Adrenal gland – Adrenocortical adenoma with moderate membranous β-Catenin staining of tumor cells accompanied by a distinct nuclear staining of a subset of cells.
Adrenal gland – Adrenocortical adenoma with weak membranous β-Catenin staining of tumor cells.
Adrenal gland – Adrenocortical carcinoma with moderate membranous, weak cytoplasmic, and strong nuclear β-Catenin staining of tumor cells.
Adrenal gland – Adrenocortical carcinoma with strong membranous, cytoplasmic, and nuclear β-Catenin staining of tumor cells.
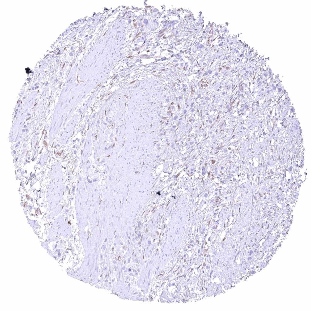
Adrenal gland – β-Catenin negative adrenocortical carcinoma.
Anal canal – Squamous cell carcinoma with moderate membranous β-Catenin staining of most tumor cells while strong nuclear β-Catenin staining occurs in one tumor area.
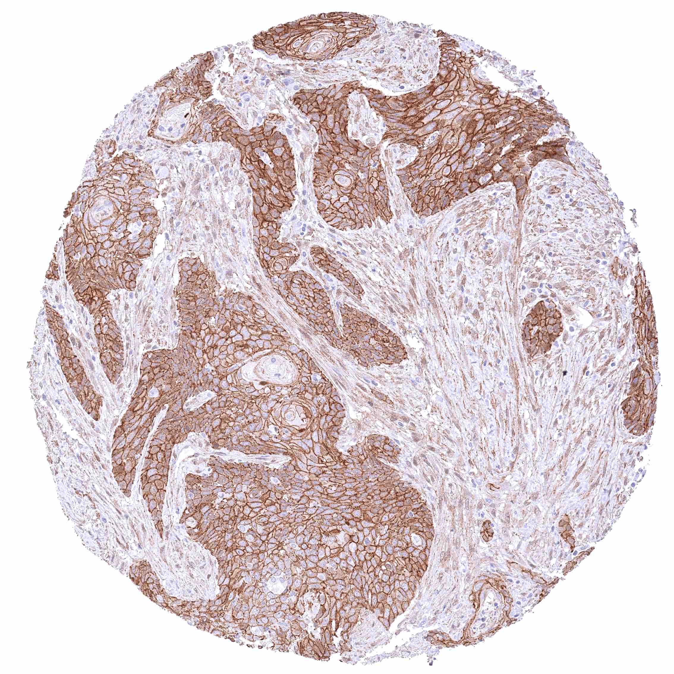
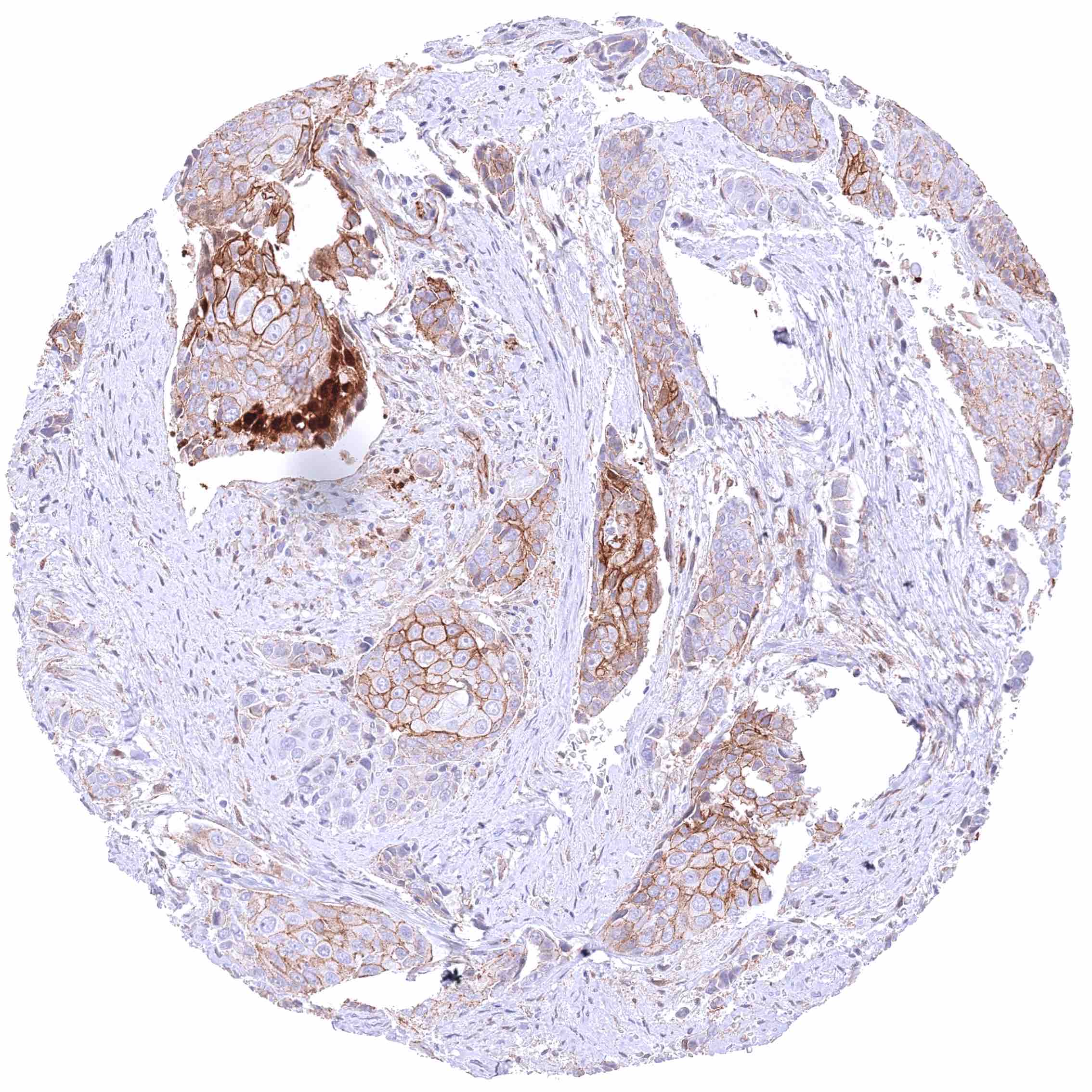
Breast – Invasive breast cancer of no special type (NST) with strong membranous β-Catenin staining of tumor cells.
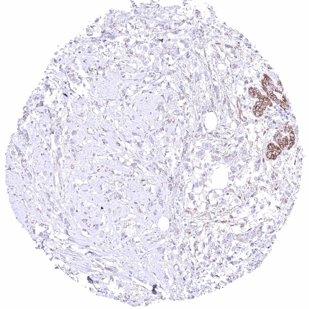
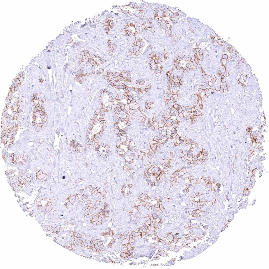
Breast – Invasive lobular breast cancer with only a faint membranous β-Catenin staining of tumor cells.
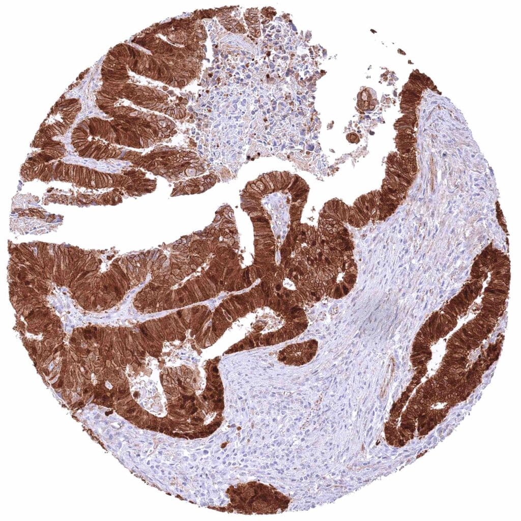
Colon – Colorectal adenocarcinoma with moderate membranous and cytoplasmic but strong nuclear β-Catenin staining of tumor cells.
Colon – Colorectal adenocarcinoma with weak membranous and cytoplasmic but strong nuclear β-Catenin staining of tumor cells.
Colon – Colorectal adenocarcinoma with weak membranous but strong cytoplasmic and nuclear β-Catenin staining of tumor cells.
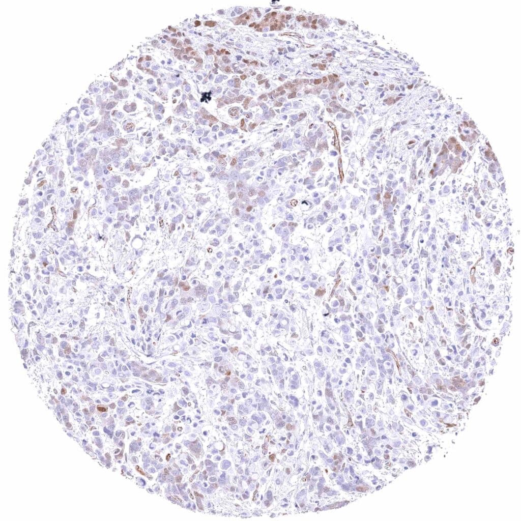
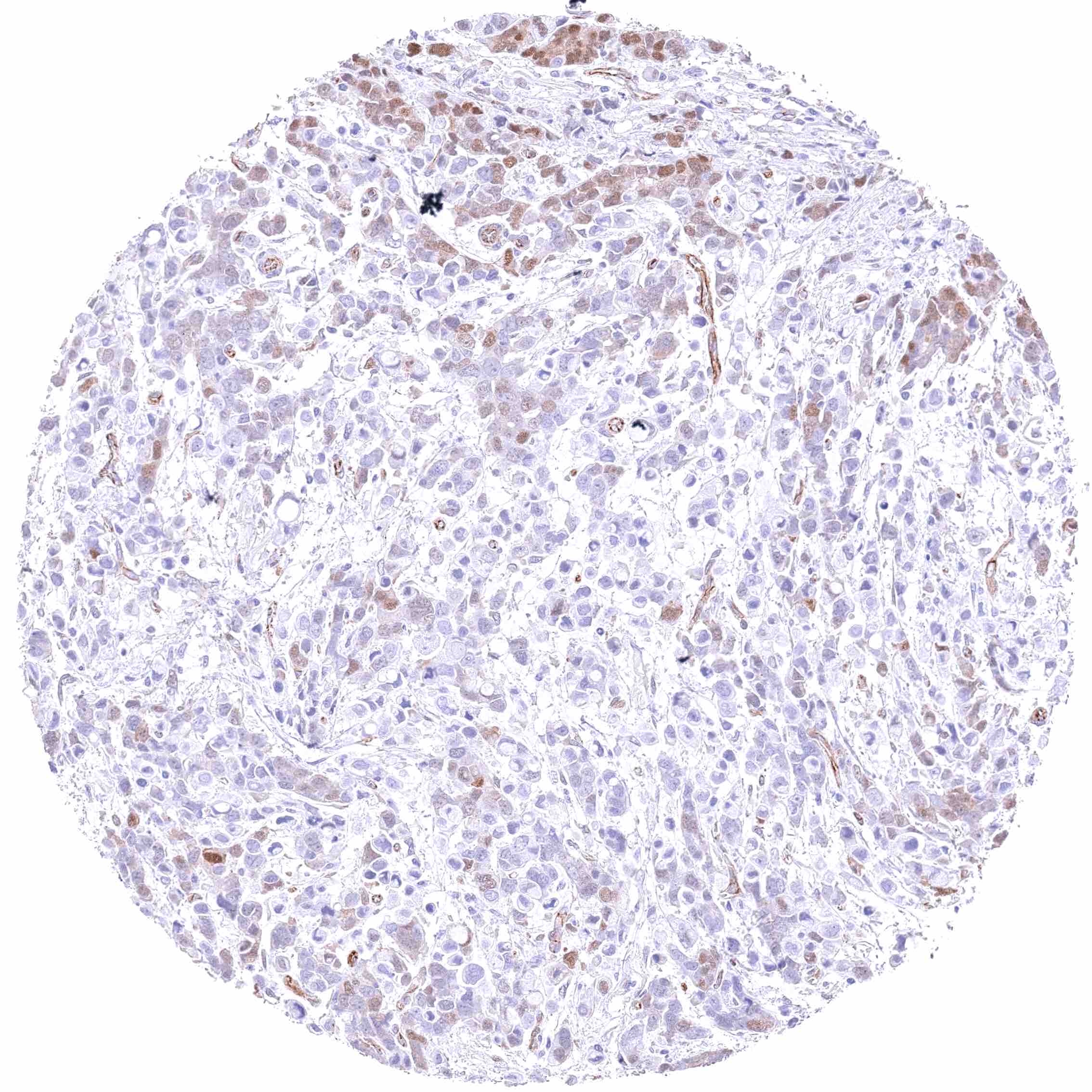
Esophagus – Adenocarcinoma with focal, weak to moderate nuclear and cytoplasmic β-Catenin staining of tumor cells.
Esophagus – Adenocarcinoma with weak membranous but strong cytoplasmic and nuclear β-Catenin staining of tumor cells.
Esophagus – Adenocarcinoma with weak membranous β-Catenin staining of only a subset of tumor cells.
Esophagus – Squamous cell carcinoma with variable, weak to strong membranous β-Catenin staining of tumor cells possibly accompanied by a mild cytoplasmic positivity
Esophagus – Squamous cell carcinoma with variable, weak to strong membranous β-Catenin staining of tumor cells possibly accompanied by a mild cytoplasmic positivity.
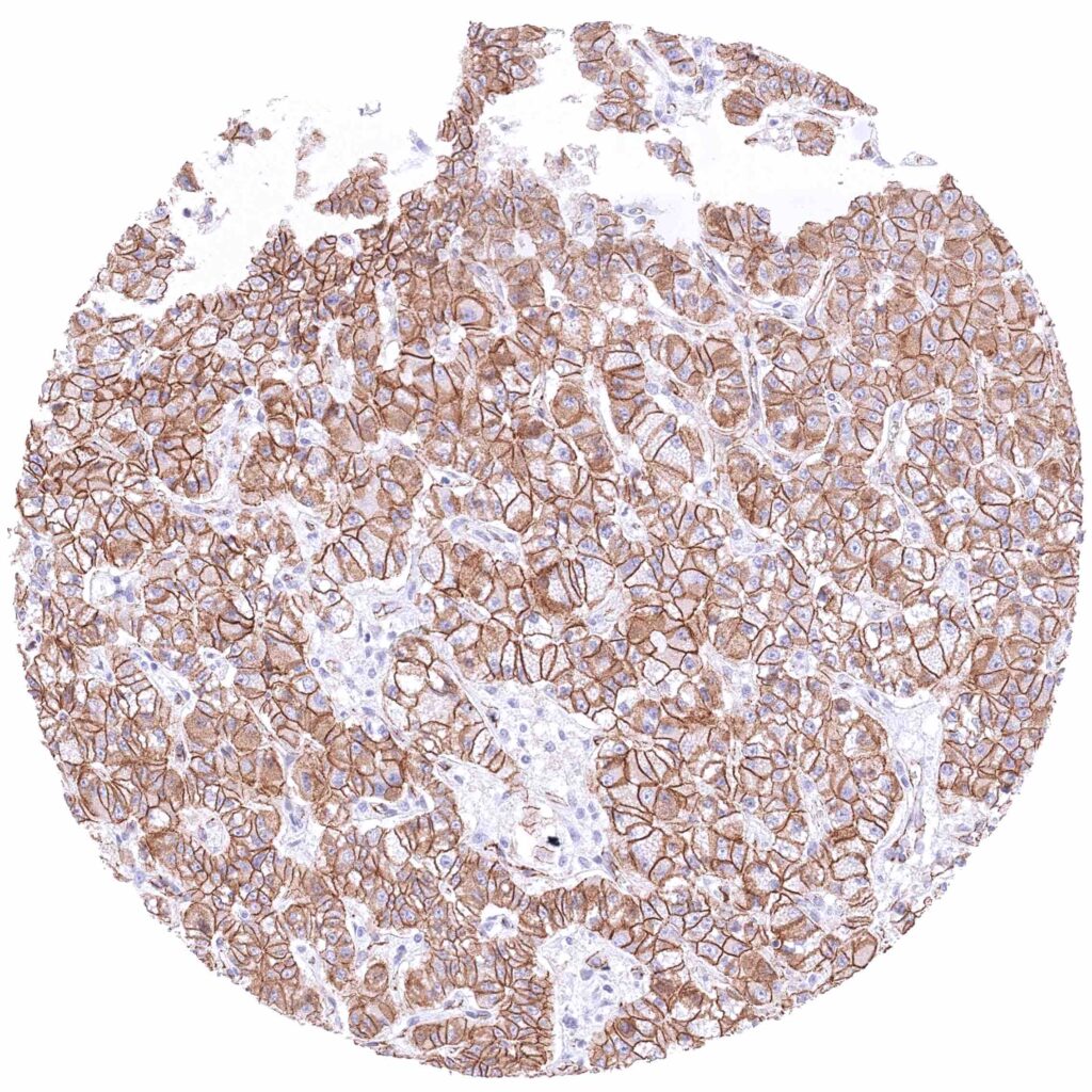
Kidney – Chromophobe renal cell carcinoma with a moderate to strong β-Catenin staining of tumor cells.
Kidney – Clear cell renal cell carcinoma with weak to moderate β-Catenin staining of tumor cells.
Kidney – Oncocytoma with only a faint membranous β-Catenin staining of tumor cells.
Kidney – Papillary renal cell carcinoma with a distinct, predominantly basolateral β-Catenin staining of tumor cells.
Liver – Cholangiocellular carcinoma with moderate β-Catenin staining of tumor cells.
Liver – Hepatocellular carcinoma with moderate membranous and nuclear β-Catenin staining of tumor cells. .jpeg
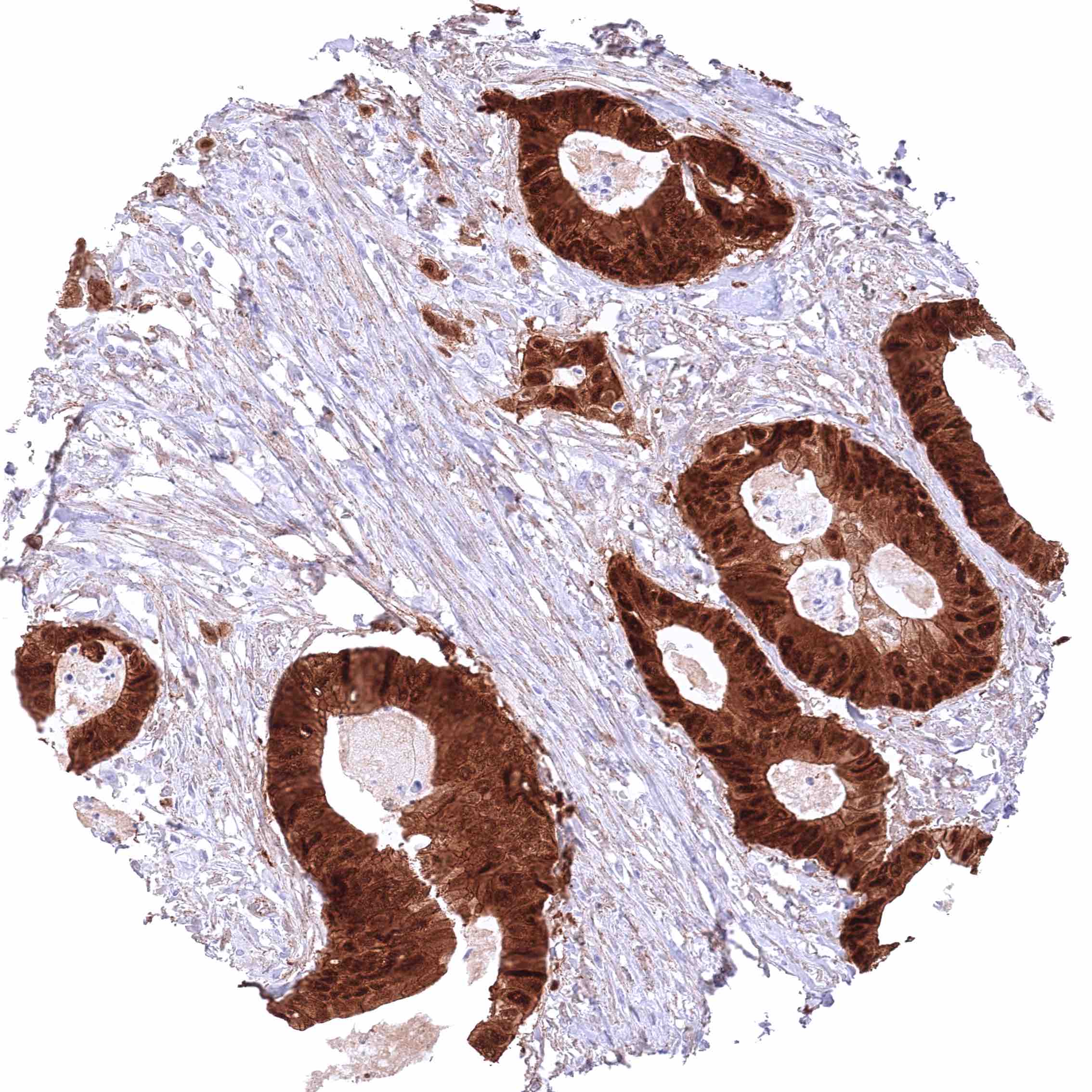
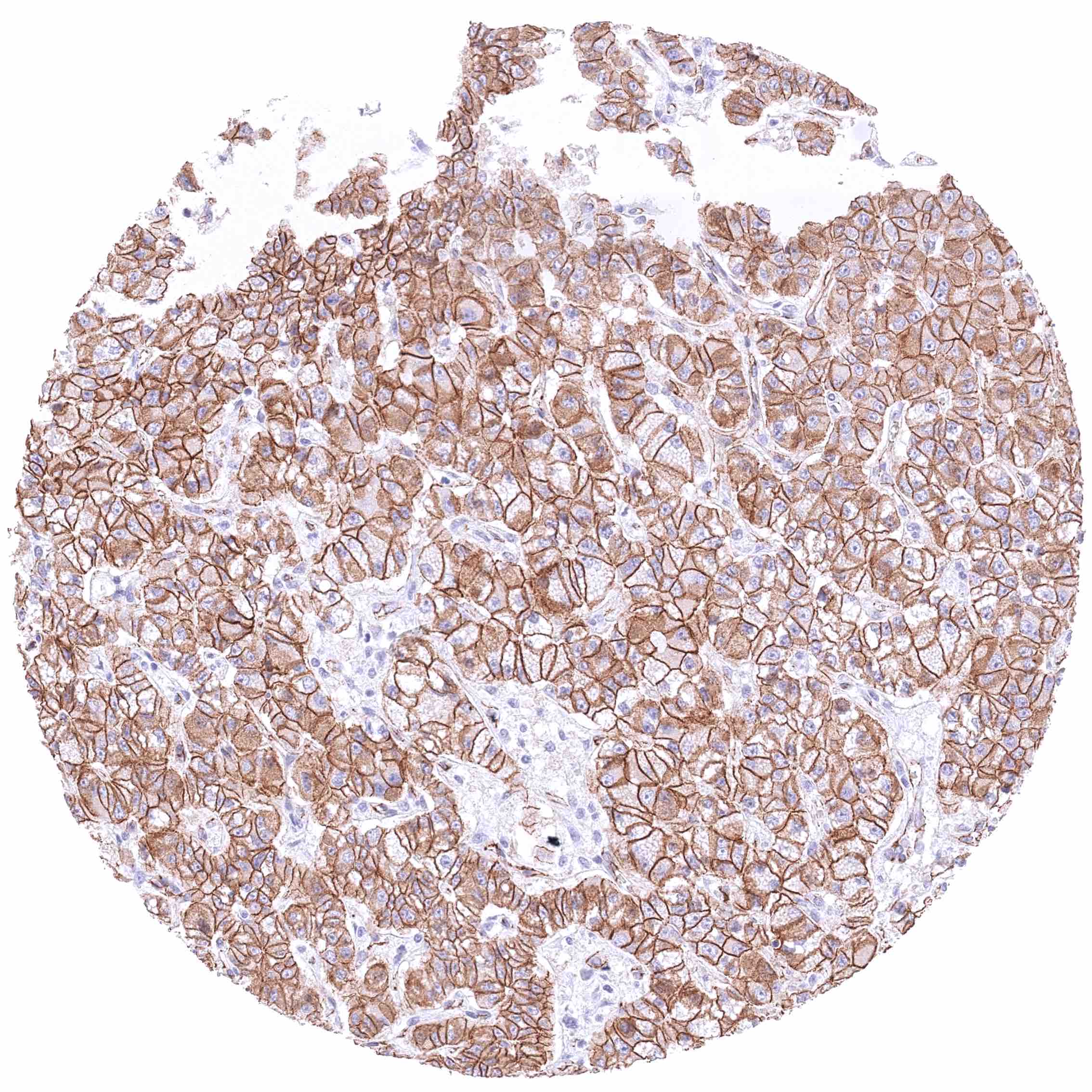
Liver – Hepatocellular carcinoma with strong membranous β-Catenin positivity of tumor cells.
Ovary – Clear cell carcinoma with weak to moderate membranous β-Catenin positivity of tumor cells.
Ovary – Endometroid carcinoma with cytoplasmic and nuclear β-Catenin staining of tumor cells.
Ovary – Endometroid carcinoma with strong membranous β-Catenin staining of tumor cells.
Ovary – Serous high-grade carcinoma with strong membranous β-Catenin immunostaining of tumor cells.
Ovary – Serous high-grade carcinoma with strong membranous β-Catenin staining of tumor cells.
Ovary – Malignant mixed Mullerian tumor with strong membranous β-Catenin staining of epithelial tumor cells while the staining is cytoplasmic and nuclear in the mesenchymal tumor areas.
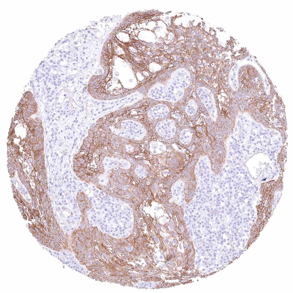
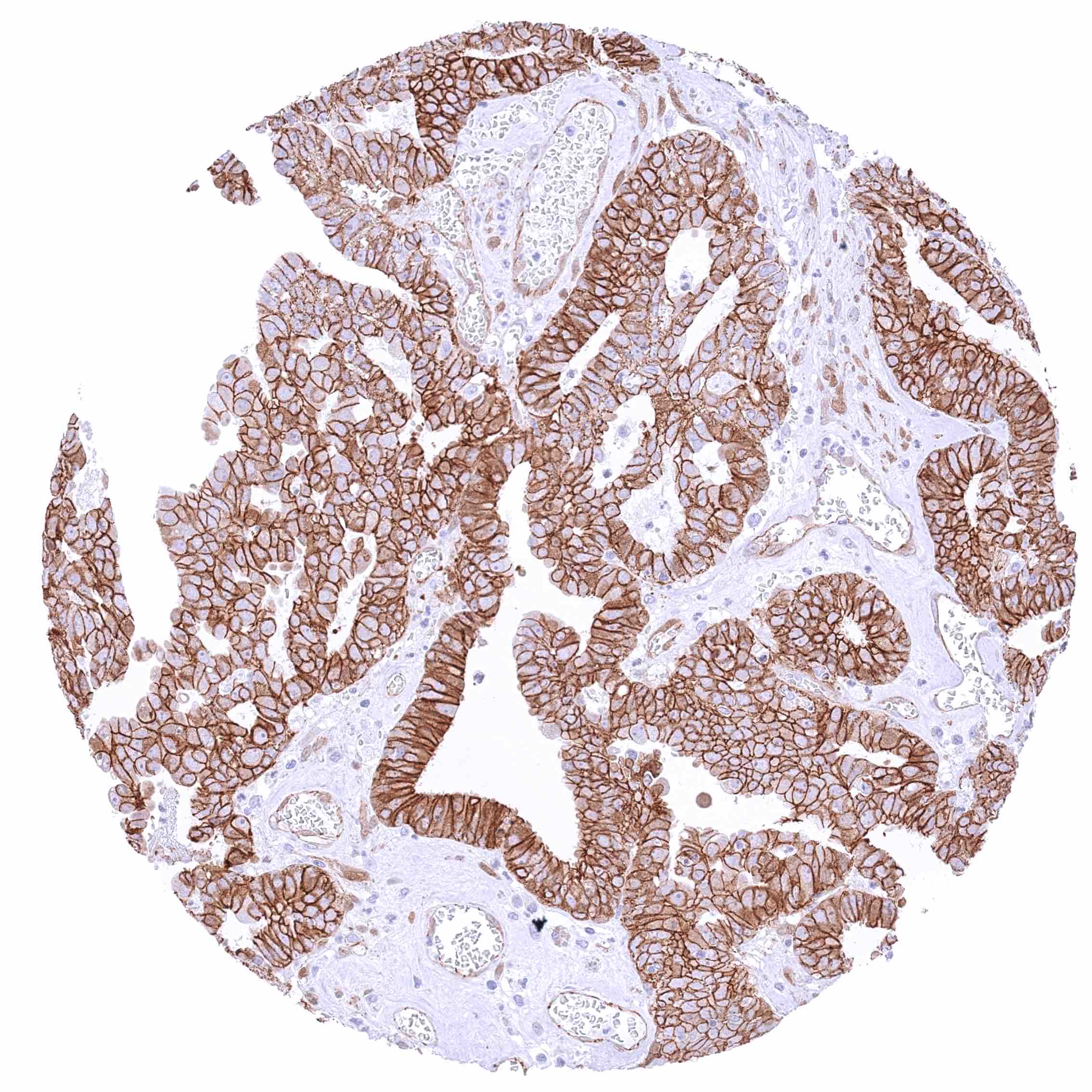
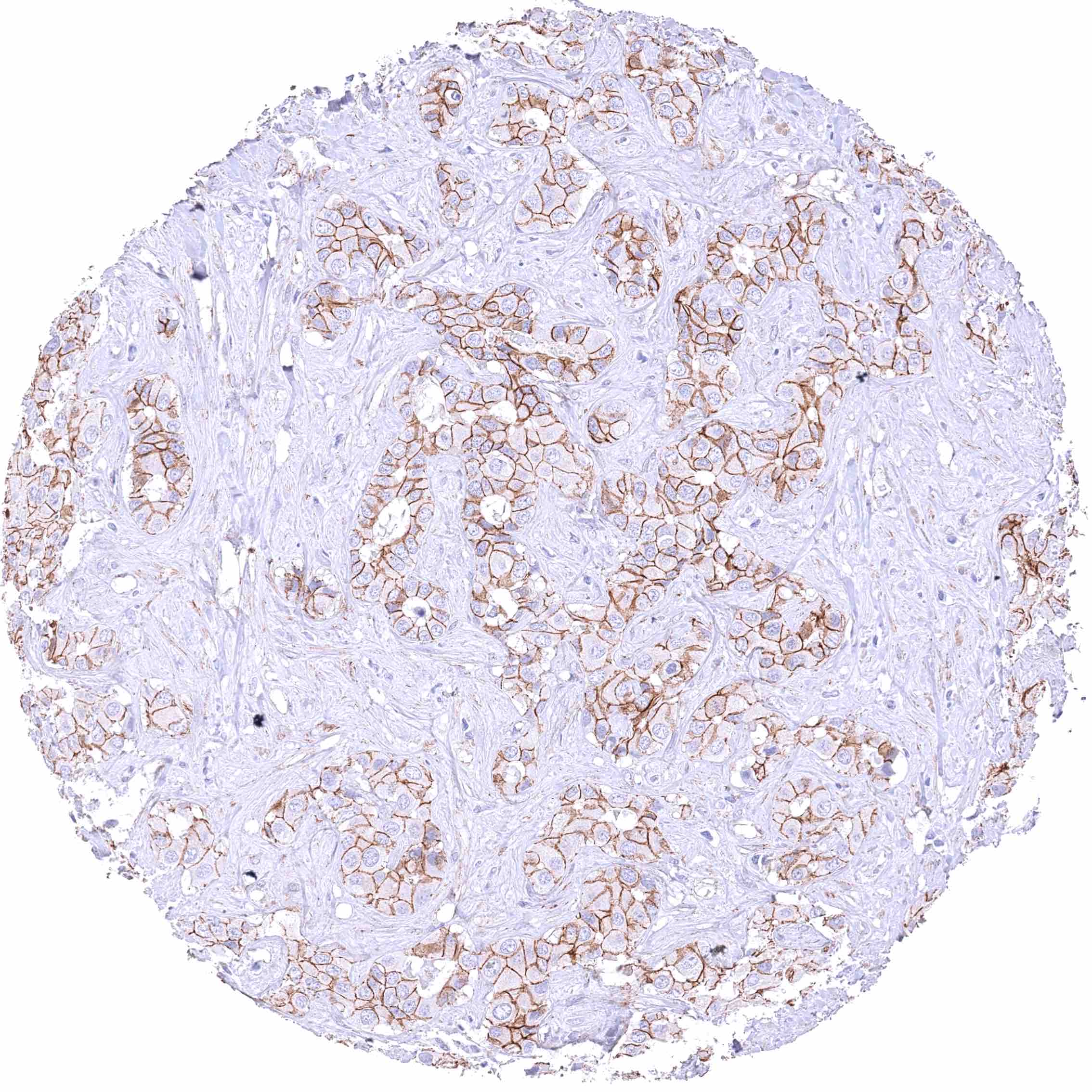
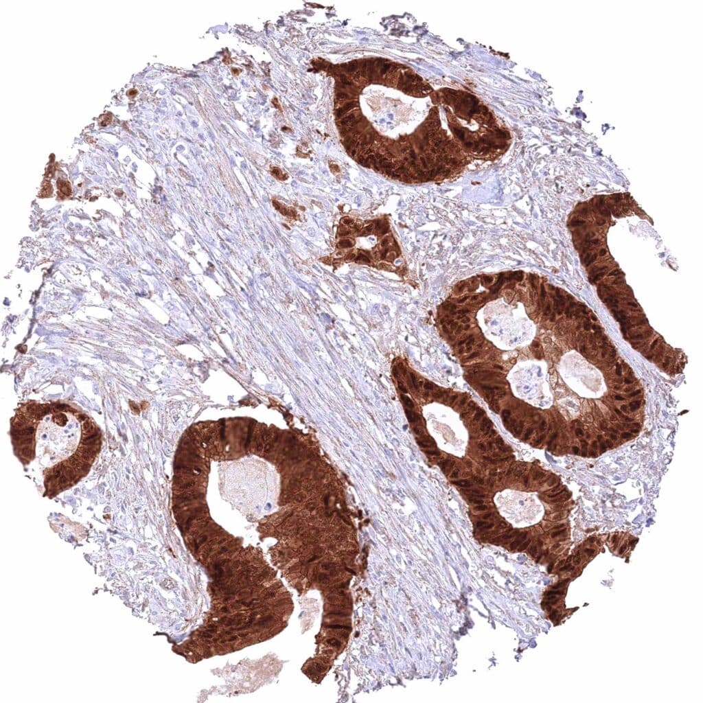
Pancreas – Ductal adenocarcinoma with strong membranous β-Catenin staining of tumor cells possibly accompanied by a mild cytoplasmic positivity.
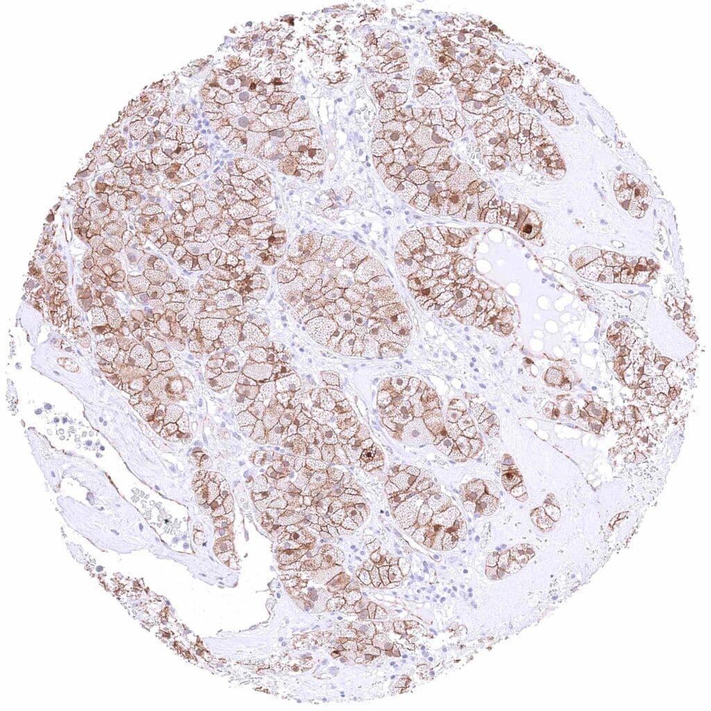
Pancreas – Neuroendocrine tumor with strong membranous β-Catenin positivity of tumor cells.
Pancreas – Neuroendocrine tumor with weak membranous, moderate cytoplasmic, and strong nuclear β-Catenin staining of tumor cells.
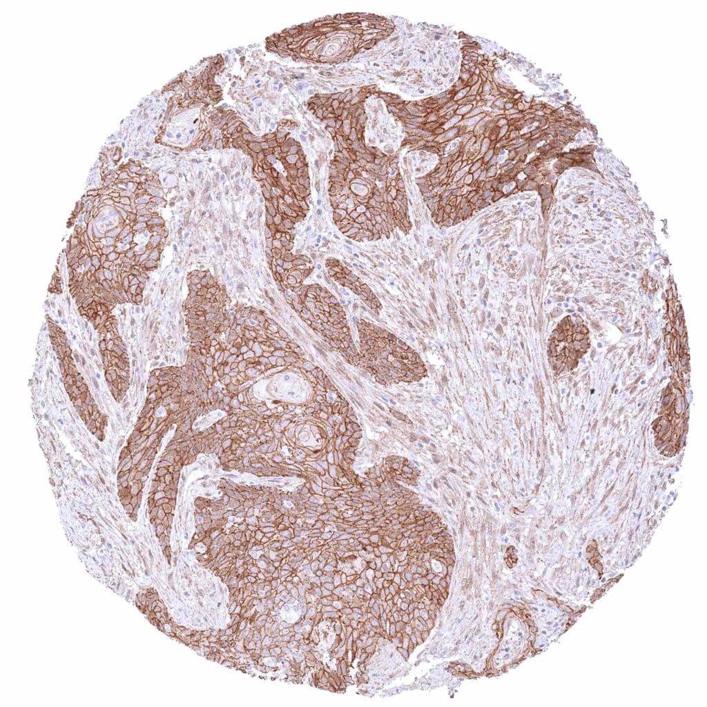
Penis – Squamous cell carcinoma with strong membranous β-Catenin staining of the peripheral tumor cell layers while other areas show a distinct nuclear and cytoplasmic positivity.
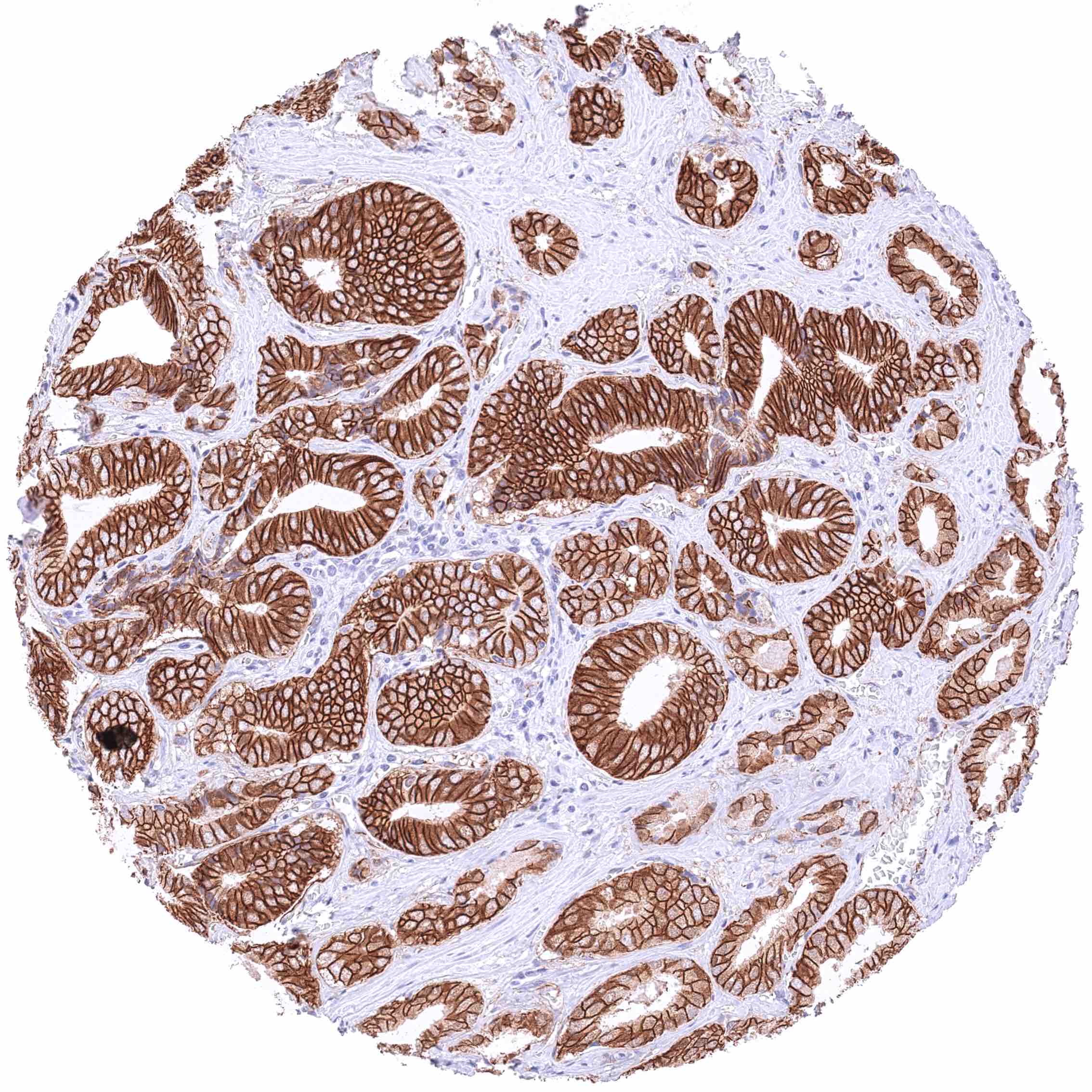
Prostate – Adenocarcinoma (Gleason 3+3=6) with strong membranous β-Catenin staining of tumor cells.
Prostate – Adenocarcinoma (Gleason 4+4=8) with strong membranous, moderate cytoplasmic, and strong nuclear β-Catenin staining of tumor cells.
Prostate – Adenocarcinoma (Gleason 5+5=10) with strong membranous, moderate cytoplasmic, and strong nuclear β-Catenin staining of tumor cells.
Salivary gland – Warthin tumor with strong membranous β-Catenin staining of tumor cells.
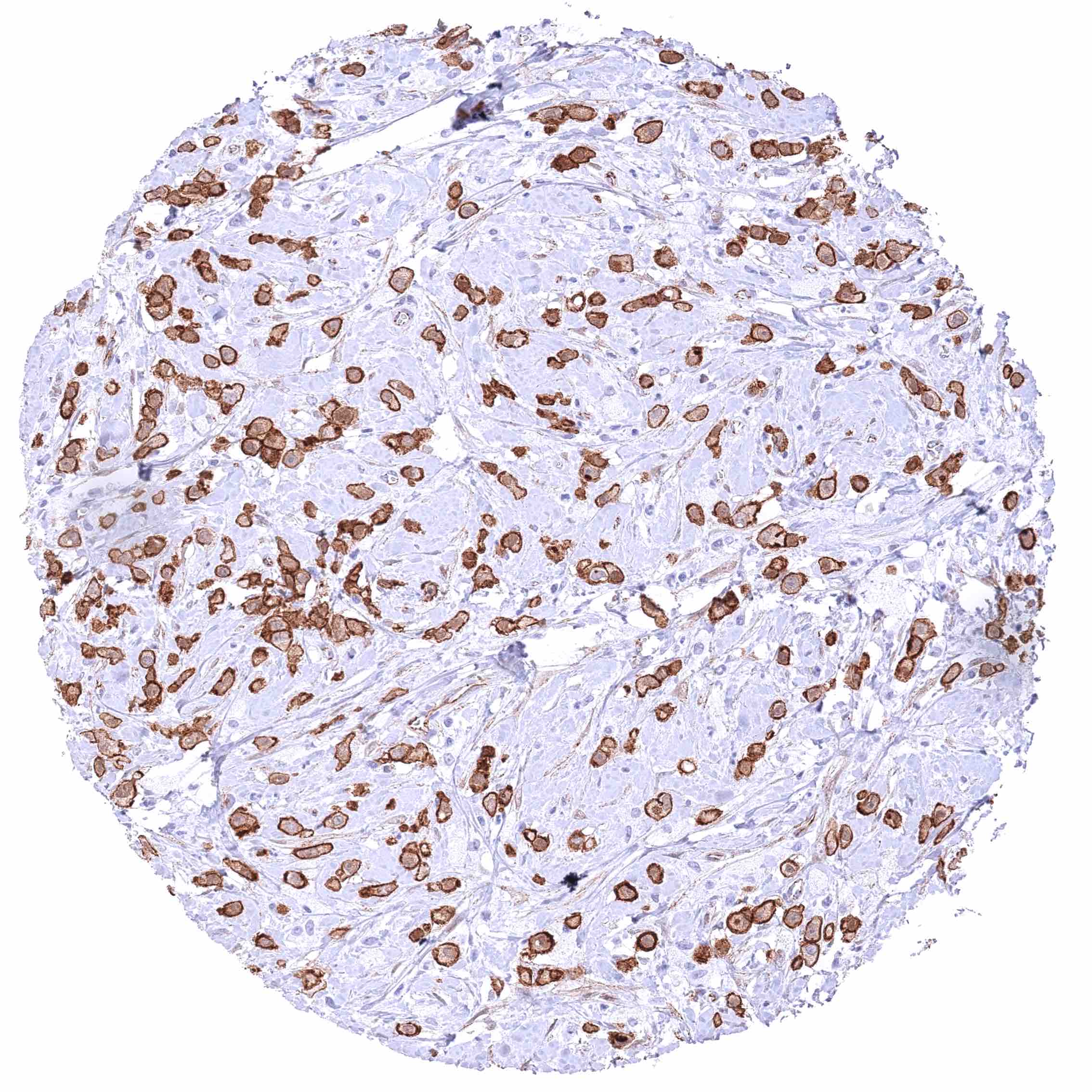
Skin – Malignant melanoma with strong cytoplasmic and nuclear β-Catenin staining of tumor cells.
Stomach – Gastric adenocarcinoma (diffuse type) with strong membranous and weak cytoplasmic β-Catenin staining of tumor cells.
Stomach – Gastric adenocarcinoma (diffuse type) with strong membranous and weak to moderate cytoplasmic β-Catenin staining of tumor cells.
Stomach – Gastrointestinal stromal tumor (GIST) with weak membranous β-Catenin staining of tumor cells.
Stomach – β-Catenin negative gastric adenocarcinoma (diffuse type).
Testis – Leydig cell tumor with weak membranous and strong cytoplasmic and nuclear β-Catenin staining of tumor cells.
Testis – β-Catenin negative seminoma.
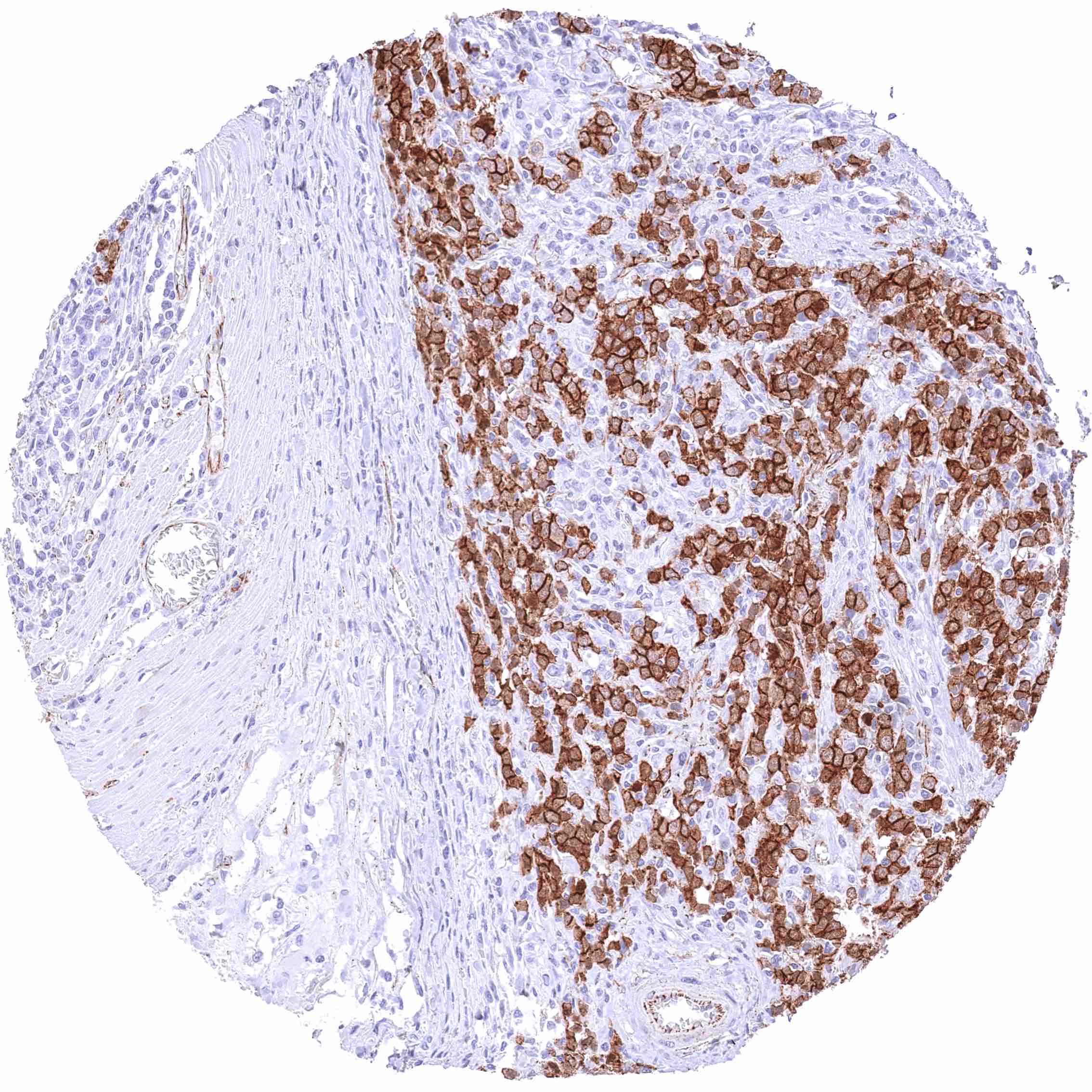
Urinary bladder – Muscle-invasive urothelial carcinoma with strong cytoplasmic and often also nuclear β-Catenin staining of tumor cells.
Uterus, cervix – Squamous cell carcinoma with strong membranous β-Catenin positivity of tumor cells.
Uterus, cervix – Squamous cell carcinoma with strong membranous β-Catenin staining of tumor cells. There might be an additional slight cytoplasmic staining in this case.
