Breast – Invasive breast cancer of no special type (NST) with faint Cyclin E1 immunostaining of few tumor cells
Colon – Colorectal adenocarcinoma with moderate Cyclin E1 positivity of most tumor cells
Colon – Colorectal adenocarcinoma with mucinous features and a moderate to strong Cyclin E1 staining of only very few tumor cells
Esophagus – Adenocarcinoma (signet cell type) with strong Cyclin E1 staining of most tumor cells
Esophagus – Adenocarcinoma with strong Cyclin E1 staining of most tumor cells
Esophagus – Squamous cell carcinoma with weak to moderate Cyclin E1 staining of tumor cells
Kidney – Clear cell renal cell carcinoma showing a moderate Cyclin E1 staining of only very few tumor cells
Kidney – Cyclin E1 negative clear cell carcinoma
Kidney – Oncocytoma with moderate Cyclin E1 staining of few tumor cells
Kidney – Papillary renal cell carcinoma with a moderate Cyclin E1 staining of only few tumor cells
Oral cavity – Squamous cell carcinoma showing a moderate to strong Cyclin E1 immunostaining of most tumor cells
Oral cavity – Squamous cell carcinoma with faint Cyclin E1 staining of few tumor cells
Ovary – Clear cell carcinoma with strong Cyclin E1 staining of all tumor cells
Ovary – Endometroid carcinoma with strong Cyclin E1 positivity of most tumor cells
Ovary – Serous high-grade carcinoma showing a moderate to strong Cyclin E1 staining of most tumor cells
Pharynx – Squamous cell carcinoma with a weak to moderate Cyclin E1 staining of a subset of tumor cells
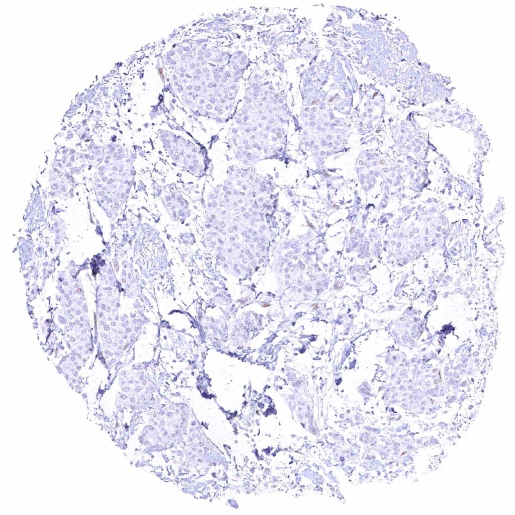
Prostate – Adenocarcinoma (Gleason 3+3=6) showing a weak Cyclin E1 positivity of a small fraction of tumor cells
Prostate – Cyclin E1 negative adenocarcinoma (Gleason 3+3=6)
Thyroid – Papillary cancer with a weak to moderate Cyclin E1 immunostaining of a fraction of tumor cells
Urinary bladder – Muscle-invasive urothelial carcinoma (pT2-4) with a moderate to strong Cyclin E1 positivity of a large fraction of tumor cells
Urinary bladder – Non-invasive urothelial carcinoma (low grade, pTaG2) with a low to moderate Cyclin E1 staining of tumor cells
Urinary bladder – Non-invasive urothelial carcinoma (low grade, pTaG2) with faint Cyclin E1 staining of few tumor cells
