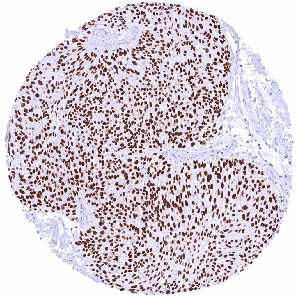
Breast – Invasive breast cancer of no special type (NST) with strong nuclear and cytoplasmic GATA3 staining of tumor cells.
Breast – Invasive breast cancer of no special type (NST) with strong nuclear GATA3 staining of tumor cells.
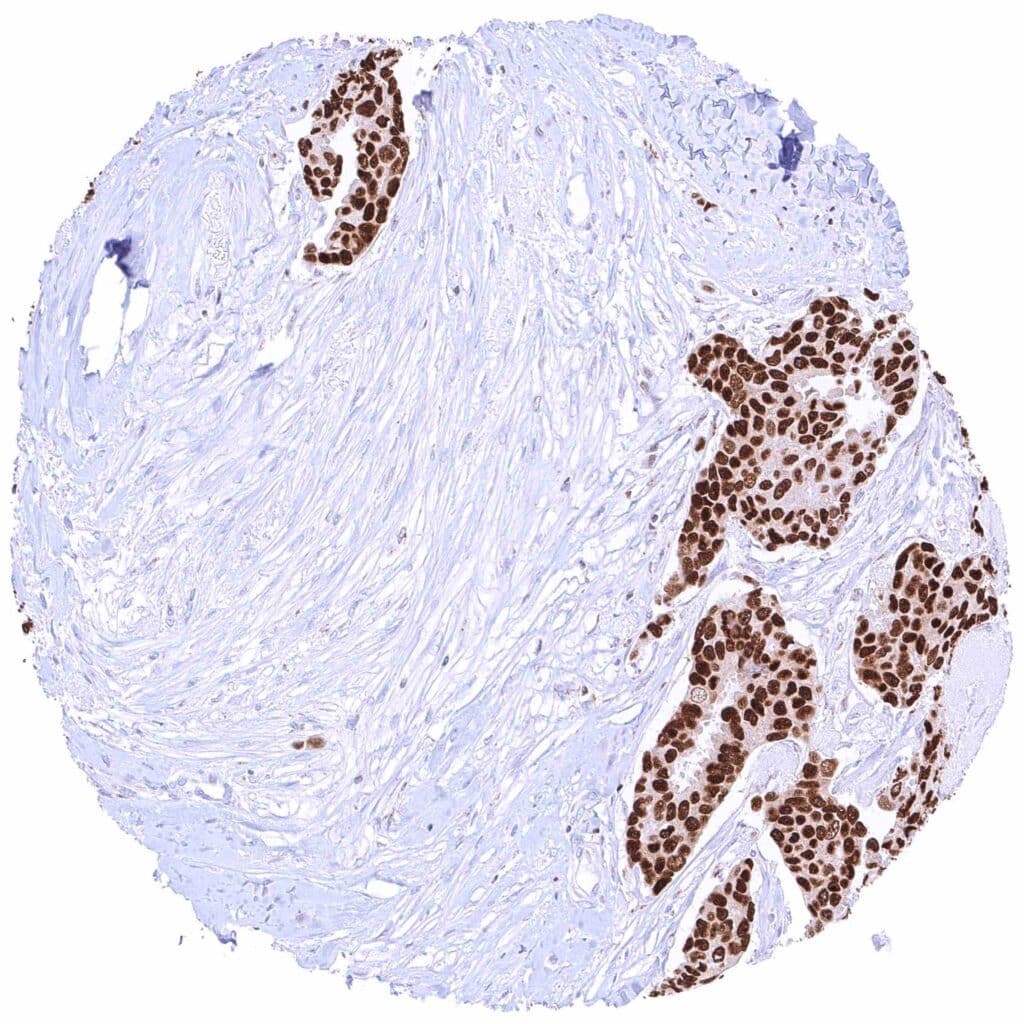
Breast – Invasive lobular breast cancer with strong nuclear GATA3 immunostaining of tumor cells.
Breast – Invasive lobular breast cancer with strong nuclear GATA3 positivity of tumor cells.
Breast – Invasive lobular breast cancer with strong nuclear GATA3 staining of tumor cells.
Colon – GATA3 negative colorectal adenocarcinoma. .jpeg
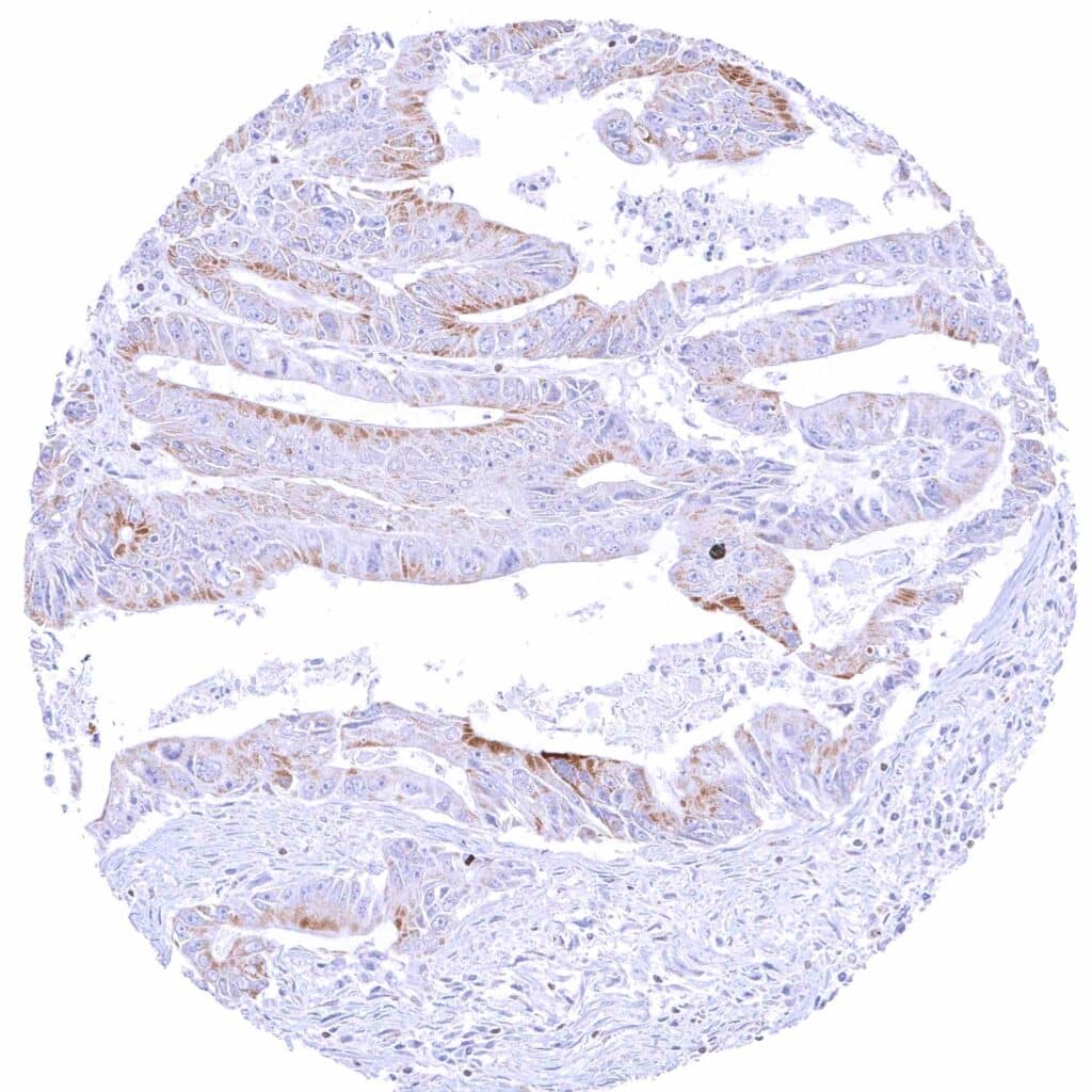
Colon – GATA3 negative colorectal adenocarcinoma. A granular cytoplasmic staining represents a tolerable antibody-specific cross-reactivity (1).
Colon – GATA3 negative colorectal adenocarcinoma. A granular cytoplasmic staining represents a tolerable antibody-specific cross-reactivity (2)
Colon – GATA3 negative colorectal adenocarcinoma. Few lymphocytes with nuclear GATA3 positivity.
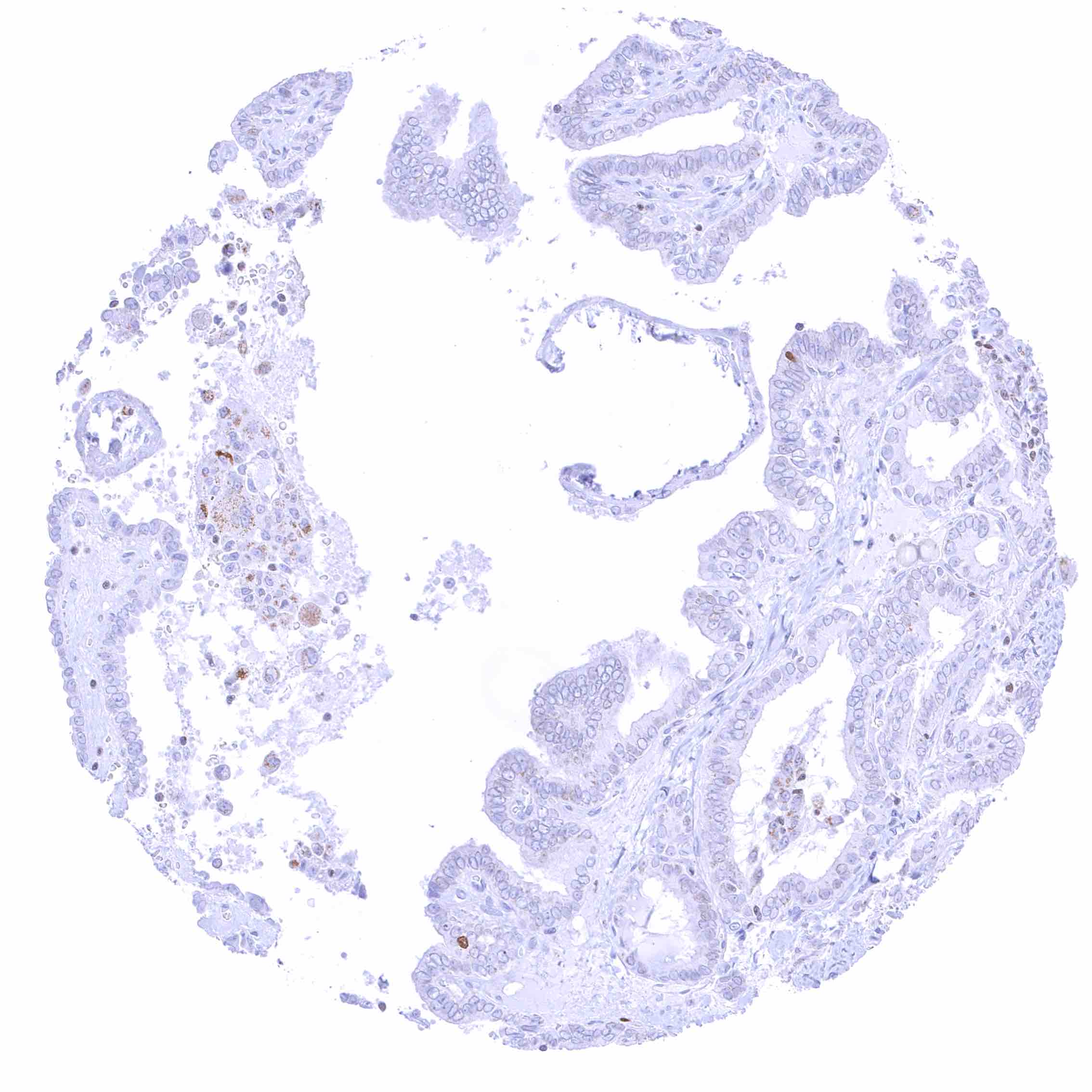
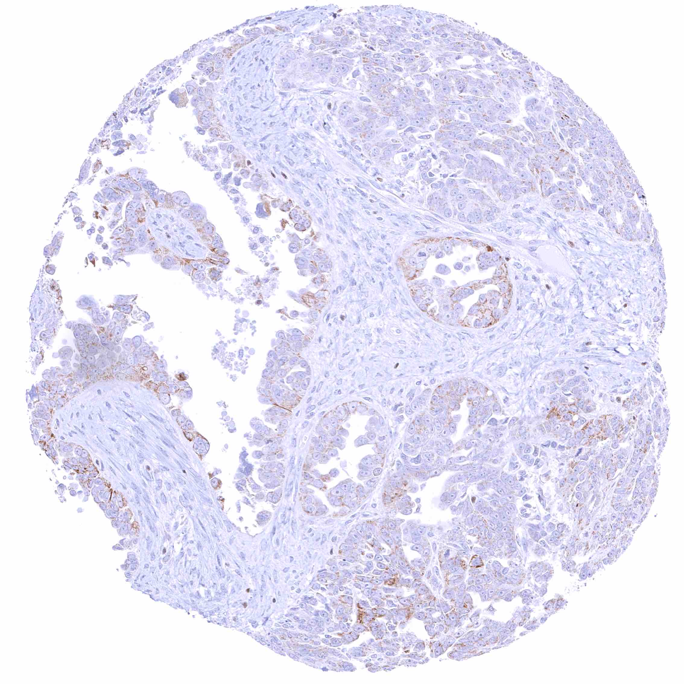
Colon – GATA3 negative mucinous colorectal adenocarcinoma.
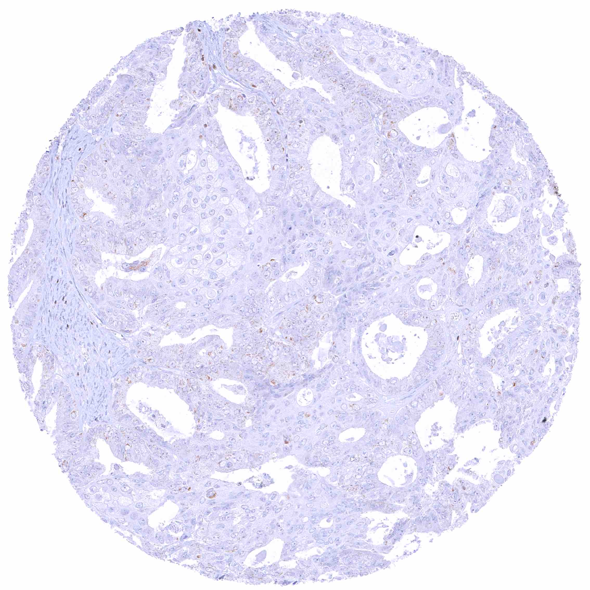
Kidney – GATA3 negative clear cell carcinoma.
Kidney – GATA3 negative clear cell carcinoma.
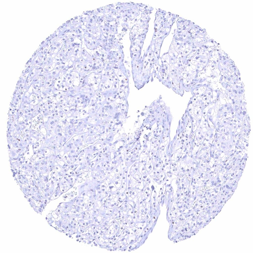
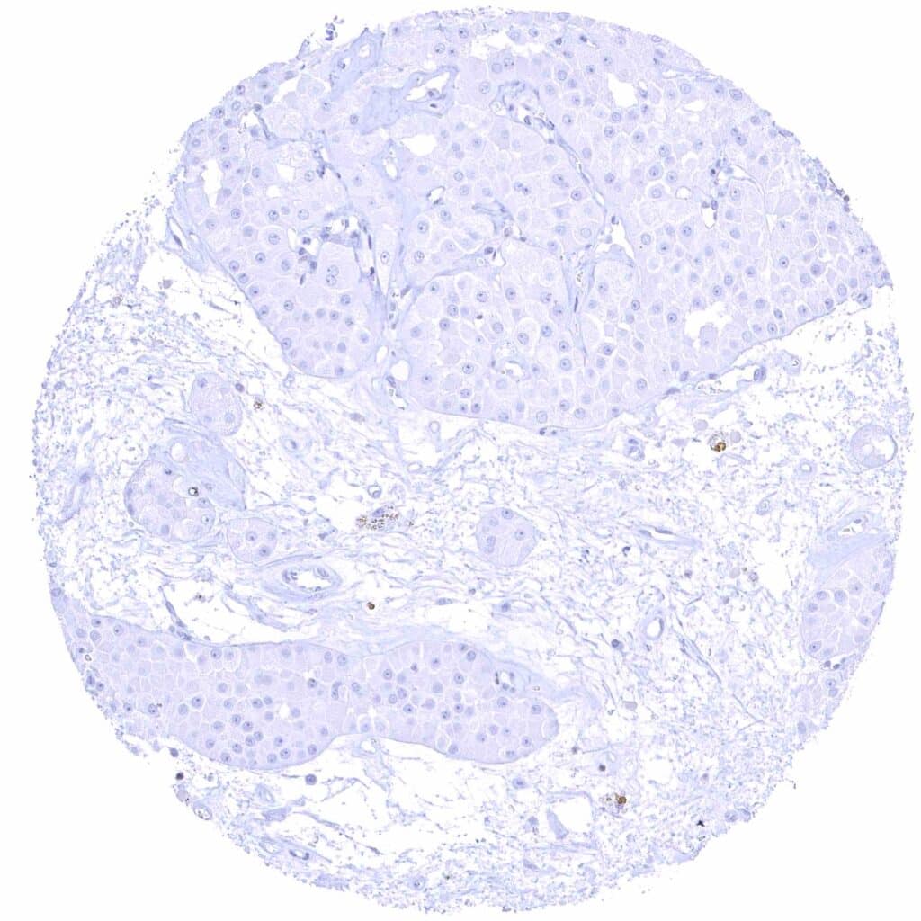
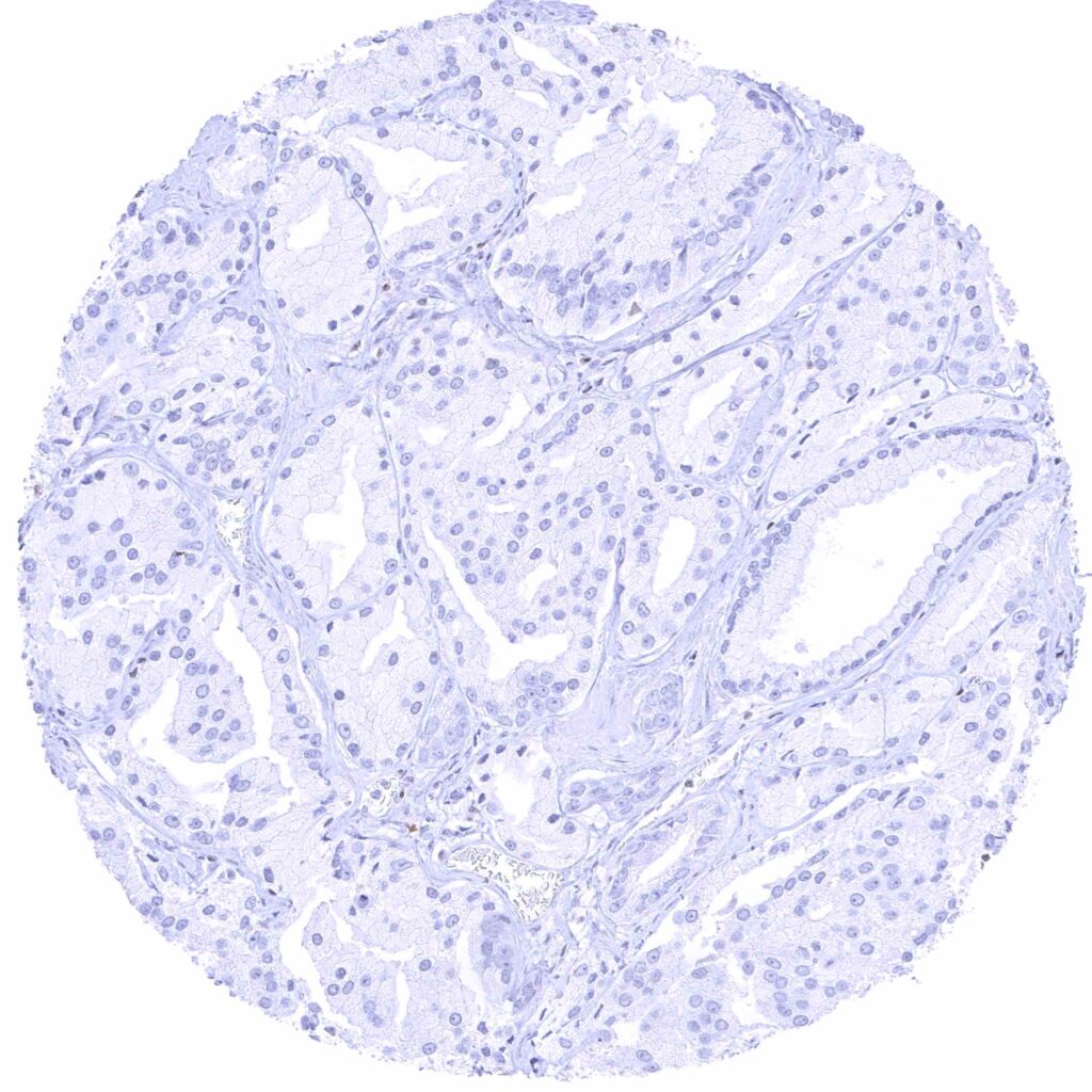
Kidney – GATA3 negative oncocytoma.
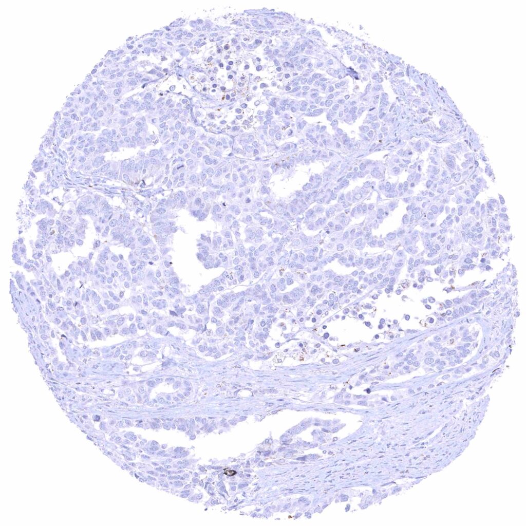
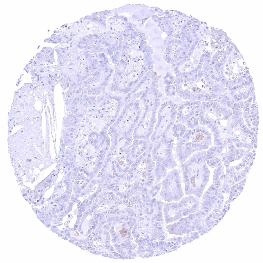
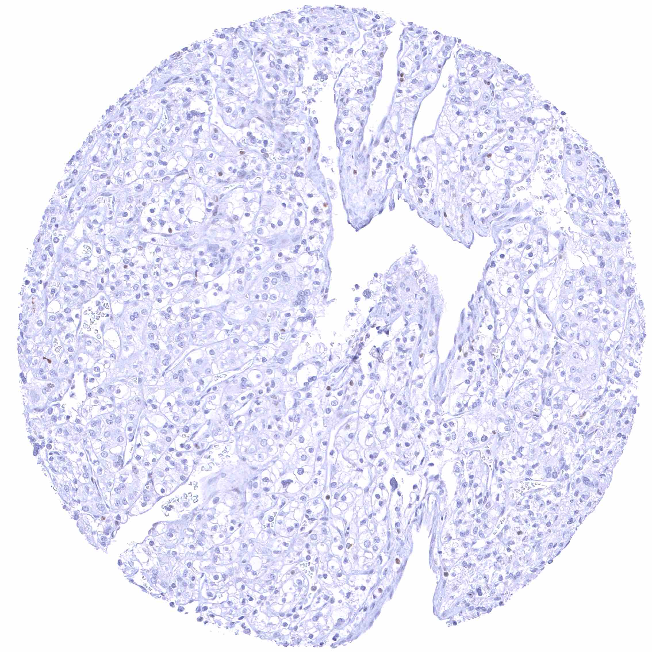
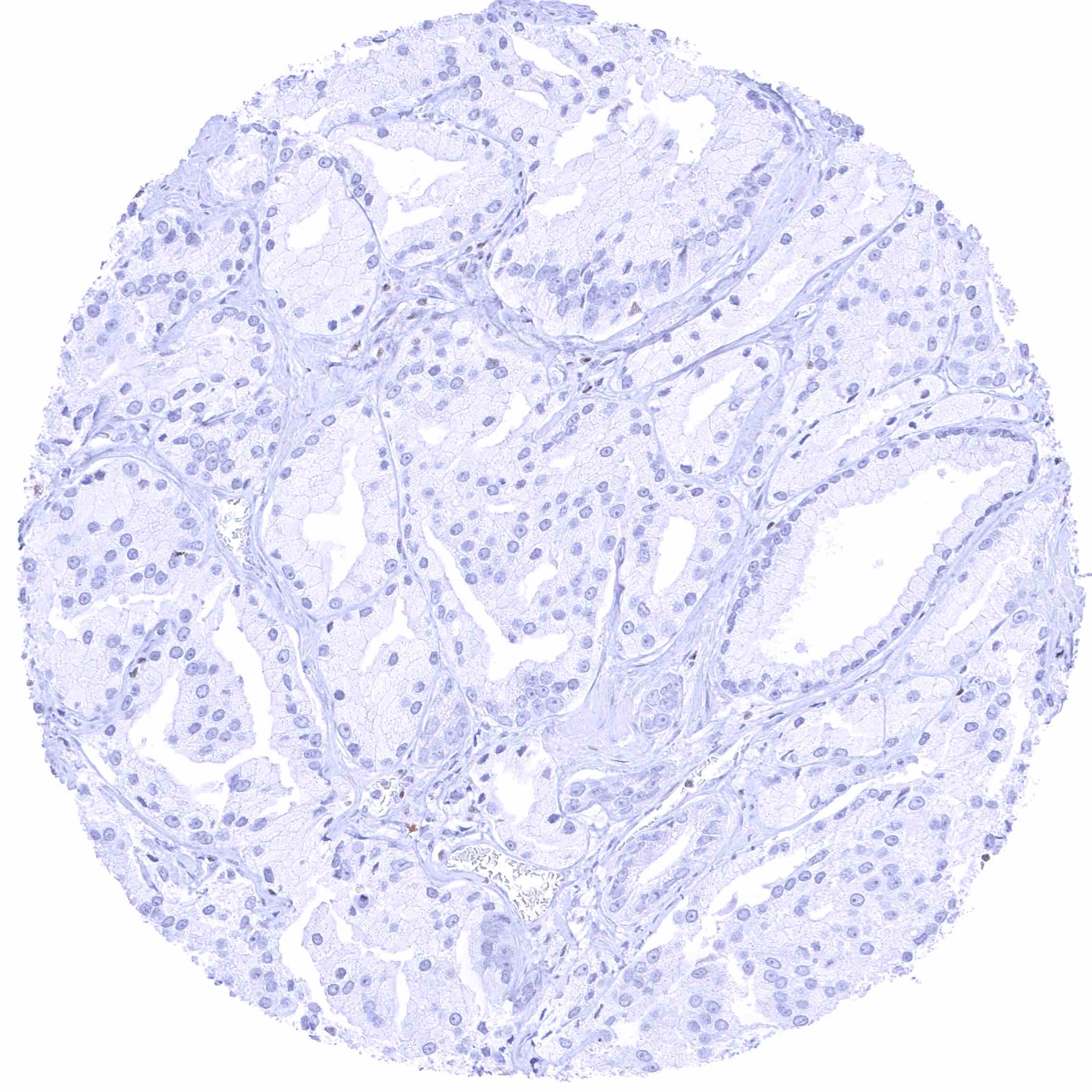
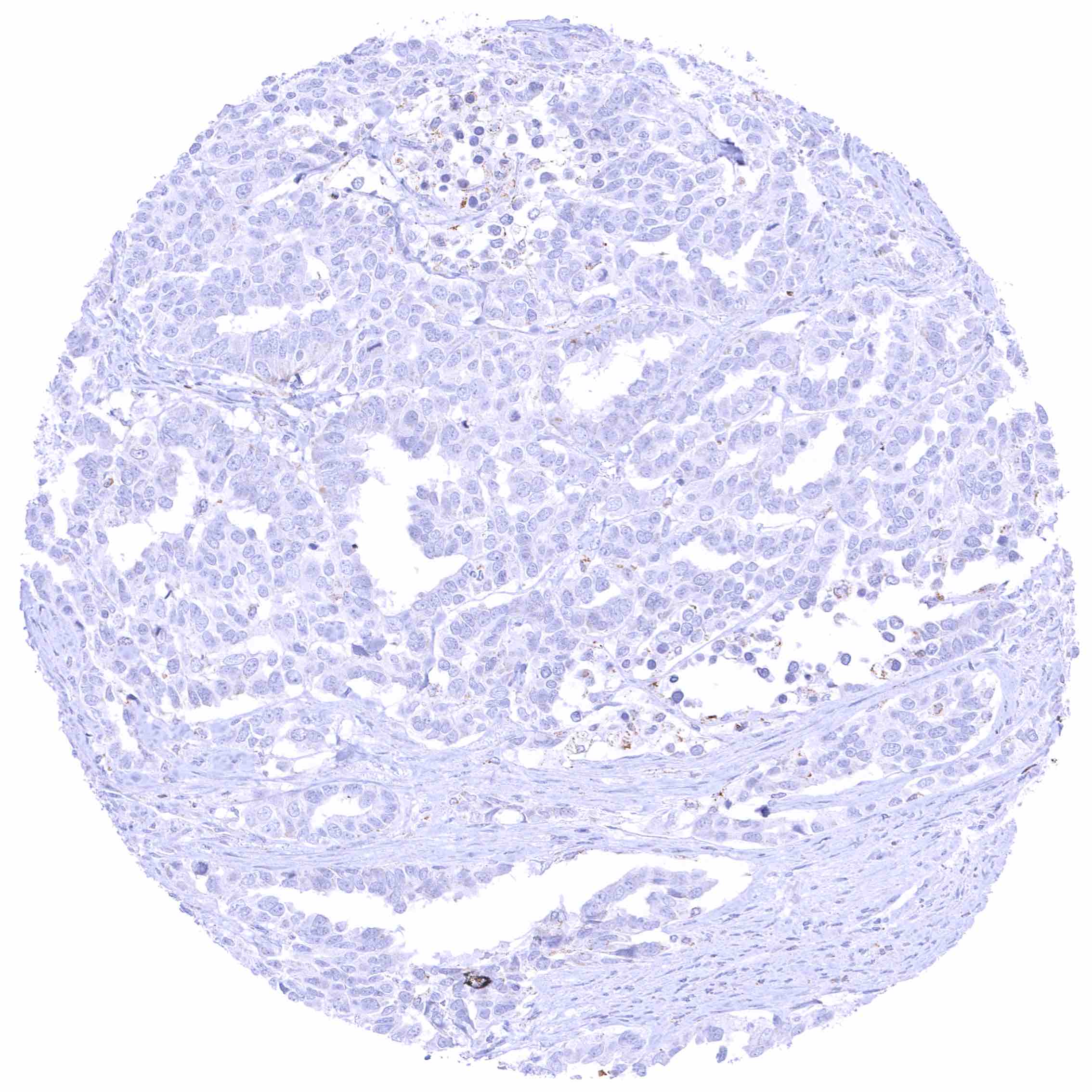
Kidney – GATA3 negative papillary renal cell carcinaoma. (3)
Kidney – GATA3 negative papillary renal cell carcinoma. (2)
Kidney – GATA3 negative papillary renal cell carcinoma. (1)
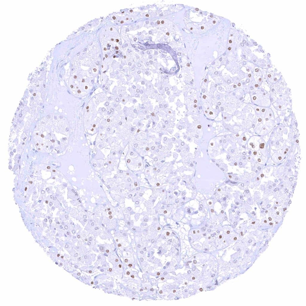
Kidney – Oncocytoma with a moderate to strong, nuclear GATA3 staining of 10-20_ of tumor cells.
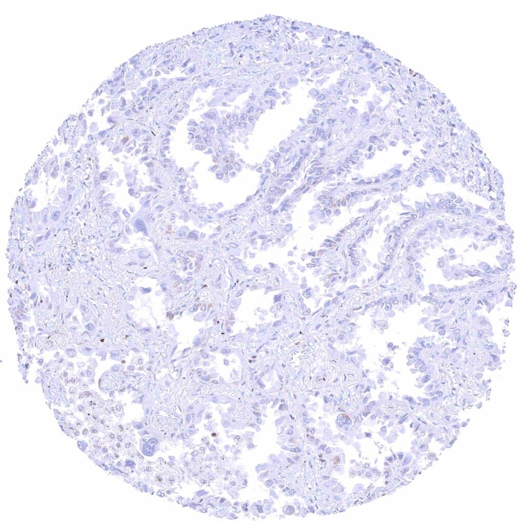
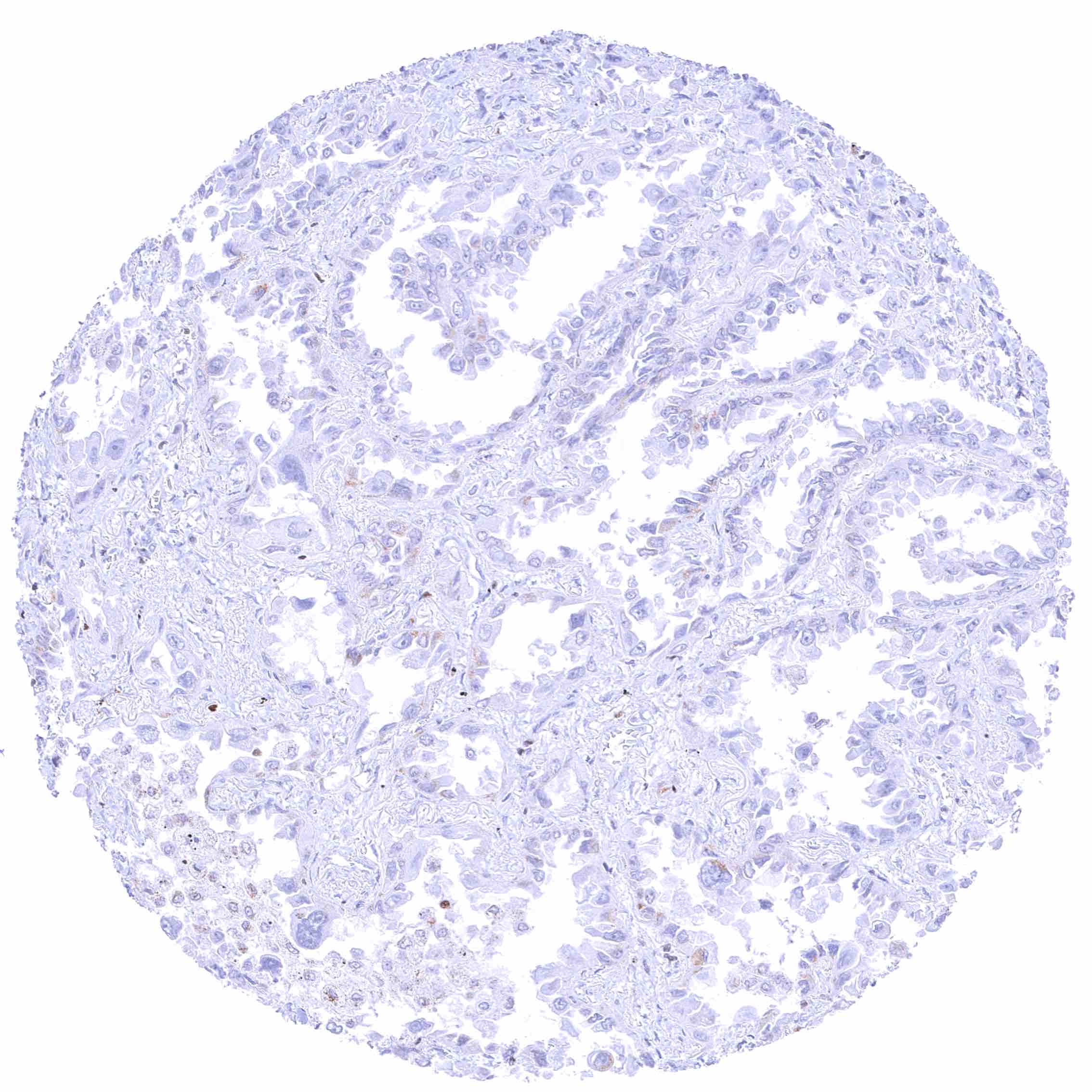
Lung – GATA3 negative adenocarcinoma.
Lung – GATA3 negative adenocarcinoma. Several lymphocytes with nuclear GATA3 positivity.
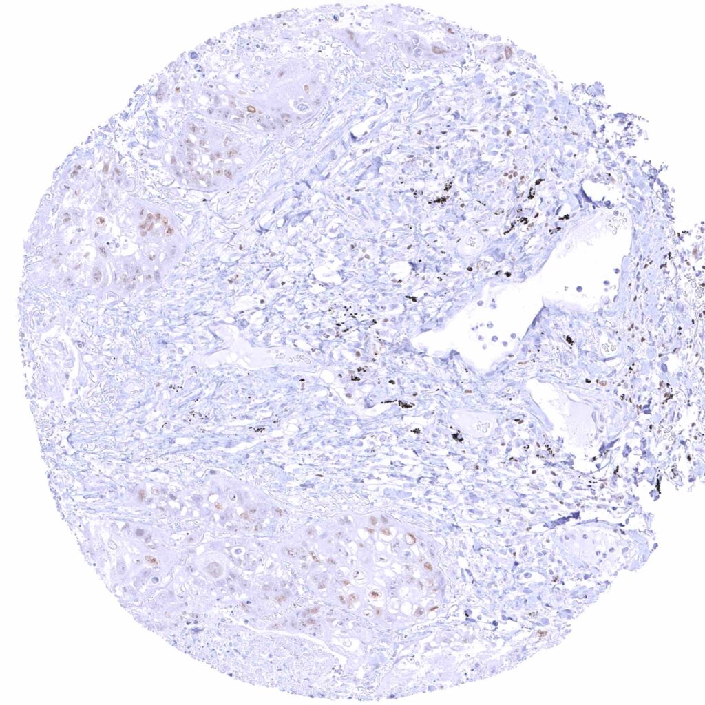
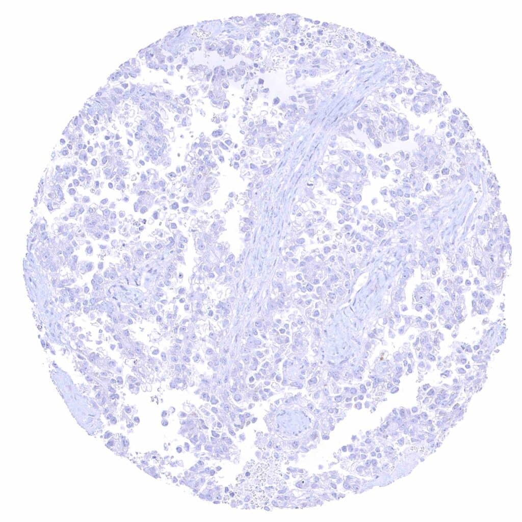
Lung – GATA3 negative malignant mesothelioma (epitheloid).
Lung – GATA3 negative malignant mesothelioma (epitheloid). (2).jpeg
Lung – GATA3 negative malignant mesothelioma.
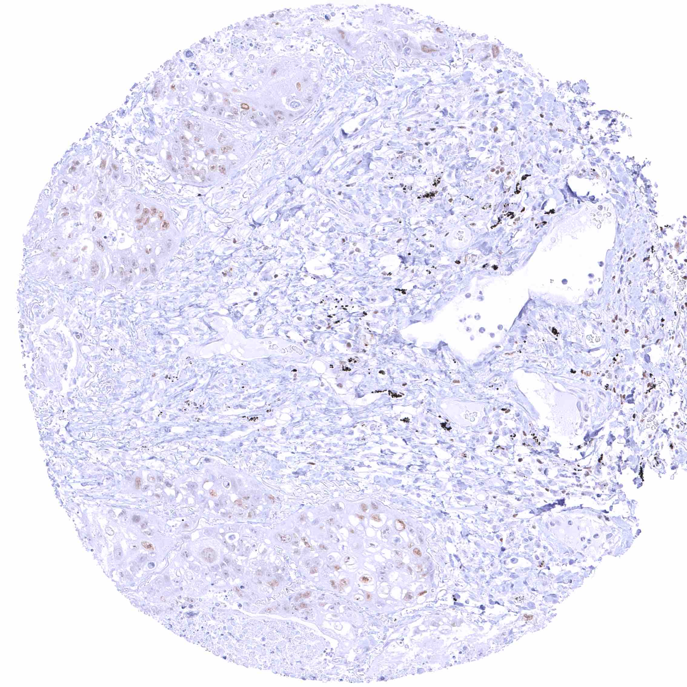
Lung – GATA3 negative squamous cell carcinoma. Numerous lymphocytes with nuclear GATA3 positivity.
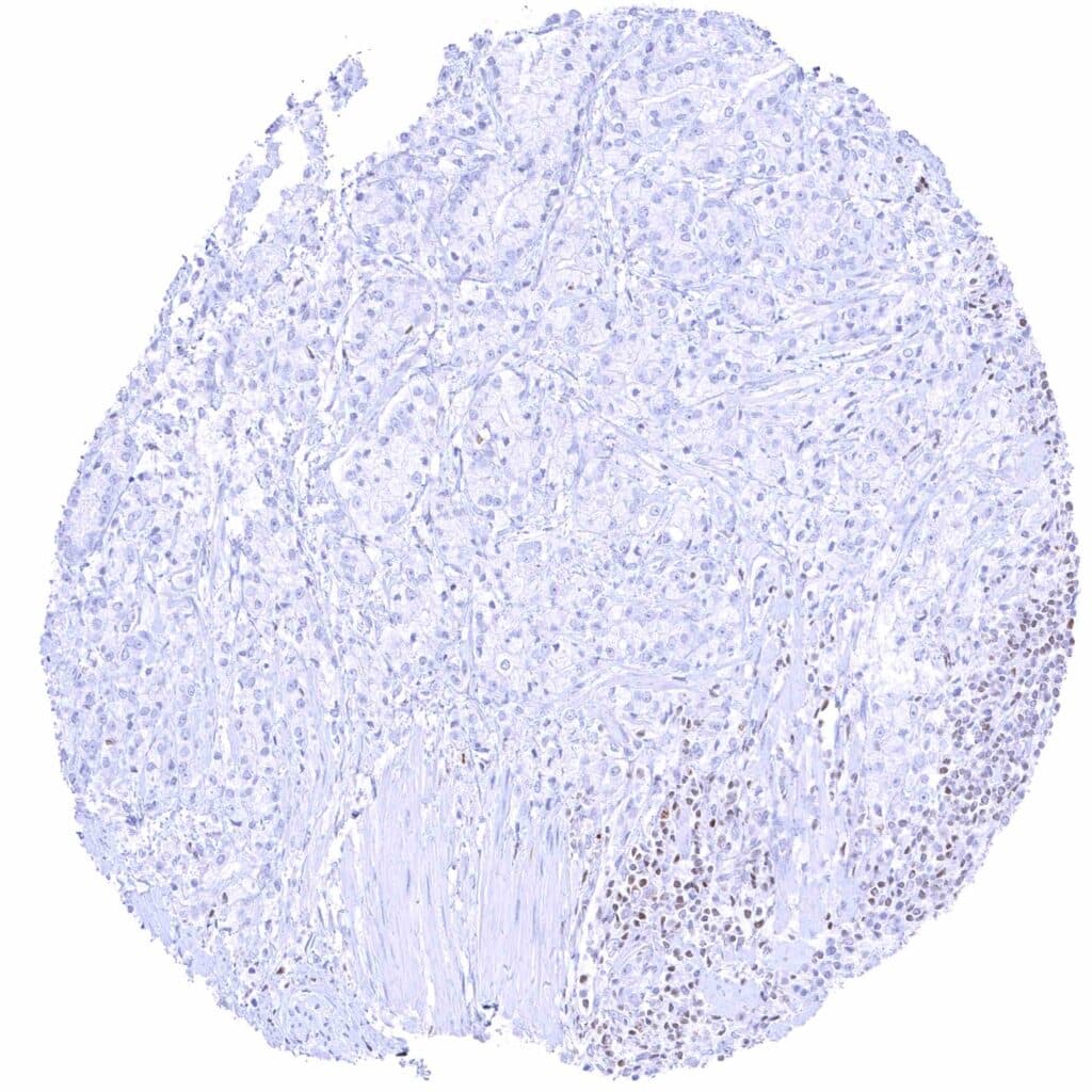
Lung – Squamous cell carcinoma with weak nuclear GATA3 staining of few tumor cells.
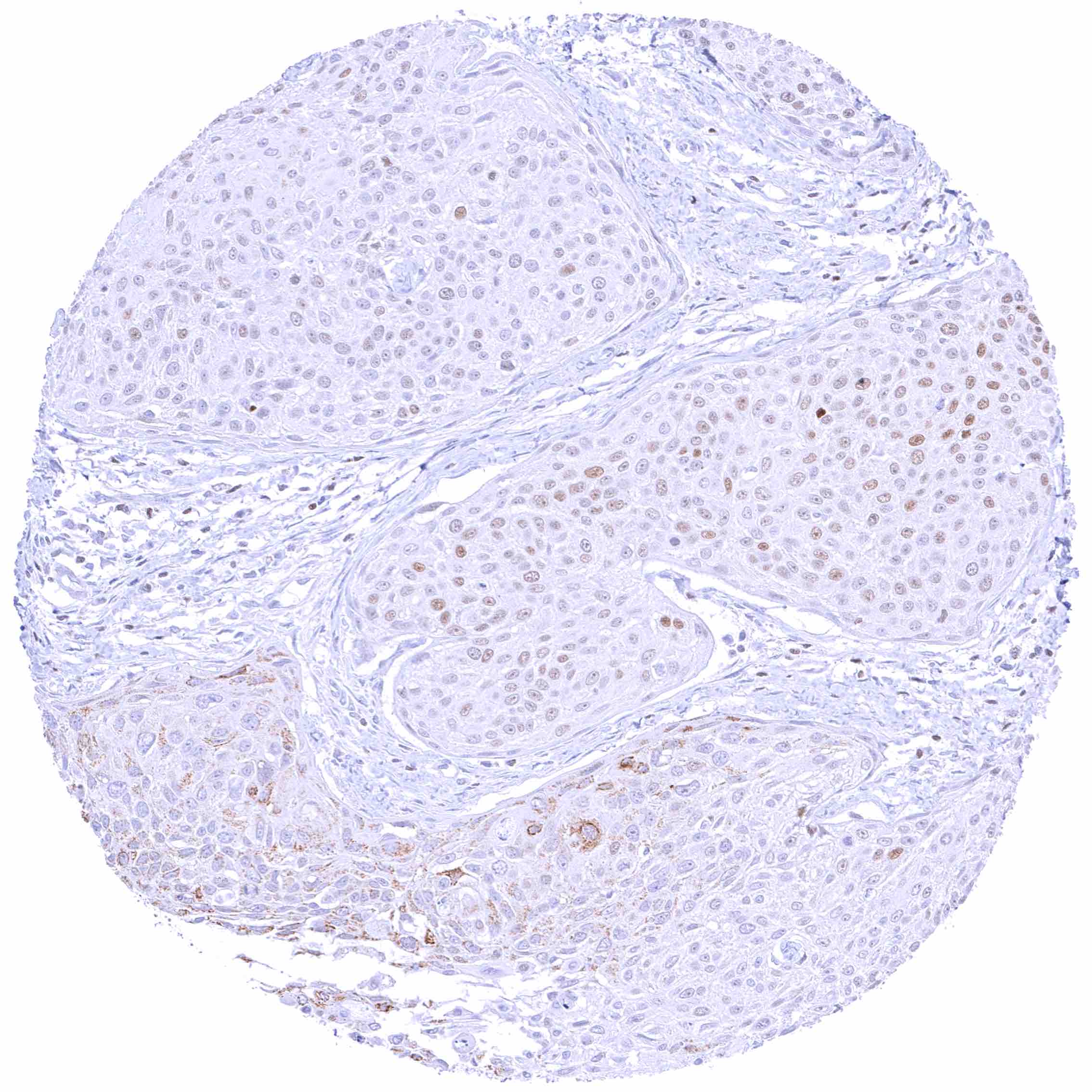
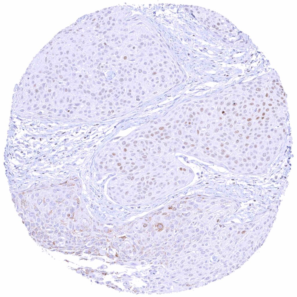
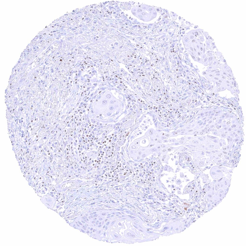
Oral cavity – Squamous cell carcinoma with weak nuclear GATA3 staining of about 40_ of tumor cells.
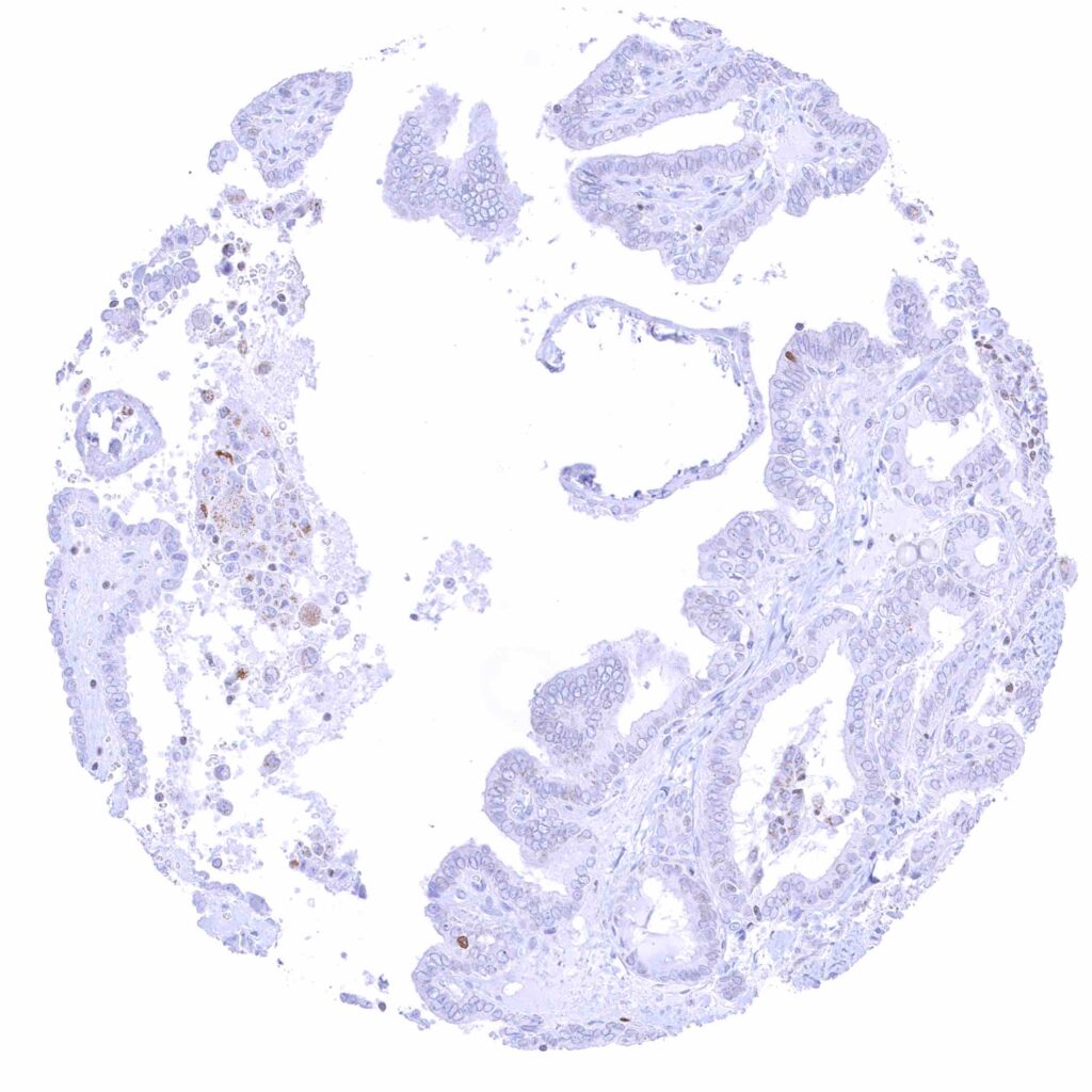
Ovary – GATA3 negative clear cell carcinoma.
Ovary – GATA3 negative endometroid carcinoma.
Ovary – GATA3 negative serous high-grade carcinoma.
Ovary – GATA3 negative serous high-grade carcinoma. A granular cytoplasmic staining represents a tolerable antibody-specific cross-reactivity.
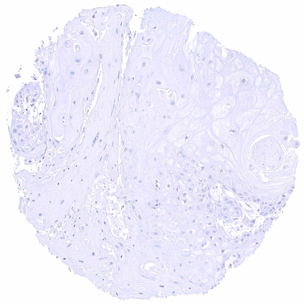
Pharynx – GATA3 negative squamous cell carcinoma.
Pharynx – GATA3 negative squamous cell carcinoma. Numerous lymphocytes with nuclear GATA3 positivity.
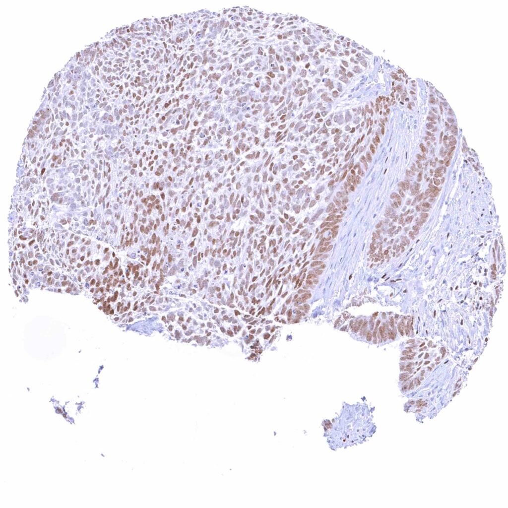
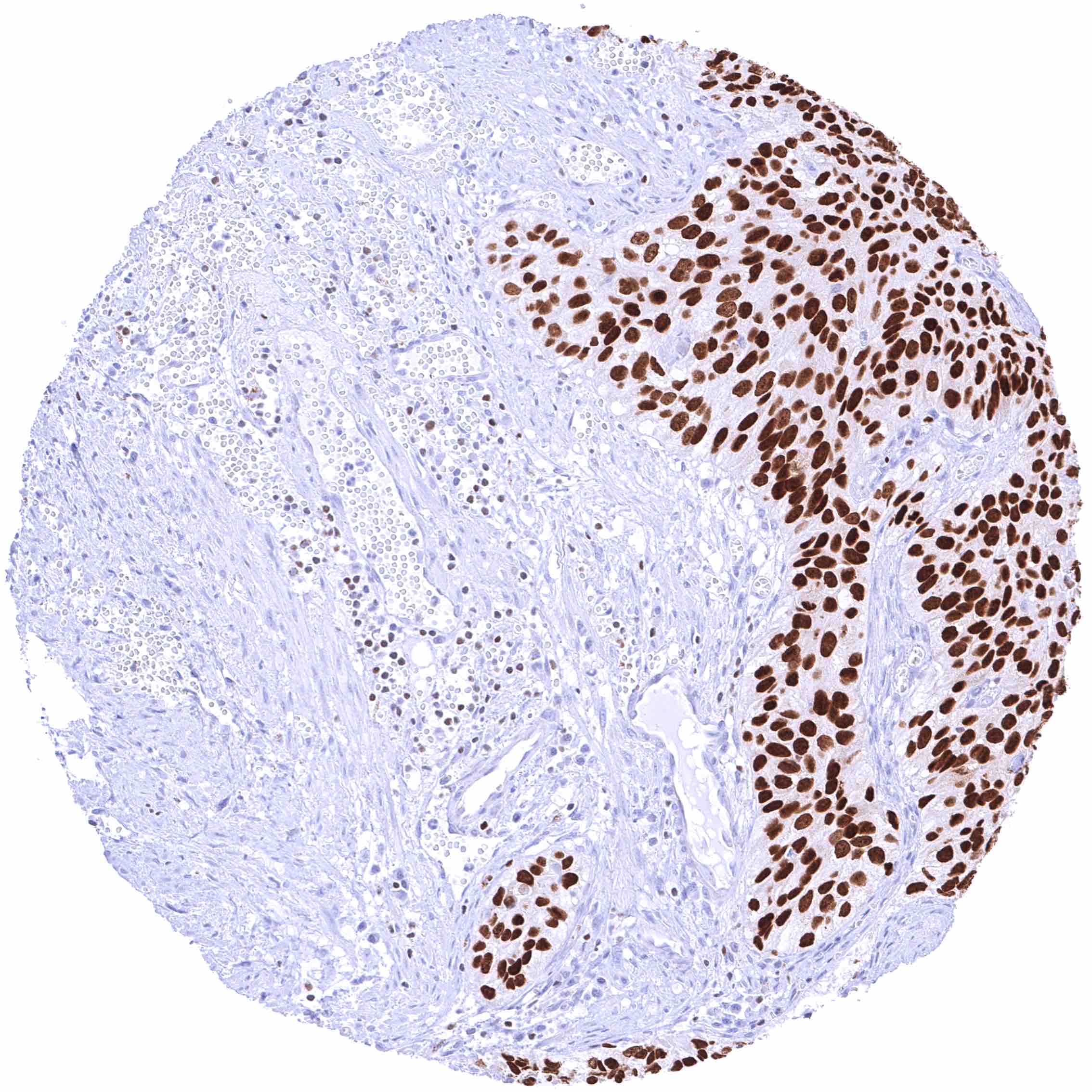
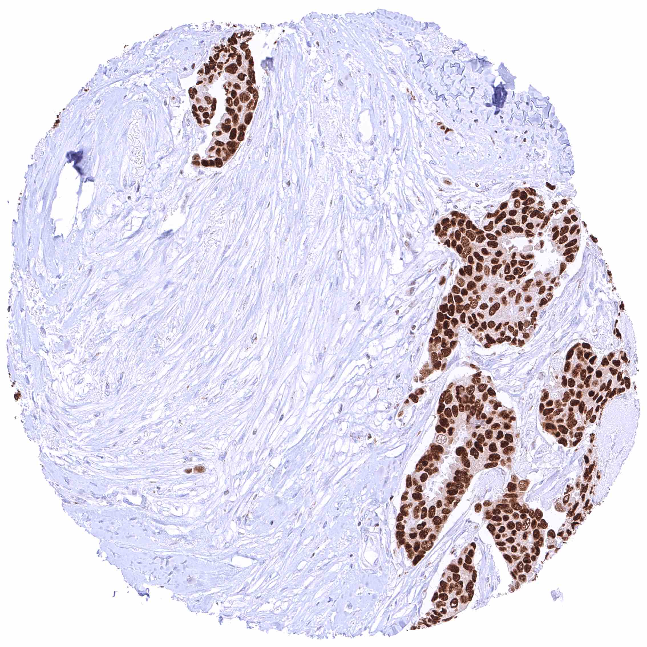
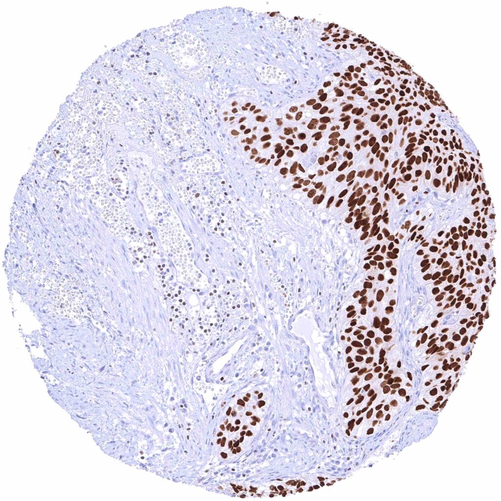
Pharynx – Squamous cell carcinoma with strong nuclear GATA3 staining of tumor cells.
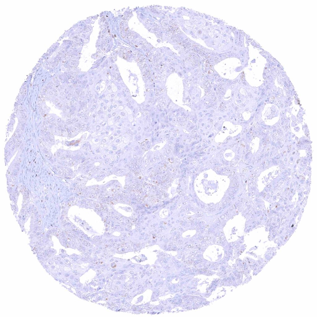
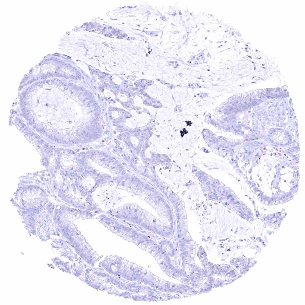
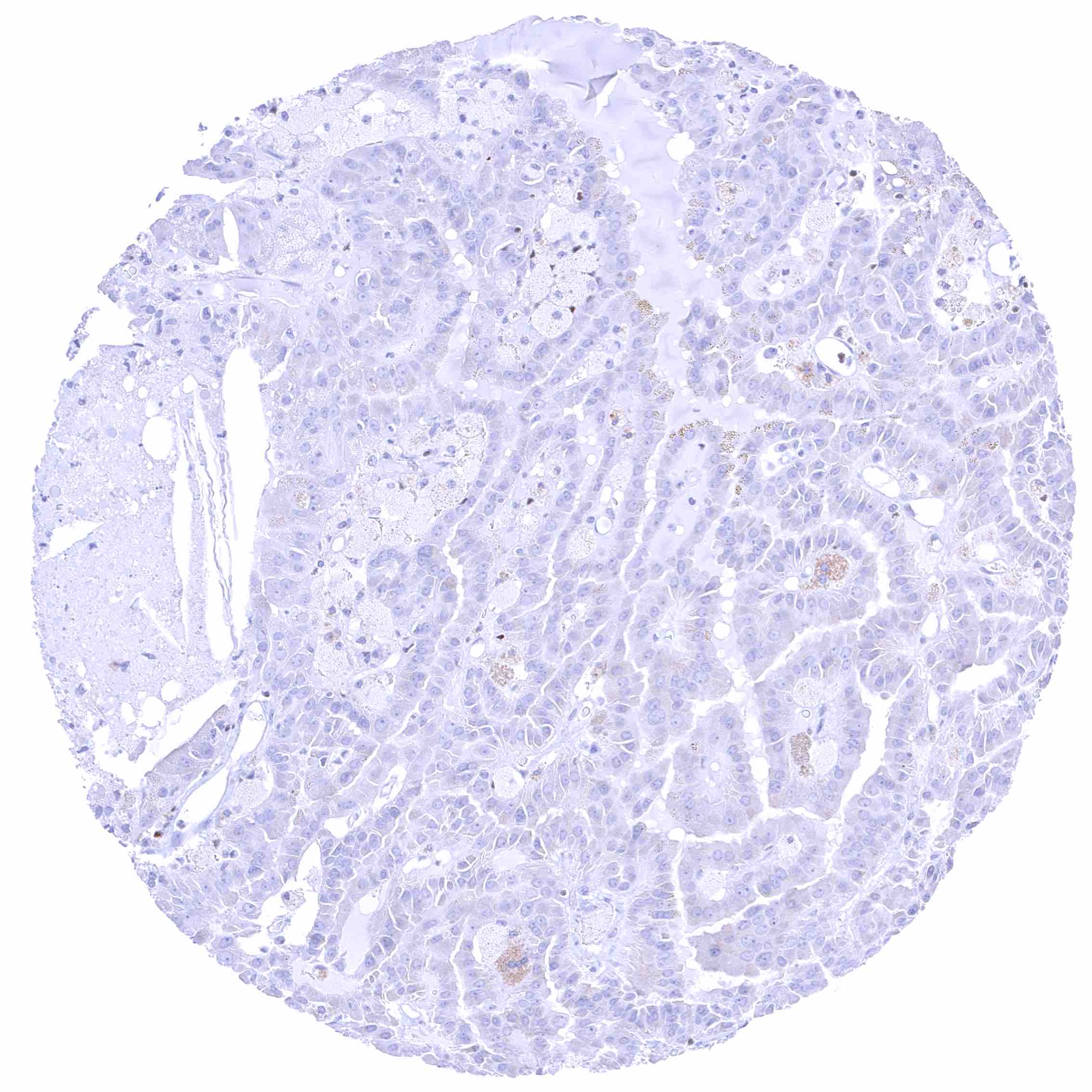
Prostate – GATA3 negative adenocarcinoma (Gleason 3+3=6).
Prostate – GATA3 negative adenocarcinoma (Gleason 3+3=6). (2)
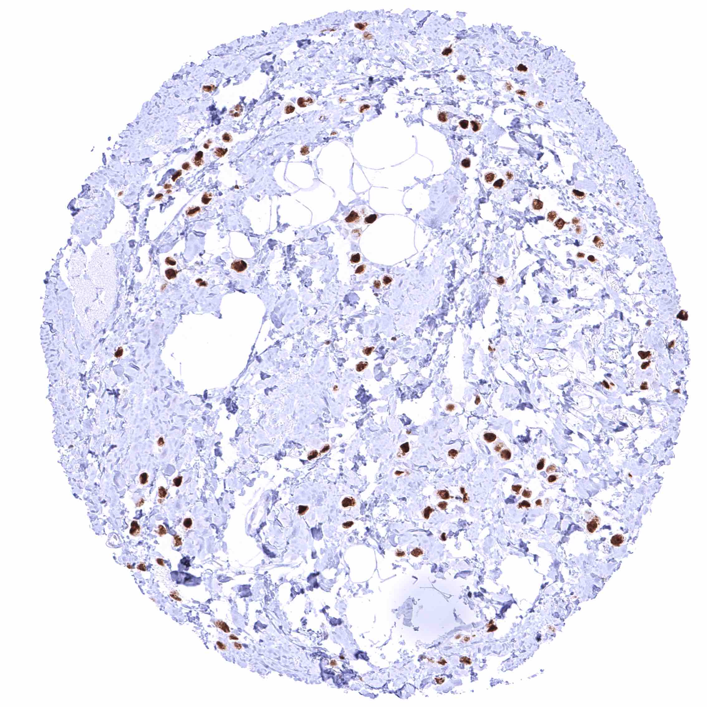
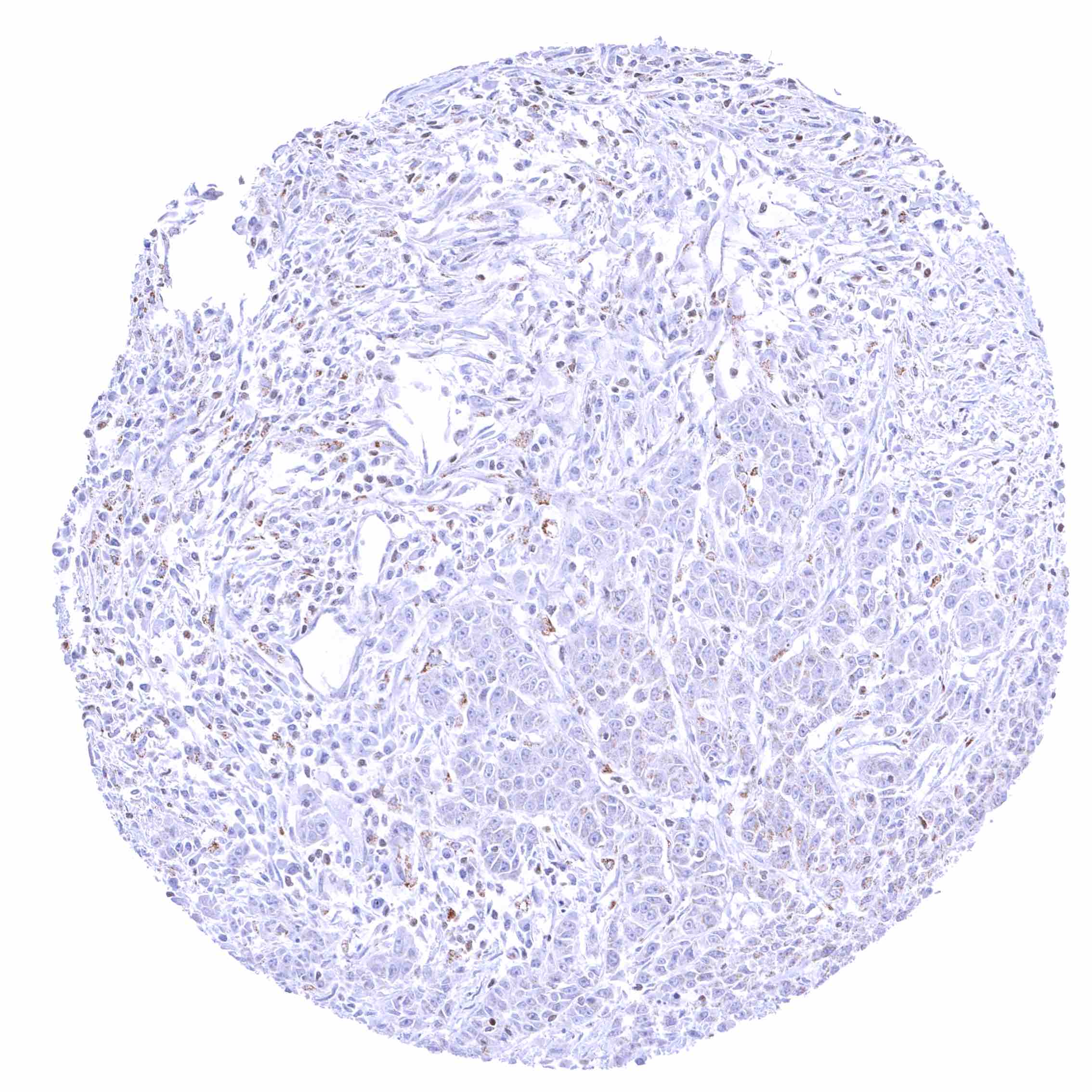
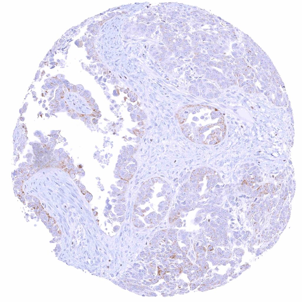
Prostate – GATA3 negative adenocarcinoma (Gleason 3+4=7). Numerous lymphocytes with nuclear GATA3 positivity.
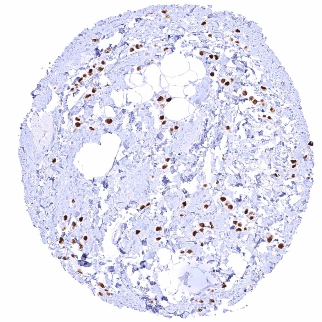
Prostate – GATA3 negative adenocarcinoma (Gleason 4+3=7).
Testis – GATA3 negative seminoma.
Thyroid – GATA3 negative papillary carcinoma.
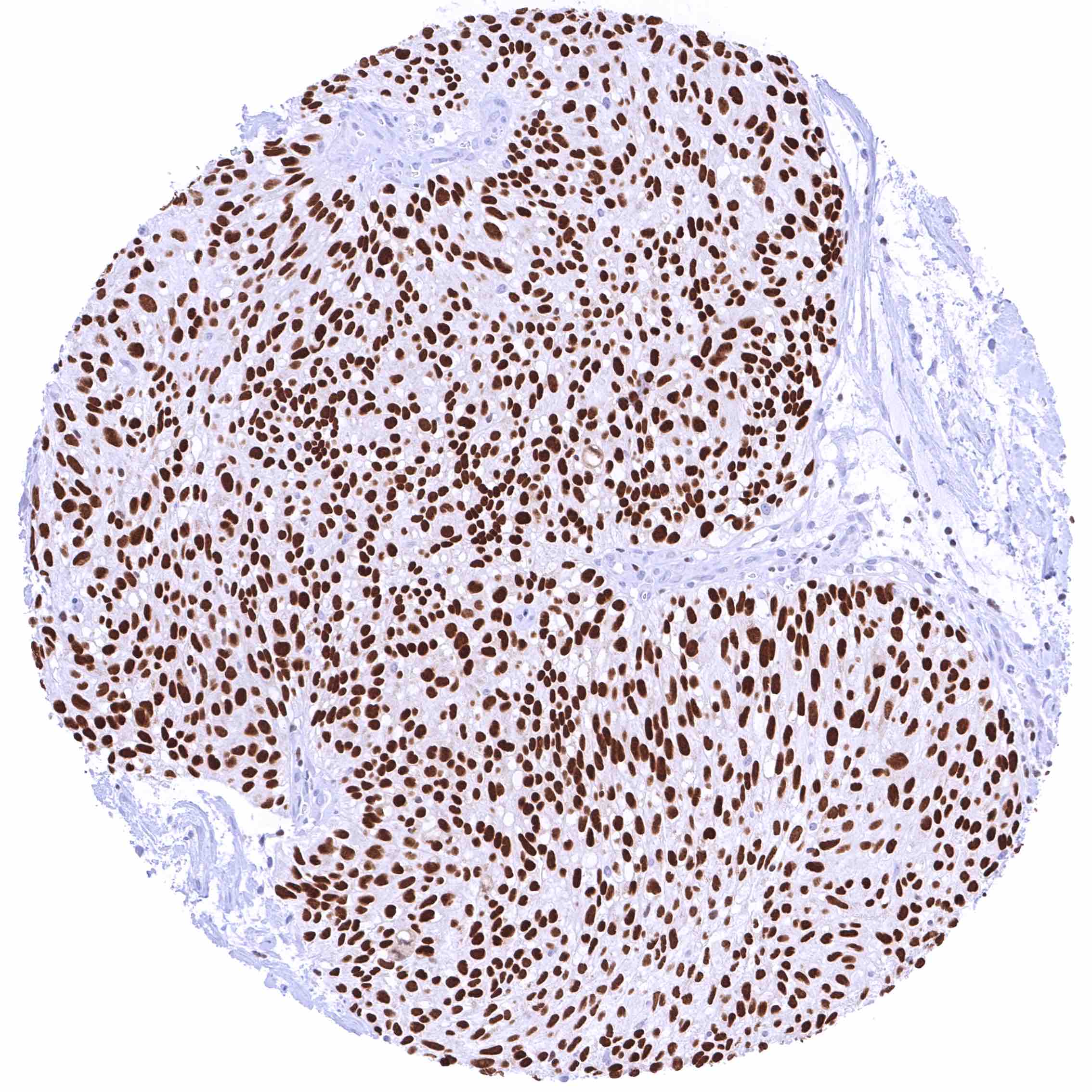
Urinary bladder – Muscle-invasive urothelial carcinoma with strong nuclear GATA3 positivity of tumor cells.
Urinary bladder – Non-invasive urothelial carcinoma (low grade, pTaG2) with strong nuclear GATA3 staining of tumor cells.
Urinary bladder – Non-invasive urothelial carcinoma with strong nuclear GATA3 staining of tumor cells.
