tumor cells.
Testis – Leydig cell tumor with a variable, weak to strong, cytoplasmic and nuclear p27 staining of most tumor cells.
Testis – p27 negative seminoma with strong p27 staining of inflammatory cells and other stroma cells.
Urinary bladder – Muscle-invasive urothelial carcinoma with moderate to strong, predominantly nuclear p27 staining of tumor cells.
Urinary bladder – Muscle-invasive urothelial carcinoma with weak to moderate, predominantly nuclear p27 staining of few tumor cells. p27 staining is more prominent in inflammatory cells and stroma cells.
Uterus, cervix – Squamous cell carcinoma with a variable, weak to strong, predominantly cytoplasmic p27 staining of tumor cells.
Vulva – Squamous cell carcinoma with a variable, weak to strong, predominantly cytoplasmic p27 positivity of tumor cells.
Vulva – Squamous cell carcinoma with weak to moderate, predominantly nuclear p27 staining of a rather small subset of tumor cells.
