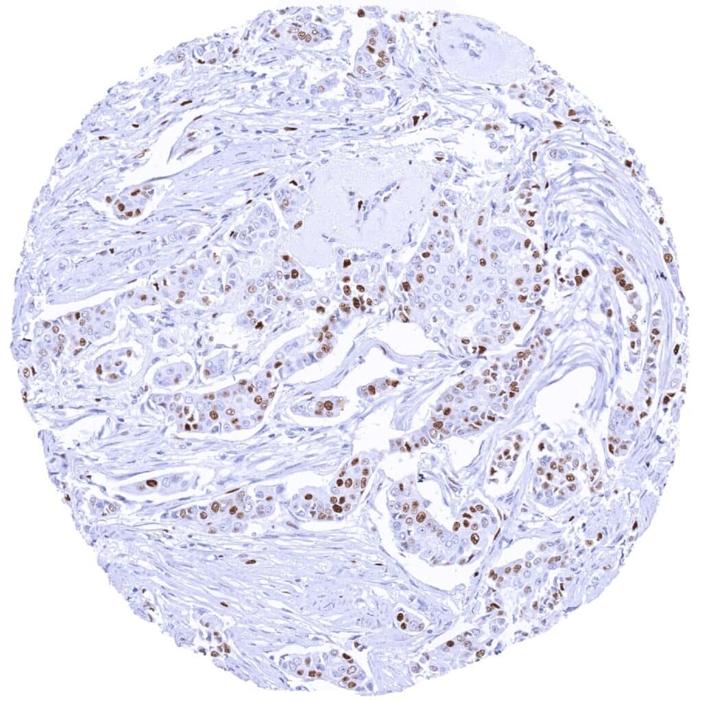
Breast – Invasive breast cancer of no special type (NST) with variable MCM2 staining of a fraction of tumor cells
Colon – Colorectal adenocarcinoma with moderate to strong MCM2 staining of most tumor cells
Esophagus – Adenocarcinoma with moderate to strong MCM2 positivity of a fraction of tumor cells
Esophagus – Squamous cell carcinoma with strong MCM2 immunostaining of the majority of tumor cells
Esophagus – Squamous cell carcinoma with strong MCM2 staining of peripheral tumor cells
Kidney – Clear cell renal cell carcinoma with variable MCM2 positivity of a fraction of tumor cells
Kidney – Oncocytoma with variable MCM2 staining of the majority of tumor cells
Kidney – Papillary renal cell carcinoma with with variable MCM2 staining of a fraction of tumor cells
Oral cavity – Squamous cell carcinoma showing strong MCM2 positivity of a large fraction of tumor cells
Ovary – Endometroid carcinoma with variable MCM2 staining of a subset of tumor cells
Ovary – Serous high-grade carcinoma with variable MCM2 staining of most tumor cells
Pharynx – Squamous cell carcinoma with strong MCM2 staining of almost all tumor cells
Prostate – Adenocarcinoma (Gleason 3+3=6) with moderate to strong MCM2 staining of a significant fraction of tumor cells
Prostate – Adenocarcinoma (Gleason 3+3=6) with weak to moderate MCM2 positivity of fewtumor cells
Thyroid – Follicular adenoma with variable MCM2 staining of a fraction of tumor cells
Thyroid – Papillary cancer with variable MCM2 staining of a fraction of tumor cells
Urinary bladder – Muscle-invasive urothelial carcinoma with strong MCM2 staining of all tumor cells
Urinary bladder – Non-invasive urothelial carcinoma (low grade, pTaG2) with variable MCM2 staining of a small fraction of tumor cells
